Una de las preguntas más frecuentes en estética dental es: ¿cuánto duran las carillas dentales? Comprender su vida útil es clave para tomar una decisión informada antes de iniciar este tratamiento. Sin embargo, es importante aclarar que el tratamiento de carillas dentales es seguro, resistente y duradero, pero no es irrompible ni dura para siempre.
La realidad es que no existe una duración concreta de las carillas dentales, ya que su vida útil depende de varios factores como la técnica de colocación empleada, la calidad del material y del cuidado y hábitos del paciente.
Las carillas dentales son una de las posibles soluciones para restaurar la estética de tu sonrisa, ya que están diseñadas para imitar la apariencia natural de tus dientes. ¿Has pensado, o te han recomendado ponértelas? Descubre qué son, los distintos tipos que existen y cómo se colocan.
Mantenimiento de las Carillas Dentales | Dr. Maarten
¿Qué son las Carillas Dentales y Para Qué Sirven?
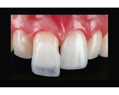
Las carillas dentales son finas láminas, generalmente de porcelana o resina compuesta, que se colocan sobre la superficie frontal de los dientes para mejorar su apariencia estética. Se fabrican a medida para adaptarse a cada paciente y se adhieren al esmalte del diente. Son una opción popular para quienes buscan hacer cambios superficiales en su sonrisa, como mejorar el tamaño, forma o color de sus dientes, ya que proporcionan una solución duradera y estética.

¿Cuándo es recomendable ponerse carillas?
Algunos casos comunes en los que es recomendable el uso de carillas dentales son:
- Desgaste dental: principalmente para dientes que han sufrido desgaste por bruxismo.
- Daño o roturas: para restaurar la apariencia de dientes que están astillados, fracturados o tienen imperfecciones menores.
- Desalineación leve y pequeños espacios: como alternativa a la ortodoncia en casos de desalineaciones leves o para cerrar pequeños huecos entre los dientes.
- Manchas o decoloración: ideal para dientes que han cambiado de color o tienen machas profundas y no responden bien a técnicas de blanqueamiento dental.
- Mejora estética general: para aquellos que desean tener una sonrisa más uniforme y atractiva.
En todos estos casos, es fundamental la evaluación por parte de un profesional dental, quien podrá determinar si las carillas son la opción más adecuada según las necesidades y condiciones específicas del paciente.
Tipos de Carillas Dentales
Existen diferentes tipos de carillas, cada una diseñada para satisfacer necesidades estéticas específicas y adaptarse a diferentes condiciones dentales. Las más destacadas son:
Carillas de Porcelana
Esta tipología es la opción más popular debido a su aspecto natural y a su resistencia a las manchas. Aunque suelen tener un precio superior al de otras alternativas, destacan por su durabilidad y habilidad para corregir defectos como dientes astillados o desgastados. Este tipo de carillas dentales puede requerir múltiples visitas al dentista para su colocación, debido a que previamente es posible que haya que realizar un tallado de los dientes.
¿Cuánto duran? La vida útil de las carillas de porcelana es de entre 10 a 15 años.
Carillas de Resina Compuesta o Composite
Las carillas de composite son una opción efectiva y más económica que no compromete demasiado las piezas dentales. Están hechas de un material de resina compuesta que se adapta al color natural del diente. Son ideales para corregir pequeñas imperfecciones, como dientes ligeramente torcidos o manchados. A diferencia de las carillas de porcelana, las de composite pueden aplicarse en una sola visita al dentista, ofreciendo una solución más rápida y menos invasiva, aunque requieren más mantenimiento.
¿Cuánto duran? La vida útil de las carillas dentales de composite es de entre 5 a 7 años.
Carillas de Zirconio
Están fabricadas con óxido de zirconio, un material cerámico resistente y no poroso, que imita perfectamente el esmalte natural del diente y resiste la decoloración y las manchas. Son ideales para quienes buscan resultados óptimos sin comprometer la funcionalidad de la sonrisa.
¿Cuánto duran? La vida útil de las carillas de zirconio es de entre 10 y 15 años.

¿Cómo se colocan las carillas dentales?
El proceso de colocación de las carillas comienza con una consulta inicial donde el dentista evalúa el caso del paciente. Si se considera apto, los siguientes pasos suelen ser:
- Preparación del diente: para algunas carillas de porcelana esto puede incluir el tallado de una pequeña cantidad del diente para asegurar un ajuste adecuado.
- Escaneo intraoral 3D o toma de impresiones: este escáner realiza una captura detallada y rápida de los dientes del paciente, creando un modelo exacto que se envía a un laboratorio para la fabricación de las carillas.
- Aplicación: una vez que las carillas están listas, se adhieren a los dientes utilizando un adhesivo especial y se tratan con luz para solidificar el pegamento.
Duración Real de las Carillas Dentales: Porcelana vs. Composite
Un aspecto clave al considerar un tratamiento con carillas dentales es su durabilidad a largo plazo. Un estudio titulado “El éxito de las carillas dentales según el diseño de la preparación y el tipo de material” ha analizado cómo influye tanto el diseño previo de la preparación dental como el tipo de material utilizado en la longevidad de las carillas.
El estudio concluye que, la preparación de los dientes y el tipo de material influyen directamente en el éxito del tratamiento con carillas y su duración. Las carillas de porcelana siguen destacando por su durabilidad y estética, siempre que se respeten los principios adhesivos y los realice un profesional. Las carillas de composite, aunque son algo menos duraderas, siguen siendo una alternativa buena y efectiva para muchos pacientes.
Diversos estudios clínicos ponen de manifiesto que las carillas de porcelana ofrecen una gran durabilidad. Resultados similares fueron hallados por Layton y Walton, con un 96 % de supervivencia a los 10 años y un 91 % tras 20 años. Otro estudio, realizado por Smales y Etemadi, señaló una tasa del 95 % de supervivencia a 7 años.
Sin embargo, no todos los estudios coinciden en tan altas tasas de éxito. En una investigación, dónde evaluaron más de 2.500 carillas realizadas dentro del sistema público británico, hallaron una tasa de longevidad del 53 % a los 10 años.
Las carillas de composite, por su parte, también presentan una duración aceptable, aunque generalmente inferior a las de porcelana. El estudio «Rendimiento clínico a 5 años de las carillas de composite» que llevó a cabo M. Peumans obtuvo una tasa de durabilidad del 89 % a 5 años, y otro estudio posterior confirmó que más del 80 % de 300 restauraciones seguían durando 5 años después y en perfectas condiciones.
| Material de la Carilla | Duración Estimada | Ventajas | Desventajas |
|---|---|---|---|
| Porcelana | 10-20 años | Alta durabilidad, resistencia a manchas, aspecto natural | Mayor costo, puede requerir tallado dental |
| Composite | 5-7 años | Menor costo, colocación en una sola visita, fácil de reparar | Menor durabilidad, susceptible a manchas y desgaste |
| Zirconio | 10-15 años | Alta resistencia, biocompatibilidad, estética excelente | Costo elevado |
Cuidados y Mantenimiento para Prolongar la Duración de las Carillas
Es de vital importancia seguir los consejos de tu odontólogo y realizar las revisiones periódicas para poder detectar a tiempo cualquier problema. En Ferrus & Bratos aconsejamos realizar entre uno y dos mantenimientos al año, dependiendo de cada paciente y el tipo de carilla. Mediante una limpieza profunda y uso de un pulidor exclusivo para proteger la resina en el caso de las carillas de composite, conseguimos prolongar la duración de las carillas dentales.
Siguiendo estas pautas para el cuidado y mantenimiento podrás alargar la duración y conservación de tus carillas. Mantener unos buenos hábitos de higiene oral, visitar regularmente a tu dentista y llevar un estilo de vida saludable no solo ayudará a preservar una buena salud bucodental, también ayudará a garantizar la longevidad de las carillas dentales.
En definitiva, la limpieza de las carillas dentales, el uso de un hilo dental adecuado y seguir las indicaciones de un especialista en estética dental son indispensables para alargar la vida de tus carillas. Como hemos mencionado anteriormente, saber cuánto duran las carillas dentales está directamente relacionado con los hábitos que implementes en tu día a día.
Aunque las carillas dentales están diseñadas para durar muchos años es importante saber cuándo es necesario reemplazar las carillas dentales. La duración de las carillas dentales depende del material elegido, del cuidado oral y de los hábitos del paciente. Mientras que las carillas de porcelana pueden durar hasta 20 años, las de composite son una alternativa válida con una duración de entre 5 y 7 años.