Las celebrities viven de su imagen y, en consecuencia, no dudan en hacerse tratamientos estéticos para lucir una sonrisa perfecta. Que no te engañen las apariencias, nadie nace con una sonrisa diez, si no que se lo pregunten a los famosos.
Actores, deportistas, cantantes e influencers tienen clarísimo que una buena sonrisa es una excelente carta de presentación. Pero su boca perfecta tiene truco y lleva un trabajo previo de tratamientos estéticos que les ayuda a conseguir su estupenda sonrisa. ¿Lo mejor? Tú también puedes hacértelos.
Los tratamientos estéticos dentales se pueden utilizar para enderezar, aclarar, reformar y reparar los dientes, tratamientos que incluyen carillas, coronas, puentes, empastes del mismo color del diente, implantes o blanqueamiento dental. Son tratamientos sencillos, indoloros y se pueden realizar en una sola sesión sin necesidad de desgastar los dientes, logrando resultados 100% efectivos. Los especialistas en retocar estéticamente cualquier elemento de la boca son los odontólogos estéticos.
Nuestras celebrities más famosas como Patricia Conde, Elsa Pataky, Penélope Cruz, Dani Martín o Paula Echevarría, no han dudado en utilizar estos tratamientos para conseguir una imagen impecable.
El doctor Ignacio Pastor Tortosa, de Sanitas Dental, nos desvela qué técnicas existen para conseguir la ansiada dentadura perfecta, siempre adaptadas a cada necesidad: “Vivimos en la era de la individualización y tenemos la capacidad de adaptar el tratamiento a cada persona para que el resultado sea mejor. Además, la tecnología de la que disponemos nos facilita mucho el poder personalizar los tratamientos”, detalla el especialista que nos detalla los más solicitados.
A la hora de hablar de estética dental, cuando ves a las celebrities salir por televisión con una sonrisa blanca y radiante te preguntas: ¿Cómo lo hacen para tener esa dentadura tan perfecta? Los famosos viven de su imagen y la cuidan al detalle. Al igual que todos los mortales, para conseguirlo se someten a diferentes tratamientos de estética dental. ¿Quieres saber cuáles son los más demandados?
La sonrisa de TOM CRUISE, una MISIÓN IMPOSIBLE
Si quieres conseguir una sonrisa de película, igual que los famosos de la televisión a los que sigues, no dudes en acudir a nosotros, en Estudi Dental Barcelona estamos especializados en tratamientos de estética dental, con la que te ayudaremos a conseguir tus objetivos y mejorar tu sonrisa.
Los Tratamientos Estrella para una Sonrisa Perfecta
Carillas Dentales
Una carilla es un tratamiento estético dental que consiste en una capa de material colocada sobre un diente. Existen dos tipos principales de carillas: compuestas y de porcelana, éstas últimas son las más comunes entre los famosos.
Una carilla compuesta se puede colocar directamente o puede fabricarse indirectamente por un técnico especializado en un laboratorio dental, para luego pegarse al diente, generalmente usando un cemento de resina como Panavia. Por el contrario, una carilla de porcelana solo puede fabricarse indirectamente.
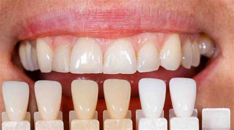
Es uno de los tratamientos más comunes y que, a su vez, ofrecen unos resultados espectaculares. Alguna vez habrás observado el antes y el después de algún famoso que tenía los dientes separados y torcidos. Y, de repente, aparece de nuevo con la dentadura perfecta. Las carillas dentales son láminas muy finas de porcelana o composite que se adhieren a la cara posterior del diente.
“Se trata de finas láminas de porcelana que cambian el color, la forma y la textura de tus dientes, para conseguir una sonrisa más uniforme”, explica el especialista sobre estas capas que se ajustan a la superficie frontal del diente. “Antes de realizarlas siempre nos aseguramos de que tu boca está en condiciones óptimas. Además, duran una media de 15 o 20 años, que puede ser incluso más gracias a la tecnología actual”.
Con las carillas dentales no solo corregimos y mejoramos el color de los dientes, dándoles la tonalidad que desea el paciente, sino que podemos modificar la forma y el tamaño de los dientes, cerrar diastemas, reparar fracturas y simultáneamente subsanar ligeras malposiciones dentales. Las carillas dentales se colocan en los dientes anteriores (incisivos y caninos).
Esta sí que es una solución definitiva con la que podemos modificar y obtener unos resultados estéticos excelentes para mejorar nuestra sonrisa. Las carillas dentales pueden estar hechas de resina compuesta o de porcelana. Este último material es el más empleado por sus propiedades. El color de las carillas de porcelana permanece inalterable. Por otro lado, si también hay que modificar el sector posterior, contamos con tratamientos como las coronas dentales(fundas dentales) o las incrustaciones, estos procedimientos están indicados en la zona posterior (premolares y molares).

Blanqueamiento Dental
Existen varios métodos para blanquear los dientes. Se puede comprar productos blanqueadores en una farmacia o seguir las indicaciones de tu dentista. Estos productos contienen peróxido de hidrógeno, que provocan que el oxígeno entre en el esmalte dental, aclarándolos.
Otro método es usar láser para conseguir este resultado, en Institutos Odontológicos utilizaqmos la tecnología patentada Philips Zoom®, y conseguimos blanquear los dientes del paciente en menos de una hora en una sola sesión. Pero lo mejor para el blanqueamiento está en la prevención y el cuidado del esmalte. Descubre nuestro tratamiento de blanqueamiento dental por fotoactivación, y consigue una sonrisa perfecta en una hora.
Posiblemente sea el más común de todos los tratamientos, pero no deja de ser uno de los más eficaces a la hora de dar una muy buena imagen. En revistas, photocalls y redes sociales, los famosos sonríen enseñando al mundo unos dientes blancos y brillantes. El blanqueamiento dental con luz LED. Se utiliza un gel blanqueador en la superficie externa de la dentadura para, posteriormente, aplicar la luz LED.
Gracias a esto se liberan las moléculas de oxígeno, blanqueando las piezas dentales. Otro tipo de sesiones de blanqueamiento dental se hacen en casa aplicando un gel blanqueador.
Con brillo Uno de los más populares es el blanqueamiento, cuyo objetivo es reducir la tonalidad del esmalte para tener unos dientes más brillantes y una sonrisa más joven en el menor tiempo posible. "Actualmente tenemos opciones muy seguras para lucir una sonrisa más blanca. Hay opciones de blanqueamiento que se realizan en la clínica, donde desde la primera sesión tus dientes estarán más blancos, hasta opciones para hacer en casa que consigue resultados a las pocas semanas”, tal y como cuenta el doctor Pastor sobre esta forma de rejuvenecimiento indolora, rápida y eficaz.
El blanqueamiento dental es un tratamiento dental indicado para todas aquellas personas que no llevan coronas dentales, ni carillas, ni ortodoncia invisible, si no que se realizan el tratamiento del blanqueamiento dental con el objetivo de conseguir unos dientes con unas tonalidades más blancas. Este tratamiento se realiza siempre después de haber realizado una primera visita en tu dentista con tal de valorar si es la mejor solución para blanquear tus dientes, y siempre, se realizará el tratamiento bajo la supervisión del dentista.
Por otro lado, cabe decir, que el blanqueamiento dental, no es un tratamiento que se realice de manera definitiva, sino que sus resultados irán desapareciendo a medida que pase el tiempo y sobre todo dependerá de los hábitos de cada uno. Siendo este tratamiento, una solución pasajera con la que se pueden realizar recordatorios para recuperar la tonalidad que queremos, pero no será un tratamiento definitivo. Si lo que quieres es conseguir un tratamiento definitivo para blanquear tus dientes, tenemos la solución de las carillas dentales.

Ortodoncia Invisible
La ortodoncia invisible es el único tratamiento que ofrece la innovación, los estudios clínicos y la tecnología necesarios para controlar con precisión el enderezamiento de los dientes. Los aparatos fijos y otras soluciones basadas en aligners transparentes no pueden competir con esta tecnología.
Este método endereza los dientes de forma progresiva y sin necesidad de alambres ni brackets, al contrario de lo que ocurre con los aparatos fijos. De esta forma, no incorporan ningún componente metálico y son prácticamente invisibles. A diferencia de los aparatos fijos, se pueden poner y quitar según sin necesidad de un profesional dental. Por tanto, su uso facilita la limpieza correcta de los dientes y las encías, sin limitar el tipo de alimentos que se pueden comer.
Para alinear y corregir la dentadura sin necesidad de los antiestéticos 'brackets' metálicos, una de las principales novedades de los últimos años es lo que se ha denominado ortodoncia invisible. Se trata de unas férulas transparentes que alinean los dientes de forma casi imperceptible para los demás. “Las férulas se van cambiando cada 10 días y mueven progresivamente los dientes. Todo está prediseñado digitalmente y antes de empezar, podrás ver cómo va a quedar tu boca después del tratamiento. Depende de la complejidad, las férulas tienen que llevarse entre cinco meses hasta 18”, explica el especialista de Sanitas.
Además de estos tratamientos, muchos famosos se someten a tratamientos de ortodoncia invisible, con el cual arreglan las malposiciones de sus dientes sin que se vean a simple vista. Dentro de esta sección de la odontología contamos con el sistema invisalign o la ortodoncia lingual.
El sistema invisalign consiste en n tratamiento de ortodoncia muy diferente al convencional, este sistema utiliza unas férulas, llamadas aligners o alineadores, son transparentes y hechos a medida, que se fijan perfectamente a tus dientes pasando desapercibidos por los demás. En cambio, el sistema de ortodoncia lingual, utiliza brackets como en la ortodoncia tradicional, pero la diferencia es que se colocan en la cara lingual de los dientes (en el interior), por este motivo se llama también ortodoncia invisible, ya que los demás no verán que te estas realizando un tratamiento de ortodoncia.

Implantes Dentales
Todas las piezas Una sonrisa mellada conlleva un impacto estético y en la autoestima. La solución para completarla está en los implantes que, como detalla el doctor Pastor Tortosa, “son importantes para mantener la función de la boca. Reponer un diente perdido ayuda a restaurar el equilibrio de la masticación y hace que toda la época se beneficie”.

Ejemplos de Transformaciones en Famosos
En el mundo de la fama, los famosos españoles también buscan tener una sonrisa perfecta. A través de tratamientos dentales como carillas, blanqueamientos, ortodoncia invisible e implantes dentales, han logrado transformaciones asombrosas en su aspecto dental. Penélope Cruz, George Clooney, Paula Echevarría, J Balvin, Miley Cyrus, y otros famosos han optado por mejorar su estética dental, mostrando resultados sorprendentes. Además, el método revolucionario de ortodoncia invisible Invisalign ha sido utilizado por figuras como Mariló Montero, David Broncano, Nuria Roca, el rey Juan Carlos y la reina Máxima de Holanda.
Algunos casos notables incluyen:
- Penélope Cruz: Ha pasado por un notable cambio en su aspecto dental.
- George Clooney: También ha experimentado una mejora notable en su sonrisa.
- Paula Echevarría: Ha decidido mejorar su sonrisa.
- J Balvin: También ha sido protagonista de una transformación en su aspecto dental.
- Miley Cyrus: Ha dejado atrás los dientes manchados y ha optado por un blanqueamiento dental para lograr una sonrisa radiante.
- Mariló Montero, David Broncano, Nuria Roca, el rey Juan Carlos y la reina Máxima de Holanda: Han utilizado Invisalign para corregir problemas de alineación dental de manera discreta.
¿Cómo Conseguir una Sonrisa de Celebrity?
Sabemos que los tratamientos dentales no están al alcance de todos, pero ahora con las diferentes ofertas y planes de financiación puedes conseguir una sonrisa perfecta. ¿A qué estás esperando? Chaplin decía que un día sin sonreír es un día perdido. No cabe duda de que una sonrisa genuina es algo maravilloso que, además, según corroboran los estudios, conlleva efectos positivos.
Para empezar, sonreír tiene un efecto muy positivo sobre uno mismo, ya que al hacerlo, el cerebro interpreta que estás contento y libera sustancias capaces de alegrarte. Además, es un arma de seducción y mejora nuestra salud, como prueban algunos estudios que aseguran que sonreír libera endorfinas, serotonina y otros analgésicos naturales. Por eso los famosos, cuando posan ante las cámaras, no dudan en mostrar sus seductoras sonrisa.
La Importancia de la Higiene Bucodental
La sonrisa es la mejor tarjeta de presentación y por lo tanto, un correcto cuidado de nuestra boca es necesario. Además de todos estos tratamientos, que se realizan en las clínicas de Sanitas Dental, hábitos como lavarse los dientes al menos tres veces al día y las visitas regulares al especialista son claves para mantener nuestra salud bucodental.
Seguramente, viendo las series, películas o en los Oscars las actrices y los actores de Hollywood lucen unas sonrisas impecable. Y es que forma parte de su trabajo el dar una buena imagen hacia al público. Las celebrities lucen de una sonrisa con un tono blanco adecuado, sin alteraciones de forma, un color uniforme, con unos contornos proporcionados, una sonrisa que parece ser perfecta.
Una vez realizado esto, lo más importante es la higiene bucodental para poder llegar a la sonrisa de Hollywood. Es de gran importancia realizar un cepillado dental tres veces al día durante un mínimo de tres minutos con una buena técnica de cepillado dental. Además, la higiene interproximal o interdental es necesaria para garantizar una máxima salud bucodental, consiguiéndose mediante el uso de hilo dental o cepillos interdentales. Las revisiones periódicas con un odontólogo junto con una higiene profesional son imprescindibles para chequear que la salud bucodental es correcta y ante cualquier anomalía presente detectarla con anticipación y poder tratar o frenarla.
Consejos para Famosos (y no Tan Famosos)
Como famoso, es crucial cuidar de tu salud dental para mantener una sonrisa impecable y radiante. Aquí hay algunos consejos:
- Realiza una buena higiene bucal en casa: Cepilla tus dientes al menos dos veces al día con una pasta dental de calidad, utilizando técnicas adecuadas de cepillado.
- Visita regularmente a tu dentista: Programa citas regulares con tu dentista para realizarte limpiezas profesionales y revisiones dentales completas.
- Evita malos hábitos que puedan dañar tus dientes: Evita morder objetos duros, como lápices o hielo, que puedan causar fisuras o fracturas en tus dientes.
- Adopta una alimentación saludable: Consumir una dieta equilibrada, rica en vitaminas y minerales esenciales para la salud dental, puede contribuir a mantener tus dientes y encías en buen estado.
Recuerda que una buena salud dental te ayudará a mantener una sonrisa deslumbrante a lo largo del tiempo.