La corona dental es una "funda" en forma de diente que se coloca sobre un diente o implante dental, y su finalidad principal es la rehabilitación dental. Al estar fabricadas en diversos materiales, el precio de las coronas dentales puede variar en función de las que se seleccionen.
Asimismo, la importancia de las fundas es absoluta para emular normalidad y naturalidad en las piezas altamente dañadas y que, al mostrarse, pueden inducir a una falta de salud bucodental.
Existen diferentes tipos de coronas que se fabrican con diversos materiales como la cerámica e.max (porcelana, también utilizada en carillas), el zirconio, el metal y la resina. Todos estos materiales ofrecen resultados altamente satisfactorios por su excelente grado de adaptación.

Tipos de Coronas Dentales y sus Materiales
Las coronas sobre implante se diferencian principalmente por el material del que están hechas. Estos implantes dentales están fabricados con porcelana o con Zirconio.
Coronas de Porcelana e.max
Las coronas de porcelana e.max proporcionan una mejor combinación de colores naturales que cualquier otro tipo de corona. Fabricadas completamente de cerámica o porcelana, estas coronas ofrecen una apariencia muy natural.
Son más frágiles que las de metal porcelana o zirconio. Debido a esto, no se suelen colocar en los dientes posteriores o muelas. Este tipo de corona se utilizan fundamentalmente para reconstrucciones estéticas cuando las carillas dentales están contraindicadas.
Coronas de Zirconio
El zirconio es un material resistente capaz de soportar el desgaste diario. Las coronas de zirconio tienen un precio más elevado en comparación a las de metal/porcelana.
Su nivel estético es bueno. Son translúcidas y reflejan la luz de la misma manera que un diente natural, además de ser "biocompatible". A diferencia de la amalgama o aleaciones metálicas, el cuerpo humano acepta el zirconio, por lo que no tendría que preocuparse por las alergias o reacciones adversas.
Al igual que las del punto anterior anteriores, salvan perfectamente el objetivo funcional de masticar. En cuanto a estética se refiere, el circonio es el material polivalente para simular y personalizar la morfología y el esmalte del paciente.
Muchos pacientes a causa del nombre, creen que la corona está realizada completamente en zirconio. Pero, en realidad, solo la parte interna está hecha de ese material, sin embargo la parte externa está realizada en cerámica.

El zirconio dental es absolutamente compatible con el organismo humano. El color blanco del zirconio permite el uso de las coronas para un periodo más largo. Al tratarse de un material blanco y translúcido nos permite realizar prótesis de aspecto aún más natural y luminoso.
La única desventaja de la corona de óxido de zirconio es el cuesto más alto en comparación con las de metal-cerámica o de cerámica pura (véase los precios de las coronas dentales). La utilización del zirconio representa una fase importante para el futuro de la odontología estética.
Ese material es muy bien aceptado por cada organismo, se integra perfectamente en la sonrisa de los pacientes y ha sido utilizado con éxito en nuestra Clínica Dental Dr. Ya.
Coronas de Metal-Porcelana
Las coronas metal-porcelana han sido y son la restauración más frecuente. Están fabricadas de metal recubiertas en porcelana. Se ven naturales y son más fuertes que la porcelana. Combina la resistencia del metal con la apariencia de la cerámica, siendo muy resistente y estético.
Desde su nombre podemos deducir que esta corona se compone de metal y porcelana. Los metales que pueden ser utilizados para la parte interior son: Cromo-Níquel; Cromo-Cobalto; Oro; Platino; Titanio. Normalmente cuando la gente habla de metal-cerámica, se refiere a la aleación Cromo-Níquel o Cromo-Cobalto.
Con la evolución de la odontología estética este tipo de coronas actualmente se encuentra en desuso. La principal desventaja es el metal que puede verse a través de sus encías o con el paso del cuando las encías se retraigan dejan el metal al descubierto.
No se recomienda hacer las coronas de aleación de Cromo-Níquel, incluso si es muy barato porque está comprobado que pueden ocurrir reacciones alérgicas.
En condiciones ideales de producción y de uso, las coronas de metal-cerámica pueden durar 15-20 años. La corona metal-cerámica no se sustituye solo porque está usada.

Otros Materiales
Además de estos materiales también existen los completamente cerámicos. Pueden ser de disilicato de litio o de cerámicas vídreas. Las coronas realizadas con estos materiales ofrecen la mejor apariencia de todas las coronas existentes, por lo que se usan principalmente para dientes frontales donde la estética es la condición más importante.
¿Cuál Es El Mejor 𝐌𝐚𝐭𝐞𝐫𝐢𝐚𝐥 En 𝐂𝐨𝐫𝐨𝐧𝐚𝐬 𝐃𝐞𝐧𝐭𝐚𝐥𝐞𝐬? La Elección Acertada 𝐙𝐢𝐫𝐜𝐨𝐧𝐢𝐚 vs 𝐌𝐞𝐭𝐚𝐥-𝐏𝐨𝐫𝐜𝐞𝐥𝐚𝐧𝐚
¿Cuándo se Coloca una Corona Sobre Implante?
Al implantarse una corona sobre implante se debe tener en cuenta que se da en casos donde se quieren preservar los dientes vecinos de este diente perdido.
Algunas de las razones por las que se pierde un diente son:
- Enfermedades dentales, entre estas se pueden encontrar las caries o una enfermedad periodontal.
- Traumatismo, como golpes o caídas muy fuertes.
- La fractura de la raíz de un diente tal vez no se detecte al instante, pero se pueden desarrollar infecciones.
- Ausencia congénita, esto sucede cuando no existe un diente adulto que suplante al diente del infante.
Todo esto son escenarios posibles para cualquier tipo de persona, sin importar su edad, género o clase social.
Precios de las Coronas Dentales
Las coronas dentales tipos y precios es muy variable y depende, fundamentalmente, de los materiales que se elijan y el protésico que las fabrique.
A nivel general, es posible destacar que las de resina, por tratarse, frecuentemente, de coronas provisionales, rondan los 40€. Las de porcelana, por tratarse de una solución estética permanente, pueden encarecerse su precio tiene un rango desde los 400€ hasta los 850€ aproximadamente.
Las coronas de zirconio tienen un precio más elevado en comparación a las de metal/porcelana. Su precio rondará los 350 y 500€. Las coronas de Metal porcelana tienen un precio más bajo en comparación a las dos anteriores. Su precio rondará los 360€.
Los precios que se exponen en nuestra web son orientativos, por lo que recomendamos ponerse en contacto con nuestra clínica.
Consideraciones Adicionales
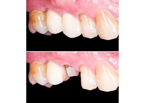
Una vez fijadas las coronas dentales, con el paso del tiempo las encías pueden experimentar un proceso de encogimiento, de manera que queda visible la parte del cuello pegada a la raíz del diente natural.
El cuello, al estar fabricado de metal, podría quedar visible y empeorar la estética de los pacientes. Es frecuente confundir fundas y coronas dentales, pero hay que destacar que son lo mismo. Es decir, la solución mediante la que el protésico da forma a dientes artificiales de los materiales citados, para que encajen perfectamente en el hueco de un diente natural y previamente reducido.
Se logran los máximos resultados estéticos y funcionales.

¿Por qué una Corona sobre Implante es la Mejor Opción?
Elegir un implante con corona no es solo una cuestión vanidad. Cuando pierdes un diente, el hueso que lo sostenía deja de recibir estímulo y comienza a reabsorberse, como un músculo que no se usa. Un implante dental, al integrarse en el hueso, ejerce esa misma presión natural al masticar, lo que mantiene el hueso activo y previene su deterioro.
Un puente dental tradicional requiere tallar y desgastar los dientes sanos que flanquean el hueco para poder apoyarse en ellos. La corona sobre implante no se mueve, no baila y no tiene ganchos que puedan dañar otros dientes. Se siente y funciona exactamente como un diente propio. Te permite morder y masticar con total confianza, disfrutando de todos los alimentos sin restricciones.