La enfermedad periodontal afecta al 90% de la población mayor de 35 años y es la principal causa de pérdida de dientes a nivel mundial.
Junto con la caries, es la enfermedad que afecta con mayor frecuencia a la cavidad oral. Por lo tanto, provoca una creciente demanda en la sociedad.
El Curso Superior de Periodoncia, Prótesis e Implantes surge por la necesidad de ampliar los conocimientos y la formación en este ámbito, que está en continua evolución.

¿Por qué especializarse en periodoncia?
- Alta prevalencia de enfermedades periodontales.
- Demanda creciente de tratamientos especializados.
- Avances continuos en técnicas y materiales.
Diploma Avanzado en Periodoncia UCM-SEPA
El Diploma Avanzado en Periodoncia UCM-SEPA es resultado de la fructífera trayectoria de cooperación entre el Grupo de Investigación ETEP (Etiología y Terapéutica de las Enfermedades Periodontales) de la Universidad Complutense de Madrid (UCM), la Sociedad Española de Periodoncia (SEPA) y la Fundación SEPA.
Por ese motivo, hemos decidido aunar esfuerzos para impulsar un curso de referencia en la formación continua en Periodoncia.
La suma de la Universidad Complutense de Madrid y SEPA consolidan este curso como una de las referencias en cuanto a Formación Continua en Periodoncia, dentro del marco de actividades de la Cátedra Extraordinaria DENTAID en Investigación Periodontal.
Desde el rigor, la innovación y la excelencia, la alianza UCM-SEPA aportará una consistente combinación entre conferencias teóricas y seminarios de casos clínicos y prácticas con fantomas en sillones dentales, combinadas con un área quirúrgica en la que habrá prácticas de cirugías en mandíbulas de cerdo y la realización de cuatro cirugías en directo: terapéutica, regenerativa, mucogingival y preprotésica; con interacción continua durante la cirugía y su discusión posterior.
Tratamiento periodontal básico para pacientes (gingivitis y periodontitis) - Tráiler
Curso Superior en Periodoncia, Prótesis e Implantes (Fundación Universitat Jaume I - Empresa)
La Fundación Universitat Jaume I - Empresa presenta el Curso Superior en Periodoncia, Prótesis e Implantes. Se trata de un curso destinado a cubrir las carencias de los recién titulados en estas tres especialidades.
Cada dos alumnos tendrán una silla y un paciente con el que trabajar, siempre supervisado por el profesor.
La Clínica Monlleó ha firmado un convenio de colaboración con varias ONG´s de la ciudad de Valencia, entre ellas Cáritas.
Contenido del Curso
El curso está estructurado en varios módulos, que abarcan desde la introducción a la A.T.M. hasta la actualización en materiales y laboratorio dental, incluyendo la técnica Cad-Cam.
Módulos del Diploma Avanzado en Periodoncia UCM-SEPA
- Módulo III: Cirugía terapéutica.
- Módulo V: Cirugía mucogingival.
- Módulo VI: Cirugía regenerativa.
- Módulo VII: Cirugía preprotésica.
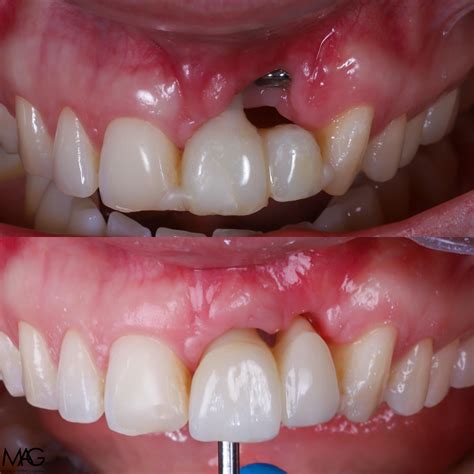
MÓDULO 1: Técnicas de Aumento de los Tejidos Blandos Alrededor de Implantes & Manejo de las Enfermedades Periimplantarias
- Aumento de la mucosa queratinizada con sustitutos de encía.
- Técnicas de aumento de los tejidos blandos alrededor de implantes
- Tejidos blandos alrededor de implantes.
- Actuación ante la ausencia de mucosa queratinizada.
- Importancia de la mucosa queratinizada.
- Complicaciones estéticas en implantes.
- Importancia del volumen de la mucosa alrededor de implantes.
- Dehiscencias mucosas alrededor de implantes.
- Seminario clínico interactivo sobre la mucosa queratinizada alrededor de implantes y situaciones de compromiso estético del tejido blando.
- Actuación ante la aparición de complicaciones en el tratamiento quirúrgico.
- Etiología y clasificación de las enfermedades periimplantarias.
- Seminario clínico interactivo de diagnóstico y tratamiento de las enfermedades periimplantarias.
Requisitos de Admisión para el Máster de Periodoncia
- Graduados o licenciados en Odontología o en Medicina y Cirugía especializados en Estomatología.
- Es necesario haber cursado el máster de formación permanente Periodoncia y Periimplantología de la Universidad de Barcelona o un programa equivalente.
- Este curso se dirige a odontólogos que quieran especializarse en periodoncia siguiendo la formación especificada en las directrices y estándares de calidad de la Federación Europea de Periodoncia, que requiere tres años de formación.
- Adquirir una formación de calidad que cumpla con los estándares propuestos por la Federación Europea de Periodoncia para programas de posgrado en el ámbito.

Criterios de Valoración para el Examen de Acceso (18 Noviembre 2024)
- Se valorará el CV y el Expediente Académico, siendo requisito indispensable el Título de Odontología.
- Sera imprescindible estar colegiado en España, por lo que los alumnos extranjeros deberán tener su título homologado.
- Se valorará de modo preferente:
- Obtención del título de Odontología al menos 1 año antes del comienzo del Máster.
- Acreditación de al menos un año de experiencia clínica.
- Realización del curso de Diploma de Especialización en "Tratamiento Periodontal e Implantológico" de la Universidad de Sevilla".
- Dominio del Inglés. (Nivel First Certificate).
- Experiencia investigadora.
- Informes de rendimientos emitidos en cualquiera de esas actividades.
- Asistencias a Congresos y cursos de Odontología y especialmente en el área de Periodoncia e Implantología.
- Colaboración en las actividades docentes del área de Periodoncia y Odontología Integrada de Adultos de la Facultad de Odontología.
Profesionales Destacados
A continuación, se presenta una lista de profesionales que participan en estos cursos, destacando su formación y experiencia:
- Dr. D. P. C.: Actualización en materiales y laboratorio dental. Técnica Cad-Cam. Cursos doctorado en el departamento de ciencias morfológicas de la facultad de medicina y odontología universidad de valencia.
- Dr. D. J.: Postgraduado en periodoncia e implantología por University of Texas. Health Sciences Center at Houston. Dental Branch. Socio titular especialista de la Sociedad Española de Periodoncia. Reconocimiento de: Miembro Internacional Especialista en Periodoncia. Profesor colaborador en el programa de Postgrado de la clínica del Dr. Vincenzi. Director y dictante del curso del Curso Superior de Formación Continuada en Periodoncia, implantes y Prótesis. Practica privada exclusiva en Periodoncia e Implantes.
- Dña. M.P. Carolina Mor: Realizó sus estudios de Odontología en la Universidad Internacional de Catalunya. Dentro de la actividad científica cabe destacar, además del doctorado, la publicación de artículos en revistas y capítulos sobre periodoncia, siendo autora de artículos nacionales e internacionales. Realiza actividad docente de Periodoncia en la Universitat Internacional de Catalunya de pregrado, postgrado y master. Es Socio Titular Especialista de la Sociedad Española de Periodoncia y Osteointegración (Sepa) y miembro de la European Federation of Periodontology. Fue miembro de los Jóvenes Profesionales en la junta de la Societat Catalana d’odontologia i estomatología de la Acadèmia de Ciències Mèdiques de Catalunya i Balears.
Esta información proporciona una visión general de los cursos de periodoncia disponibles en España, con el objetivo de ayudar a los odontólogos a elegir la mejor opción para su desarrollo profesional.
tags: #cursos #de #periodoncia #para #odontologos