Si estás buscando un dentista en Paterna que ofrezca calidad, atención personalizada y una amplia gama de tratamientos, es importante conocer las opciones disponibles y las opiniones de otros pacientes. Adeslas, con su extensa red de clínicas dentales, puede ser una excelente opción para cuidar tu salud bucodental.
vivantadental es una compañía independiente de odontología con más de 150 clínicas en todo el territorio español. Nuestro objetivo es conseguir la mayor satisfacción en la experiencia y atención de nuestros pacientes, buscando la excelencia en la praxis odontológica, con calidad garantizada.

Tratamientos Dentales Ofrecidos
Las clínicas dentales Adeslas en Paterna ofrecen una variedad de tratamientos para cubrir todas tus necesidades:
- Implantología: Tratamientos innovadores para reemplazar dientes perdidos y recuperar tu sonrisa.
- Prótesis dental: Tratamientos para restaurar uno o varios dientes y recuperar la funcionalidad de tu boca.
- Ortodoncia: Corrige la colocación de tus dientes y mandíbula para lucir una increíble sonrisa.
- Ortodoncia infantil: Corrige los dientes y la mandíbula de los más peques con nuestros tratamientos.
- Estética dental: Luce una sonrisa perfecta con nuestros tratamientos de estética dental.
- Endodoncia: Tratamientos para eliminar la parte profunda del diente cuando se encuentra lesionado.
- Caries: Evita problemas en tus dientes realizando visitas de prevención para detectar posibles caries.
- Periodoncia: Tratamientos para prevenir y tratar problemas en las encías.
- Cirugía Maxilofacial: Prevención, diagnóstico y tratamiento para corregir cualquier problema maxilofacial.
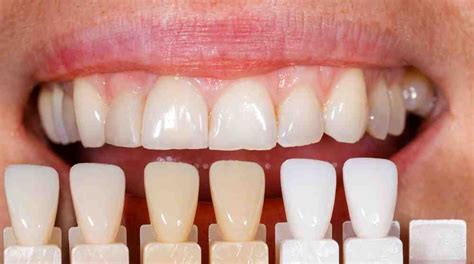
La mejor manera de blanquear los dientes
Opiniones de Pacientes
La calidad de un servicio se mide también por la satisfacción de sus usuarios. Algunos testimonios de pacientes de Vivantadental reflejan la atención y el cuidado que ofrecen:
- "Excellent service, from the reception to Dr. Kristina, who provided impeccable treatment!" - David Martinez
- "Súper rápidos, eficaces y atentos. Ningún problema. Extracción de muela súper rápido ni dolor. Super fast, efficient, and attentive. No problems at all. Tooth extraction was super quick and painless. Curettage was also very quick and painless, and the splint was fantastic."
Casos de Éxito
Vivantadental ofrece soluciones personalizadas para cada paciente. Aquí te presentamos algunos casos de éxito:
Rehabilitación Completa con Implantes
En esta rehabilitación completa hemos rehabilitado 14 piezas existentes en una arcada y para ello utilizamos implantes de carga inmediata, que permite colocar implantes y coronas fijas en una única intervención. Esta tecnología nos permite reducir al máximo los tiempos de espera para volver a tener una sonrisa natural desde el primer día.
Rehabilitación Superior Completa con Implantes
Os presentamos el caso clínico de nuestra paciente que había perdido sus piezas dentales. Con la colocación de 6 implantes dentales conseguimos rehabilitar a la paciente y devolverle la sonrisa.
Mejora Estética: Carillas
En este caso recuperamos la estética de la boca, con una forma dentaría proporcionada y armónica para hacer que los dientes se vean más blancos dando como resultado una nueva sonrisa perfecta que deseaba nuestro paciente. Las carillas de porcelana requieren una mínima preparación del diente y podemos conseguir este resultado en tan solo 2 citas.

Rehabilitación Coronas
Nuestro paciente tenía piezas dentales erosionadas, numerosas fracturas y color amarillento en dientes. Con las coronas de Zirconio pudimos mejorar la estética y función de la paciente. Las coronas dentales están ideadas para proteger y mejorar la apariencia del diente. Son restauraciones individuales para cada diente, recubriendo y reconstruyendo en su totalidad la pieza dental.
Alargamiento Coronario
Nuestra paciente estaba acomplejada por la gran exposición de encía cuando sonríe. Esta paciente presentaba signos de erupción pasiva alterada, tales como exceso de encía que recubre el diente, o apariencia de dientes demasiado pequeños.
¿Dónde Encontrar Clínicas Dentales Adeslas en Valencia?
Adeslas ofrece una amplia red de clínicas en Valencia y sus alrededores. Aquí tienes algunas ubicaciones:
- Plaça De L’Equip Crònica, 4, 46023
- Calle Ruaya, 39, 46009
- Avenida Tres Forques, 47, 46018
- Calle Pizarro, 9, 46004
- Avenida Peris Y Valero, 93-95, 46004
- Avenida Santos Patronos, 23, 46600
- Paseo Germanías, 44, 46702
- Calle Vicente Lerma, 28, 46980
- Avenida 9 De Octubre, 45, 46520
- Avenida Al Vedat, 39, 46900
Encuentra tu Clínica Dental en Valencia cerca de ti. Adeslas ofrece una de las mayores redes clínicas en España, con más de 185 centros propios repartidos por toda la geografía nacional para ofrecer un servicio integral a nuestros clientes.
Responsabilidad Social Corporativa
En Vivantadental somos conscientes del impacto que tiene nuestra actividad en nuestros pacientes, empleados y en la sociedad en la que estamos integrados. Nos sumamos a la acción de la Agenda 2030 para el Desarrollo Sostenible y ponemos en marcha actividades de Responsabilidad Social para contribuir a mejorar nuestro entorno y las vidas de las personas que nos rodean.
vivantadental lo integran un conjunto de cualificados profesionales que ofrecen como valor diferencial un servicio de alta calidad y atención personalizada.