El tiempo que tome para curarse en su totalidad depende de cada paciente y el cuidado que tenga. Si no hay ningún tipo de complicaciones, la curación será rápida. ¿Quieres saber cuánto dura la recuperación de la extracción de las muelas del juicio? En este artículo te damos detalles al respecto.
¿Cuánto tiempo⏳tarda en 𝗖𝗜𝗖𝗔𝗧𝗥𝗜𝗭𝗔𝗥 una EXTRACCION MUELA? Tiempo de RECUPERACION 𝙈𝙐𝙀𝙇𝘼 𝘿𝙀𝙇 𝙅𝙐𝙄𝘾𝙄𝙊 💪
¿Es necesario extraer las muelas del juicio?
Antes de extraer las muelas del juicio el dentista hará una valoración al paciente y decidirá si es necesario hacerlo o no. Los terceros molares o muelas del juicio son los últimos dientes en salir. La erupción ocurre entre los 17 y 25 años.
Sin embargo, para este momento es posible que tengan problemas para salir. A esa edad los demás dientes ya se han posicionado en su sitio y es posible que no quede espacio para los terceros molares. En consecuencia, estos no pueden salir y desarrollarse con normalidad. Cuando esto ocurre se les llama muelas de juicio impactadas.
Los molares impactados pueden crecer en forma horizontal o en distintos ángulos respecto a la mandíbula. En ocasiones permanecen retenidos, lo que puede provocar daños en las raíces de las piezas adyacentes. También puede ocurrir que salgan solo de forma parcial, lo que favorece la acumulación de alimentos y bacterias.
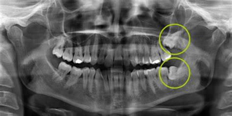
Asimismo, pueden apiñarse contra el resto de los dientes y provocar cambios en su alineación. De hecho, son capaces de alterar los resultados de trabajos de ortodoncia previos al mover los dientes. Hay quienes recomiendan extraerlas antes de que comiencen a generar problemas. Para evaluar la situación se hace una radiografía en la que se ve su posición y ahí se decide qué hacer.
En ocasiones, cuando se hace un tratamiento de ortodoncia se extraen las muelas del juicio. Hacerlo da espacio suficiente para alinear el resto de los dientes y evita inconvenientes en el futuro. Hay algunas señales que advierten sobre la necesidad de extraer las muelas del juicio. Por ejemplo, si aparecen quistes o tumores, dolor, caries, periodontitis o si han dañado los dientes vecinos.

Radiografía mostrando muelas del juicio impactadas.
¿Cuándo no hay que extraer los terceros molares?
No siempre es necesario extraer las muelas del juicio. Si estas han salido por completo y en una posición adecuada no es preciso hacerlo. Hay que considerar también que permitan mantener una higiene correcta. Los dentistas recomiendan que estas muelas se saquen lo antes posible, antes de que la raíz se haya formado por completo.
¿Cuántas muelas del juicio se pueden sacar a la vez?
Esta decisión dependerá también de la valoración del dentista. Se pueden extraer las cuatro muelas del juicio al mismo tiempo y hay odontólogos que lo prefieren así para que el paciente pase por un solo proceso de recuperación. Pero no siempre habrá que extraerlas todas. El odontólogo evaluará la situación de cada una y determinará cuáles se deben extraer. Los odontólogos recomiendan hacer una exodoncia de las muelas del juicio antes de que estas provoquen algún problema.
¿Cuánto dura la recuperación de la extracción de las muelas del juicio?
El tiempo de recuperación puede durar desde unos días hasta un par de semanas. Sin embargo, se puede alargar en caso de que ocurra alguna complicación, como una infección. Después de la cirugía de las muelas del juicio es común que haya dolor al pasar el efecto de la anestesia. También hay hinchazón y pueden llegar a formarse hematomas. El tratamiento y las instrucciones del dentista ayudarán a controlar estos síntomas.
Del proceso de recuperación puedes esperar que se formen coágulos en la zona donde se hizo la exodoncia. Esto ocurre durante las primeras 24 horas y es importante cuidarse de no desplazarlos o lastimarlos. Para no dañar el coágulo de sangre debes consumir alimentos suaves los primeros días. Evita las comidas y bebidas muy calientes.
Después de cuatro días es probable que ya puedas volver a tus actividades regulares, pero debes evitar esfuerzos que puedan lastimar el coágulo; por ejemplo, los ejercicios fuertes. La hinchazón debería desaparecer a los tres días. Puedes ayudarte aplicando compresas frías en la zona. Esto también contribuirá a que desaparezcan los hematomas y reduzca el dolor. Hay pacientes en los que la inflamación puede durar más tiempo.
Para hacer la exodoncia es posible que el dentista haya hecho una incisión si las muelas no habían salido. En ese caso se utilizan puntos de sutura para cerrar la herida, los cuales se retiran a los siete días. La extracción de las muelas del juicio obliga al paciente a tener la boca abierta durante mucho tiempo. Debido a esto puede sentir dolor y rigidez en la mandíbula, el cual puede tardar en desaparecer entre dos y diez días.
A partir de la segunda semana después de la extracción el paciente ya no debería sentir nada de dolor, la hinchazón y moretones deben haber desaparecido.

Etapas del proceso de cicatrización tras la extracción de una muela del juicio.
¿Cómo curar una cirugía de cordales?
Lo primero que debes hacer es seguir las instrucciones del dentista y mantener una rutina de higiene adecuada para evitar infecciones. El especialista te indicará cómo limpiar el agujero de la muela del juicio para no afectar el coágulo. Cepíllate con un cepillo suave si tocar la zona donde está el coágulo. Para eliminar los restos de alimentos de esa área puedes usar un enjuague que te encomiende el dentista.
Hay odontólogos que recomiendan diluir sal en agua y enjuagar la boca con esta mezcla. Esta ayudará a que la zona cicatrice más rápido y también a prevenir infecciones. Para que sea efectivo, al momento de enjuagarte la boca debes hacer un movimiento suave, así evitarás que se produzca una hemorragia. Asimismo, el agua debe estar un poco tibia, no caliente. Enjuágate con esta mezcla tres veces al día.
Hay otros ingredientes caseros como la manzanilla o el clavo de olor, que recomiendan para acelerar la curación. Pero antes de usar alguno de estos, mejor consúltalo con el dentista. Por otra parte, evita el cigarro y el alcohol, ya que esto retrasa la recuperación. El dentista indicará analgésicos para tratar el dolor y el antibiótico que puedes consumir en caso de que haya infección.
El tiempo de recuperación dependerá de cada paciente e influirá si cumple con las instrucciones del dentista; así como las condiciones en las que estaban las muelas antes de la extracción.
Factores que influyen en la cicatrización
Existen diversos factores que pueden influir en el tiempo de cicatrización después de una extracción de muela del juicio. El tiempo de cicatrización puede variar dependiendo de varios factores, como la edad y la salud del paciente, la complejidad de la extracción y la adherencia a los cuidados postoperatorios. Por lo general, el hueco puede tardar de 7 a 10 días en cerrarse por completo. Sin embargo, la cicatrización completa puede tardar hasta 4 semanas. Es importante seguir las instrucciones del odontólogo y tener una buena higiene bucal para lograr una cicatrización adecuada.
También es importante mencionar que en casos de extracciones complicadas o de pacientes con enfermedades crónicas, el tiempo de cicatrización puede ser más largo.
Es fundamental que, después de una extracción de muela del juicio, se preste especial atención al cierre adecuado del hueco dejado por la extracción. Esto evitará problemas en el futuro, como la sensibilidad dental o la falta de espacio para otras muelas.
Cuidados postoperatorios para una correcta cicatrización
Después de una extracción de muela del juicio, es importante seguir ciertos cuidados para asegurar una correcta cicatrización del hueco dejado por la muela.
- Mantener una buena higiene bucal: es fundamental mantener la zona limpia después de la cirugía para prevenir infecciones.
- Consumir alimentos suaves: durante los primeros días, se recomienda consumir alimentos suaves y evitar aquellos que puedan dañar la zona de la extracción, como comidas muy calientes o crujientes.
- Tomar los medicamentos recetados: es importante seguir las instrucciones del dentista y tomar los medicamentos prescritos para aliviar el dolor y prevenir infecciones.
Siguiendo estos cuidados postoperatorios, se puede lograr una adecuada cicatrización del hueco dejado por la muela y prevenir complicaciones.
Posibles complicaciones y cómo prevenirlas
Es importante tener en cuenta que, aunque la extracción de una muela del juicio es un procedimiento común y seguro, pueden surgir complicaciones durante el proceso de cicatrización. Es fundamental conocer los síntomas y señales de alerta para poder prevenir y tratar estas complicaciones.
- Alveolitis seca: Esta es una de las complicaciones más comunes después de una extracción dental. Se produce cuando el coágulo de sangre se desprende del orificio de extracción, dejando el hueso y los nervios expuestos. Esto puede causar dolor intenso y retrasar la cicatrización.
- Infección: Aunque es menos común, también puede ocurrir una infección en el orificio de extracción. Los síntomas incluyen dolor intenso, hinchazón y fiebre. Para prevenir una infección, es importante mantener una buena higiene bucal y seguir las instrucciones del odontólogo para el cuidado postoperatorio.
- Hemorragia: Durante las primeras horas después de la extracción, es normal que se presente un poco de sangrado. Sin embargo, si la hemorragia es persistente y abundante, puede ser un signo de una complicación mayor.
En caso de experimentar alguna de estas complicaciones, es importante buscar ayuda médica de inmediato para recibir el tratamiento adecuado.
Recomendaciones adicionales para una óptima recuperación
- Durante la recuperación, es importante mantener una buena higiene oral para evitar infecciones y promover una curación rápida.
- Algunos alimentos y bebidas pueden afectar negativamente el proceso de cicatrización. Se recomienda evitar alimentos duros, pegajosos o picantes, así como bebidas carbonatadas o alcohólicas durante los primeros días después de la extracción.
- Cada caso de extracción de muela del juicio es único y puede requerir cuidados específicos. Es importante seguir las instrucciones y recomendaciones de su odontólogo para una recuperación óptima.
Con estas recomendaciones, podrá lograr una curación adecuada del hueco después de una extracción de muela del juicio.
¿Cuánto dura el dolor de las muelas del juicio?
El dolor de las muelas del juicio es aquel que se siente en la mandíbula debido a problemas con los terceros molares, también conocidos como muelas del juicio. La intensidad del dolor puede ser moderada o intensa, y puede durar desde unas pocas horas hasta días o semanas, dependiendo de la causa y del tratamiento que recibas.
Una de ellas es que hay espacio insuficiente en la mandíbula para que salga completamente. Otra razón por la que la muela del juicio puede doler es si hay una infección en el área. Esto puede ocurrir si hay una infección en la encía o si hay una obstrucción en el conducto que rodea la muela del juicio.
Además de lo mencionado anteriormente, hay otras razones por las que la muela del juicio puede doler:
- Fisuras o grietas: Las muelas del juicio pueden tener fisuras o grietas, especialmente si son muy grandes o están en una posición incorrecta.
- Problemas de crecimiento: Si la muela del juicio no está creciendo correctamente, puede causar dolor.
¿Cómo aliviar el dolor de la muela del juicio?
- Toma analgésicos de venta libre: Los medicamentos como el paracetamol o el ibuprofeno pueden ayudar a aliviar el dolor y la inflamación.
- Utiliza hielo: El hielo puede ayudar a reducir la inflamación y el dolor. Coloca una bolsa de hielo en un paño y aplícala sobre la mandíbula cerca de la muela del juicio durante unos 15 minutos.
- Evita los alimentos calientes: Pueden aumentar la inflamación y el dolor.
- Haz enjuagues de clorhexidina: La clorhexidina es un antimicrobiano que puede ayudar a reducir la inflamación y el dolor.
Recuerda que estos consejos son solo para aliviar temporalmente el dolor.
¿Qué hacer si tengo un dolor de muela del juicio insoportable?
Si tienes un dolor de muela del juicio insoportable, es importante que consultes a un dentista lo antes posible. Es probable que necesites medicamentos más fuertes para aliviar el dolor, como un analgésico narcótico o un antiinflamatorio esteroideo.
Recuerda que es importante no dejar el dolor de muela del juicio sin tratar, ya que puede empeorar y convertirse en una infección grave. La muela del juicio se extrae cuando es necesario para aliviar el dolor o para prevenir problemas de salud futuros. En general, la decisión de extraer la muela del juicio depende de la gravedad de los síntomas y de la causa del problema.

Procedimiento de extracción de una muela del juicio.