Tener una buena salud bucodental, con una dentadura sana y completa, no solo es sinónimo de estética, sino también de salud. La salud bucodental no solo influye en la estética, sino también en el bienestar general. Ya sea por motivos funcionales, estéticos o de salud, cada vez más personas se plantean acudir a una clínica dental especializada para mejorar su sonrisa.
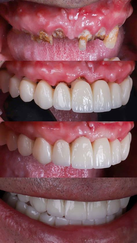
Los implantes dentales son una de las mejores opciones de tratamientos confiables y seguros para reponer dientes ausentes. Los implantes dentales no solo permitirán recobrar una bonita y joven sonrisa, sino que también lograrán devolver una correcta oclusión y masticación claves para una buena salud. Para este tipo de pacientes, la mejor solución pasa por colocarse implantes dentales en toda la boca. En los casos de edentulismo total, la mejor opción de tratamiento es poner implantes dentales en toda la boca. Arreglar la boca completa, no solo es posible, sino que es lo correcto de hacer.
Sin embargo, una de las preguntas más frecuentes en consulta es “¿cuánto cuesta arreglarse los dientes en España?”. No existe una respuesta única ni cerrada al preguntar “¿cuánto vale arreglarse los dientes en España?”. Un blanqueamiento dental tiene un precio muy diferente al de una rehabilitación oral completa o a unos implantes dentales. Es crucial que un experto en Implantología sea quien se ocupe de valorar tu caso. Por eso, es necesario evaluar las necesidades específicas del paciente, saber si es apto para esta intervención y si necesitará algún procedimiento adicional (extracciones dentales, regeneración ósea, etc.).
Para poder brindarte un servicio más especializado, la primera visita es gratuita, por lo que tan solo tendrás que coordinar una cita que no dura más de 45 minutos y te irás a casa con el precio exacto de los implantes dentales. Ante cualquier duda, lo mejor que puedes hacer es acudir a profesionales especializados en el área para solicitar una visita y un presupuesto.

Factores que Influyen en el Precio de los Implantes Dentales
De este modo, ahora que ya conoces los beneficios que ofrece un implante dental, es momento de detallar algunos de los factores que influyen en el precio de este. Para concluir con el post de hoy, como puedes ver, existe una gran variedad de factores y aspectos que influyen en el coste de un implante dental. Como mencionamos a lo largo de la entrada, es importante considerar las necesidades particulares para identificar si es necesario realizar un tratamiento extra, como es el caso de una extracción dental o la regeneración de hueso.
Tecnología y Técnicas Utilizadas
Unos de los factores principales que influyen en el precio de un implante dental, son las tecnologías y las técnicas utilizadas en todo el proceso. Estas cumplen la función de intervenir en la planificación del procedimiento y ayudan a disminuir las molestias ocasionadas en el postoperatorio. En las últimas décadas, la implantología se ha sumado a las tecnologías avanzadas de imagen e impresión tridimensional para mejorar la precisión de la intervención y reducir las molestias postoperatorias del paciente.
Calidad del Implante Dental
La calidad del implante dental es uno de los elementos más determinantes en el precio final. Los implantes de gama alta están fabricados con materiales de gran pureza, como el titanio de grado quirúrgico o el zirconio, que ofrecen una integración óptima con el hueso y una gran resistencia a largo plazo.
En cuanto a precios, los implantes de gama media suelen oscilar entre los 700 y 1.000 euros, dependiendo del fabricante y la clínica. Por otro lado, los implantes de gama alta, que suelen incluir garantías de durabilidad y mejor tecnología de integración ósea, pueden superar los 1.200 euros por unidad.
Material de la Corona Dental
El material de la corona dental es otro factor que influye en el coste final del implante. Las coronas de metal-porcelana son generalmente más económicas y ofrecen buena resistencia, aunque su estética es ligeramente inferior, ya que en algunos casos el metal puede ser visible cerca de la encía con el tiempo. Este tipo de coronas es especialmente recomendado para los dientes frontales, donde la apariencia es clave.
Marca de Fabricación
La marca de fabricación es otro factor clave que influye en el precio de un implante dental. Cada marca se diferencia en aspectos como los materiales empleados, el diseño, el acabado estético y los tratamientos aplicados en la superficie del implante para mejorar su integración y durabilidad.
Los implantes de baja gama o imitaciones suelen ser más económicos, pero tienden a ofrecer menor calidad en los materiales y menos investigación y desarrollo en su fabricación, lo que puede influir en su resistencia y durabilidad. En cambio, un implante de alta gama, respaldado por estudios científicos y fabricado con tecnología avanzada, es una opción más segura y confiable, aunque su precio sea más elevado.
En Echeverría, trabajan con implantes Straumann, considerados entre los mejores del mercado. Estos implantes pueden costar entre 1.200 y 1.800 euros, dependiendo del tratamiento completo, pero ofrecen una calidad excepcional, respaldada por investigaciones científicas y años de innovación.
Tratamientos Adicionales
Algunos pacientes podrían necesitar tratamientos adicionales. Este tratamiento no termina con la colocación del implante. El coste de este tratamiento varía según los elementos que lo componen. Pero, además, en otros casos, resulta necesario sumar las extracciones dentales previas, la regeneración ósea o la técnica de cirugía guiada por ordenador.

En el caso de una regeneración ósea, este procedimiento se realiza para preparar la zona en la que se va a insertar un implante dental. En Echeverría el precio de la regeneración simple es de 350 euros y consta de una membrana pequeña y un vial de hueso también pequeño. Otro procedimiento que influye en el precio de un implante dental es la elevación del seno maxilar.
Garantía
A la hora de realizarse cualquier tratamiento quirúrgico, la garantía es esencial para asegurarse alguna cobertura en casos de que algo no salga como estaba planeado. Reposición del implante y la corona sin coste adicional en caso de complicaciones durante los primeros 5 años.
Procedimiento para Colocar Implantes Dentales en Toda la Boca
Si te faltan todas tus piezas dentales y quieres rehabilitar tu boca debes conocer, independientemente del tipo de prótesis implanto-soportada que al final escojas realizar, en qué consiste el tratamiento de rehabilitación mediante la colocación de implantes dentales. Es decir, hay una serie de fases antes de la realización de la prótesis implanto-soportada que rehabilitará tu boca que se deberán llevar a cabo y que ahora te detallaremos.
Evaluación y Planificación
Mediante una visita clínica y una exploración oral y radiológica realizada por un cirujano oral o un implantólogo se valorará tu caso, para poder establecer el mejor plan de tratamiento. Con toda la información recopilada por las pruebas y las exploraciones se valorarán el número de implantes necesarios para rehabilitar tu boca y también que tipo de prótesis será el más adecuado en tu caso. Gran parte del éxito de un tratamiento de implantes dentales radica en su correcta planificación.
Mediante el sistema CAD/CAM, el implantólogo puede ver una representación en tres dimensiones del hueso maxilar, y gracias a la inteligencia artificial, planificar la posición perfecta de la futura pieza y el implante. Una vez hecha esta planificación, se procede a la fabricación de las férulas quirúrgicas personalizadas con una impresora 3D profesional.
Colocación de los Implantes
En esta fase se colocarán los implantes dentales. Debes saber que esta cirugía no duele ya que se lleva a cabo mediante anestesia y su post-operatorio no entraña problema alguno si sigues las pautas que te prescribirá el cirujano oral o implantólogo.
Fase de Ósteo-Integración
La fase de ósteo-integración puede variar dependiendo del maxilar a rehabilitar, siendo aproximadamente de 5-6 meses en el maxilar superior y de 3-4 meses en el inferior. Para asegurar el éxito del tratamiento, es esencial que los implantes se osteointegren -cicatricen y se fusiones con el hueso- adecuadamente.
Segunda Fase Quirúrgica
Esta pequeña cirugía no implicará problema alguno o un post-operatorio específico.
Mantenimiento
Es muy importante que todas las personas que lleven implantes dentales y prótesis implanto-soportadas realicen revisiones periódicas (al menos una vez al año) en su clínica dental. Asimismo las prótesis implanto-soportadas que son fijas se pueden retirar en la visita para ser limpiadas correctamente.
Carga Inmediata
Siempre que sea posible se colocará un diente provisional atornillado al implante. A este concepto se le conoce como carga inmediata y depende del número de dientes. La carga inmediata es la colocación de los implantes y de una prótesis implanto-soportada provisional el mismo día de la cirugía. Esta es una técnica totalmente segura y efectiva y su éxito radicará en un meticuloso estudio de cada caso y en su planificación.
Beneficios de la carga inmediata:
- Presentar una estructura ósea precisa y suficiente que no requiera de injertos óseos.
- El realizar menos intervenciones quirúrgicas.
- Se evitará el realizar la cirugía de segunda fase para destapar el implante colocado.
- No será preciso el uso de prótesis re-movibles o de “quita y pon” durante la fase de ósteo-integración.

Tipos de Prótesis para Rehabilitación Completa
Existen dos tipos de prótesis para que una persona pueda recuperar la estética y la funcionalidad completa. Son aquellas que se pueden poner y remover tantas veces como quieras. Los avances de los últimos años dentro del campo de la Implantología se han enfocado, sobre todo, a ofrecer tratamientos cada vez más precisos y duraderos para el paciente. Por ello, en la actualidad es posible elegir entre dos métodos para que la persona pueda recuperar la funcionalidad y estética de su dentadura. Ambos tipos de prótesis requieren la colocación de implantes dentales en toda la boca, pues son los encargados de sujetarlas y permitir que se pueda hablar y masticar con normalidad.
Tradicionalmente, la única solución para pacientes que estaban completamente desdentados pasaba por el uso de una prótesis completa (dentadura postiza). No obstante, queremos hacer alusión a una tercera opción que no recomendamos tanto como las que acabamos de mencionar: la prótesis completa. Comúnmente conocida como dentadura postiza, se trata de un aparato de quita y pon que incluye los dientes, la encía y el paladar. Al no contar con implantes para asegurar su sujeción, puesto que descansa únicamente sobre la mucosa del paciente, resulta complicado hablar y comer con ella.
Este tipo de prótesis dentales están indicadas para personas totalmente edéntulas, pero también para aquellas que, aunque mantengan algunos dientes, no pueden conservarse. Gracias a las prótesis híbridas y a la dentadura, se evita tener que colocar un implante por cada diente perdido. Y es que, en estos casos de edentulismo, se colocan entre 4 y 5 implantes si se trata de la arcada inferior, y 6 en la superior. Sobre estos tornillos de titanio se colocan 12 coronas por arcada para completar toda la dentadura.
Prótesis Híbridas
Las prótesis híbridas son estructuras fijas que se atornillan sobre varios implantes dentales previamente colocados. No solo repone las piezas dentales que faltan sino que, en caso de necesidad, también sustituyen el tejido blando -encía- que se haya perdido. Al ser una prótesis totalmente fija, la prótesis híbrida puede ofrecerte una sensación mayor de seguridad y comodidad que las anteriores. El hecho de no incluir un paladar artificial consigue una sensación de seguridad y comodidad para el paciente, pues funciona exactamente igual que una dentadura real.
Sobredentaduras
La sobredentadura es un tipo de prótesis semifija que también va soportada sobre unos implantes dentales. Cuenta, por tanto, con la ventaja de la sujeción permanente que ofrecen los implantes, pero también con la comodidad de poderse quitar para limpiarla más fácilmente. El sistema empleado para colocarla en la boca se denomina locator, con macho y hembra.
Arcada Implanto-Soportada Cerámica o de Circonio
La arcada implanto-soportada cerámica o de circonio es la opción fija más estable y estética. Este tipo de prótesis es el más estética, cómoda y funcional; ES como tener tus propios dientes. El precio de una arcada implanto-soportada cerámica en Clínicas Propdental es de 4800 euros.
Una prótesis fija es aquella que se cementa sobre pilares, que pueden ser dientes o implantes. Las prótesis removibles son más económicas que las prótesis fijas, pero también más inestables e incómodas.
Edentulismo: Causas y Consecuencias
Definimos o conocemos el edentulismo como la pérdida parcial o total de las piezas dentales definitivas en ambas arcadas dentarias (superior e inferior). El edentulismo tiene una mayor incidencia en las personas de edad avanzada ya que con el paso de los años y por las diferentes patologías dentales (caries, enfermedad periodontal,…) los dientes pueden perderse.
Es evidente que la pérdida total de dientes afectará no solo a la estética sino que asimismo a la autoestima de la persona. Además, puede llevar a:
- Problemas de fonación o al hablar: Solo que te falte un diente anterior verás que ciertos fonemas son difíciles de pronunciar, pues este problema se agravará con la pérdida de todos los dientes.
- Pérdida de funcionalidad: El edentulismo afecta gravemente a la masticación y a la deglución. Todo ello puede afectar al sistema digestivo que se puede ver agravado en su funcionamiento.
- Estructura facial.
- Problemas oclusales: Si se pierde solo una pieza dental las demás piezas adyacentes al espacio edéntulo se moverán para intentar ocluir con la pieza dental antagonista.
Costes Aproximados y Financiación
¿Quieres saber cuál es el precio de un implante dental antes de optar por esta técnica para reemplazar una pieza ausente? En España, el precio del implante dental de una pieza, se sitúa alrededor de los 1.800 euros. Es decir, es necesario evaluar las necesidades específicas del paciente, saber si es apto para esta intervención y si necesitará algún procedimiento adicional (extracciones dentales, regeneración ósea, etc.).
Para hacer una dentadura fija de metal porcelana o de circonio es necesario colocar 8 implantes dentales. Los precios para la colocación de cada implante dental es 490 euros en Clínicas Propdental. Sobre los 8 implantes dentales puedes hacer una dentadura fija de metal porcelana con 12 dientes que cuesta 400 euros cada diente.
Es habitual pensar en el coste del tratamiento, pero no debemos olvidar que mejorar la salud bucodental es una inversión a largo plazo. En Face Clinic contamos con un equipo multidisciplinar que combina odontología avanzada, estética dental y cirugía maxilofacial. Contar con un equipo experto, como el que encontrará en nuestras clínicas también es un factor a tener en cuenta. En Face Clinic trabajamos con materiales de alta calidad y tecnología avanzada, lo que garantiza resultados más duraderos y seguros.
Estos precios son orientativos y pueden variar según el caso particular. En nuestras clínicas ofrecemos diferentes formas de financiación adaptadas a cada paciente, para que pueda acceder al tratamiento sin que el aspecto económico sea un impedimento.
Algunos ejemplos de financiación:
- Importe mínimo:90€. Ejemplo de financiación para un importe de 237,00 € en 6 meses. Comisión de formalización del 2,00%: 4,74€ a pagar en la primera cuota. Importe financiado: 237,00€. Primera cuota de 45,10€. 04 cuotas de 40,36€ y una última cuota de 40,38€. TIN 7,45% TAE 15,40%. Total intereses: 5,18€. Coste total del crédito: 9,92€. Importe total adeudado y precio total a plazos: 246,92€. Precio de adquisición al contado: 237,00€. Sistema de amortización francés. Financiación ofrecida por Banco Cetelem S.A.U.
- Importe mínimo: 144€. Ejemplo de financiación para un importe de 604,00€ en 12 meses. Comisión de formalización del 2,00%: 12,08€ a pagar en la primera cuota. Importe financiado: 604,00€. Primera cuota de 64,47€. 10 cuotas de 52,39€ y una última cuota de 52,35€. TIN 7,45% TAE 11,82%. Total intereses: 24,64€. Coste total del crédito: 36,72€. Importe total adeudado y precio total a plazos: 640,72€. Precio de adquisición al contado: 604,00€. Sistema de amortización francés. Financiación ofrecida por Banco Cetelem S.A.U.
Si se pregunta “¿cuánto vale arreglarse los dientes en España?”, el primer paso es acudir a una consulta con un equipo especializado.