Es una de las intervenciones dentales más temidas, pero la extracción de las muelas del juicio no tiene por qué suponer ninguna complicación. En este artículo, aprenderá todo lo que necesita saber sobre las muelas del juicio: por qué existen, qué síntomas pueden causar y cuándo deben extraerse.

¿Qué son las muelas del juicio?
Los terceros molares o muelas del juicio son el recuerdo de cómo eran las mandíbulas de nuestros antepasados. Los homínidos primitivos tenían unos terceros molares hasta cuatro veces más grandes que los nuestros. Su superficie era lo suficientemente ancha como para masticar las texturas más duras y correosas, y garantizar así una buena alimentación. Las enormes dimensiones de los terceros molares se fueron reduciendo hasta el punto de que ya ni siquiera se manifiestan en todas las dentaduras o lo hacen de forma inadecuada.
Los cordales, conocidos de forma popular como “muelas del juicio” por su erupción durante la edad adulta, suelen ser más un estorbo que una herramienta de utilidad.
Muelas del juicio: los mitos más frecuentes
¿Por qué tenemos muelas del juicio?
Las muelas del juicio son los molares posteriores (término técnico: terceros molares, latín: dens serotinus), que sólo erupcionan en la edad adulta -o no-. En los círculos médicos, también se denominan "octavas muelas" porque, contadas desde el centro, las muelas del juicio son las octavas de la fila de dientes. Por tanto, la mayoría de las personas tienen cuatro muelas del juicio: dos en el maxilar superior y dos en el inferior. El número de muelas que erupcionan varía de una persona a otra. En alrededor del 80% de los adultos jóvenes, al menos una de las muelas del juicio no erupciona.
Las muelas del juicio son un vestigio de una época muy lejana en la que la gente vivía como cazadores-recolectores. Su dieta incluía carne cruda y raíces duras. Para digerir mejor los alimentos, necesitaban una mayor superficie de masticación. Por ello, los dientes adicionales tenían la función de triturar los alimentos duros y encajaban fácilmente en la boca.
La erupción de las muelas del juicio suele producirse entre los 18 y los 25 años. Sin embargo, ésta es sólo una cifra media. Interesante: Mientras que en los países de habla alemana e inglesa la erupción de los terceros molares se asocia a la "sabiduría", es decir, a la experiencia vital adquirida, en Corea se denomina "muelas del amor".
Las muelas del juicio pueden tener de tres a cinco cúspides y hasta cinco raíces, que a menudo están fusionadas o curvadas. A menudo, las muelas del juicio no encajan en la dentadura porque nuestra boca es demasiado pequeña. Si de todos modos las muelas del juicio intentan abrirse paso en la boca, esto puede provocar molestias, de las que hablaremos con más detalle en el siguiente apartado.
Debido a que se percibían como molestas, las muelas del juicio se extrajeron generalmente durante mucho tiempo. Hoy en día, los dentistas sopesan más cuidadosamente esta decisión frente a los riesgos de la cirugía de las muelas del juicio.
Síntomas y problemas comunes
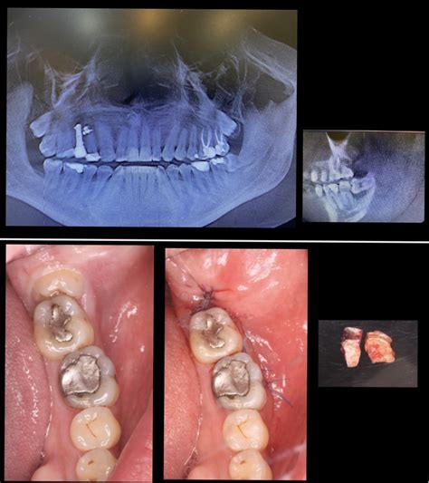
Dependiendo de cómo crezcan las muelas del juicio, pueden provocar distintos síntomas. Aunque las muelas del juicio crezcan con normalidad y erupcionen sin problemas, puede resultar desagradable. Las muelas del juicio suelen tardar en salir. Por eso puede ocurrir que el dolor remita y luego reaparezca. Lo mejor es concertar una cita con el dentista en cuanto notes que te están saliendo las muelas del juicio. Así el dentista podrá hacerte una radiografía de la mandíbula para determinar si tienes suficiente espacio en la boca o si es necesario extraer la muela del juicio antes de que erupcione.
Para aliviar el dolor, el dentista puede recetarte una pomada o crema o, si el dolor es intenso, un analgésico. Si las muelas del juicio intentan abrirse paso cuando en realidad no hay espacio en la boca, esto puede causar fuertes dolores. Entonces, la muela del juicio no sólo presiona contra la encía que se extiende sobre ella, sino también contra el diente vecino. Puede ocurrir que la muela vecina duela terriblemente, aunque no haya caries ni inflamación radicular.
- Muela del juicio parcialmente retenida: La muela sigue estando parcialmente debajo de la encía y no puede salir. A menudo se forma una especie de capuchón gingival sobre la muela.
- Muelas del juicio retenidas: Si las muelas del juicio no llegan a crecer en la boca, sino que permanecen en la mandíbula, se denominan "muelas del juicio retenidas". Las personas con muelas del juicio retenidas no suelen presentar síntomas. Sin embargo, si la muela del juicio se encuentra en un ángulo de la mandíbula y presiona un diente vecino, puede dañarlo. También pueden formarse quistes en las muelas del juicio retenidas, que el dentista puede reconocer en una radiografía. Los quistes están llenos de líquido y al principio no causan dolor.

¿Cuándo es necesaria la extracción?
Antes, la respuesta era clara: hay que extraer las muelas del juicio. Hoy, sin embargo, los dentistas sólo recomiendan extraer las muelas del juicio si ya existen problemas o son previsibles. Si conservas las muelas del juicio en la boca y no te las extraen, tienes la ventaja de poder utilizarlas para un trasplante de un diente dañado o ausente en lugar de tener que colocar un implante. Además, el riesgo de fractura de mandíbula aumenta tras la extracción de las muelas del juicio en el maxilar inferior. Como el hueso de la mandíbula está muy debilitado por la operación, puede romperse si se golpea con fuerza. Por eso, los dentistas recomiendan tener especial cuidado al practicar deporte durante tres meses.
La extracción de las muelas del juicio o cordales es una intervención quirúrgica en la que se extraen uno o más de estos molares con el fin de subsanar algún problema bucodental o evitar inconvenientes futuros. Las muelas del juicio son los últimos molares (se conocen como terceros molares) que erupcionan. Suelen aparecer entre los 17 y 25 años, aunque como decíamos, hay personas a las que ya no le nacen (es un tipo de agenesia dental). Las muelas del juicio retenidas de forma total o parcial suelen provocar dolor, infección, y otro tipo de afecciones bucodentales.
Hay algunas señales que advierten sobre la necesidad de extraer las muelas del juicio. Por ejemplo, si aparecen quistes o tumores, dolor, caries, periodontitis o si han dañado los dientes vecinos.
¿Cuándo no hay que extraer los terceros molares? No siempre es necesario extraer las muelas del juicio. Si estas han salido por completo y en una posición adecuada no es preciso hacerlo. Hay que considerar también que permitan mantener una higiene correcta.
Tipos de Extracción
Existen diferentes tipos de extracción, dependiendo de si la muela ha erupcionado completamente o no:
- Extracción simple: Se practica con muelas ya erupcionadas sin intervenir en la encía o el hueso. La muela se ‘ahueca’ (fase de luxación) y se extrae tirando de la corona con unos fórceps dentales.
- Extracción con cirugía: Es la que se emplea cuando las muelas están impactadas o dañadas. Implican la realización de una incisión en la encía y, en ocasiones, en el hueso. Este procedimiento corre a cargo de un cirujano maxilofacial y requiere de más tiempo y precisión que el de la exodoncia simple.
¿Cuánto dura la extracción de una muela del juicio?
Para los dentistas y cirujanos orales y maxilofaciales, la extracción de las muelas del juicio es un procedimiento rutinario que suele estar a la orden del día. Para los pacientes, sin embargo, extraer una o varias muelas es cualquier cosa menos habitual.
La duración del procedimiento para quitar una muela del juicio puede variar bastante según la situación de la muela y el tipo de extracción que necesites. En general, sacar una muela del juicio es un proceso relativamente rápido, pero irá desde unos minutos hasta cerca de una hora, dependiendo de varios factores.
- Extracción simple (muela del juicio erupcionada): Si la muela ha salido completamente y su extracción es sencilla, suele no durar más de 20-30 minutos. Muchas veces, ¡el diente sale en solo unos minutos! El resto del tiempo incluye preparativos, aplicar la anestesia y asegurarnos de que todo esté listo.
- Extracción quirúrgica (muela del juicio impactada): Si la muela está impactada (atrapada debajo de la encía o en una posición difícil), el procedimiento es más complejo. Puede requerir hacer una pequeña incisión en la encía e incluso retirar un poquito de hueso que esté cubriendo la muela. En estos casos la cirugía puede tardar entre 45 minutos y 1 hora por muela aproximadamente.
- Extracción de varias muelas del juicio a la vez: A veces se decide sacar dos, tres o hasta las cuatro muelas del juicio en una sola cita. Esto puede ser conveniente para “matar todo de un golpe” y pasar por una sola recuperación. El tiempo total obviamente será mayor: suele oscilar entre 1 y 2 horas en total, dependiendo de cuántas se extraigan y de la dificultad de cada una. Por ejemplo, quitar las cuatro muelas del juicio en una sesión puede llevar alrededor de 60 a 90 minutos (a veces un poco más si todas están impactadas). A pesar de que suena largo, muchos pacientes prefieren esto para evitar repetir el proceso varias veces.
Una extracción individual de muela del juicio puede ser muy rápida (unos 20 minutos) si es sencilla, o prolongarse a casi una hora si es complicada. Y si hablamos de extraer todas en una sesión, prepárate para alrededor de hora y media, aunque tú apenas lo sentirás gracias a la anestesia.
Factores que influyen en la duración
No todas las muelas del juicio son iguales, y por eso el tiempo necesario para sacarlas puede cambiar de un paciente a otro.
- Posición y estado de la muela: Es el factor clave. Si la muela del juicio está erupcionada (asomó completamente en la boca) suele ser más sencilla de extraer y toma menos tiempo. En cambio, una muela impactada bajo la encía o el hueso suele requerir cirugía, lo cual alarga el procedimiento.
- Dificultad o complejidad del caso: Aquí entran varios detalles técnicos. Por ejemplo, el tamaño y forma de las raíces: raíces curvas o muy largas se aferran más y pueden requerir más maniobras. Si la muela del juicio está muy pegada al nervio dental inferior (en el caso de las muelas de abajo) tendremos que ir con más cuidado, quizá quitando menos hueso para proteger el nervio, lo que puede hacer la extracción más lenta. También posibles infecciones o inflamación alrededor pueden complicar un poco el procedimiento. Cada detalle anatómico cuenta.
- Número de muelas a extraer: Como mencioné, sacar más de una muela en la misma cita obviamente extiende el tiempo total. Aunque muchas veces se optimiza el proceso y no es simplemente sumatorio (por ejemplo, extraer 2 muelas puede hacerse en 40-60 min, no necesariamente 30+30). El dentista va trabajando de manera eficiente entre un lado y otro si son dos, etc.
- Tipo de anestesia o sedación: La mayoría de extracciones de cordales se hacen con anestesia local, que prácticamente no añade tiempo (un par de minutos para hacer efecto). Sin embargo, si se hace bajo sedación intravenosa o anestesia general, el procedimiento global toma más tiempo porque hay que preparar al paciente: monitores, medicación, inducción de la sedación, y luego un periodo de recuperación post-anestésica.
- Experiencia del odontólogo y equipo: Aunque todos los dentistas seguimos procedimientos similares, la habilidad y experiencia pueden marcar diferencia en la duración. Un cirujano oral con mucha experiencia en muelas del juicio suele trabajar con movimientos más precisos y rápidos, optimizando cada paso, lo que puede hacer la extracción más ágil.
El Procedimiento Paso a Paso
Ahora que sabes cuánto podría durar el procedimiento, seguramente te preguntes qué pasa exactamente en el sillón del dentista durante esa media hora (o esa hora).
- Preparación y anestesia: Antes de comenzar, el odontólogo revisará tu radiografía para confirmar la posición de la muela y planificar la extracción. Luego te aplicaremos anestesia local en la zona alrededor de la muela del juicio. Este pinchacito puede dar un poco de respeto, pero te aseguro que es rápido y enseguida la encía y el diente se adormecen. Si estás muy nervioso, en algunos casos podemos ofrecer sedación consciente, que es un medicamento por vía intravenosa para relajarte (estarás despierto pero en un estado muy tranquilo, casi soñoliento).
- Extracción de la muela: Una vez estés bien anestesiado (comprobamos que no sientes dolor antes de empezar), procedemos a extraer la muela del juicio. Si es una extracción simple, el proceso es bastante directo: utilizamos un instrumento llamado elevador o botador para aflojar el diente con movimientos suaves, y luego unas fórceps (pinzas dentales) para sujetar la muela y sacarla con cuidado. Sentirás presión y movimiento, pero nada de dolor. Muchas veces la muela sale completa de una vez. En cambio, si la muela está impactada o sale en mala posición, la extracción se vuelve quirúrgica: haremos una pequeña incisión en la encía para descubrir la muela. Es posible que necesitemos remover un poco de hueso alrededor con una fresa (un torno especial) para liberar el diente. A veces también cortamos la muela en partes más pequeñas para sacarla por secciones, especialmente si la corona (la parte de arriba) es grande o las raíces están enganchadas. Todo esto suena aparatoso, pero recuerda: tú estarás anestesiado localmente, no sentirás dolor, solo los movimientos y vibraciones.
- Cierre y cuidados inmediatos: Cuando la muela del juicio ya está fuera, queda una pequeña herida en la encía (y a veces un espacio en el hueso). Si fue una extracción simple, normalmente no hace falta dar puntos; la herida es pequeña y tu propia sangre formará un coágulo que protege y empieza la cicatrización. En extracciones quirúrgicas, colocaremos puntos de sutura (muchas veces puntos reabsorbibles que no hay ni que quitar; otros se retiran en aproximadamente 7 días). Tras la extracción, se coloca una gasa sobre la zona y te pediremos que la muerdas firmemente durante 20-30 minutos. Esto ayuda a contener el sangrado inicial y a que se forme el coágulo correctamente.
- Instrucciones finales: ¡Y listo! La muela ya está quitada. Antes de que te vayas a casa, te daré unas instrucciones postoperatorias detalladas (muchas de las cuales te resumiré más adelante en este artículo). Hablaremos de cómo tomar tus medicamentos (analgésicos, antiinflamatorios y quizá antibiótico si lo receté), cómo limpiar la zona, qué puedes comer y qué no, y señales de alarma a vigilar.

Recuperación Post-Extracción
Una vez que la muela del juicio está fuera, comienza la etapa de recuperación. Muchas personas se sorprenden de que la extracción en sí no dolió casi nada… pero luego llega el postoperatorio, que es donde hay que tener un poco más de paciencia y cuidado.
¿Cuánto tarda en recuperarse uno de una extracción de muela del juicio? Depende de cada persona y de la dificultad de la extracción, pero típicamente hablamos de unos pocos días de molestias principales.
- Primeras 24 horas: Es la fase inicial de coagulación y comienzo de cicatrización. Durante las primeras horas tras la extracción, es normal un sangrado leve que irá disminuyendo. Deberás mantener la gasa mordida el tiempo que te indiqué (usualmente 30 min a 1 hora) y luego retirarla con cuidado. Se forma un coágulo de sangre en el hueco de la muela, lo cual es bueno porque ese coágulo es el que protege la herida. Sentirás la zona entumecida hasta que pase el efecto de la anestesia (un par de horas). Cuando la anestesia desaparece, seguramente notarás molestias o dolor manejable con los analgésicos prescritos. También comienza la hinchazón en la mejilla y mandíbula, que suele ir en aumento durante este primer día. Es fundamental que en estas 24h sigas al pie de la letra las indicaciones: reposo relativo (toma it easy, nada de ejercicio), cabeza un poco elevada al dormir, hielo local (10 minutos on/off varias veces), no enjuagar ni escupir vigorosamente, y nada de fumar ni beber alcohol.
- Día 2 y 3: La inflamación suele alcanzar su máximo alrededor del segundo día post extracción. No te asustes si amaneces con el carrillo más hinchado; es normal. Puede haber algo de dolor todavía, pero controlable con los medicamentos. Sigue con los cuidados: dieta blanda, higiene suave. A partir del día 3, si todo va bien, el dolor empieza a disminuir y ya no debería haber sangrado.
- Del día 4 al 7: En la mayoría de los casos, hacia el cuarto o quinto día ya te sientes mucho mejor. La inflamación cede, quizá queda un poco de sensibilidad o molestia leve al abrir la boca del todo (a veces aparece un poco de trismo, que es rigidez en la mandíbula por haberla mantenido abierta; esto mejora en el transcurso de la semana). A los 7 días, típicamente, si te pusieron puntos no reabsorbibles, el dentista te retirará los puntos. Para entonces, la encía ya ha cicatrizado bastante bien por encima.
- Dos semanas en adelante: Aunque el tejido blando de la encía cura en un par de semanas, la recuperación interna continúa. Entre las 2 y 4 semanas después, el hueso debajo de la encía seguirá remodelándose y rellenando el hueco donde estaba la muela. Puede persistir una ligerísima molestia al masticar cosas duras o al tocar la zona, pero ya sin mayor dolor. Para las 2 semanas la mayoría de los pacientes reportan sentirse totalmente recuperados, sin dolor ni hinchazón.
Si la extracción fue muy complicada (por ejemplo, cordal incluido completamente en hueso) o hubo alguna complicación (como una infección, o el temido alveolo seco que ocurre si se pierde el coágulo prematuramente), la recuperación puede alargarse. En caso de infección, podría aparecer más dolor e hinchazón pasada la primera semana, y habría que tratarlo con antibióticos u otras medidas. Un alveolo seco genera dolor intenso entre el día 3-5 y requiere que acudamos a la consulta para aplicar un tratamiento local y aliviarlo, lo que puede extender la recuperación unos días más. Por suerte, estas complicaciones no son lo habitual.
Consejos para una Recuperación Exitosa
Como odontólogo, siempre le recalco a mis pacientes algunas medidas sencillas que aceleran la curación y evitan problemas.
- Reposo relativo: Tras la extracción, tómate el resto del día libre. Descansa, siéntate o recuéstate con la cabeza ligeramente elevada. Evita ejercicio físico intenso durante al menos 2-3 días. Aunque quizás te sientas bien, hacer esfuerzos puede reabrir la herida o aumentar la hinchazón.
- Hielo e inflamación: Aplica compresas frías en la cara, sobre la zona de la extracción, especialmente durante las primeras 24-48 horas. Hazlo en intervalos de 10-15 minutos (10 min con hielo, 10 min de descanso). El hielo es tu mejor amigo para reducir la hinchazón y el dolor.
- Dieta blanda y adecuada: Durante unos días, come alimentos blandos y fríos o templados. Por ejemplo: yogur, batidos, purés, sopa tibia, helado (¡el helado suele ser bienvenido!), compotas, pastas suaves… Evita cosas crujientes o duras que puedan lastimar la zona (nada de frutos secos, papas fritas, trozos de pan duro, etc. en la primera semana). Tampoco alimentos muy calientes los primeros dos días, para que no se disuelva el coágulo. Y algo super importante: no uses pajilla (popote, sorbete) para beber, la succión puede desalojar el coágulo y causar alveolo seco.
- Higiene oral cuidadosa: Mantener la boca limpia es fundamental para prevenir infecciones, pero debes hacerlo con cuidado. El día de la cirugía no te enjuagues vigorosamente ni te cepilles la zona de la extracción. Al día siguiente, puedes empezar a enjuagar suavemente con agua tibia con sal o con el enjuague que te haya recomendado tu dentista, después de cada comida, para limpiar la zona. Cepilla tus demás dientes normalmente, con suavidad, evitando el área de la herida por unos días.
- Medicamentos según indicación: Si te recetaron antibióticos, antiinflamatorios o analgésicos, cúmplelos al pie de la letra. No esperes a que el dolor sea fuerte para tomarte el analgésico; es mejor mantener un nivel constante de medicina los primeros días para estar confortable.
- No fumar ni beber alcohol: Fumar es de lo peor que puedes hacer tras una extracción. El tabaco retrasa la cicatrización y multiplica el riesgo de infecciones y alveolo seco. Idealmente, no fumes nada por al menos 5-7 días (y si puedes más, mejor).
Posibles Complicaciones
Hablando de la recuperación por extracción muela del juicio, una pregunta que surge con facilidad es la relacionada con sus posibles complicaciones. En términos generales, podemos decir que las complicaciones pueden incluir infección, alveolitis seca (inflamación del alvéolo dental), daño a nervios cercanos o a dientes adyacentes, y sangrado prolongado. No obstante, siguiendo los cuidados postoperatorios recomendados por el dentista se minimizarán todos estos riesgos.
Manejo del Dolor Post-Extracción
Además de las complicaciones después de la extracción muela del juicio, el paciente también suele interesarse por el dolor. En este sentido, conviene aclarar cuánto dura el dolor o el tiempo de recuperación necesario para volver a la normalidad. Respecto a cuánto dura el dolor de la extracción muela del juicio, la respuesta se reduce a pocos días. Además, tomando los medicamentos prescritos por el especialista, el dolor será más llevadero. Si hablamos del tiempo de recuperación tras la extracción de la muela del juicio, debemos aclarar que va a depender de varios factores, como la complejidad de la extracción, la edad del paciente y su estado general de salud.
¿Cómo aliviar el dolor?
Para aliviar el dolor se pueden tomar analgésicos como el ibuprofeno o el paracetamol. Aplicar hielo en el área afectada también puede ayudar a reducir la hinchazón y el dolor.
Si sigues al pie de la letra las instrucciones de tu dentista, te vas a sorprender de lo rápido que sanan estas heridas y te reirás al pensar en lo mucho que has tardado en quitarte las muelas del juicio, solo por el miedo que te producía la intervención. En apenas una semana, la base de hueco queda sellada.
| Fase | Duración | Síntomas Comunes | Cuidados Recomendados |
|---|---|---|---|
| Primeras 24 horas | 1 día | Sangrado leve, entumecimiento, hinchazón | Reposo, hielo, evitar enjuagues fuertes |
| Día 2-3 | 2 días | Máxima inflamación, dolor controlable | Dieta blanda, higiene suave |
| Día 4-7 | 3 días | Disminución de la inflamación, mejora del dolor | Retiro de puntos (si aplica), continuar higiene |
| 2 semanas en adelante | Variable | Recuperación interna, posible molestia leve | Continuar higiene, evitar alimentos duros al principio |