Las radiografías dentales son una herramienta fundamental en el diagnóstico y planificación de tratamientos odontológicos. En Madrid, el precio de estos procedimientos puede variar dependiendo del tipo de radiografía y la clínica dental. A continuación, exploramos los costos asociados a diferentes tipos de radiografías dentales y otros tratamientos relacionados.

Tipos de Radiografías Dentales y sus Precios
TAC Dental (Tomografía Axial Computarizada)
El precio de un TAC dental se sitúa alrededor de los 141 euros de media en España en el año 2025. Esta cifra se ha obtenido tras estudiar los costes en los principales dentistas y seguros del país.
Pero, ¿qué incluye este importe?
- Axa Seguros: Ofrece un TAC de una sola arcada por 95€. En caso de realizarse en la totalidad de la cavidad oral, el precio es de 125€.
- Adeslas: El precio del TAC dental es de 160€ en ambas arcadas.
- Otros Centros: Algunas aseguradoras permiten realizar un TAC maxilar o un TAC mandibular (de una sola arcada) por un precio de 85€.
Si buscas hacerte un TAC dental al mejor precio, puedes acudir a uno de los centros dentales en Madrid. Puedes recibir un estudio completo gratis en tu primera visita.
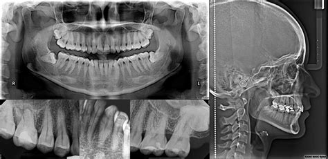
Ortopantomografía (Radiografía Panorámica)
La radiografía panorámica dental, también conocida como ortopantomografía, es una herramienta vital en el diagnóstico dental moderno. La radiografía panorámica dental o la ortopantomografía, permite tener en una sola película, una imagen general de la boca a nivel panorámico que muestra los maxilares, la mandíbula y los dientes.
El coste de una radiografía panorámica dental puede variar en función de la clínica y el equipo utilizado, pero suele oscilar entre 30€ y 80€.

Para qué sirve una radiografía
Telerradiografía de Cráneo
La Telerradiografia de cráneo, es una radiografía de la cabeza del paciente. Consiste en una radiografía de la cabeza del paciente a una distancia mayor de lo habitual. En este estudio se pueden detectar anomalías con relación entre el maxilar y la mandíbula y la relación de estos con el resto de huesos del cráneo.
Equipamiento y Tecnología
Las radiografías dentales que se realizan son digitales, y se entregan al paciente en soporte digital. El equipo de radiodiagnóstico es de la marca Sirona, Galilelos. Técnicamente, el emisor de luz de Tac dental es un CBCT (Cone Beam Computed Tomography) Tomografía Computarizada de Haz Cónico, que se diferencia del TAC en que estos equipos emiten en forma cónica y los TAC antiguos en forma espiral.
Además, hay una opción denominada “baja dosis” que hace que todavía se reduzca más la radiación producida. El software del equipo tiene el sistema MARS (Secuencia de reducción de artefactos metálicos). Es un algoritmo que elimina los artefactos que se producen en las imágenes cuando hay metales (implantes dentales, empastes metálicos, coronas, etc).
Los sensores para las radiografías panorámicas (ortopantomografía) y las telerradiografía también son especiales, porque necesitan menos tiempo de exposición radiológica.

Importancia de las Radiografías Dentales
Para algunos tratamientos, como implantes dentales, hoy día es una temeridad poner un implante dental si tener un tac. El implante tiene que ir dentro del hueso, puede ser que haya altura para colocarlo, pero quizás es un hueso muy fino y el implante no “cabe” en ese grosor.
Realizamos radiografías panorámicas pues las mismas son indispensables en muchos casos para un diagnostico precoz en diversas patologías odontológicas, así como para planificar tratamientos de prótesis, ortodoncias, exodoncias e implantes.
Ventajas del TAC Dental
El tac dental que hacemos puede servir para cualquier tratamiento dental. Está especialmente diseñado para implantes dentales y para extracción de muelas de juicio. El tac que hacemos en la clínica es de arcada superior e inferior. El tac dental hace radiografias de la zona por cortes. Nuestro tac realmente es una radiografía tridimensional.
Limitaciones de la Ortopantomografía
Tiene la desventaja en relación con el Tac 3d, que se una radiografía de dos dimensiones, todo lo vemos aplanado. Vemos a lo alto y a lo ancho pero no el grosor.
Consideraciones Adicionales
No debemos realizarnos radiografías durante el embarazo. Si es necesaria realizar una prueba radiológica estando embarazada, se hará siempre cubriendo tu abdomen con un delantal de plomo.
Ubicación y Contacto
La Clínica dental medics del Dr. Ferrer está situada en la Calle de Ramiro II, 10. La clínica está ubicada en el centro de Madrid, en el barrio de Salamanca. La zona tiene abundantes aparcamientos.
Testimonios de Pacientes
Las clínicas dentales en Madrid suelen recibir valoraciones positivas por su trato profesional y humano. Algunos comentarios de pacientes incluyen:
- “Empecé mi tratamiento con ellos hace un mes y el trato está siendo inmejorable y excelente. Ayer me colocaron los Brackets y no puedo estar más contento."
- “El doctor Ferrer es dueño de mi sonrisa. El trato ha sido siempre maravilloso y los precios los mejores de Madrid. Me han puesto varios implantes y el resultado es super natural."
- “Me recomendaron esta clínica, y la verdad es que no se equivocaron. Excelente equipo. Lo recomiendo."
Tabla de Precios Estimados
| Tipo de Radiografía | Precio Estimado |
|---|---|
| TAC Dental (Promedio) | 141€ |
| TAC Dental (Axa, una arcada) | 95€ |
| TAC Dental (Axa, ambas arcadas) | 125€ |
| TAC Dental (Adeslas, ambas arcadas) | 160€ |
| Ortopantomografía | 30€ - 80€ |
Nota: Los precios son aproximados y pueden variar según la clínica dental y la ubicación.
tags: #cuanto #cuesta #una #radiografia #dental