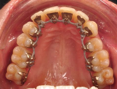
La ortodoncia lingual ha sido durante años una opción popular para quienes buscaban discreción en su tratamiento ortodóncico. Esto es posible gracias a que los brackets se colocan en la cara lingual, es decir, en la cara interna del diente.
Los brackets linguales son un sistema de aparato que se colocan en la cara interna de los dientes. Esto la ha posicionado durante mucho tiempo como una de las grandes opciones de la ortodoncia invisible junto con los alineadores removibles Invisalign. Durante años ha sido la técnica más utilizada por pacientes adultos que buscaban discreción durante su tratamiento.

Ventajas y Desventajas de la Ortodoncia Lingual
Antes de determinar qué tipo de ortodoncia es mejor para ti, hay que valorar las ventajas y desventajas que ofrece cada uno de ellos, teniendo en cuenta nuestro estado de salud bucodental inicial así cómo nuestras necesidades y preferencias.
Ventajas
- Invisibilidad total: La ortodoncia lingual es el único procedimiento completamente imperceptible, incluso a distancias cortas. Ofrece total invisibilidad frente a los brackets externos y, aunque los alineadores invisibles son prácticamente imperceptibles la ortodoncia lingual es la única que no se ve.
- Tratamiento personalizado: Además es un tratamiento adaptado a cada paciente ya que los brackets se hacen a medida de cada boca. Esto puede entenderse como una ventaja debido a la precisión que ofrece dicha personalización.
Desventajas
- Disponibilidad limitada: Sin embargo, a largo plazo esa disponibilidad limitada genera más inconvenientes ya que en caso de rotura o fractura del bracket el proceso de fabricación podría prolongar el tratamiento ya que requiere alta especialización y laboratorios específicos.
- Higiene compleja: Existen otras limitaciones como una higiene más compleja.
- Precio elevado: Un precio elevado que pueden frenar la elección de la ortodoncia lingual frente a cualquier otro sistema de ortodoncia.
- Molestias al hablar o comer: Aunque en el aspecto estético la ortodoncia lingual no interfiere de ninguna manera en la vida del paciente, supone una serie de dificultades y molestias al hablar o comer.
Brackets vs Invisibles | La verdad
Sin embargo, actualmente este tipo de tratamiento ha sido sustituido en nuestra clínica por alternativas más avanzadas y eficaces como Invisalign, que ofrece resultados similares con mayor comodidad para el paciente. Preferencia de los pacientes por Invisalign un sistema que combina la estética invisible con mayor comodidad, higiene y rapidez en los resultados. Así, soluciona problemas de apiñamiento, mordida abierta, mordida cruzada, sobremordida, etc.

Consejos para Aliviar las Molestias
Al principio, los brackets te harán sentir molestias. Podemos enumerar una serie de consejos para poner remedio a las molestias generadas a lo largo de un tratamiento de ortodoncia con brackets linguales.
- Si tienes pequeñas llagas o heridas producidas por el roce del aparato, te aconsejamos que hagas uso de la cera especial para ortodoncia. Sólo deberás colocar una pequeña parte en la zona que está provocando la herida para evitar la acción directa de los brackets sobre la mucosa.
- Es aconsejable seguir una dieta blanda -purés, sopas o guisos fáciles de masticar-.
- Por ello, es frecuente que aparezca acumulación de placa bacteriana o gingivitis.
Otras Opciones de Ortodoncia Estética
Dentro de las diferentes opciones de ortodoncia, ya contamos con un paso más allá de los brackets metálicos. Los brackets estéticos suponen un avance con respecto a la ortodoncia convencional gracias a sus características especiales. Son mucho más discretos que los metálicos y pueden resultar imperceptibles en distancias medias. Por esta razón, se han convertido en otra de las opciones populares, tanto entre adolescentes como adultos. Además, esta característica no afecta ni a los resultados ni a la calidad global del tratamiento.
Este tipo de brackets están indicados para todas las edades y lo que aportan es una solución más estética frente a los brackets convencionales. Para muchas personas pasar varios meses con una ortodoncia fija y visible que afecte a su imagen puede suponer, incluso, llegar a rechazar un tratamiento necesario para su salud bucal.
Partiendo de una base común con los metálicos, la diferencia son los materiales y su visibilidad de cara al exterior. El bracket en sí se fabrica en materiales transparentes o de un color muy similar al propio esmalte del paciente, por lo que pasan más desapercibidos. Los materiales elegidos con resistentes y duraderos, como la porcelana o el zafiro. Estos se mimetizan con la superficie del diente, adhiriéndose con la misma fijación que un bracket convencional.
La principal ventaja, sin duda, es la transparencia del propio bracket, lo que los convierte en una opción deseable cuando nos preocupa nuestro aspecto durante el tratamiento. Pero su resistencia y su precio también los convierten en una opción atractiva, dado que el resultado global no se ve afectado. Los brackets no se tiñen con el tiempo, si bien requieren de los cuidados extras de una ortodoncia de estas características.
Tipos de Brackets
Con la ortodoncia conseguimos unos dientes alineados y una buena mordida, es decir, estética dental y funcionalidad. Además es un tratamiento que se puede aplicar tanto en niños como en adultos. Lo que usamos para ortodoncia es igual en ambos, no hay brackets para niños o para adultos. Hay de diferentes tamaños según el diente.
Es importante saber que el «aparato» consta de dos partes: los brackets que van pegados a los dientes y hay de varios tipos y la otra parte que se va cambiando en cada visita que son los arcos y las gomas que las sujetan. Las gomas que sujetan el arco en el tratamiento tradicional pueden ser de color transparente o metálico, que son los más usados o también pueden ser de colores, lo que puede confundir a la gente y que piensen que hay brackets de colores.
- Brackets metálicos: De todos los tipos de brackets son los más conocidos y menos estéticos. Es el comúnmente llamado aparato para los dientes. Consiste en llevar en cada diente un bracket de metal gris.
- Brackets de cerámica o porcelana: Son brackets, como los anteriores pero de color blanco por lo que pasan un poco más desapercibidos que los anteriores.
- Brackets de autoligado: Con estos brackets evitamos llevar las gomas que sujetan el arco al bracket. Estos sujetan el arco mediante una pestañita que tienen. Esto ofrece varias ventajas como que permiten una mayor limpieza al prescindir de las gomas.
- Ortodoncia lingual: Es un aparato que se coloca por las caras de dentro de los dientes mediante brackets pero más pequeños. Esta opción es bastante estética ya que al sonreír no se ven los brackets porque están por dentro.
- Invisalign: Es un tratamiento que actualmente está en auge y parece ser que podría llegar a sustituir a la ortodoncia tradicional. Consiste en una serie de férulas transparentes, como el aparato transparente que se coloca al final de la ortodoncia para retención. El paciente acude a la clínica cada cierto tiempo y recoge las férulas. Debe de ir cambiándolas cada dos semanas. Es un tratamiento totalmente individualizado y que requiere un minucioso estudio por parte del dentista ortodoncista.
Casos Reales de Ortodoncia Invisible
La ortodoncia invisible se ha convertido en uno de los tratamientos más demandados para corregir la alineación de los dientes, especialmente entre los pacientes adultos, que suelen valorar los métodos cómodos y discretos. En este artículo, vamos a compartir contigo los casos reales de pacientes que, gracias a la ortodoncia invisible, lograron corregir sus maloclusiones y tener una sonrisa más estética y funcional. A continuación, te mostraremos los resultados de algunos de los pacientes que hemos tratado.
Caso 1: Apiñamiento Leve
Antes: Nuestro primer paciente presentaba un apiñamiento leve. El apiñamiento no solo perjudica la estética de la sonrisa, sino que también puede dificultar la higiene dental, ya que impide pasar el cepillo por todas las superficies de los dientes. Esto aumenta el riesgo de sufrir caries y enfermedades periodontales (gingivitis y periodontitis). Asimismo, la falta de alineación provoca sobrecargas y desgastes excesivos en determinados dientes, ya que las piezas dentales no contactan entre ellas de la manera adecuada.
Después: Tras el tratamiento con ortodoncia invisible, los dientes se encuentran correctamente alineados y la mordida es más uniforme. Esto ha mejorado la estética de la sonrisa y su salud, ya que el paciente puede practicar una mejor higiene con el cepillo y el hilo dental.
Caso 2: Mordida Cruzada y Apiñamiento Dental
Antes: Nuestro segundo paciente presentaba mordida cruzada y apiñamiento dental. La mordida cruzada es un tipo de maloclusión en la que los dientes superiores muerden por dentro de los dientes inferiores. Esto, entre otras cosas, afecta a la funcionalidad a la hora de masticar. Además, el hecho de que los dientes estuvieran desalineados y apiñados perjudicaba la estética, la higiene dental y la salud de la boca.

Caso 3: Mordida Abierta
Antes: Nuestro tercer paciente presentaba mordida abierta, una maloclusión que se caracteriza por la imposibilidad de cerrar la boca completamente, lo que provoca una falta de contacto entre los dientes superiores e inferiores. Aunque la mordida abierta puede producirse en cualquier zona de la boca, nuestro paciente presentaba mordida abierta anterior (visible en la parte delantera de la boca).
Como has podido comprobar a través de los ejemplos que te hemos mostrado, este tratamiento permite corregir numerosas alteraciones que afectan a la salud, la estética y la funcionalidad de la boca. Incluso, puede solucionar inconvenientes que afectan a la rutina diaria y perjudican la calidad de vida.