Las caries dentales son uno de los problemas más comunes de la salud bucal en personas de todas las edades. A menudo, las caries se desarrollan de forma silenciosa, sin dolor ni molestias aparentes, hasta que ya han afectado a capas profundas del diente. Por eso es importante acudir al dentista al menos una vez al año para descartar posibles problemas de salud bucodental, incluso cuando no se tiene ninguna molestia.
Las caries dentales son uno de los problemas más frecuentes en nuestra boca. Pero, ¿cómo sé si tengo caries? ¿Puedo verlas yo mismo? ¿Tengo que usar algún utensilio específico? Identificar una caries no es algo sencillo, sobre todo al principio, ya que como te comentábamos las primeras fases son asintomáticas.

¿Qué es una caries y cómo se forma?
Empecemos por lo básico: una caries dental es un daño en el esmalte del diente, que ocurre cuando las bacterias que viven en la boca producen ácidos al descomponer los restos de comida. La caries dental es una enfermedad infecciosa que destruye progresivamente los tejidos duros del diente. Está causada por los ácidos que generan las bacterias presentes en la boca al descomponer los azúcares de los alimentos.
Las caries aparecen cuando la higiene bucal no es suficiente para eliminar la placa bacteriana. Por tanto, la placa bacteriana es la principal responsable de la aparición de la caries. Las caries se forman cuando las bacterias, presentes de manera natural en la boca, se juntan con los restos de alimentos que se quedan en la cavidad oral después de las comidas, creando ácidos que dañan el esmalte.
La caries es una lesión producida por bacterias que viven en la placa dental, y es una película pegajosa que se adhiere a los dientes. Al metabolizar azúcares y almidones, estas bacterias generan ácidos capaces de desmineralizar el esmalte, debilitándolo. Con el tiempo, esa pérdida mineral se profundiza en capas como la dentina y la pulpa, creando cavidades permanentes si no se detiene a tiempo.
La desmineralización inicial puede revertirse si se interrumpe el ciclo ácido y se refuerza el esmalte con flúor y minerales presentes en la saliva. Sin embargo, si continúa la exposición frecuente a carbohidratos fermentables, el esmalte se deteriora hasta formar una caries dental visible o cavitada.
Las caries tienen lugar cuando hay una acumulación de placa en la superficie del diente. Las bacterias que se encuentran de forma natural en la placa dental convierten azucares de los restos de comida en ácidos. Estos ácidos atacan al esmalte dental.
Etapas de la caries
Las fases típicas de evolución de las caries son:
- Mancha blanca: proceso inicial. En esta etapa no hay dolor, pero sí empieza a existir una pequeña sensibilidad que provoca molestias ocasionales.
- Mancha marrón u oscura: Se inicia el proceso de pérdida de brillo y la sensibilidad se va convirtiendo en una posible ligera incomodidad.
- Cavidad visible o agujero: Existe un dolor o hipersensibilidad al comer alimentos fríos, calientes o dulces.
- Afectación de la pulpa: El dolor es ya más intenso.
Las primeras etapas de la caries dental suelen ser indoloras; el dolor aparece cuando la caries ya alcanza la dentina o pulpa nerviosa. Es un dolor que avanza progresivamente a medida que la lesión penetra en las capas más profundas del diente.
SIN CARIES ✌️😉 -¿Cómo protegerse contra La Caries ? Sellantes Dentales Niños y Adultos | Oralnet
¿Cómo saber si tienes caries desde el inicio?
Detectar una caries desde el inicio es clave para evitar su evolución, y esta detección puede hacerla el paciente desde casa, pero debe ser confirmada por el dentista. Si notas alguno de estos signos, lo mejor es acudir a una revisión dental. El diagnóstico de una caries dental debe hacerlo un odontólogo mediante una revisión clínica. Diagnosticar a tiempo una caries permite intervenir antes de que llegue al nervio del diente o cause una infección más grave.
Lo normal es empezar a observar:
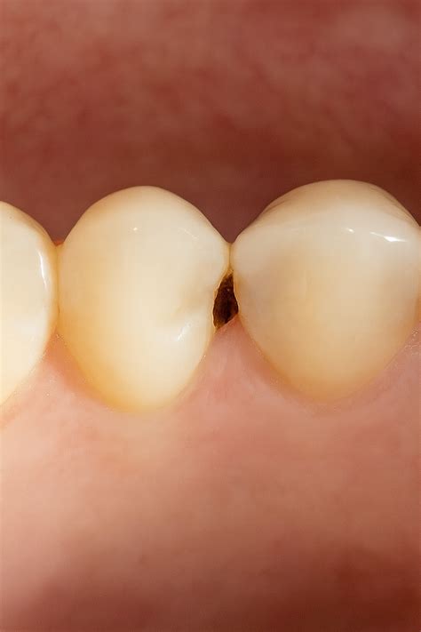
- Pequeñas manchas en el esmalte. Debido al avance de la caries, puedes observar manchas de color blanco, marrón o negro en el esmalte del diente. Normalmente son zonas blanquecinas debido a la desmineralización del diente por los ácidos que producen las bacterias, pero también pueden oscurecerse a marrón o negro si el daño es mayor.
- Manchas blancas opacas en zonas específicas del esmalte.
- Zonas ásperas o pegajosas al pasar la lengua por la superficie del diente.
- Sensibilidad ocasional sin motivo específico, especialmente al frío o dulce. Uno de los síntomas más comunes es la sensibilidad a alimentos dulces o ácidos, y también a los cambios de temperatura de frío o calor.
- Aparición de manchas amarillas, marrones o marrón oscuro en piezas dentales. Una duda frecuente es por qué muchas caries se ven negras o muy oscuras. Esto sucede porque el tejido del diente afectado por la caries se descompone y se llena de bacterias, restos de alimentos y otros materiales. Sin embargo, no todas las manchas negras en los dientes son caries. A veces pueden ser restos de alimentos o tinciones por bebidas como el café o el té.
- Fisuras en los dientes. Si la caries ha avanzado puedes ver un pequeño agujero en el diente o muela afectada.
- Dolor. En el caso de sentir dolor lo más probable es que tengas una infección a causa de la caries, que incluso puede manifestarse con molestias en los oídos o dolores de cabeza. El esmalte del diente es una capa protectora que no tiene terminaciones nerviosas, por lo que no sentimos dolor cuando empieza a desmineralizar por los ácidos de las bacterias.
- El mal aliento es un síntoma clásico de la caries. Al alimentarse de los restos de comida, estas mismas bacterias producen sustancias que lesionan el esmalte dental y causan las caries.
Una revisión dental permite diagnosticar zonas blandas o iniciar el tratamiento antes de que aparezca la cavidad visible. Además, las radiografías pueden revelar caries entre dientes o debajo de la superficie antes de que sean evidentes a simple vista.

¿Por qué aparecen las caries en las muelas?
Las muelas con caries son especialmente frecuentes porque:
- En la superficie tienen grietas, surcos y fisuras difíciles de limpiar manualmente.
- Las bacterias prosperan en restos alimenticios de azúcares y almidones pegajosos.
- Las muelas son menos accesibles con el cepillo y la lengua, favoreciendo acumulación de placa.
Por eso las piezas posteriores son un punto crítico para la aparición de caries en niños y adultos.
En niños, las muelas permanentes recién erupcionadas, especialmente los primeros molares, son vulnerables si no se protegen con selladores o flúor desde el primer momento.
¿Qué tratamientos existen para eliminar las caries?
El tratamiento para la caries depende de la fase en la que se encuentra. Cuanto más profunda sea la caries, más minucioso y complejo deberá ser el tratamiento a realizar por el odontólogo. El tratamiento a aplicar dependerá de la recomendación del dentista, e irá en función de la gravedad de cada caso en concreto. Por norma general, suelen ser los siguientes tratamientos:
- Refuerzos de flúor en casos leves. Cuando se detecta un principio de caries, es posible revertir el daño aplicando flúor en la zona afectada. En las primeras fases, cuando aparece la mancha blanca, se puede aplicar flúor para remineralizar.
- Empaste de caries. Es el tratamiento más común. Consiste en eliminar la parte dañada del diente y rellenar el hueco con un material especial, como resina o amalgama. Para lesiones pequeñas: se utiliza el empaste dental con resinas compuestas o amalgama, tras limpiar la zona afectada. Una de las maneras de quitar las caries es retirar la parte del diente que se encuentra afectada para, posteriormente, cubrirla con un empaste.
- Incrustaciones o coronas.
- Tratamiento de conducto. Cuando la caries llega al nervio del diente, es necesario realizar una endodoncia o tratamiento de conducto. Pero, ¿qué sucede si la caries es grave y ha afectado a los nervios? Pues, entonces, tal vez haya que realizar una endodoncia. Un procedimiento mucho más caro donde se debe matar el nervio para poder salvar el diente.
- Extracción dental. En los casos más graves, cuando el diente está muy dañado y no puede salvarse, se debe extraer.
- En niños con afectación pulpar en dientes de leche, se realiza pulpotomía, procedimiento mínimamente invasivo que elimina la parte dañada y protege la pulpa restante.
Además, las limpiezas dentales periódicas eliminan placa y sarro acumulado, incluso en zonas difíciles de cepillar.
¿Cómo prevenir la aparición de caries dentales?
La prevención siempre es la mejor aliada, y en el caso de las caries también. Es importante no esperar a que el dolor sea intenso. Muchas muelas con caries no duelen en las primeras etapas, pero el daño sigue avanzando en silencio. Las caries dentales son uno de los problemas bucodentales más frecuentes, pero también uno de los más evitables. Conocer cómo se forman, cuáles son sus síntomas iniciales, por qué afectan con frecuencia a las muelas, qué tratamientos existen para eliminarlas y cómo prevenir su aparición es fundamental para mantener una buena salud bucodental.
Algunos métodos que ayudan a prevenir la aparición de las caries dentales son:
- Buena higiene oral, utilizando hilo dental por las noches para retirar cualquier rastro de comida que pueda haber quedado entre los dientes. Cepillarse los dientes al menos dos veces al día con dentífrico con flúor.
- Uso diario de hilo dental o cepillos interdentales para eliminar residuos entre los dientes.
- Enjuague bucal con flúor, manteniéndolo 30 segundos antes de escupir y esperar media hora antes de comer o beber.
- Mejorar la dieta, eliminando o reduciendo los alimentos ricos en azúcares, algo que aumenta el riesgo de sufrir caries, a pesar de mantener una buena higiene oral. Dieta equilibrada, limitando azúcares, refrescos y alimentos pegajosos entre horas.
- Limpiezas dentales, al menos, una vez al año. Revisiones dentales periódicas cada seis meses o anuales, y realizar limpiezas profesionales. Programar exámenes dentales periódicos, al menos cada seis meses, es clave.
- Selladores dentales, especialmente en muelas recién erupcionadas, para proteger surcos susceptibles. Considera la aplicación de selladores dentales, especialmente en molares y premolares.
- Desde la infancia, adquirir el hábito de cepillado supervisado y uso moderado de flúor según edad.
- Utiliza productos dentales con flúor: Como pasta dental y enjuague bucal. El flúor fortalece el esmalte dental y previene la desmineralización que conduce a la caries.
