Hoy en día, llevar ortodoncia es cada vez más habitual, tanto en niños como en adultos. Al igual que hay cada vez más personas interesadas en mejorar su salud bucodental, también hay más opciones de ortodoncia que ofrecen ventajas a nivel estético frente a los brackets metálicos. Un ejemplo de ello son los brackets de zafiro.
El precio de los brackets puede variar según diferentes factores, siendo los principales el tipo de brackets que elijas, los materiales que se utilicen, o la región o la clínica en la que lo realices.
El precio de los brackets de zafiro es de 2.439€ de media en España en 2025. Esta cifra se ha obtenido del estudio llevado a cabo por Ferrus&Bratos tras estudiar cuánto cuestan los brackets transparentes en los principales dentistas y seguros del país. Pero, ¿qué incluye este importe? En cada centro dental ofrecen conceptos y tarifas diferentes, por lo que conocer con detalle el desglose del presupuesto es crucial antes de tomar una decisión.
Sigue leyendo y descubre cuánto pueden costar los brackets en España, cuáles son las principales características de cada tipo y qué alternativas existen hoy en día.
En Ferrus&Bratos te entregaremos un presupuesto pormenorizado y cerrado con todos los procedimientos y pasos que necesitas para un tratamiento de ortodoncia con brackets zafiro de calidad, con una ejecución perfectamente planificada que te permitirá obtener resultados estables a largo plazo.

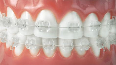
Brackets de Zafiro: Una opción estética y discreta para tu ortodoncia.
¿Qué son los Brackets de Zafiro?
Los brackets de zafiro son una ortodoncia estética fabricada a partir de zafiro, un mineral trasparente y de gran dureza. Los brackets de zafiro son un tipo de brackets que cuentan con la peculiaridad de que están fabricados con cristal de zafiro. La novedad que portan los brackets de zafiro es el material principal con los que están elaborados. Estos están hechos a partir de un zafiro sintético que tiene la misma estructura química y composición natural que el zafiro.
El bracket es transparente, sin embargo, el aro es metálico o blanco. El sistema de desplazamiento de los dientes es el mismo, ya que las ortodoncias realizadas con brackets funcionan todas de la misma manera. Los brackets de zafiro están dentro de la categoría de brackets estéticos.
Una de las novedades más ingeniosas dentro del mundo de la odontología y los tratamientos de ortodoncia son los brackets de zafiro, también llamados brackets blancos. Por ello son muy resistentes, ¡casi tanto como el diamante!
Los brackets de zafiro ofrecen al paciente comodidad en su uso diario, ya que son mucho más estéticos que los convencionales. Estos brackets transparentes pasan mucho más desapercibidos que los tradicionales metálicos ya que son brackets de color blanco.
Asimismo, el resto de elementos que componen el tratamiento -como arcos o ligaduras- pueden ser blancos. Los brackets de zafiro permiten corregir los mismos problemas de alineamiento y mordida que los convencionales.
¿Cómo Funcionan?
La ortodoncia de zafiro funciona igual que el resto de aparatos basados en brackets. Los brackets de zafiro funcionan igual que el resto de brackets que se colocan en la cara vestibular (externa) del diente.
Al igual que los brackets convencionales, los brackets de zafiro o blancos tienen como función enderezar la dentadura ejerciendo una ligera fuerza controlada en cada uno de los dientes del paciente. Es por eso que hoy cada ortodoncista realiza, de acuerdo a los exámenes médicos necesarios, el tratamiento completamente personalizado para que el aparato encaje perfectamente en cada arcada dental.
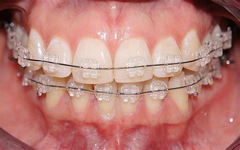
Brackets: Los brackets de zafiro se adhieren a la cara externa de los dientes utilizando un adhesivo especial. Este adhesivo es lo suficientemente fuerte como para mantener los brackets en su lugar durante el tratamiento.
Arco: Posteriormente, se inserta un arco a través de cada bracket. El arco permite aplicar la fuerza a los brackets, para que puedan realizar los movimientos en los dientes. Esto se debe a que el arco se ajusta a lo largo del tratamiento para aplicar presión a los dientes. Esta presión provoca una reacción en los ligamentos periodontales y el hueso alrededor del diente, permitiendo que las piezas dentales se muevan hasta alcanzar la posición correcta.
Ligaduras: Las ligaduras son unas gomas elásticas que sirven para conectar los brackets con el arco.
Al igual que sucede con otros tratamientos de ortodoncia, los brackets de zafiro requieren revisiones periódicas (generalmente cada 4-6 semanas).
Los problemas bucodentales que solucionan los brackets en zafiro son la maloclusión, los dientes torcidos, los diastemas, la mordida abierta y la mordida cruzada, entre otros.
La ortodoncia con brackets de zafiro está formada por piezas pequeñas que se fijan en cada diente mediante a un cemento dental, unidos por un arco metálico sujetos con un elástico en cada uno de los brackets.
🔴Diferentes 𝗧𝗜𝗣𝗢𝗦 𝗗𝗘 𝗕𝗥𝗔𝗖𝗞𝗘𝗧𝗦 -¿Cual es mejor? (Metálicos, Autoligables, Esteticos y MUCHOS MAS)
Ventajas y Desventajas de los Brackets de Zafiro
Como el resto de tratamientos de ortodoncia, los brackets de zafiro cuentan con una serie de ventajas y desventajas que debemos tener en cuenta antes de iniciar el tratamiento.
Ventajas
- Estética: Una de las principales ventajas de los brackets blancos es que son completamente estéticos ya que, como hemos comentado, están elaborados a partir de un material químico con las mismas propiedades del zafiro natural, así que se aprecia un color transparente. La ventaja más valorada de los brackets de zafiro es su apariencia. Son transparentes, lo que los hace menos visibles que los brackets metálicos e, incluso, que algunos brackets de porcelana o cerámica.
- Comodidad: Además, el material sintético con el que están hechos tienen una superficie completamente lisa que evita las rozaduras durante todo el tratamiento, evitando incomodidades, pasando casi desapercibidos frente al mundo exterior. Aunque todos los brackets necesitan un pequeño periodo de adaptación, los de zafiro se caracterizan por ser especialmente cómodos.
- Resistencia a las manchas: A diferencia de los brackets de cerámica o de plástico, que pueden teñirse con el paso del tiempo y con el consumo de ciertos alimentos o bebidas, los brackets de zafiro son altamente resistentes a las manchas. El material del que están hechos (zafiro) es muy resistente y duradero, igualando casi su resistencia a las ortodoncias metálicas. El zafiro es un material muy resistente, no solo en dureza sino también con su color. Este mineral no se tiñe con el tabaco, vino o café.
- Eficacia: Este tipo de tratamiento corrige todo tipo de malposiciones o problemas dentales. Así que la ortodoncia con brackets de zafiro puede ser usada por niños, adolescentes y adultos, aunque suelen ser los adultos los que se decantan por esta opción. Los brackets de zafiro permiten corregir los mismos problemas de alineamiento y mordida que los convencionales.
- Durabilidad: Otra de las ventajas que ofrecen los brackets de zafiro es que son más resistentes. A pesar de su apariencia frágil, los brackets de zafiro son muy duraderos y resistentes a la rotura. Esto se debe a que están hechos de zafiro monocristalino, que es un material reconocido por su alta dureza y resistencia.
- Color: El material usado no cambia de color, así que son una buena opción para tratamientos complejos que requieren una larga duración de tratamiento, ya que no amarillean.
Desventajas
- Precio: Una de las principales desventajas del tratamiento de ortodoncia con brackets blancos es su precio. Posiblemente, la mayor desventaja de los brackets de zafiro es su precio. Debido a la calidad del material con que están elaborados, el precio es superior al de otro tipos de ortodoncia invisible.
- Duración del tratamiento: En cuanto al tiempo de duración, en algunos casos el tratamiento de ortodoncia con brackets de zafiro sugiere un periodo un poco más largo, ya que el alambre que se posiciona en las arcadas hace mayor fricción entre los dientes sugiriendo un movimiento más lento, a diferencia de otros tratamientos con brackets.
- No recomendables para deportes de impacto: En cuanto a su uso diario, al igual que los otros tipos de ortodoncia fija, no es recomendado para personas que realizan actividades deportivas con regularidad porque pueden ocasionar mucho daño o romperse los brackets con impactos frecuentes con el equipo deportivo como pelotas, raquetas o bates. No son recomendables para pacientes que practiquen deportes de impacto.
- Visibilidad de arcos y ligaduras: Aunque los brackets son transparentes, el arco y las ligaduras (los elásticos que sujetan el arco al bracket) pueden ser visibles, lo que reduce ligeramente el efecto estético. Por un lado, algunos tratamientos requieren un arco metálico (ya que este permite aplicar una fuerza mayor). Por otro lado, las ligaduras son blancas pero pueden mancharse.
- No son 100% invisibles: Aunque los brackets de zafiro son muy discretos, no llegan a ser 100% invisibles. Si el paciente desea un tratamiento de ortodoncia completamente invisible es necesario que se decante por los brackets linguales, que se colocan en la cara interna del diente.
- Las ligaduras pueden teñirse: Aunque los brackets de zafiro no se tiñen, las ligaduras sí pueden mancharse con ciertos alimentos, bebidas o tabaco.

Ventajas y desventajas de los brackets de zafiro.
Precio de los Brackets de Zafiro en España
Hay varios factores que pueden influir en el precio de los brackets de zafiro, como la duración del tratamiento, la complejidad del caso o el precio estipulado por el ortodoncista. Entonces, una vez el ortodoncista haya evaluado los detalles del caso de cada paciente, podremos saber su coste. Sin embargo, el precio de los brackets de zafiro en España oscila entre los 3.000 y 5.000 euros.
El precio de la ortodoncia de zafiro varía en función de la duración del tratamiento. El principal factor que influye en el precio de la ortodoncia es, sin duda, el número de meses que va a durar. Según la severidad de la maloclusión, será necesario llevar los brackets más o menos tiempo.
En general, el precio de los brackets de zafiro oscila en torno a los 2.500-4.000 euros, aproximadamente.
¿Qué Incluye el Precio?
Saber cuánto va a costar el tratamiento de brackets no solo implica el precio. En estas tablas resumen puedes ver los precios orientativos de los brackets blancos en función de la severidad y duración estimada del tratamiento. El coste final depende de la complejidad del caso y de la duración, algo que solamente podemos decirte con certeza tras un estudio en nuestras clínicas.
Contar con un seguro dental en España es más frecuente de lo que parece puesto que ofrecen, a priori, precios más baratos para la ortodoncia con brackets transparentes.
La aseguradora Adeslas incluye en su presupuesto el estudio de ortodoncia, con fotografías, modelos y estudio cefalométrico, así como una ortopantomografía. También visitas con motivo de urgencias relacionadas con la ortodoncia.
¿Se Puede Financiar el Tratamiento?
Sanitas hace más fácil el pago de tu tratamiento dental con diferentes opciones de financiación. Localiza tu Clínica Dental Sanitas.
Para ayudarte, te mostramos en tablas una comparación de precios en aseguradoras dentales y franquicias de España.
Sanitas no ha hecho públicas sus tarifas de ortodoncia con brackets de zafiro en función de la duración o la severidad.
Comparación con Otros Tipos de Brackets
Además de solucionar los problemas dentales y la alineación de los dientes, las personas buscan un tratamiento de ortodoncia que no afecte su apariencia física, especialmente la de su sonrisa. Es por eso que buscan opciones totalmente estéticas que se ajusten a todas sus necesidades. Y la ortodoncia de zafiro y el resto de brackets estéticos ofrecen esta ventaja.
Dicho esto, te recomendamos que tengas en cuenta que existen diferentes tipos de brackets estéticos. Lo que pasa es que no todos ofrecen la misma calidad. Aunque utilice de forma general el término de “brackets transparentes” o “brackets blancos”, no todos son iguales. Por eso, la ortodoncia más elegida dentro de la categoría de brackets estéticos es la de cristal de zafiro.
En términos generales, podemos decir que los brackets de zafiro son la clara evolución de la ortodoncia metálica tradicional. Esto se debe a que su funcionamiento es muy similar.
Brackets de Zafiro vs. Brackets de Porcelana
A simple vista, los brackets de porcelana y los de zafiro parecen similares, ya que ambos son muy discretos.
La principal diferencia entre brackets estéticos de porcelana y de zafiro es que estos últimos son más transparentes que los brackets de cerámica, debido al material del que están hechos. Sin embargo, cabe recordar que los brackets de zafiro también están considerados estéticos, por lo que estarían englobados dentro de esta categoría.
Por un lado, el cristal de zafiro es un material muy resistente y duradero. Por otro lado, la porcelana es un material más frágil y que se adhiere peor al diente. Esto hace que los brackets se despeguen con mayor facilidad y que tengan más riesgo de romperse. Además, la porcelana es un material poroso que, con el paso de los meses, deja pasar la coloración de determinados alimentos y bebidas.
Por último, otra de las grandes diferencias entre los brackets de zafiro y los de porcelana es el precio.
Brackets de Zafiro vs. Brackets Metálicos
La principal diferencia entre los brackets metálicos y de zafiro o blancos es que los metálicos, como su nombre indica, están hechos de metal, por lo que son menos resistentes a los golpes y menos discretos a la vista.
Brackets de Zafiro vs. Brackets de Zirconio
Si te decantas por elegir entre los brackets de zirconio o de zafiro debes saber que los primeros se catalogan como estéticos, igual que los de zafiro. Estos, al igual que los de cerámica, no son transparentes como los de zafiro, pero se mimetizan bien con el diente gracias a que su color es similar al del esmalte dental.
Duración del Tratamiento
El tiempo que una persona necesita llevar los brackets de zafiro depende, sobre todo, de la edad y la complejidad de la maloclusión que sea necesario tratar. Además, hay determinados tipos de problemas, como el apiñamiento leve, que pueden corregirse en un período corto.
Al igual que sucede con el resto de aparatos, la duración de un tratamiento con brackets de zafiro depende del tipo de maloclusión y de su severidad. Por lo general, los pacientes suelen llevar los brackets de zafiro entre 12 y 18 meses.
El tiempo necesario para completar el tratamiento es variable pero podemos estimar que lo normal es que dure entre 18 y 24 meses.
Brackets zafiro y su tiempo de tratamiento El tratamiento de ortodoncia con brackets de zafiro tiene un tiempo de duración que varía en función de varios factores. Entre ellos, podemos mencionar la calidad del material usado por el especialista, la implicación que tenga el paciente con el tratamiento, la complejidad del caso a tratar, la experiencia del dentista y la evolución del propio tratamiento.
Sin embargo, en medidas generales un tratamiento de ortodoncia para un problema dental de nivel medio tiene una duración de 18 meses. Para los tratamientos más complejos los tiempos de duración van entre 24 y 30 meses, aunque algunos tratamientos se pueden alargar hasta los 36 meses.

Duración del tratamiento con brackets de zafiro.
Cuidados y Mantenimiento
La ortodoncia con brackets de zafiro no requiere ningún cuidado especial más allá de los necesarios para cuidar cualquier ortodoncia.
- Higiene bucodental: Los brackets son unas piezas que favorecen la acumulación de comida a su alrededor. Es muy importante realizar una higiene rigurosa después de cada comida, con cepillado de dientes, limpieza con cepillo interproximal, hilo dental y colutorio.
- Alimentación: Durante el tratamiento, el paciente puede continuar con su dieta habitual.
- Revisiones con el ortodoncista: Cuando se lleva una ortodoncia hay que tener especial cuidado de no saltarse las visitas y revisiones al ortodoncista.
Alternativas a los Brackets de Zafiro
Si el paciente desea un tratamiento de ortodoncia completamente invisible es necesario que se decante por los brackets linguales, que se colocan en la cara interna del diente.
Si lo que buscas es una solución discreta y cómoda, pero también removible, DR SMILE puede ser lo que estás buscando. El Tratamiento de Ortodoncia Invisible combina los beneficios de la ortodoncia tradicional (alineación dental precisa y mantenimiento de la salud bucodental), con el soporte de profesionales dentales altamente cualificados.
La ortodoncia invisible de Impress mejora la apariencia de tu sonrisa sin que sea percibida desde el exterior.
Los alineadores transparentes son férulas dentales diseñadas con una tecnología en 3D muy avanzada y fabricadas con un plástico especial único.
Ortodoncia Invisible Impress: la alternativa a los brackets Los alineadores invisibles son la última tecnología en tratamientos de ortodoncia invisible y puede ofrecer al paciente una completa lista de ventajas para mejorar el aspecto de su sonrisa mientras cuida su apariencia física.
Entre otras cosas, esto se debe a que los alineadores ofrecen, posiblemente, la mejor relación calidad-precio del mercado. La ortodoncia invisible es, a día de hoy, la opción más elegida por los pacientes adultos que desean corregir la posición de sus dientes de manera discreta.
Tipos de Brackets y Precios
Puede que los brackets metálicos tradicionales sean los más conocidos, pero hay muchos tipos de brackets y precios disponibles en España:
Brackets metálicos: Los brackets metálicos son la opción más habitual y convencional dentro de este tipo de tratamiento. Estas piezas metálicas están fabricadas en titanio y acero y son la estructura por la que tu especialista u ortodoncista unirá el alambre que posteriormente ejercerá las presiones necesarias para tu caso.
Su uso está destinado a adolescentes y niños, aunque dependiendo del caso, su uso también puede estar indicado para personas mayores.
¿Cuánto cuestan los brackets metálicos? Este tratamiento tan reconocible por todos, tiene un valor aproximado en España de entre 2.000€ y 3.000€.
Brackets autoligables: Los brackets autoligables son más cómodos y suelen requerir menos visitas al ortodoncista que con los aparatos metálicos tradicionales. Además, tienden a enderezar los dientes más rápidamente. La gran diferencia de estos brackets es que no necesitarás hacer uso de las ligaduras metálicas (o gomas).
Los costes dependen de varios factores, como si es necesaria la extracción de dientes o el tipo de caso que se trate.
¿Cuánto cuestan los brackets autoligables? El precio de estos brackets está valorado entre 2.500€ y 5.000€.
Si estás pensando en utilizar brackets autoligables, es una buena idea hablar con tu ortodoncista y obtener una estimación de lo que costará en tu situación particular. La mayoría de los ortodoncistas ofrecen planes de pago u opciones de financiación.
Brackets de colores, ¡para los más pequeños!: Los brackets de colores pueden dar un toque único a tu sonrisa y hacer que destaque entre los demás. Sin embargo, los brackets de colores como tal, no existen. Adoptan dicha estética gracias a las gomas que se usan en la ortodoncia, que son las que sujetan el aparato dental.
Sin duda, son una opción muy buena para los niños que son más reticentes a llevar brackets, ya que estas gomas están disponibles en una variedad de tonos y estilos que se adaptan a todos los gustos.
¿Cuánto cuesta este tipo de brackets? Los brackets con gomas de colores pueden costar entre unos 2.000€ y 3.500€.
Los precios pueden variar dependiendo de tu ortodoncista o del tipo de material utilizado. Algunos pueden incluso ofrecer descuentos o pagos.
Brackets transparentes o estéticos: Los brackets transparentes o estéticos son una opción actual que te permite llevar ortodoncia sin llamar mucho la atención. Esto es un aspecto que habitualmente demandan los adultos en este tipo de tratamientos, que en muchas ocasiones puede estar más orientado a niños y adolescentes.
Cuando se habla de este tipo de brackets, podemos destacar varios materiales, como la cerámica, el zafiro o la porcelana. Los tres se camuflan bien con el esmalte de nuestros dientes, haciendo prácticamente imperceptibles las piezas de nuestro tratamiento.
Un aspecto importante a mencionar sobre los brackets transparentes de zafiro es que tienen más facilidad para quebrarse y esto, unido a las tensiones de los arcos del tratamiento así como a la vida diaria, puede suponer volver a la clínica a restaurar o cementar tu ortodoncia.
Los brackets de porcelana no sólo tienen mejor aspecto que los tradicionales de metal, sino que también son más cómodos y duraderos. A diferencia de los de zafiro, además de ofrecerte cierta transparencia, ofrecen la resistencia necesaria para no partirse cuando tu ortodoncista aplica un mayor grado de presión.
¿Cuál es el precio de este tipo de brackets? Este tipo de ortodoncia puede llegar a ser más caro, llegando a estar entre 2.000€ y 6.000€.
Debes tener en cuenta que el coste variará en función de dónde vayas y del tipo de tratamientos o productos adicionales que puedas necesitar antes de terminar el plan de tratamiento.
Brackets linguales: La ortodoncia lingual o brackets linguales es una gran opción para las personas que quieren conseguir los resultados deseados sin sacrificar su aspecto. Esto es así porque los brackets linguales se sitúan en la parte interna de los dientes. Estéticamente son exactamente igual que los brackets tradicionales, pero al estar colocados en el interior de la cavidad bucal, son totalmente invisibles de puertas para afuera.
La ortodoncia lingual puede ser más cara que los aparatos tradicionales ya que por su complejidad requiere materiales y mano de obra adicionales.
¿Cuánto cuestan los brackets linguales en España? Los brackets linguales pueden llegar a costar desde 3.500€ hasta 7.000€ Algunos proveedores ofrecen planes de pago mensuales que pueden hacer que los tratamientos de ortodoncia lingual sean mucho más económicos.
Factores que Influyen en el Precio de los Brackets
Como ya has podido ver, el precio de los brackets en España puede variar según varios factores, siendo los siguientes los tres aspectos más comunes:
- Los materiales que se utilicen en el tratamiento.
- El tipo de brackets que elijas.
- La complejidad del caso.
En cuanto al último, cuanto más complejo sea el caso más larga puede ser la duración del proceso y la dedicación por parte del especialista, lo que se traduce en un número de visitas o revisiones en la clínica mayor.
En resumen:
- Brackets metálicos: entre 2.000€ y 3.000€ aproximadamente.
- Brackets autoligables: entre 2.500€ y 5.000€ aproximadamente.
- Brackets con gomas de colores: entre 2.000€ y 3.500€ aproximadamente.
- Brackets transparentes: entre 2.000€ y 6.000€ aproximadamente.
- Brackets linguales: entre 3.500€ y 7.000€ aproximadamente.