El diastema interincisal, conocido comúnmente como "espacio entre los dientes" o "paletas separadas", es una condición dental frecuente en las clínicas de ortodoncia. A continuación, exploraremos qué es el diastema, sus causas, cómo se soluciona y los tratamientos disponibles.

¿Qué es el diastema dental?
El diastema es la separación entre los incisivos dentales superiores, aunque puede ocurrir en otras piezas dentales. Este problema es común en niños, corrigiéndose a menudo cuando mudan los dientes de leche. Aunque no representa un problema de salud bucodental, muchos buscan corregirlo por motivos estéticos.
El significado de la palabra diastema es la separación o hueco que se produce entre los dientes. Ojo, que el diastema no debe confundirse con un hueco debido a la falta de una pieza dental.
En casos de mordida incorrecta o falta de alineación dental, se recomienda un tratamiento de ortodoncia para solucionar eficazmente todos los problemas del paciente.
Diastemas: ¿cómo corregir los dientes separados? | Clínica dental Avodent en Alcobendas
Causas principales del diastema
Las causas del diastema pueden ser diversas:
- Diferencia de tamaño entre el maxilar y los dientes: Las piezas dentales pueden ser más pequeñas, causando separaciones.
- Frenillos gruesos: Membranas que unen la encía y los labios pueden crecer más de lo normal, ocupando el espacio entre los incisivos centrales.
- Incisivos laterales pequeños: El exceso de espacio en la zona anterior puede provocar huecos.
- Hiperactividad lingual: El exceso de presión o tamaño de la lengua desequilibra la musculatura lingual y perioral, separando los dientes.
- Enfermedad periodontal: La pérdida de soporte óseo asociada a la inflamación de las estructuras peridentarias puede llevar a la pérdida de dientes.
- Dientes demasiado pequeños: Una cuestión de genética; los dientes demasiado pequeños no pueden ocupar todo el espacio disponible en la mandíbula.
- Tamaño de la mandíbula mayor que el de los dientes: Una desproporción entre el tamaño de la mandíbula y el de los dientes también puede causar diastema dental.
- Malos hábitos linguales: Chuparse el dedo o presionar constantemente la lengua contra los dientes puede afectar a los dientes que acaban separándose.

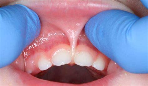
Frenillo labial superior
Diastema según la edad del paciente
La separación de los dientes se produce en todas las etapas, pudiendo afectar tanto a niños como a adultos.
Dientes separados en bebés y niños
El diastema en bebés es algo muy común y no hay por qué asustarse. Es habitual que los bebés tengan los dientes de leche separados y estos no estén perfectamente alineados. Esta separación en los dientes es normal e incluso, deseable, ya que los dientes de leche son bastante más estrechos que los definitivos.
Diastema en adultos
Una vez que hayan salido los dientes definitivos, el diastema puede ser, como ya hemos visto, localizado o generalizado. Puede ser necesario tratarlo por motivos de salud o por razones puramente estéticas.
Muchos adultos optan por corregir la separación de dientes por razones estéticas, pero también porque sienten incomodidad a la hora de comer, ya que los alimentos se quedan entre los dientes con mayor facilidad. El diastema en adultos favorece la acumulación de placa bacteriana que puede desembocar en caries y otros problemas más graves.
Riesgos de no corregir el diastema
Te recordamos que no todos los casos de diastema son un problema de salud, pero cuando lo son, es importante tratarlo lo antes posible.
El diastema puede provocar un desequilibrio en la mandíbula y en la fuerza ejercida sobre los dientes. Este desequilibrio puede provocar con el paso del tiempo un desgaste:Del esmalte, de las encías y de la estructura ósea.
El diastema también puede causar molestias a la hora de comer y crear caries. Es necesario mantener una excelente higiene oral y utilizar hilo dental después de cada comida, ya que los restos de alimentos favorecen la aparición de: Placa bacteriana y sarro, caries y mal aliento.
Diastema: ¿Cómo se soluciona?
La ortodoncia es un método perfecto para cerrar el diastema mediante el movimiento dental de los incisivos. Para niños y adolescentes, se puede optar por Invisalign First, mientras que los adultos pueden elegir ortodoncia invisible o Invisalign para una opción más estética.
Cuando la separación es causada por un frenillo demasiado desarrollado, lo más común es realizar una frenectomía, es decir, un pequeño corte en la membrana para eliminarla o para reducir el tamaño del frenillo.
En el caso de que las piezas sean muy pequeñas o que existan más espacios interdentales antiestéticos, y el paciente tenga una mordida adecuada, podemos recomendar carillas dentales o restauraciones de composite para mejorar la sonrisa. Esto es un tratamiento exclusivamente estético.
¿Cómo corregir los dientes separados?
El primer paso para corregir el diastema es conocer el origen y la causa que lo ha provocado. Un buen diagnóstico permite aplicar un tratamiento adecuado a cada caso para conseguir el cierre de diastema y obtener los resultados deseados:
- Coronas dentales: Se recomiendan en situaciones en las que la ortodoncia no puede tratar el problema. Es el caso de los pacientes con dientes pequeños (espacios generalizados), en los que habrá que colocar coronas en la gran mayoría de los dientes para obtener un resultado estético.
- Frenectomía: Se trata de una cirugía mínimamente invasiva que consiste en intervenir en el freno del labio superior, responsable de la separación de los dientes. Después de este procedimiento, normalmente, se usa ortodoncia como complemento para corregir el diastema.
- Ortodoncia: La mayoría de los casos de diastema requieren un tratamiento de ortodoncia. Hoy en día existen muchas opciones ortodónticas para tratar el espacio entre los dientes: brackets metálicos, de cerámica, transparentes, aparatos linguales o alineadores invisibles. La duración total del tratamiento de ortodoncia viene determinada por la complejidad del caso de cada paciente.
Ortodoncia invisible Impress para corregir dientes separados
Arreglar los dientes separados sin necesidad de utilizar brackets es posible gracias a los alineadores transparentes, que pueden tratar tu diastema con eficacia y discreción. ¡Da el primer paso para mejorar tu salud bucodental! No hay duda de que los tratamientos ortodónticos, tales como los alineadores invisibles o los brackets, pueden transformar la apariencia de tu sonrisa y la funcionalidad de tus dientes. Con estos tratamientos devolvemos a nuestros pacientes la confianza que necesitan para mostrar su dentadura con orgullo.
Diastema antes y después de usar ortodoncia Se le llama diastema al espacio o hueco que hay entre dos dientes (normalmente los incisivos centrales superiores, también conocidos como “paletas”). Aunque estéticamente no suele suponer un problema, en términos de salud sí que lo puede llegar a ser. Si los diastemas no se tratan, pueden conllevar caries, desalineamiento de la mandíbula, problemas de encías, etcétera. Los dientes separados antes y después del uso de ortodoncia invisible o brackets, cambian muchísimo, ya que, se consiguen juntar sin problema. Es por eso que, aplicar una ligera presión en los dientes con ortodoncia en dientes separados, es una buena opción. A continuación podrás ver el efecto de la ortodoncia en dientes separados antes y después.

Diastema antes y después de la ortodoncia
Otros problemas dentales y su corrección con ortodoncia
Además del diastema, existen otras malposiciones y maloclusiones dentales que se pueden solucionar con ortodoncia:
- Apiñamiento dental: Los dientes se solapan por falta de espacio.
- Mordida abierta: El arco dental superior e inferior no hacen contacto al cerrar la boca.
- Sobremordida: El arco dental superior cubre el arco inferior en exceso.
- Prognatismo: La mandíbula inferior sobresale de la superior.
- Overjet: Los incisivos superiores tienen una protuberancia respecto a los dientes de abajo.
- Agenesia dental: Falta de alguna pieza dental.
Aquí hay algunos ejemplos de cómo la ortodoncia puede transformar la sonrisa:
| Problema Dental | Descripción | Solución Ortodóntica |
|---|---|---|
| Apiñamiento | Dientes superpuestos por falta de espacio | Brackets o alineadores para alinear los dientes |
| Diastema | Espacio excesivo entre los dientes | Alineadores o brackets para cerrar el espacio |
| Sobremordida | Dientes superiores cubren excesivamente los inferiores | Alineadores o brackets para corregir la mordida |

Apiñamiento dental antes y después
Brackets de Zafiro: Una opción estética
Los brackets de zafiro son una alternativa estética a los brackets tradicionales. Están hechos de un material transparente que se mimetiza con el color del esmalte dental, haciéndolos menos visibles. Son una opción eficaz para corregir dientes apiñados, torcidos o separados.
Prevención del diastema
Los diastemas tienen un factor genético y, en este sentido, evitarlo es una tarea muy complicada. Sin embargo, cuando la separación dental responde a un hábito durante la infancia, sí que es posible prevenirlos. Es normal que un bebé se chupe el dedo, tome biberón o use chupete.