En Dental Care Barcelona, entendemos que una sonrisa saludable es fundamental para tu bienestar y confianza. Por eso, te ofrecemos una guía completa sobre las carillas dentales, unas finas láminas que se adhieren a la cara visible del diente para mejorar su aspecto estético.

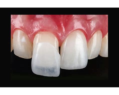
Las carillas dentales son láminas delgadas y personalizadas que se adhieren a la parte frontal de los dientes para mejorar su apariencia estética. Estas láminas están diseñadas para cubrir imperfecciones y crear una sonrisa más brillante y atractiva. Con las carillas podemos:
- Cambiar el color de la sonrisa
- Alterar la forma dental
- Modificar el tamaño de los dientes
- Cerrar espacios entre piezas dentales (diastemas)
- Reparar pequeñas fracturas
- Corregir desgastes
- Alinear ligeras malposiciones dentarias
Tipos de Carillas Dentales
Existen distintos tipos de carillas dentales disponibles, para que puedas elegir la opción adecuada según tus necesidades y preferencias. Fabricadas en distintos materiales, cada tipo de carilla tiene unas características particulares que la hacen diferente.

Carillas de Composite
Las carillas de composite son unas láminas dentales delgadas que se personalizan para cada paciente y que están hechas de un material compuesto de resina de alta calidad. Cuando hablamos de «composite» nos referimos a la mezcla de resina de plástico y partículas de cerámica que se utiliza en su fabricación. Una de las ventajas de las carillas de composite es que se realiza en una única sesión en la consulta odontológica. Además, no suele ser necesario desgastar apenas el esmalte dental, por lo que es un tratamiento muy conservador. Este proceso se realiza en una sola sesión, lo que significa que no es necesario realizar múltiples visitas al dentista.
Ventajas de las carillas de composite:
- Aspecto natural: El composite se puede moldear y colorear para que coincida perfectamente con el tono y la forma de los dientes circundantes.
- Corrección de imperfecciones: Son ideales para corregir dientes descoloridos, manchas, pequeñas anomalías de forma, espacios entre los dientes y otros problemas estéticos.
- Proceso de aplicación menos invasivo que otras opciones: Requiere menos eliminación de esmalte dental natural, lo que significa que se conserva más de la estructura dental original.
- Opción más económica: Una de las ventajas más evidentes de las carillas de composite es su costo relativamente menor en comparación con las carillas de porcelana u otros procedimientos estéticos más complejos.
- Rapidez: Como se ha mencionado anteriormente, el tratamiento de estética dental con carillas de composite es muy rápido. Al no tener que realizarse un tratamiento previo en el laboratorio, las carillas se pueden poner en una sola sesión.
- Tratamiento reversible: Las carillas dentales pueden aplicarse y, posteriormente, ser quitadas. Sin embargo, una ventaja importante es que son reversibles, lo que significa que se pueden retirar si el paciente decide dejar el tratamiento.
Desventajas de las carillas de composite:
- Posibles limitaciones en términos de durabilidad: En promedio, pueden durar de 5 a 10 años, dependiendo de factores como los hábitos de cuidado oral del paciente y su estilo de vida.
- Cambio de color con el tiempo y susceptibilidad a manchas: Aunque las carillas de composite son resistentes a las manchas y la decoloración en cierta medida, con el tiempo pueden experimentar un cambio de color leve. Esto puede deberse a la exposición a alimentos y bebidas con pigmentos fuertes, como café, té o vino tinto.
- Mayor propensión a astillarse o romperse en comparación con porcelana: Aunque el composite utilizado en las carillas es resistente, es importante destacar que son más propensas a astillarse o romperse en comparación con las carillas de porcelana, que son más duras y menos porosas.
- Necesidad de mantenimiento y reemplazo eventual: A medida que pasa el tiempo, es probable que las carillas de composite requieran mantenimiento y eventual reemplazo.
Carillas de Porcelana o Cerámica
Con las carillas de porcelana conseguimos más estética. Con este material logramos resultados muy similares al diente natural. Este material refleja la luz de manera similar al esmalte dental natural, lo que proporciona un aspecto muy similar al de los dientes originales. Las carillas de porcelana ofrecen un aspecto más natural y estético, ya que su composición mimetiza el esmalte dental natural y refleja la luz de manera similar.
Hace años, para realizar carillas de porcelana era necesario realizar un tallado mayor de la pieza dental que para la colocación de carillas de composite. Sin embargo, en la actualidad, gracias a los nuevos materiales que han ido surgiendo, no es prácticamente necesario desgastar el esmalte dental. Otra ventaja de este tratamiento es que poseer una duración mayor que las de composite, ya que la porcelana presenta una gran resistencia a la masticación. Además, su superficie lisa, poco porosa y brillante dificulta el cambio de color con el paso de los años.
Las carillas de porcelana son más duraderas y resistentes a las manchas y la decoloración en comparación con las carillas de composite. Como característica de las carillas de porcelana es que proporcionan una altísima durabilidad y resistencia. Ofrecen unos resultados muy naturales y apenas son perceptibles, algo que nuestros pacientes aprecian considerablemente.
Ventajas de las carillas de porcelana:
- Aspecto natural y estético.
- Mayor durabilidad y resistencia a las manchas.
- Resultados muy similares al diente natural.
Desventajas de las carillas de porcelana:
- Mayor costo económico.
Carillas tipo “Lentes de Contacto”
Se llaman así porque son carillas de porcelana muy finas, por lo cual no es necesario realizar ningún tallado dental (odontología mínimamente invasiva), únicamente un ligero contorneado o pulido para posteriormente adherir dichas carillas al esmalte. Generalmente se utilizan dos clases de porcelana para realizar este tipo de carillas: disilicato de litio o porcelana feldespática. A pesar del poco grosor que presentan, poseen mucha resistencia. La ventaja que tienen estos materiales es que son muy translucidos, reflejan la luz, por lo que conseguimos un resultado muy similar al propio diente.
Carillas de Zirconio
Opción de alta gama para aquellos que buscan la máxima estética y resistencia. El zirconio es un material cerámico extremadamente duradero y translúcido, que imita la apariencia de los dientes naturales de manera excepcional. Aunque es un material muy resistente, su grosor es mayor y son más opacas que las anteriores. Por estas características, sólo se utilizan cuando necesitamos modificar notablemente el color dental. Este material se utiliza más para realizar coronas que para carillas dentales. Estas carillas son altamente resistentes a las manchas y ofrecen resultados duraderos.
Carillas Dentales de Porcelana versus Carillas de Composite
A pesar de que las carillas de porcelana son más caras económicamente, perduran más en el tiempo que las de resina o composite. En una visita a nuestra consulta dental, el odontólogo comprobará que no sea necesario realizar ningún otro tratamiento previo y valorará varios parámetros, como por ejemplo el color o la posición de los dientes, para la elección del tipo de carilla. Es importante señalar que las carillas dentales no sustituyen la realización de otro tipo de tratamientos como la ortodoncia y se deben realizar cuando la boca está saneada, es decir, sin caries ni inflamación de encías.
Si los dientes tienen un color oscuro, seguramente será recomendable hacer un tratamiento de blanqueamiento previo a la colocación de las carillas. Además, el odontólogo elegirá el tipo de carilla según el color de las piezas dentales y la tonalidad final que se quiera conseguir. También dependiendo de la posición que tengan las piezas dentales en la arcada, puede ser necesario realizar un tratamiento de ortodoncia.
Evalúa tus objetivos estéticos personales. ¿Qué aspectos de tu sonrisa te gustaría mejorar? Asegúrate de tener una base de salud bucal sólida. Si eres diligente en el cuidado de tus dientes y encías y mantienes una buena higiene oral, es más probable que las carillas de composite sean una opción adecuada para ti.
En la siguiente tabla se resumen las principales diferencias entre las carillas de composite y las de porcelana:
| Característica | Carillas de Composite | Carillas de Porcelana |
|---|---|---|
| Material | Resina compuesta | Porcelana o cerámica |
| Duración | 5-10 años | 10-15 años o más |
| Estética | Buena, pero puede mancharse | Excelente, aspecto natural |
| Resistencia | Menor | Mayor |
| Costo | Más económico | Más caro |
| Proceso | Una sesión | Varias sesiones |
Carillas Dentales Vs Diseño de Sonrisa | Lo que tienes que saber antes de decidir
Cuidados y Mantenimiento de las Carillas Dentales
De la misma forma que es importante cuidar la salud del esmalte dental, las finas láminas de porcelana o composite que forman las carillas precisan de un cuidado extra. Las carillas quedan pegadas a la cara externa del diente a través de un fuerte pegamento. Las carillas de composite duran alrededor de 5 años, mientras que las de porcelana, que son más resistentes, entre 10 y 15 años. Sobre todo, en el caso de las carillas de composite. Estas tienden a mancharse fácilmente cuando se consumen alimentos y bebidas oscuros con frecuencia.
Las carillas se pueden romper debido al consumo de alimentos muy duros, por lo que se recomienda ser muy cuidadoso a la hora de consumirlos y preferiblemente cortarlos o triturarlos usando los dientes posteriores. Otra de las sustancias que más pueden oscurecer y alterar el aspecto de las carillas dentales, así como de los propios dientes naturales, es la nicotina del tabaco.
Recomendaciones para el cuidado de las carillas dentales:
- Higiene oral rigurosa: cepillado regular, uso de hilo dental y enjuague bucal son esenciales para mantener la salud oral y la durabilidad de las carillas.
- Evitar alimentos que puedan teñir los dientes: vino, el café o el té...
- Evitar malos hábitos: fumar.
- Revisiones periódicas de mantenimiento
- Evitar hacer fuerza con los dientes
- El cepillado de dientes es primordial para mantener la integridad de las carillas dentales. No debemos olvidarnos de la importancia de la limpieza interdental, ya que entre las piezas dentales se acumulan gran parte de las bacterias bucales.
- Para terminar la higiene bucodental y proteger la integridad de las carillas, los colutorios son el mejor complemento.
- Un mal hábito que es totalmente incompatible con el uso de carillas dentales es mordisquear objetos duros de forma recurrente como un bolígrafo. Otro hábito común y perjudicial para los dientes es usarlos para abrir objetos, cortar determinados materiales o sujetar algunas cosas duras y pesadas.
- Aquellas personas que padecen de bruxismo, apretando la mandíbula o rechinando los dientes de manera involuntaria, tienen mayor riesgo de rotura en sus carillas.
- Una visita anual al dentista para la correspondiente revisión y limpieza bucodental profesional es otra de las medidas para el cuidado de las carillas dentales. Adicionalmente, las carillas necesitan su propio mantenimiento según el tipo de material que las compone. Estas revisiones deben hacerse cada 5 a 10 años en función del material por el que esté compuesto la carilla.
No dudes en visitar a tu odontólogo lo antes posible si detectas cualquier cambio en la forma o composición de tus carillas. Cuida tus dientes y tus carillas dentales con mucho mimo a través de estas recomendaciones, y durarán intactos por más tiempo. Utiliza los mejores productos para obtener grandes resultados.