La limpieza de encías es una práctica fundamental para mantener una boca sana y evitar problemas graves en el futuro. Aunque solemos centrarnos en la limpieza de los dientes, las encías también requieren atención especial para mantenerse sanas y fuertes. Te voy a ser sincero: durante mucho tiempo no presté atención a mis encías. Me cepillaba los dientes pensando solo en evitar caries, sin darme cuenta de que este tejido rosado que rodea los dientes es igual de vital.
En este artículo te explicaré de manera cercana todo lo que necesitas saber sobre las encías y cómo cuidarlas. Hablaremos de sus funciones en la salud bucodental, los problemas frecuentes y sus causas, consejos de prevención, tratamientos caseros y profesionales, cuándo es necesario acudir al dentista, e incluso desmentiremos algunos mitos comunes sobre la salud de las encías.

¿Qué son las Encías y por qué son Importantes?
La encía, también llamada gingiva, es el tejido blando y fibroso que recubre los maxilares y rodea la base de los dientes. Siempre he pensado que las encías son como los “guardianes silenciosos” de la boca. ¿Por qué es tan importante? Te puedo contar que unas encías sanas mantienen mi sonrisa firme y sin dolor. Unas encías enfermas, en cambio, pueden causar desde sangrado al cepillar, hasta pérdida de dientes en casos graves.
Además, la salud de las encías se relaciona con la salud general: unas encías enfermas (enfermedad periodontal) se han asociado con problemas cardiovasculares, diabetes y otras condiciones sistémicas.
Funciones de las Encías
¿Qué funciones cumplen exactamente?
- Protección y barrera contra bacterias: La encía forma un sello alrededor de cada diente, funcionando como una barrera natural que impide la entrada de bacterias y partículas hacia las raíces dentales y el hueso.
- Soporte y sujeción de los dientes: Una de las funciones principales de la encía es sostener los dientes en su posición. Junto con el hueso alveolar y los ligamentos periodontales, las encías forman parte del periodonto, que es el conjunto de tejidos que mantienen cada diente firme en su lugar.
- Amortiguación de fuerzas: Las encías actúan como un pequeño cojín. Al masticar alimentos o al morder, las encías absorben parte del impacto o la presión. Esto protege tanto a los dientes como al hueso de golpes directos.
- Suministro de sangre y nutrientes: Aunque no lo parezca, las encías están llenas de vasos sanguíneos diminutos. Estos vasos nutren a los dientes y al hueso cercano, ayudando a mantenerlos sanos.
- Función estética: No puedo olvidar mencionar la estética. Unas encías de color rosa pálido, firmes y bien contorneadas hacen que la sonrisa se vea saludable y armoniosa. Si las encías están inflamadas o retraídas, la apariencia de la sonrisa cambia (dientes más largos, rojos o con espacios negros).
Como ves, las encías no están ahí de adorno. Son multifuncionales y trabajan en equipo con tus dientes. Cuando cuidas tus encías, les permites cumplir estas funciones a la perfección. Ahora bien, ¿qué pasa cuando algo no va bien con ellas?
Problemas Comunes de las Encías
A lo largo de mi vida he experimentado o visto varios de estos problemas en las encías. Seguramente tú también has notado alguna vez las encías rojas o un poco de sangrado al cepillarte. Es importante reconocer estos signos a tiempo.
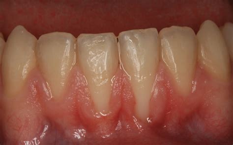
Encías Inflamadas
Las encías inflamadas son quizás el problema más frecuente y suelen ser el primer aviso de que algo anda mal. Cuando hablo de encías inflamadas me refiero a encías enrojecidas, hinchadas e incluso un poco brillantes. En lugar de ese color rosa coral saludable, toman un tono rojo intenso. ¿Por qué se inflaman las encías? La causa más común es la gingivitis, una inflamación causada por la acumulación de placa bacteriana. Si, como me pasó a mí en el pasado, no eres muy constante con el cepillado o el uso de hilo dental, la placa (esa película pegajosa de bacterias y restos de comida) se acumula en la línea de la encía.
Otras causas de encías inflamadas pueden ser cambios hormonales (por ejemplo, durante el embarazo muchas personas sufren “gingivitis del embarazo”), ciertos medicamentos que inducen crecimiento gingival, respirar constantemente por la boca, o irritantes como el tabaco.
Sangrado de Encías
El problema de unas encías inflamadas es que muchas veces vienen acompañadas de otro síntoma: el sangrado. ¿Te ha pasado de escupir espuma rosada al cepillarte? A mí sí, y la primera vez me asusté bastante. El sangrado de encías no es normal (aunque muchos piensen que “un poco de sangre al cepillar es algo común”). Unas encías sanas no deben sangrar ni al cepillarse ni al usar el hilo dental.
La principal causa, de nuevo, suele ser la gingivitis. Las encías inflamadas están tan irritadas que cualquier roce - el cepillo de dientes, el hilo dental, o incluso morder una manzana - las hace sangrar. Otra situación: si llevas mucho tiempo sin usar seda dental y comienzas a usarla, puede que las encías sangren las primeras veces. Esto generalmente pasa porque había inflamación por acumulación de placa entre los dientes.
Ahora, ojo: encías sangrantes de forma espontánea o persistente (por ejemplo, encuentras la almohada con manchitas de sangre o te sangran incluso sin cepillar) pueden indicar un problema más serio. La periodontitis (infección más profunda de la encía y el hueso) también causa sangrado, a veces acompañado de pus, mal aliento y movilidad dental en etapas avanzadas. En casos raros, encías que sangran podrían relacionarse con trastornos sistémicos (como problemas de coagulación o deficiencias nutricionales severas, tipo escorbuto por falta de vitamina C). En cualquier caso, el sangrado de encías es un llamado de atención.
Encías Retraídas
Las encías retraídas son otro problema frecuente, especialmente a medida que envejecemos o si hemos tenido enfermedad periodontal. Yo lo describo así: es cuando la encía “se echa para atrás” dejando expuesta una parte del diente que antes no veíamos. De pronto notas tus dientes más largos o ves la raíz de un diente asomando. ¿Por qué ocurre la recesión de encías?
- Enfermedad periodontal (periodontitis): Una gingivitis no tratada puede avanzar a periodontitis, donde las encías se desprenden del diente formando bolsas y el hueso de soporte se va perdiendo. Esto suele provocar que la encía se retraiga.
- Cepillado agresivo: Irónicamente, querer limpiar muy bien puede dañar. Si usas un cepillo de cerdas duras o tallas tus dientes con mucha fuerza (movimientos bruscos horizontales), puedes desgastar la encía en el cuello del diente. Yo mismo en algún momento cepillaba muy fuerte pensando que así limpiaba mejor, hasta que noté una ligera retracción en un colmillo.
- Bruxismo (rechinar dientes): Apretar o rechinar los dientes también puede contribuir a la recesión.
- Factores anatómicos o genéticos: Algunas personas naturalmente tienen encías más delgadas y frágiles (biotipo gingival fino) que son más propensas a retraerse con irritantes leves.
El principal problema de las encías retraídas, además del estético (ese “diente largo” que puede hacerte sentir cohibido al sonreír), es la sensibilidad dental. Al exponerse la raíz del diente, que no está cubierta de esmalte, puedes sentir dolor con bebidas frías, calientes o incluso al respirar aire frío.
Dolor de Encías
El dolor de encías no es algo que debamos ignorar. Personalmente, lo he experimentado al comer algo muy caliente que me quemó la encía, y también cuando tuve una llaga cerca de la línea gingival. Las encías, cuando están sanas, no duelen así como así.
- Úlceras o llagas (aftas): Son esas pequeñas lesiones redondas y blancas que arden al rosarles. Pueden aparecer en la encía, causándote dolor localizado.
- Infecciones o abscesos: Un absceso periodontal es una acumulación de pus en la encía, producto de una infección bacteriana. Esto duele mucho (dolor punzante, latente) y la encía se ve hinchada, con una especie de bulto.
- Encías muy inflamadas: En la gingivitis típica, suele haber más molestia que dolor agudo.
Sea cual sea la causa, el dolor en las encías nos está pidiendo atención. Nadie quiere estar con la encía adolorida mientras come o habla.
Estos cuatro problemas - encías inflamadas, sangrantes, retraídas y dolor en encías - abarcan la mayoría de situaciones comunes. Muchas veces están interrelacionados (por ejemplo, la gingivitis causa inflamación y sangrado; la periodontitis causa sangrado y retracción). En mi experiencia, la causa número uno de los problemas de encías es la acumulación de placa bacteriana por una higiene deficiente. Pero no es la única.

Causas del Agrandamiento de la Encía
El agrandamiento de la encía o agrandamiento gingival es un fenómeno que se produce en algunos pacientes cuando, por diversos motivos, los tejidos que rodean a los dientes, crecen excesivamente. Como ya hemos comentado, existen varios factores, tanto externos como internos, que pueden provocar esta patología.
Causas Principales
- Causas hereditarias: La más frecuente es la hiperplasia gingival idiopática.
- Falta de higiene oral: Este es uno de los motivos más habituales que provocan el agrandamiento gingival por la acumulación de sarro y placa entre la base del diente y la encía, que ocasiona inflamación y sangrado de encía.
- Ortodoncia: En ocasiones los dientes torcidos fomentan la acumulación de restos de alimentos y de placa o sarro en la base de los dientes, provocando a su vez la inflamación de encías y en consecuencia, su agrandamiento.
- Respiración oral: Puede parecer una cuestión baladí, pero respirar por la boca de manera continuada reseca mucho la cavidad y puede generar numerosos problemas como el daño de las encías.
- Factores hormonales (pubertad/embarazo): Los cambios hormonales que, sobre todo las mujeres, padecen en momentos concretos como la pubertad o el embarazo, determinan otros factores que pueden afectar a la inflamación de encías.
Otros Factores de Riesgo
- Placa bacteriana y sarro: Lo repito porque es crucial: la placa es el enemigo público número uno de las encías. Si no eliminas la placa a diario, esta se mineraliza formando sarro (tártaro) que se pega tenazmente al diente. El sarro es rugoso y facilita más acumulación de placa, creando un círculo vicioso de irritación. Las bacterias en la placa y el sarro producen toxinas que causan gingivitis.
- Técnica de higiene inadecuada: No solo importa cepillarse, sino cómo lo hacemos. Un mal cepillado (rápido, sin cubrir todas las zonas o muy superficial) deja placa en las encías. Por otro lado, un cepillado demasiado agresivo puede dañar físicamente el tejido.
- Tabaquismo: Fumar es pésimo para las encías. El tabaco reduce el flujo sanguíneo en la encía y altera la respuesta inmunitaria. ¿Sabías que los fumadores a veces no ven sus encías sangrar mucho a pesar de tener enfermedad periodontal? Es porque el tabaco “enmascara” la inflamación, pero el daño sigue ocurriendo debajo. Los fumadores tienen 2 a 5 veces más riesgo de periodontitis que los no fumadores.
- Cambios hormonales: Como mencioné antes, etapas como la pubertad, el embarazo o la menopausia pueden hacer que las encías se vuelvan más sensibles a la placa. En el embarazo, por ejemplo, el aumento de ciertas hormonas puede causar que incluso cantidades pequeñas de placa provoquen encías muy inflamadas y sangrantes (gingivitis gestacional).
- Genética y predisposición: Hay personas que, por herencia, tienen mayor predisposición a las enfermedades de las encías. Pueden formar sarro más rápidamente, tener encías más delicadas o respuestas inmunes diferentes a las bacterias.
- Enfermedades sistémicas: Diabetes es la más conocida en este punto. Una diabetes mal controlada aumenta el riesgo de enfermedad periodontal y a su vez tener periodontitis puede dificultar el control de la glucemia - es una vía de doble sentido.
- Alimentación deficiente: Una dieta baja en nutrientes esenciales puede debilitar las defensas de la encía. La falta de vitamina C puede causar sangrado fácil de encías (como en el escorbuto, caso extremo). Deficiencia de vitamina D, de vitaminas del complejo B, o dietas muy altas en azúcares (que alimentan las bacterias) también son factores que perjudican la salud gingival.
- Medicamentos: Algunos fármacos tienen efectos secundarios en las encías. Por ejemplo, la fenitoína (un anticonvulsivo), inmunosupresores como la ciclosporina, y algunos bloqueadores de canales de calcio para hipertensión pueden causar crecimiento excesivo de encía (hiperplasia gingival). Este tejido extra inflamado sangra con facilidad. Otros medicamentos pueden reducir la saliva (efecto de boca seca), favoreciendo placa y problemas gingivales.
- Estrés: Quizás te sorprenda, pero el estrés crónico se ha ligado con mayor riesgo de enfermedad periodontal. El estrés puede debilitar la respuesta inmunológica y además suele ir acompañado de descuidar hábitos saludables. Algunos estudios sugieren que personas muy estresadas tienen encías más susceptibles a inflamarse.
Las causas inmediatas suelen ser bacterias por higiene deficiente, mientras que los factores de riesgo como el tabaco, la genética, enfermedades o cambios hormonales pueden agravar o acelerar los daños. La buena noticia es que muchos de estos factores los podemos controlar o manejar.
¿Qué Sucede Después de una Limpieza Dental?
La limpieza de encías es un procedimiento dental enfocado en eliminar la acumulación de placa y sarro que se forma alrededor y debajo de las encías. El procedimiento de limpieza profunda, conocido también como “raspado y alisado radicular,” se centra en eliminar el sarro que se encuentra debajo de las encías. Este tratamiento es ideal para pacientes que presentan una inflamación considerable de las encías o para aquellos que no han realizado limpiezas dentales periódicas.
Una de las preguntas más frecuentes sobre este procedimiento es si duele. La limpieza de encías puede generar algo de incomodidad, especialmente cuando se realiza una limpieza profunda. La experiencia varía según la sensibilidad de cada persona y el estado de sus encías. En general, el dolor es leve y desaparece una vez que el procedimiento termina. Sin embargo, es normal que las encías queden un poco sensibles e inflamadas después de la limpieza.
¿Es Normal el Sangrado Después de la Limpieza?
Después de una limpieza de encías, es común experimentar un ligero sangrado y sensibilidad en las encías, especialmente si el sarro estaba en contacto profundo con el tejido gingival. Este sangrado es normal y debería disminuir en uno o dos días. Sí, es bastante común que las encías presenten un leve sangrado, especialmente si había acumulación de sarro o inflamación previa. Este sangrado debería desaparecer en poco tiempo.
¿Pueden Crecer las Encías Después de una Limpieza?
Aunque las encías no “crecen” propiamente, una limpieza adecuada ayuda a reducir la inflamación, lo que puede hacer que se vean más saludables y menos retraídas. El nombre técnico es “raspado y alisado radicular” o “curetaje”.
Cuidados después de realizar un CURETAJE 🦷 - Clínica Ikigai Dental - Dentista en el Cañaveral
Luego de un curetaje dental lo normal es notar una reducción en el sangrado de las encías y menos inflamación de los tejidos. En la mayoría de los casos no sentirá dolor ni molestias. Aunque el tratamiento periodontal mediante láser no necesita anestesia, si el paciente lo requiere incluso se puede utilizar anestesia local.
La superficie de las raíces puede quedar más expuesta una vez baja la inflamación. Los dientes pueden ser más sensibles a los cambios de temperatura o a la hora de comer alimentos dulces. Esta sensibilidad a los cambios de temperatura puede durar los 3 primeros días posteriores al curetaje dental. Para la sensibilidad puede usar pasta de dientes desensibilizante. Si la encías están sensible, límpiese los dientes suavemente. A partir del tercer o cuarto día se pueden retomar las técnicas habituales de higiene bucal.

Tratamiento del Agrandamiento de la Encía
Además de los consejos que te hemos aportado hasta ahora para acabar con el agrandamiento de la encía, existe un procedimiento específico para tratar este tipo de casos. La técnica se practica bajo anestesia local y consiste en eliminar una pequeña banda de encía para que el diente se vea un poco más en boca.
Si crees que padeces agrandamiento de la encía o cualquier otra patología que afecte a esta parte tan sensible de tu boca, no dudes en pedirnos cita sin compromiso alguno.
¿Cómo Recuperar la Encía Retraída?
Lo primero que debes saber es que la encía no es un tejido que pueda regenerarse y crecer por sí sola de forma natural, por lo que para recuperar las encías retraídas tenemos que recurrir a un tratamiento quirúrgico para recuperarlas.
¿Cómo recuperar la encía retraída con cirugía? Para realizar el injerto, extraemos tejido de tu paladar y lo colocamos sobre la zona de encía dañada para que se integre con el resto del tejido. Además, requiere pocos puntos de sutura y resulta muy poco invasiva. Recuerda que una encía retraída deja desprotegido al diente y, en última instancia, acaba provocando su caída.
¿Y sin cirugía? No, no es posible recuperar encías sin cirugía porque no existe ningún tratamiento de encías que te permita regenerar el tejido de manera natural. Para ello, utilizamos técnicas de microcirugía y la última tecnología para realizar la intervención de forma precisa y que tu posoperatorio sea lo más satisfactorio posible.
Prevención: La Clave para unas Encías Sanas
Dicen que “más vale prevenir que curar”, y con las encías esto es totalmente cierto. Después de algunas malas experiencias, aprendí a cuidar mis encías con tanto esmero como cuido mis dientes.
Consejos para el Cuidado de las Encías
- Higiene oral impecable todos los días: Suena obvio, pero es la base. Cepíllate los dientes al menos dos veces al día (por la mañana y antes de dormir) asegurándote de masajear suavemente la línea de la encía. Usa un cepillo de cerdas suaves o medio-suaves; así limpias sin lastimar. La técnica ideal es colocar el cepillo en un ángulo de 45° hacia la encía y hacer movimientos suaves circulares o verticales de la encía hacia el diente (nunca al revés). Tómate tu tiempo: unos 2-3 minutos de cepillado.
- Limpieza entre dientes a diario: Yo antes era perezoso con el hilo dental, pero entendí que cepillar no es suficiente. Las bacterias se esconden entre los dientes donde el cepillo no llega. Así que cada noche, usa hilo dental o cepillos interdentales. Pásalo con cuidado por el espacio entre cada diente, llegando justo debajo del borde de la encía para sacar restos de comida y placa. Al principio puede darte pereza (lo sé), pero una vez lo incorporas, es rápido y tus encías estarán mucho más sanas. Alternativas: irrigador dental de agua si te resulta más cómodo.
- Enjuague bucal antibacteriano (opcional): Un colutorio fluorurado o antiséptico puede ayudar a reducir bacterias. Por ejemplo, enjuagues con clorhexidina se usan temporalmente cuando hay gingivitis severa (siempre bajo indicación profesional porque su uso prolongado mancha los dientes). También enjuagarte con agua tibia salada ocasionalmente puede aliviar encías irritadas.
- Dieta equilibrada y amigable con tus encías: Lo que comes influye. Reduce el consumo de azúcares y ultraprocesados, porque alimentan las bacterias que dañan encías. En cambio, lleva una dieta rica en frutas, verduras y alimentos con vitaminas C y K, que favorecen la salud de las encías (estas vitaminas ayudan a la cicatrización y fortaleza capilar). Los antioxidantes de frutas y verduras también combaten la inflamación. Incluye calcio y vitamina D (lácteos, almendras, etc.) para mantener huesos y dientes fuertes.
- No fumes (y limita el alcohol): Ya te mencioné cómo el tabaco daña las encías. Si eres fumador, considera seriamente dejarlo, tus encías te lo van a agradecer con creces. El alcohol en exceso también irrita los tejidos bucales y contribuye a la sequedad bucal, así que mejor con moderación.
- Cepillos y productos adecuados: Cambia tu cepillo de dientes cada 3 meses (o antes si las cerdas están abiertas). Un cepillo gastado no limpia bien y puede irritar. Si tienes encías sensibles, puedes probar cepillos eléctricos con sensor de presión (para no pasarte de fuerza) o cepillos ultrasuaves específicos.
- Visitas regulares al dentista y limpiezas profesionales: Aunque seas muy aplicado en casa, acude al dentista al menos una vez cada 6-12 meses para revisión y limpieza profesional. Yo programo mis limpiezas cada 6 meses sin falta. En la consulta, el odontólogo o higienista eliminará el sarro que no podemos quitar en casa y pulirá tus dientes. Esto no solo deja tus dientes brillantes, sino que mantiene la encía adherida y sana. Además, en estas visitas tempranas el dentista puede detectar si hay señales iniciales de gingivitis o periodontitis y darte recomendaciones o tratamientos antes de que empeore.
Mitos y Verdades sobre la Limpieza Dental y las Encías
Existen diversas creencias sobre la aparición de huecos tras una limpieza dental.
- Verdad: La limpieza dental no daña el esmalte ni provoca huecos.
- Verdad: Las limpiezas dentales son esenciales para la salud bucal.
La respuesta es positiva, pero con matices. El objetivo principal del curetaje es reducir la inflamación de las encías y eliminar las bolsas periodontales que se forman debido a la acumulación de placa y sarro bajo la línea de las encías.
¿Qué ocurre después del curetaje?
Una vez que se elimina esta causa de inflamación y la infección se controla, las encías comienzan a sanar y, en muchos casos, se reafirman alrededor de los dientes. Esto puede dar la apariencia de que las encías “vuelven a su sitio”.
Consideraciones importantes
Aunque el curetaje puede mejorar la apariencia de las encías y su adhesión a los dientes, los resultados finales dependen de varios factores, incluyendo:
- La severidad de la enfermedad periodontal antes del tratamiento
- El cuidado postoperatorio por parte del paciente (higiene oral y seguimientos regulares).
En casos de recesión gingival severa, donde las encías se han retraído significativamente no “vuelven a su lugar” solo con el curetaje, pueden considerarse tratamientos adicionales como los injertos de encía para restaurar la línea de las encías.