En un mundo donde la primera impresión puede ser crucial, tener una sonrisa atractiva es cada vez más importante. La odontología estética ofrece múltiples soluciones para tener unos dientes más bonitos, y uno de los tratamientos con los que se obtienen mejores resultados son las carillas dentales. Este tratamiento es una de las soluciones más populares y efectivas en el campo de la odontología cosmética para mejorar la estética de la sonrisa.
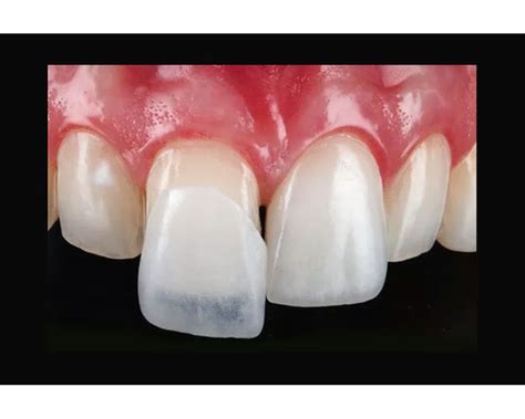
Las carillas dentales son unas láminas muy finas -generalmente inferiores a un milímetro de espesor- que se fijan sobre la parte visible de uno o varios dientes. Son finas láminas fabricadas en porcelana o composite a medida de cada pieza dental que se adhieren a la parte frontal de los dientes para mejorar su apariencia. Van pegadas en la cara visible del diente, con una finalidad estética. Como su finalidad es estética, se colocan únicamente en los dientes visibles, los frontales, mejorando considerablemente la sonrisa.
Su objetivo es corregir problemas estéticos (fracturas leves, cambios de color…) o patológicos (originados por caries). Su principal objetivo es mejorar el aspecto de los dientes, ya sea para modificar su tamaño, color, forma o posición. Por tanto, tienen una finalidad puramente estética. El objetivo de las carillas dentales es restaurar o modificar parte de la estructura del diente, por lo que también tiene un objetivo estético.
Cada uno de estos materiales tiene sus propios beneficios y métodos de aplicación. El diseño de las carillas se lleva a cabo a partir de un molde de la boca del paciente, de forma que encajan perfectamente logrando un resultado estético óptimo.
Carillas Dentales Vs Diseño de Sonrisa | Lo que tienes que saber antes de decidir
¿Cuándo están indicadas las carillas dentales?
Muchos pacientes nos consultan sobre cuándo poner carillas dentales. Las carillas estéticas se emplean en casos en los que el paciente desea mejorar el aspecto de sus dientes. Las carillas dentales permiten corregir defectos como:
- Dientes irregulares
- Dientes separados o torcidos
- Dientes rotos
- Dientes amarillos
- Dientes con manchas resistentes al blanqueamiento dental producidas por tetraciclinas
- Dientes desgastados
En los casos en que se desea corregir una inadecuada posición de los dientes o un exceso de espacio interdental (diastema) el dentista deberá valorar si es posible lograr buenos resultado con las carillas, o bien si resulta más adecuado realizar un tratamiento con ortodoncia.

Ejemplo de corrección de diastema con carillas dentales.
Una vez finalizado el tratamiento ortodóntico, algunas personas pueden sentir que, aunque sus dientes están alineados, tal vez no tengan el aspecto deseado en cuanto a forma o color. En algunos casos de dientes mal alineados y espacios dentales (diastemas), la ortodoncia puede no ser viable o deseada por razones estéticas o de tiempo. Los espacios entre los dientes pueden hacer que tu sonrisa parezca irregular y que los dientes se vean desiguales.
Las carillas se diseñan a medida para cada paciente, lo que permite corregir dientes que pueden ser demasiado cortos, puntiagudos, o con formas irregulares. El desgaste dental puede ser resultado del bruxismo (rechinar de dientes), dietas ácidas, o simplemente del uso natural a lo largo de los años. Los dientes rotos no solo afectan la estética de tu sonrisa, sino también la funcionalidad de tu mordida. Si buscas una transformación total de tu sonrisa, las carillas pueden ser la solución.
Factores como el consumo de ciertos alimentos, bebidas, o el hábito de fumar pueden llevar a una sonrisa menos brillante. Las manchas dentales pueden ser extrínsecas o intrínsecas. Antes de optar por carillas, es crucial realizar una evaluación completa de tu salud dental. Nuestros dentistas deberán asegurarse de que tus dientes y encías están saludables.
Tipos de carillas dentales
Muchos pacientes nos preguntan qué carillas dentales son las mejores. Pueden estar hechas de diferentes materiales, pero suelen ser de porcelana o composite. Por lo general, estas últimas suelen confeccionarse en la propia clínica dental con un material fotocurable, igual que el que se usa para hacer los empastes.
- Carillas de porcelana: Son conocidas por su durabilidad y apariencia similar al diente natural. Son resistentes a manchas y pueden durar muchos años con el cuidado adecuado.
- Carillas de composite: Aunque generalmente son más económicas que las de porcelana, las carillas de composite pueden requerir reemplazos más frecuentes. Las carillas estéticas de composite están hechas con una resina acrílica que se adhiere a la superficie del diente. Pueden moldearse directamente en la boca, o pueden realizarse en un laboratorio y posteriormente, colocarlas. En muchos casos puede que ni requieran tallar el diente. Normalmente este tipo de carillas se utilizan en niños o adolescentes que aún no han terminado su edad de crecimiento. Su vida útil es de 5 a 10 años.
¿Cuándo no están indicadas?
Como hemos señalado, antes de la colocación de las carillas, es preciso realizar una valoración de la salud oral del paciente. Antes de decidirse por este tratamiento es preciso evaluar la salud de la boca del paciente, para descartar la presencia de caries u otras enfermedades como la periodontitis que deberían tratarse y solucionarse antes de poner las carillas. El dentista debe asegurarse además que el paciente realiza habitualmente una adecuada higiene oral. La presencia de placa bacteriana puede indicar que el paciente no está realizando un correcto cepillado.
La presencia de enfermedades como la caries o la periodontitis o una mala higiene dental, desaconsejan su uso. Además, en aquellos pacientes que presentan una mordida incorrecta, maloclusiones o mordidas cruzadas, las carillas dentales no están indicadas. En estos casos sería necesario un tratamiento previo con ortodoncia para corregir estas disfunciones. Las carillas dentales tampoco están indicadas en personas que padecen bruxismo o rechinar de dientes.
¿Cuánto tiempo duran las carillas dentales?
La duración de las carillas dentales está determinada por diversos factores, como los cuidados que siga el paciente en cuanto a higiene oral, alimentación, tabaco, hábitos, revisiones con el dentista, etc. La duración de las carillas estéticas depende de varios factores, entre ellos el material con el que están hechas. Adicionalmente, la durabilidad del tratamiento también depende del material con el que están fabricadas las carillas y de la técnica de colocación (directa o indirecta).
Las carillas de porcelana son más duraderas, hasta quince años, mientras que las carillas de composite pueden durar hasta diez años, aproximadamente. El tiempo de vida de las carillas dependerá también de otros factores como los cuidados del paciente; una buena higiene oral y las revisiones periódicas con el dentista, son fundamentales para obtener resultados a largo plazo. Por ello, no resulta posible determinar de antemano cuánto tiempo duran las carillas dentales. Lo que sí podemos decirte es que, con unos cuidados y unos mantenimientos adecuados, son un tratamiento pensado para durar a largo plazo.
Proceso de colocación de carillas dentales
- Evaluación inicial: El proceso comienza con una evaluación detallada de la salud dental del paciente y una discusión sobre sus expectativas estéticas. En una primera visita, se hará un diagnóstico previo que incluirá radiografías, fotografías y un escaneado intraoral, entre otras pruebas.
- Mock-up: En algunos casos se puede realizar una prueba real sobre los dientes, llamada mock-up, con la que profesional y paciente puedan ver y evaluar cómo sería el resultado final, tanto a nivel estético como funcional.
- Preparación dental: La colocación de carillas implica un desgaste mínimo del esmalte dental, que es necesario para asegurar una adhesión adecuada de la carilla.
- Colocación El procedimiento de colocación depende del tipo de carillas que vaya a llevar el paciente (porcelana, composite, disilicato de litio…). A la hora de elegir un tipo de carillas u otro es necesario acudir a la clínica dental y que sea el odontólogo quien aconseje el tipo de carilla más conveniente, en función de las necesidades de cada paciente.
Cuidados y mantenimiento
Para asegurar la longevidad de las carillas, es importante mantener una buena higiene bucal, incluyendo cepillado y uso de hilo dental diario. Aunque las carillas son resistentes, es prudente evitar alimentos extremadamente duros o pegajosos que puedan despegarlas o dañarlas.
Preguntas frecuentes
¿Las carillas dañan tus dientes naturales?
La colocación de carillas implica un desgaste mínimo del esmalte dental, que es necesario para asegurar una adhesión adecuada de la carilla.
¿Son seguras las carillas dentales?
Siempre que se realice un diagnóstico adecuado, junto con una planificación y ejecución correctas, el tratamiento será seguro y efectivo para mejorar la apariencia de la sonrisa.
¿Cuánto cuestan las carillas dentales?
El costo de las carillas varía significativamente dependiendo del material elegido, del tipo de estudio o mockup necesario y el número de carillas necesarias.
Tabla comparativa de materiales para carillas dentales
| Material | Durabilidad | Estética | Costo |
|---|---|---|---|
| Porcelana | 10-15 años | Excelente (apariencia natural) | Alto |
| Composite | 5-10 años | Buena (puede mancharse) | Moderado |

Tipos de carillas dentales: composite y porcelana.