El injerto de hueso maxilar es la mejor solución cuando el hueso del paciente es demasiado estrecho o demasiado corto para colocar un implante. Si no se soluciona la pérdida de hueso, afectará no solo a los dientes sino también a la estructura facial, dándole un aspecto hundido a la boca. A continuación, exploraremos todo lo que necesitas saber sobre los injertos de hueso dental, incluyendo sus costos, procedimientos y alternativas.

¿Qué es un Injerto de Hueso Dental?
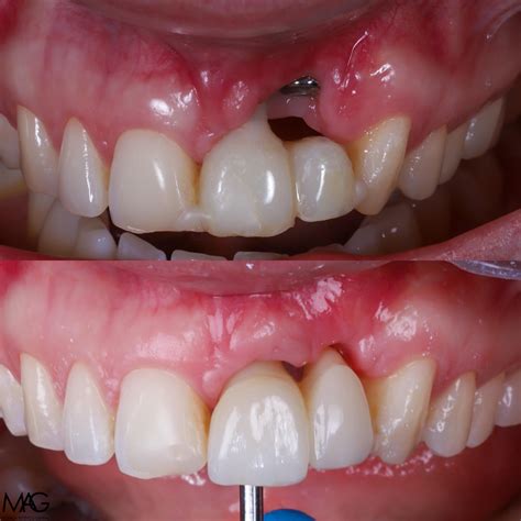
Un injerto de hueso dental es una intervención consistente en implantar un fragmento óseo en la mandíbula o en el maxilar para incrementar su volumen. Por norma general, se opta por el injerto de hueso cuando la calidad del hueso del paciente no es suficiente, de modo que no es viable la colocación de los implantes dentales.
El material del hueso puede ser del propio paciente o un relleno de hueso artificial, que es lo más habitual. El material biocompatible no provoca rechazo del injerto hueso dental.
Tipos de Hueso para Injerto Dental
Existen varios tipos de hueso para el injerto dental. Estos pueden ser obtenidos de:
- Hueso Autólogo: Obtenido del propio maxilar del paciente.
- Xenoinjerto: Obtenido de otros animales.
- Aloplástico: Hecho de materiales sintéticos.
Cuando se emplea hueso autólogo, se hace con injertos en bloque que son fijados con tornillos de osteosíntesis. En muchos casos, se prefiere el injerto de hueso sintético, que actúa como matriz durante el proceso de cicatrización ósea y es reemplazado por el propio hueso del paciente con el tiempo.
Precio de un Injerto de Hueso Dental
Para saber si tienes suficiente hueso para implantes, es importante conocer los costos y tipos de injertos. El precio del injerto de hueso dental depende de la técnica empleada en cada caso particular. En Echeverría, el precio de la regeneración simple es de 350 euros y consta de una membrana pequeña y un vial de hueso también pequeño.
Factores que Influyen en el Precio de un Implante Dental
Varios factores influyen en el precio de un implante dental, incluyendo:
- Calidad del Implante: Los implantes de gama alta están fabricados con materiales de gran pureza, como el titanio de grado quirúrgico o el zirconio.
- Material de la Corona Dental: Las coronas de metal-porcelana son generalmente más económicas, mientras que las de zirconio cuestan más.
- Marca de Fabricación: Cada marca se diferencia en materiales, diseño y tratamientos aplicados.
- Tecnologías y Técnicas Utilizadas: Las tecnologías avanzadas de imagen e impresión tridimensional mejoran la precisión y reducen las molestias postoperatorias.
En España, el precio del implante dental de una pieza se sitúa alrededor de los 1.800 euros. Es decir, es necesario evaluar las necesidades específicas del paciente, saber si es apto para esta intervención y si necesitará algún procedimiento adicional (extracciones dentales, regeneración ósea, etc.).
Tabla de Precios Estimados de Implantes Dentales y Procedimientos Adicionales (2025)
| Concepto | Precio Estimado |
|---|---|
| Implante Dental Completo (con corona) | 1.600 - 1.800 € |
| Regeneración Ósea Simple | 350 € |
| Extracción Dental | 50 - 150 € |
| Injerto Óseo (pequeño con material sintético) | 200 - 400 € |
| Injertos Óseos Complejos (en bloque, elevaciones de seno) | 300 - 800 € adicionales |
Nota: Estos precios son aproximados y pueden variar según la clínica y las necesidades del paciente.
Procedimiento de Injerto de Hueso Dental
El proceso de colocación del implante comienza con un estudio implantológico, que tiene lugar en la primera visita. Posteriormente, se programa la cirugía, que dura entre media hora y dos horas, en función de la complejidad del caso. A los 10 o 15 días de la cirugía de implantes dentales se retiran los puntos, en una cita de tan solo 10 minutos, donde se examina el proceso de cicatrización.
La cirugía de injerto de hueso dental generalmente dura entre 1 y 2 horas, dependiendo de la complejidad del caso y la cantidad de hueso que se necesite injertar. En procedimientos más sencillos, el tiempo de la operación puede ser más corto, mientras que en casos más complejos, puede extenderse.
Recuperación Después de un Injerto de Hueso Dental
El tiempo de cicatrización de un injerto de hueso dental varía, pero generalmente, el proceso inicial de curación toma de 2 a 3 semanas. Sin embargo, para que el injerto se integre completamente con el hueso natural, puede tardar entre 4 y 6 meses.
Después de un injerto de hueso dental, es recomendable seguir una dieta blanda durante los primeros días para evitar irritar la zona tratada. Puedes consumir alimentos como purés, sopas, yogur, batidos y huevos revueltos. Evita alimentos duros, calientes o pegajosos, ya que pueden afectar el proceso de cicatrización.
Dolor y Riesgos del Injerto de Hueso Dental
El injerto de hueso dental no suele ser doloroso debido a que se realiza bajo anestesia local. Después del procedimiento, es posible experimentar dolor leve o molestias en la zona tratada durante los primeros días, pero este malestar puede controlarse con medicamentos recetados por el cirujano. La mayoría de los pacientes informan que la incomodidad es temporal y manejable.
Posibles Complicaciones
El rechazo de un injerto de hueso dental es poco frecuente, pero puede ocurrir en casos raros. Los síntomas de rechazo incluyen dolor persistente, hinchazón excesiva o enrojecimiento en el área del injerto, así como fiebre o sensación de malestar general. En caso de notar alguno de estos síntomas, es crucial contactar inmediatamente con el dentista.
“NO necesitas un injerto de hueso para implantes”
Alternativas al Injerto de Hueso Dental
Existen varias alternativas al injerto de hueso dental, especialmente si no tienes suficiente hueso para soportar un implante dental. Algunas de las opciones más comunes incluyen el uso de injertos sintéticos o materiales biocompatibles que imitan la estructura ósea natural. Otra opción es el uso de implantes subperiósticos, que no requieren injertos óseos, pero son adecuados solo para casos específicos.
Además, los implantes cigomáticos son una excelente alternativa en casos de pérdida ósea severa en el maxilar superior. Estos implantes se anclan en el hueso cigomático (pómulo), evitando la necesidad de un injerto óseo en el maxilar. Al contrario que los implantes osteointegrados convencionales, que se colocan encima del maxilar, los cigomáticos se insertan en diagonal, en el arco de las mejillas.

Testimonios de Pacientes
Conoce los testimonios de pacientes reales de clínicas odontológicas que se han realizado un tratamiento de implantes dentales con elevación de seno maxilar e injerto dental:
- “Empecé mi tratamiento con ellos hace un mes y el trato está siendo inmejorable y excelente. Ayer me colocaron los Brackets y no puedo estar más contento."
- “Médicos maravillosos recomendable para todo el mundo."
- “Atención inmejorable, personal súper atento y profesional."
- “El Dr. Ferrer lleva viéndome a mi, y a toda mi familia, desde que me alcanza la memoria y siempre ha sido un profesional excelente, atento, cuidadoso y cariñoso. Precios realmente competitivos y una calidad humana del equipo inmejorable. Se preocupan por el paciente, te hacen sentir seguro de estar en buenas manos y te resuelven inmediatamente cualquier duda o problema que surja."
- “El doctor Ferrer es dueño de mi sonrisa. El trato ha sido siempre maravilloso y los precios los mejores de Madrid. Me han puesto varios implantes y el resultado es super natural."
Estos testimonios reflejan la importancia de elegir una clínica con profesionales experimentados y un trato humano excepcional para garantizar el éxito del tratamiento.