Muchos pacientes acuden a consulta por dolores dentales, sin ser conscientes de que estas molestias pueden estar estrechamente ligadas a enfermedades de las encías. En este artículo, vas a conocer toda la información clave para ayudarte a identificar si podrías estar padeciendo alguna enfermedad periodontal. Analizamos cuáles son las principales enfermedades que afectan a las encías, cómo prevenirlas y tratarlas. A través de esta guía sobre el cuidado de las encías encontrarás toda la información para mantener tu boca y encías saludables.
¿Cómo saber si tienes un problema de encías?
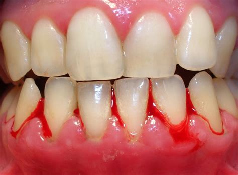
Una encía sana presenta una coloración rosada uniforme. Cuando se produce algún tipo de enfermedad de las encías, estas cambian por completo su aspecto, presentando síntomas característicos. Las encías se ven inflamadas, con un color rojizo o una pigmentación blanquecina, además de sangrado que se acentúa al comer o al cepillar los dientes.
Síntomas de las encías inflamadas
Un claro indicativo de problemas gingivales es la inflamación de las encías. Si notas que tus encías están rojas, hinchadas o sientes dolor al tocarlas, es un aviso importante. Estos signos suelen ser el resultado de una acumulación de placa y bacterias alrededor de los dientes y deben motivarte a mejorar tu higiene bucodental.
Aquí hay algunos síntomas comunes a tener en cuenta:
- Encías rojas: Uno de los síntomas más notorios cuando tus encías están inflamadas es su color rojo brillante o morado, cuando lo saludable es que sea de un tono rosa pálido.
- Sangrado de las encías: El sangrado de las encías durante el cepillado o al usar hilo dental puede ser indicativo de que hay una enfermedad gingival en desarrollo. El síntoma más notorio es el sangrado, ya sea al morder alimentos duros que pasen rozando las encías, como puede ser darle un mordisco a una manzana o al usar el hilo dental o cepillar los dientes.
- Encías sensibles o dolorosas: Las encías deben ser firmes. Si tienes las encías sensibles e incluso dolorosas al tacto, esto puede ser una señal de inflamación.
- Mal aliento (halitosis): El mal aliento crónico, también conocido como halitosis, puede ser un indicador de enfermedades de las encías. Este es otro de los síntomas más habituales que van de la mano con las encías inflamadas.
- Recesión de las encías: Cuando las encías han estado inflamadas durante mucho tiempo sin ser tratadas, es probable que poco a poco vayan retrocediendo dejando ver la raíz del diente, esto entre otras molestias, puede provocar sensibilidad dental.

Este problema no solo afecta la estética de tu sonrisa, sino que también puede aumentar la sensibilidad dental y el riesgo de problemas dentales adicionales. Además, es importante estar atento a cualquier cambio de color de las encías, como cuando da la sensación de tener las encías blancas o negras.
Gingivitis: Tratamiento casero. | Causas y soluciones.
Causas de la inflamación de las encías
Además de conocer los síntomas de las enfermedades de las encías, es fundamental entender los factores de riesgo que pueden incrementar las posibilidades de desarrollarlas. Conocer estos factores de riesgo nos permite adoptar medidas preventivas más efectivas, pero ¿qué causa estas enfermedades bucodentales?
Algunas de las causas más comunes incluyen:
- Mala higiene bucal: Un pilar fundamental en la prevención de las enfermedades de las encías es una adecuada higiene bucodental. Si la placa no se elimina adecuadamente, sus bacterias pueden irritar las encías, llevando a la gingivitis.
- Factores genéticos: No debemos pasar por alto la influencia de los factores genéticos en la salud de nuestras encías.
- Enfermedades sistémicas: Enfermedades sistémicas como la diabetes pueden influir en la salud de las encías.
- Estilo de vida y entorno: Factores como el estilo de vida y el entorno en el que vivimos también juegan un rol significativo.
- Traumatismo oclusal: Se refiere al daño en las encías y tejidos de soporte causado por una fuerza excesiva sobre los dientes, como puede ocurrir con un bruxismo no tratado o una mordida incorrecta.
Tipos de enfermedades de las encías
Las enfermedades de las encías pueden variar en gravedad y manifestación. Aquí hay algunos tipos comunes:
- Gingivitis: Es la etapa inicial y más común de la enfermedad gingival. Se caracteriza por enrojecimiento, hinchazón, y a veces, sangrado de las encías durante el cepillado. Para comprender mejor cómo tratar esta afección, descubre más sobre cómo curar la gingivitis.
- Periodontitis: Si la gingivitis no se trata, puede progresar a una enfermedad de las encías más grave conocida como periodontitis. Conocida también como enfermedad de las encías, la periodontitis es la inflamación y destrucción del tejido periodontal que rodea al diente. Al igual que en la gingivitis, algunos de los síntomas de la periodontitis más característicos son el sangrado, la inflamación, el enrojecimiento y la retracción de las encías.
- Absceso periodontal: Un absceso periodontal es una infección grave que ocurre en las encías. Se caracteriza por dolor intenso, hinchazón, y a veces, la liberación de pus.
- Gingivitis ulcerosa necrotizante: Es una forma grave y dolorosa de enfermedad gingival, a menudo asociada con inmunodeficiencias severas o estrés extremo.
Tratamientos para las enfermedades de las encías
Es importante recordar que el tratamiento de las enfermedades de las encías será determinado por un periodoncista, quien, tras un estudio minucioso de tu caso, decidirá cuál es el mejor tratamiento según la enfermedad de las encías y de la gravedad de la misma.
Algunos tratamientos comunes incluyen:
- Limpieza profesional (raspado y alisado radicular): Este procedimiento, realizado por un dentista o higienista dental, no solo limpia la placa y el sarro que no pueden ser eliminados con el cepillado regular, sino que también ayuda a prevenir futuras acumulaciones. Conocido como raspado o alisado de la raíz del diente, el curetaje de las encías es un tipo de limpieza que se realiza por parte de un especialista en odontología como parte del tratamiento del sangrado de las encías.
- Implantes dentales: En situaciones donde la enfermedad ha provocado la pérdida de dientes, los implantes dentales son una solución efectiva.
- Cirugía de injerto de encía: Cuando la retracción de las encías es severa, se puede considerar la cirugía de injerto de encía. Este procedimiento implica tomar tejido del paladar y trasplantarlo a la zona afectada. De esta manera se cubren las raíces que habían quedado expuestas y se reduce la sensibilidad dental.
- Cirugía de colgajo: Otro tratamiento quirúrgico es la cirugía de colgajo, en la que el periodoncista retrae la encía para eliminar la infección. Al finalizar, vuelve a llevar la encía a su lugar.
Prevención de las enfermedades de las encías

Además del tratamiento, el control y la prevención son fundamentales. Prevenir las enfermedades de las encías es posible, y de hecho, es la mejor manera de mantener una buena salud bucodental. Algunas recomendaciones incluyen:
- Cepillado regular: Cepilla tus dientes al menos dos veces al día con una pasta dental con flúor.
- Visitas regulares al dentista: Las visitas regulares al dentista son esenciales para prevenir las enfermedades gingivales.
- Dejar de fumar: El tabaquismo es uno de los factores de riesgo más significativos para el desarrollo de enfermedades gingivales.
- Técnicas de cepillado correctas: El cepillado adecuado es crucial para cuidar la salud de las encías. Opta por un cepillo con cerdas suaves para reducir la irritación en las encías y realiza movimientos suaves, circulares y cortos con el cepillo.
- Limpiezas dentales regulares: Durante las limpiezas dentales se elimina la placa y el sarro que se acumulan en la boca a pesar de tener una buena higiene bucal.
El estilo de vida tiene un impacto directo en la salud de tus encías. Recuerda, una boca sana es el inicio de un cuerpo saludable.
Remedios caseros para aliviar el dolor de encías
Además de los tratamientos profesionales, existen algunos remedios caseros que pueden ayudar a aliviar el dolor de encías:
- Gárgaras de agua y sal: Hacer gárgaras de agua y sal es uno de los remedios para el dolor de encías más populares.
- Aplicar un espray anestésico bucal.
- Tomar medicamentos para el dolor de encías: Los más indicados son el ibuprofeno y el paracetamol.
- Mantener una higiene dental adecuada.
- Limitar el consumo de alimentos y bebidas que favorezcan la sensibilidad dental o la irritación de las mucosas y las encías.
Al menor síntoma de hinchazón o dolor gingival, esmérate en tener unas rutinas de higiene en casa aún más exhaustivas. Al contrario de la creencia popular, cuando la encía comienza a sangrar no debemos detener el cepillado, sino continuarlo. No te limites al uso del cepillo: utiliza un enjuague bucal antibacteriano.
Descargo de responsabilidad: Este artículo proporciona información general y no debe sustituir el consejo médico profesional. Si experimentas problemas de encías, consulta a un dentista para un diagnóstico y tratamiento adecuados.