Cuando los niños comienzan a mudar su dentadura, es una etapa emocionante, pero a veces las piezas que los reemplazan tardan en aparecer. Entonces los padres se preguntan por qué no salen los dientes permanentes. En este artículo, explicaremos los motivos más comunes y qué esperar durante este proceso.

¿Cuánto Tardan en Salir los Dientes Después de Que Se Caen?
Alrededor de los 5 y 6 años, los niños comienzan a mudar los dientes de leche. Cuando los definitivos están listos para salir comienzan a empujarlos y es cuando estas piezas se aflojan hasta caerse. Depende de cada niño, pero en promedio el diente permanente tarda tres meses en salir. Aunque muchas veces erupciona a los pocos días de haber caído el de leche.
A veces los dientes definitivos tardan un poco más en salir, en especial los de la encía superior ya que esta es más fibrosa que la inferior. No siempre se considera un problema que esto ocurra, pero si hay un retraso en la salida de los dientes permanentes hay que evaluar a tiempo qué ocurre. Si han pasado seis meses o más desde que tu hijo perdió un diente y no hay señales de que el diente permanente está erupcionando, lo mejor es que asistas con un odontopediatra.
Recordemos que el proceso de mudar los dientes se extiende durante varios años. Por lo general termina a los 12 años. A esa edad ya tendrían toda la dentadura definitiva, salvo por las muelas del juicio que aparecen más adelante. Cada niño vive un proceso particular, así que no se puede decir con exactitud cómo será el desarrollo de sus dientes. Sin embargo, si los padres sospechan de algún problema, lo más conveniente es consultar con un odontopediatra.
Factores que Influyen en la Erupción Dental
Los primeros dientes que le salieron al bebé también suelen ser los primeros en caerse. Además, esto ocurre de forma simétrica. Es decir, cuando sale el de la derecha, su pareja de la izquierda le sigue. Como mencionamos, el desarrollo en cada niño es distinto y hay distintos factores que pueden influir en el retraso. Por ejemplo, causas genéticas, nutrición deficiente o enfermedades.
En principio no hay que alarmarse, solo hay que hacer seguimiento odontológico para determinar las causas. Lo más probable es que ese retraso se deba a que las nuevas piezas son más grandes que las anteriores. Por lo tanto, no tienen espacio suficiente para salir, pero lo harán en cuanto encuentren lugar para hacerlo.

¿Por Qué No Salen los Dientes Permanentes?
Bien sea porque el diente definitivo no se ha formado, porque no tiene espacio o por algún traumatismo, son distintas las razones por las que puede tardar un diente en salir. Las revisiones periódicas ayudarán a determinar si todo está bien o si es preciso algún tratamiento. Es frecuente que los padres pregunten por qué a mi hijo se le cayeron los dientes y no le salen. Por este motivo mencionaremos las causas más frecuentes de esta situación.
No Tienen Suficiente Espacio
Como mencionamos al comienzo, los dientes permanentes son más grandes que los de leche. Si no encuentra espacio suficiente tardará en salir, solo hay que darle un poco de tiempo. Sin embargo, a veces es necesario un tratamiento de ortodoncia para hacerle lugar a la nueva pieza. Además, otro problema que puede surgir por la falta de espacio son los dientes apiñados, que también se puede corregir a temprana edad. Es más fácil hacerlo con ortodoncia cuando el niño está aún en desarrollo.
Encías Fibrosas y Otros Obstáculos Físicos
Las encías superiores son más grandes que las inferiores, lo que puede hacer que los dientes tarden más en aparecer. Además, está la fibromatosis gingival, que provoca el crecimiento de las encías y con ello, impide la salida de los dientes. Para eliminar el tejido fibroso que retiene el diente se realiza una ulectomía.
Aparte hay otros obstáculos físicos que también pueden impedir que el diente permanente salga. Tales como malformaciones en el maxilar o también por la formación de quistes y tumores dentales que derivan en la ausencia de dientes permanentes.
Extracción Prematura del Diente
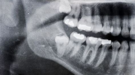
El diente de leche hace las funciones de guía del permanente, marcando el camino por donde debe salir. Si el de leche se cae antes de tiempo, el definitivo pierde la guía para hacer erupción. En caso de que esto ocurra, es posible encontrar la ubicación del diente mediante una radiografía y entonces hacer el tratamiento adecuado. Otra causa puede ser un traumatismo en los dientes de leche, que terminan empujando el definitivo hacia el hueso.
Agenesia Dental
La agenesia es la ausencia de uno o varios dientes. La pieza dental no se forma, de manera que al caerse el de leche, no tiene sustituto. De hecho, hay ocasiones en las que el diente de leche no se cae porque no hay uno permanente que lo empuje. El odontólogo evaluará por qué no salen los dientes permanentes y si se trata de esta patología. Las sospechas comienzan cuando los de leche no se caen o, si lo hacen, las permanentes no erupcionan después de un tiempo considerable.
A diferencia de los casos anteriores, no hay cómo hacer crecer los dientes permanentes cuando se trata de esta patología. Por lo tanto, es necesario un tratamiento de implantes. La agenesia dental provoca otros problemas físicos y estéticos a futuro; tales como maloclusión, desgaste de encías, problemas de fonación, entre otros.
Nutrición
La nutrición puede jugar un rol importante en el desarrollo y erupción de los dientes permanentes en los niños. La correcta alimentación es esencial para un desarrollo saludable de los dientes y mandíbula, ya que estos se forman en la primera etapa de la vida. La falta de vitaminas y minerales esenciales, como calcio y vitamina D, puede interferir con el desarrollo de los dientes y llevar a un retraso en la salida de los dientes permanentes. Por eso es importante que los niños coman balanceado y variado.
Los Dientes Permanentes Crecen en la Dirección Incorrecta
Es posible que los dientes permanentes estén creciendo en la dirección incorrecta y por eso no erupcionan. En este caso podría necesitarse la intervención de un ortodoncista para corregir el problema.
Diente Impactado
Un diente impactado significa que un diente permanente puede estar atrapado debajo del hueso o de la encía. Esto es uno de los casos más complejos y que necesita cirugía.
Causas Genéticas
La genética puede jugar un rol fundamental en que por qué no salen los dientes permanentes. Algunos niños pueden tener predisposición al desarrollo más lento debido a factores genéticos, lo que lleva a un retraso en la erupción dental. Pero es importante notar que esto es mucho menos común que las otras causas que mencionamos.

Tratamientos para los Dientes que No Erupcionan
Hay varios tratamientos para los dientes que no erupcionan, pero la decisión entre uno y otra se debe discutir entre los padres del niño y el odontólogo. Además dependerá de la edad del niño, la ubicación del diente y otros factores.
Cuidado Dental Niños 🤷 ¿Cómo es el Orden de Caída en Dientes de Leche?
Ortodoncia: Cuándo y Cómo Se Usa
La ortodoncia es una herramienta muy común para tratar los dientes que no erupcionan cuando la causa de esto es que las piezas dentales no tienen suficiente espacio para salir. También sirve si los otros dientes están bloqueando el camino del permanente, se usan aparatos de ortodoncia para alinear y liberar el espacio. También sirve para corregir la posición de los dientes cuando hay problemas en la mordida.
Extracción del Diente de Leche
La extracción de los dientes de leche es una solución cuando el diente no se cae cuando debería, impidiendo que el diente permanente erupcione. Esto se realiza cuando el diente de leche está muy adherido, es decir, no se mueve con facilidad. También puede ser una solución si con rayos X se nota que el diente permanente está formado completamente debajo de la encía.
Cirugía para Dientes Impactados
Un diente impactado es aquel que está completamente cubierto por hueso o encía. En estos casos se necesita una cirugía para hacer una pequeña incisión en la encía y exponer el diente. Luego, se adhiere un dispositivo de tracción en el diente expuesto que ayuda a que erupcione. Pero si el diente impactado está en una posición complicada, o no tiene suficiente espacio para salir, se puede optar por extraerlo.
¿Qué Hacer Si No Salen los Dientes?
Cuando ocurre alguno de estos problemas, la pregunta frecuente es cómo bajar un diente retenido. Lo primero que hace el dentista es una evaluación física de la boca del niño, normalmente se hacen radiografías para un diagnóstico completo. En el caso de la agenesia, las piezas dentales nuevas no se forman, por lo tanto, la solución pasa por colocar implantes. Mientras que en el resto de los casos, el odontólogo estudiará cuál es la mejor solución.
Por ejemplo, si el problema es la encía se puede abrir un poco para abrirle camino al diente nuevo. En otros casos se recurre a la ortodoncia. Otra solución es extraer el diente retenido para retirarlo del alveolo. Aunque es una de las alternativas, el especialista debe considerar otras opciones antes para que el paciente no pierda la pieza dental. Por último, también está la recolocación del diente en la arcada mediante un tratamiento quirúrgico-ortodóncico.
Dependiendo de la evaluación odontológica, al descubrir por qué no salen los dientes permanentes, es posible que el especialista no tome acción. De manera que espera que el diente salga de forma natural, aunque tarde un poco más. Para ello, comprueba antes que todo esté bien.