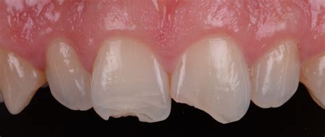
A pesar de que el esmalte dental es increíblemente fuerte, en ocasiones los dientes pueden astillarse, agrietarse o romperse. Si tienes un diente roto, lo más importante es visitar al dentista lo antes posible.
La fractura de una pieza dental es una preocupación tanto estética como funcional. Atender emergencias con lesiones de este tipo es común en los consultorios odontológicos.
Si estás en esta situación te preguntarás cuál es el precio de reconstrucción de un diente. Dependiendo del alcance de la lesión se elegirá el mejor tratamiento.

¿Qué es la Resina Dental?
La resina dental (también conocida como resina compuesta, composite o empaste de resina) es un material sintético del color del diente que utilizamos para restaurar dientes dañados. Básicamente, reemplaza la parte del diente que ha sido destruida por caries, fracturas u otras lesiones, devolviéndole su forma, función y aspecto natural.
A diferencia de los empastes antiguos de amalgama de plata, la resina no contiene metales pesados como mercurio y es prácticamente invisible a la vista, mimetizándose con el diente. La resina compuesta está hecha de una matriz plástica reforzada con partículas minerales (por ejemplo, sílice o vidrio) que le otorgan resistencia y brillo similar al del esmalte. Según la Asociación Dental Americana (ADA), las resinas modernas son un tratamiento seguro y efectivo que se utiliza ampliamente desde hace más de 30 años.
Tipos de Resina Dental
Existen varios tipos de resina dental en odontología, dependiendo del tamaño de sus partículas y de su composición. Sin entrar en demasiados tecnicismos, las resinas actuales suelen clasificarse en: microrelleno, híbridas, nanocompuestas, etc. En la práctica, el dentista selecciona el tipo de composite más adecuado según el caso - si se requiere máxima estética en un diente frontal, se usa una resina de partículas muy finas (que logra un pulido y brillo excelentes); si se necesita restaurar un molar que soporta mucha fuerza al masticar, se prefiere una resina híbrida de mayor resistencia mecánica. Hoy en día la mayoría de resinas son nanohíbridas, combinando lo mejor de ambos mundos (estética y durabilidad).
Usos de la Resina Dental
La resina dental tiene usos muy variados en odontología conservadora y estética:
- Tratamiento de caries (empaste dental): Es la aplicación más frecuente. Tras eliminar una caries dental, rellenamos la cavidad resultante con resina del color del diente para sellarla.
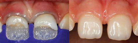
- Fracturas, fisuras o dientes astillados: Si tienes un diente partido, con una esquina rota o fisuras en el esmalte, la resina nos permite reconstruir la parte perdida. Por ejemplo, es ideal para reparar pequeños traumatismos en incisivos o cerrar grietas y evitar que se agranden.
- Problemas estéticos menores: La resina también se emplea para mejoras cosméticas rápidas. Un ejemplo son las carillas de resina compuesta, que son capas de composite aplicadas sobre el frente de los dientes anteriores para corregir su forma, color o tamaño. Si tienes leves separaciones entre dientes, bordes desgastados o manchas en el esmalte, una carilla de resina puede mejorar tu sonrisa en una sola visita.
- Reconstrucciones tras endodoncia: Cuando un diente ha sufrido un daño extenso por caries y se le ha realizado una endodoncia (tratamiento de nervio), a veces reconstruimos la estructura faltante con resina para luego reforzarla con una corona.
- Selladores de surcos: En odontopediatría y prevención, usamos resinas fluidas para sellar los surcos profundos de molares sanos en niños y así evitar caries.
En definitiva, la resina dental se utiliza siempre que queramos restaurar o mejorar un diente conservando al máximo su estructura y logrando un resultado estético. Si el daño del diente es moderado o pequeño, o si buscamos una solución cosmética mínimamente invasiva, el composite es normalmente la primera opción.

Unilaser | Paso a paso Diseño de Sonrisa superior en Resina de Alta Estética
Ventajas de la Resina Dental
- Estética impecable: Al ser del color del diente, una restauración de resina es prácticamente invisible. El composite imita el tono y la translucidez del esmalte, logrando que el diente restaurado luzca natural.
- Preserva el diente sano: La resina se adhiere químicamente al esmalte y la dentina, por lo que no necesitamos remover tanta estructura dental como con los empastes de amalgama (que dependían de hacer retenciones mecánicas).
- Biocompatible y segura: A diferencia de las amalgamas antiguas con mercurio, la resina no desprende sustancias tóxicas. Es un material seguro para el organismo y no es conductor de calor o frío en la misma medida que el metal, lo cual reduce las sensibilidades post-empaste.
- Versatilidad: Las resinas compuestas sirven para restaurar prácticamente cualquier diente, ya sea dientes frontales (incisivos, caninos) donde prima la estética, o dientes posteriores (molares, premolares) donde se requiere resistencia.
- Buena durabilidad: Aunque ninguna restauración dental dura para siempre, las resinas actuales son bastante resistentes al desgaste, fractura y tensión. Con los cuidados adecuados, un empaste de resina te puede durar varios años funcionando bien (típicamente entre 5 y 10 años antes de considerar reemplazarlo, según mis observaciones clínicas y publicaciones especializadas).
¿Cómo es el Procedimiento de un Empaste de Resina?
Una de las grandes ventajas de la resina es que su colocación es rápida y prácticamente indolora.
- Examen y preparación: Primero evaluamos tu diente con cuidado. Si la caries es muy pequeña, a veces ni siquiera hace falta anestesia; pero en la mayoría de casos aplicaremos anestesia local para que no sientas ninguna molestia. Te aseguramos que estarás cómodo/a durante todo el procedimiento. También escogeremos el tono de resina que mejor combine con el color de tu diente.
- Aislamiento: Antes de comenzar, mantendremos el diente seco y aislado del resto de la boca. Podemos colocar un dique de goma (un protector de látex) o utilizar rollitos de algodón y succionador para que la saliva no moje el área de trabajo.
- Limpieza de la caries: Ahora procedemos a remover la parte dañada. Con la fresa (el “taladrito”) eliminamos el tejido cariado del diente. Gracias a la anestesia, no sientes dolor, solo oyes el ruido y la vibración de nuestros instrumentos.
- Colocación de la resina: Una vez que la cavidad está limpia y preparada, aplicamos un gel acondicionador (ácido) y un adhesivo especial en el diente para lograr la mejor unión del composite. Luego vamos colocando la resina en capas. La vamos esculpiendo con cuidado para que recupere la forma anatómica del diente (cúspides, bordes, superficie lisa, etc.). Cada capa de resina la endurecemos con una luz ultravioleta (fotopolimerización) antes de añadir la siguiente.
- Revisión de la mordida y pulido final: Al terminar de rellenar, la resina queda sólida inmediatamente gracias a la luz. Retiramos el aislamiento y verificamos que al morder todo encaja bien. Te pediremos que muerdas una lámina de papel de articular (un papelito de color) para marcar los puntos de contacto. Si sientes el empaste “alto” o notas que choca antes que tus otros dientes, lo ajustaremos desgastando un poquito hasta que la mordida sea cómoda. Finalmente, pulimos la superficie de la resina para que quede suave y con un brillo similar al del diente natural.
¿Cuánto Cuesta Reparar un Diente Roto con Resina?
El precio de una resina dental (empaste de composite) puede variar dependiendo de la clínica, la ciudad y la complejidad del caso. Para darte una idea general, en España el costo de un empaste de resina sencillo suele oscilar entre 50 y 100 euros por diente en 2025.
Por ejemplo, Vitaldent (una reconocida red de clínicas) estima un precio promedio de ~77 € para una reconstrucción dental con composite en España. En otros países, los precios pueden ser distintos. En Latinoamérica, el costo por una resina puede ser más accesible en moneda local, y en Estados Unidos los precios son más elevados (según Colgate, entre $300 y $600 dólares por diente en procedimientos estéticos simples).
Factores que Influyen en el Precio
El precio de reconstrucción de un diente roto depende de varios factores, como la gravedad de la lesión:
- El tamaño de la lesión (no es lo mismo tapar una caries pequeña que reconstruir medio diente).
- El tiempo y material que requerirá.
- La tecnología usada (algunas resinas de última generación, sistemas de adhesión especiales, uso de luz láser para polimerizar, etc., pueden incrementar el costo).
- El material que se utilice afecta el precio. Si se me rompió un diente delantero, es posible que el tratamiento sea más caro.
- De acuerdo a la gravedad de la fractura, es posible que se necesiten otros tratamientos como endodoncia o una periodoncia.
Aunque entiendo que el precio es importante, te aconsejo no elegir una clínica solo por ser la más barata. Busca profesionales de confianza, colegiados, con buenas referencias. Un empaste mal hecho por ahorrar unos euros puede salir caro a la larga si se filtra o causa problemas.
Conviene preguntar a tu seguro si tienes cobertura para empastes estéticos. El precio aproximado de un empaste de resina en clínica privada ronda entre 50€ y 100€ en España en la mayoría de situaciones comunes. Lo mejor es acudir a una valoración - tu dentista te podrá dar un presupuesto exacto tras evaluar tu caso, sin compromiso.

Alternativas a la Resina Dental
Aunque la resina dental es un material muy versátil, no siempre es la solución ideal para todos los casos:
- Cavidades muy extensas en muelas: Si un molar tiene una destrucción masiva, por ejemplo varias cúspides rotas o una caries que abarca gran parte del diente, es posible que una resina no sea lo suficientemente resistente a largo plazo. En restauraciones posteriores muy grandes, donde habría que cubrir cúspides completas, normalmente optamos por alternativas como incrustaciones de porcelana/cerómero o coronas, que brindan más solidez.
- Falta de estructura dental: Si el diente está muy desgastado o dañado y queda poca estructura a la cual adherir la resina, tampoco es aconsejable usar composite. Un ejemplo: un diente endodonciado que ha perdido gran parte de su corona dental. En esos casos es preferible colocar un perno o reconstrucción con poste y luego una corona que envuelva el diente.
- Imposibilidad de aislar el diente: Como mencioné antes, el composite es muy sensible al agua y la humedad. Si no logramos aislar correctamente el diente de la saliva y el sangrado (por ejemplo, en pacientes con mucha inflamación gingival o que no colaboran), la resina no se adherirá bien y el empaste fracasará.
Consejos Adicionales
- No debes realizar de manera provisional un empaste casero temporal para tapar el agujero.
- Si se te ha roto un trozo pequeño de diente, lo primero es guardar el fragmento si es posible y acudir al dentista lo más rápido posible. Aunque este tipo de fracturas no siempre requiere un tratamiento complejo, es importante no ignorarlas. En caso de que el trozo no se haya recuperado o no sea viable reimplantarlo, el dentista evaluará otras opciones para restaurar la funcionalidad del diente.
- Cuando un diente roto afecta a la encía, el problema puede ser más complejo. En estos casos, el daño no solo compromete la pieza dental, sino también los tejidos blandos alrededor del diente, lo que podría requerir atención especializada.
- Cuando se tiene un diente roto y no se sabe qué hacer, una de las primeras cosas en las que se piensa es en conservar el trozo que se ha desprendido por si es posible volver a pegarlo, ¿pero puede hacerse? Eso sí, lo que no debes hacer nunca es intentar recomponer el diente utilizando pegamento o cualquier otro tipo de adhesivo.
La clínica dental medics del Dr. Ferrer lleva viéndome a mi, y a toda mi familia, desde que me alcanza la memoria y siempre ha sido un profesional excelente, atento, cuidadoso y cariñoso.