La extracción de las muelas del juicio es una intervención quirúrgica frecuente en la edad adulta. Aunque suele tratarse de una cirugía ambulatoria sencilla, el proceso de recuperación varía según cada persona y puede generar dudas: ¿cuánto dura la inflamación? ¿Cuántos días de reposo se necesitan? ¿Qué complicaciones pueden aparecer? En este artículo, abordaremos estas preguntas para ofrecerte una guía completa sobre la recuperación tras la extracción de las muelas del juicio.

¿Qué son las muelas del juicio y por qué se extraen?
Las muelas del juicio son los últimos molares en aparecer en la boca, normalmente entre los 17 y los 25 años de edad. Estos dientes suelen aparecer entre los 17 y los 25 años de edad, aunque algunas personas nunca desarrollan las muelas del juicio. En total hay cuatro muelas del juicio o cordales, pero no todo el mundo las tiene todas. En ocasiones, únicamente emergen algunas de ella o incluso puede darse el caso de que no lleguen a salir y queden atrapadas en el hueso dental.
Muchas personas sufren la impactación de las muelas del juicio. Esto se produce cuando las muelas del juicio no tienen suficiente espacio para erupcionar en la boca o para desarrollarse normalmente. A veces, estas muelas no tienen suficiente espacio para salir correctamente y se quedan parcial o totalmente retenidas en el hueso o la encía. Para evitarlos, los odontólogos suelen recomendar la extracción de las muelas del juicio retenidas.
Aunque no siempre se quitan, las cordales pueden generar problemas en el resto de la boca, por eso es importante extraerlas cuanto antes antes de que la situación sea más grave. La extracción de las muelas de juicio puede ser necesaria si se presenta algún cambio en la zona donde están esas muelas como: molestia en la zona, infección continuada del tejido blando que está detrás de la última muela inferior, desplazamiento de las muelas y dientes adyacentes, enfermedad en las encías, caries extensa, fiebre, malestar general, etc.
¿Se debe extraer la muela del juicio si no genera ningún dolor o problema?
Esta última opción no está exenta de polémica: ¿Se debe extraer la muela del juicio si no genera ningún dolor o problema?. La respuesta depende del paciente, la edad y, sobre todo, de la posición del molar. En ocasiones la extracción preventiva es muy recomendable ya que una muela del juicio que pretende salir desalineada, tarde o temprano va a generar problemas al paciente. Si acaba tocando al segundo molar, generará una lesión por la erupción, es decir, dañará la raíz del molar adyacente que también deberá ser extraído.
El principal indicio que puede alertarte de que, quizá, la muela del juicio va a ocasionar problemas es sentir un dolor persistente. De hecho, según un estudio realizado por la Sociedad Española de Cirugía Oral y Maxilofacial (SECOM), un 72% de la población presenta algún tipo de molestia respecto a la erupción de una muela del juicio en la arcada inferior.
El procedimiento de extracción
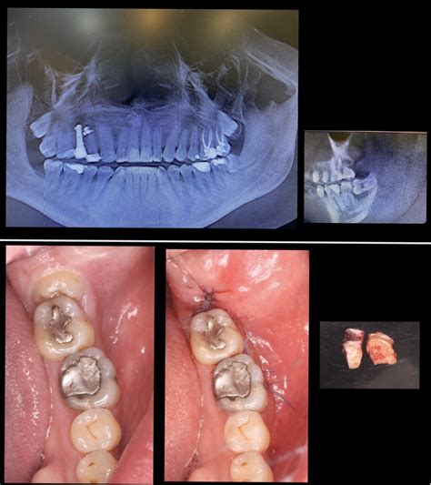
Si existe la necesidad de extraer las muelas del juicio, el odontólogo valorará si el procedimiento se puede realizar en la misma consulta dental. Esta intervención se realiza bajo anestesia local o general, dependiendo del caso y de las preferencias o posibles alergias del paciente. No, la extracción de la muela del juicio no es dolorosa ya que siempre se realiza bajo el efecto de la anestesia local. Además, siempre que el paciente lo pida, es posible solicitar la sedación consciente. Gracias a la sedación, se le induce a un estado de máxima tranquilidad y estará en todo momento bajo la supervisión de un médico anestesista.
El cirujano hace una incisión en la encía y retira el hueso que cubre la muela. Luego, extrae la muela entera o por fragmentos, y cierra la herida con puntos de sutura con mucha delicadeza.
Recuperación tras la extracción
La recuperación tras la extracción de las muelas del juicio no ocurre de un día para otro. La recuperación de la extracción de las muelas del juicio suele durar una semana aproximadamente aunque a veces puede variar dependiendo del paciente.
Justo después de la intervención, es normal sentir entumecimiento, molestia e hinchazón en la zona. En esta etapa, el cuerpo comienza a formar un coágulo que protege el hueso y los nervios. No escupir ni enjuagarse con fuerza es fundamental para evitar que ese coágulo se desprenda.
Una vez realizado el tratamiento, si se ha administrado sedación o anestesia general, se pasará a una sala de recuperación después del procedimiento. Es posible que se exude algo de sangre el primer día después de la extracción. Es importante evitar escupir en exceso para no desalojar el coágulo de sangre del alvéolo.
Durante las primeras 24 a 72 horas, es normal experimentar hinchazón progresiva, dolor moderado e incluso ligera dificultad para abrir la boca o masticar. Si te preguntas cuántos días dura la inflamación por extracción de muelas del juicio, lo habitual es entre 3 y 5 días. A partir del segundo o tercer día, la hinchazón suele comenzar a disminuir.
A medida que pasan los días, la zona intervenida comienza a cicatrizar. Durante los primeros días, se suelen recetar antiinflamatorios, analgésicos y, en algunos casos, antibióticos para prevenir infecciones. El odontólogo o cirujano oral prescribirá los analgésicos más apropiados dependiendo de la evolución del procedimiento. Cualquier hinchazón de las mejillas suele mejorar a los dos o tres días. Los hematomas pueden tardar varios días más en resolverse.
En muchos casos, el profesional indicará una revisión a los 7-10 días para evaluar la evolución y retirar los puntos, si es que se han colocado. En este tipo de cirugías es normal colocar puntos de sutura. Las suturas o puntos absorbibles desaparecerán por sí solos en 7 ó 10 días. Si se trata de puntos no absorbibles serán retirados una semana después de la cirugía.
Cuidados postoperatorios
Durante la fase de recuperación de la muela del juicio, la alimentación debe adaptarse a la sensibilidad de la zona. Respecto a la comida, es recomendable tomar alimentos blandos, como yogur o puré, durante las primeras 24 horas. Se recomienda consumir alimentos blandos, fríos o templados, que no requieran mucha masticación, como yogur, puré, sopas suaves, helados o compotas.
Durante las primeras 24 horas después de la cirugía, es preferible no cepillarse los dientes, ni enjuagarse la boca, ni escupir, ni usar enjuague bucal. Por lo general, se indicará que se reanude el cepillado de los dientes después de las primeras 24 horas, recomendando ser particularmente cuidadoso cerca de la herida quirúrgica.
Es importante beber mucha agua después de la cirugía, evitando las bebidas alcohólicas, con cafeína, carbonatadas o calientes en las primeras 24 horas. El consumo de tabaco está desaconsejado al menos 72 horas después de la cirugía, siendo recomendable esperar más tiempo si es posible.

Complicaciones
Una de las complicaciones más dolorosas es la alveolitis seca, que ocurre cuando el coágulo que protege la herida se desprende antes de tiempo. Esto deja el hueso expuesto y genera un dolor intenso que se irradia hacia el oído, la mandíbula o incluso la cabeza. Las infecciones también son posibles, especialmente si no se siguen las medidas de higiene adecuadas.
En extracciones complejas o cercanas al nervio dentario inferior, puede aparecer adormecimiento temporal en la lengua, el labio inferior o la barbilla.
¿Cuántos días de baja laboral se necesitan?
¿Te preguntas si se necesita coger la baja médica por la extracción de las muelas del juicio?. En cuanto al tiempo de baja laboral, dependerá de cada caso y de cada persona. Por lo general, después de la cirugía de las cordales suelen darse entre 3 y 5 días de baja laboral, aunque el tiempo de recuperación después de la extracción de la muela del juicio suele durar entre 1 y 2 semanas, dependiendo de cada paciente y de la complejidad del procedimiento. Se recomienda tomar entre 3 y 7 días de baja para recuperarse de la extracción de las muelas del juicio. Ya que la cirugía puede afectar a tu capacidad para hablar, comer y concentrarte.
La siguiente tabla resume los tiempos de recuperación y baja laboral:
| Aspecto | Duración |
|---|---|
| Inflamación | 3-5 días |
| Mejoría significativa | Entre el tercer y quinto día |
| Recuperación completa | 7-15 días |
| Baja laboral recomendada | 3-7 días |
Es importante recordar que estos tiempos son orientativos y pueden variar según cada individuo y la complejidad de la extracción.