Las carillas dentales son una solución estética popular para mejorar la apariencia de la sonrisa. Permiten cambiar la forma, el tamaño, el color o la textura de los dientes, ofreciendo resultados naturales y atractivos. En este artículo, exploraremos los factores que influyen en el costo de las carillas dentales en República Dominicana y qué debes considerar al tomar una decisión.

Las carillas dentales son una excelente opción para mejorar la estética de tu sonrisa.
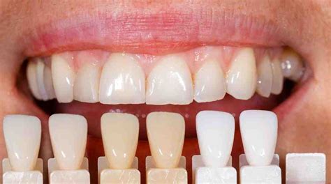
¿Qué son las Carillas Dentales?
Las carillas son láminas delgadas que cubren la parte visible de los dientes. Hoy en día, pueden ser tan delgadas como una lente de contacto, permitiendo ser ultra conservadores con tus dientes.
Tipos de Carillas Dentales
- Carillas de Porcelana: Ofrecen un aspecto muy natural y son duraderas.
- Carillas de Composite: Son más económicas y se aplican directamente sobre el diente.
Factores que Influyen en el Precio de las Carillas Dentales
Es muy habitual que se nos pregunte por el precio de un tratamiento dental a través de las redes sociales. El motivo principal para no dar precios de los tratamientos sin realizar los exámenes y pruebas complementarias de rigor es la necesidad de la personalización de los presupuestos. Tampoco podemos dejar de lado que cada clínica y cada profesional establece sus tarifas teniendo en cuenta una serie de factores que influyen en el costo de la atención odontológica.
Los precios de las carillas dentales pueden variar dependiendo de varios factores:
- Tipo de material: El costo varía según si son de porcelana o composite.
- Número de carillas: El precio total aumentará según la cantidad de dientes a cubrir.
- Clínica dental: Cada clínica establece sus propias tarifas basándose en su ubicación, reputación y tecnología.
- Experiencia del odontólogo: Los profesionales con más experiencia suelen tener tarifas más altas.
- Ubicación geográfica: Los precios pueden variar entre diferentes ciudades o regiones dentro de República Dominicana.
¿Por Qué Invertir en Carillas Dentales?
Si bien es natural querer lucir bien y sentirse seguro con la apariencia personal, no debemos olvidar que una sonrisa saludable y atractiva también es un componente esencial de la imagen. En definitiva, es importante equilibrar nuestras prioridades financieras y reconocer la importancia de la salud bucal en nuestra vida cotidiana, considerando el cuidado dental como una inversión a largo plazo en la salud y el bienestar.

Las carillas dentales pueden transformar tu sonrisa y aumentar tu confianza.
Ventajas de las Carillas Dentales
- Mejora estética: Corrigen imperfecciones como manchas, fracturas o dientes desalineados.
- Resultados rápidos: Se pueden observar cambios significativos en poco tiempo.
- Durabilidad: Las carillas de porcelana pueden durar muchos años con el cuidado adecuado.
- Mínimamente invasivas: Requieren una preparación dental mínima en comparación con otras opciones.
Consideraciones Adicionales
Es importante tener claro este concepto cuando se comparan presupuestos de cirugía ortognática. Los pacientes suelen centrarse en los costos de los tratamientos dentales en la clínica, pero hay trabajo más allá de ese momento. Se requiere también tiempo fuera del gabinete para diagnosticar y planificar adecuadamente los casos y tratamiento dental.
- Consulta inicial: Es fundamental realizar una consulta con un odontólogo para evaluar tu caso y obtener un presupuesto personalizado.
- Financiación: Algunas clínicas ofrecen opciones de financiación para facilitar el pago del tratamiento.
- Cuidados post-tratamiento: Seguir las recomendaciones del odontólogo para mantener tus carillas en óptimas condiciones.
El Precio de las Prótesis Dentales en España
El precio de las prótesis dentales en España varía mucho en función del tipo que sea y de la clínica. En Ferrus&Bratos te entregaremos un presupuesto por escrito, pormenorizado y cerrado con todos los procedimientos y pasos que necesitas para llevar tu prótesis dental. Las coronas o fundas dentales cubren a un diente previamente tallado pero también se colocan sobre implantes.
Aunque te hemos dado el precio de cada prótesis dental, las compañías aseguradoras y franquicias dentales ofrecen un listado de precios con conceptos extra necesarios para realizar el tratamiento protésico. Ahora que ya sabes los precios de las prótesis dentales, y sobre todo los conceptos extra que te pueden cobrar con tu seguro, tan solo queda dar el paso. Si quieres pedir una cita gratis con nuestro equipo de Implantología y Prostodoncistas, no dudes en contactarnos.
Tabla de Precios Estimados de Carillas Dentales en España (orientativo)
| Tipo de Carilla | Precio por Carilla (Estimado) |
|---|---|
| Carilla de Composite | 200€ - 500€ |
| Carilla de Porcelana | 500€ - 1200€ |
*Estos precios son aproximados y pueden variar.
Carillas dentales: cómo transformar tu sonrisa sin complicaciones 🦷
Alternativas a las Carillas Dentales
Dependiendo de tus necesidades y presupuesto, existen otras opciones para mejorar tu sonrisa:
- Blanqueamiento dental: Ideal para dientes manchados o descoloridos.
- Ortodoncia: Corrige la alineación de los dientes.
- Implantes dentales: Reemplazan dientes perdidos.