Hoy en día, muchas personas se ven afectadas por problemas dentales que afectan su calidad de vida, y en algunos casos, incluso su autoestima. Las prótesis dentales pueden ser una solución para restaurar la función y la apariencia de los dientes faltantes o dañados. Entre estas soluciones, los puentes dentales destacan como una opción eficaz y duradera.
Cómo se coloca un implante dental
¿Qué es un Puente Dental?
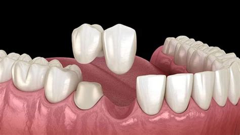
Un puente dental es una estructura protésica que tiene como objetivo reemplazar uno o varios dientes que se han perdido. El puente se ancla o se apoya en los dientes adyacentes al espacio vacío, conocidos como dientes pilares. Estos dientes pilares sirven como soporte para el puente y, por lo general, se les coloca una corona para aumentar su resistencia y permitir la fijación del puente.

Los dientes artificiales que reemplazan los dientes faltantes dentro del puente se llaman pónticos. La estructura completa del puente, que incluye las coronas sobre los dientes pilares y los pónticos son fabricados en nuestro laboratorio de prestigio internacional con la mejor calidad y ajuste.
¿Cuándo es Recomendable un Puente Dental?
El uso de un puente dental se recomienda en diversas situaciones para abordar tanto problemas estéticos como funcionales derivados de la pérdida de uno o más dientes. A continuación, se describen las circunstancias y razones principales por las cuales un profesional dental podría recomendar el uso de un puente:
- Ausencia de uno o varios dientes consecutivos: Cuando un paciente ha perdido uno o varios dientes en una fila, un puente dental puede ser la solución ideal para llenar ese espacio vacío, usando los dientes adyacentes como soporte.
- Restauración de la función masticatoria: La pérdida de dientes puede afectar la capacidad de masticar adecuadamente.
- Mejora de la pronunciación: La ausencia de dientes, especialmente en áreas frontales, puede afectar la pronunciación de palabras. Un puente puede ayudar a mejorar la claridad del habla.
- Prevención del desplazamiento de dientes: Cuando falta un diente, los dientes adyacentes tienden a moverse hacia el espacio vacío, lo que puede llevar a problemas de maloclusión y complicaciones en la mordida. Un puente dental evita este desplazamiento.
- Mantenimiento de la estructura facial: La pérdida de dientes puede causar que el rostro pierda soporte y se hunda o altere su forma, especialmente si se pierde una cantidad significativa de hueso alveolar. Un puente ayuda a mantener la forma y estructura facial.
- Solución a largo plazo: Para pacientes que buscan una solución duradera y no están interesados o no son candidatos para implantes dentales, un puente puede ser una excelente opción.
- Estética: Además de los beneficios funcionales, la pérdida de dientes puede afectar la autoestima y confianza de una persona debido a cuestiones estéticas.
Tipos de Puentes Dentales
Existen distintos tipos de puentes dentales en función del criterio de clasificación que empleemos para clasificarlos.
- Puente tradicional (dentosoportado): Este es el tipo de puente más comúnmente usado. Consiste en un póntico (diente falso) que está entre dos coronas destinadas a cubrir los dientes a ambos lados del espacio vacío. Se utiliza cuando hay dientes naturales en ambos lados del espacio vacío.
- Puente cantilever (en voladizo): Es similar al puente tradicional, pero la diferencia radica en que solo se fija a un diente pilar en lugar de dos. Se utiliza cuando solo hay dientes en un lado del espacio vacío. No es muy común hacer un puente cantiléver de tantas piezas, normalmente se reserva para reemplazar un solo diente con apoyo unilateral, ya que al tener soporte solo de un lado puede ejercer efecto palanca.
- Puente Maryland (adhesivo o con aletas): Es un puente más conservador que no usa coronas tradicionales. En lugar de tallar completamente los dientes vecinos, utiliza unas “aletas” o apliques de metal o porcelana que se pegan en la parte trasera de los dientes adyacentes al espacio. De esa forma sostienen el diente falso intermedio. La ventaja es que prácticamente no se desgastan los dientes de soporte; pero tiene limitaciones: solo sirve para reemplazar un diente faltante (no varios) y su adhesión suele ser menos fuerte, por lo que puede despegarse con fuerzas grandes (no se suele usar en zonas de mucha carga como muelas).
- Puente soportado por implantes: En vez de apoyarse en dientes naturales, el puente se apoya sobre implantes dentales integrados en el hueso. En el caso de necesitar reemplazar muchos dientes (por ejemplo, un puente de seis unidades), a veces se colocan 2 o más implantes como pilares en los extremos o incluso intercalados para brindar soporte adicional. Luego, el laboratorio fabrica un puente que atornilla o cementa sobre esos implantes. Este tipo de puente sobre implantes no requiere tallar dientes naturales y proporciona mucha estabilidad, siendo una gran opción cuando faltan varios dientes seguidos o no hay dientes naturales suficientes para soporte.
Materiales Utilizados en Puentes Dentales
El tipo de materiales utilizados para fabricar la prótesis dental también puede afectar su precio. Los materiales comunes incluyen:
- Puente dental acrílico: Fabricados una resina acrílica por lo que también son conocidos como puente dental de resina.
- Metal-porcelana (metal cerámico): Es posiblemente el material más usado tradicionalmente. Consiste en una estructura interna metálica (aleación, a veces metal noble) recubierta de porcelana dental del color de los dientes. Combina resistencia (dada por el metal) con estética (dada por la porcelana que imita al diente). Su apariencia es muy buena en general, aunque en algunos casos, con el tiempo, puede translucir un leve ribete oscuro cerca de la encía debido al metal subyacente. Suele ser la opción más económica dentro de los puentes fijos estéticos, por lo que es un equilibrio entre precio y resultado.
- Cerámica sin metal (porcelana pura o zirconio): Aquí no hay metal debajo; toda la estructura es de porcelana de alta resistencia o zirconio. El zirconio es un material blanco muy duro utilizado para estructuras internas en prótesis modernas, ofreciendo una resistencia excelente sin sacrificar la estética. Los puentes totalmente cerámicos (zirconio-porcelana) logran una estética superior, sin ninguna base metálica que opaque la luz: los dientes falsos lucen más naturales. Son ideales sobre todo para el frente estético o cuando el paciente busca lo mejor visualmente. ¿Desventaja? Su costo es mayor que el de las opciones con metal. Un puente de 6 piezas de zirconio/cerámica tendrá un precio más elevado (aunque hoy en día la diferencia se ha reducido).
- Metal (por ejemplo, oro o aleaciones sin recubrimiento): Antiguamente, algunos puentes se hacían totalmente en metal (como oro) por su longevidad. Sin embargo, por estética ya casi no se usan en zona visible. Un puente de oro de 6 piezas sería extremadamente resistente y podría durar décadas, pero no tendría color de diente, lógicamente. Actualmente, es raro que alguien elija metal desnudo salvo en casos muy particulares (por ejemplo, pacientes con bruxismo severo pueden requerir metales muy fuertes).
- Resinas acrílicas o composite: Para puentes provisionales (temporales) a veces se usan materiales acrílicos o resinas compuestas, ya que son más baratos y fáciles de trabajar rápidamente. No están pensados para largo plazo porque se desgastan o pigmentan más fácil. Si durante el tratamiento te colocan un puente provisional de resina mientras se fabrica el definitivo, ese costo suele venir incluido en el tratamiento.
Precio de un Puente Dental en España
El precio de un puente dental depende de varios factores que hemos de tener en cuenta a la hora de compara las distintos ofertas sobre precio que recabemos para decidir una clínica en la que realizar el tratamiento. Además te recomendamos que cuando acudas a solicitar presupuestos para tu puente dental solicites que estos sean completos y cerrados por todos los conceptos y que sean homogéneos.

El precio de los puentes dentales se sitúa alrededor de los 1.186 euros de media en España el año 2025. Esta cifra se ha obtenido del estudio llevado a cabo por Ferrus&Bratos tras estudiar los costes de un puente dental de 3 piezas sobre diente con coronas de zirconio en los principales dentistas y seguros del país.
En España, el costo de un puente dental múltiple es relativamente alto comparado con Latinoamérica, debido al nivel de vida y los materiales importados. Un puente fijo de 6 piezas (por ejemplo, 4 dientes ausentes reemplazados, apoyado en 2 dientes naturales) puede costar alrededor de 1.800 € a 3.000 € o más. Este rango depende del material (metal-porcelana frente a zirconio puro), de la clínica (no es lo mismo una franquicia low cost que una clínica premium en Madrid) y de la complejidad.
Por ejemplo, una clínica odontológica promedio podría cobrar ~2.000 € por un puente de 6 dientes en metal-cerámica, mientras que uno de zirconio en una clínica de alta estética podría acercarse a 3.000 € o superar esa cifra.
Si el puente va sobre implantes, entonces el precio sube sustancialmente porque hay que sumar el coste quirúrgico de los implantes: en ese caso, un puente de 6 piezas soportado por dos implantes podría estar en el rango de 4.000 € a 6.000 € total, dependiendo del número de implantes utilizados.
A continuación, se presenta una tabla con los precios aproximados de puentes dentales ofrecidos por diferentes aseguradoras en España:
| Aseguradora | Puente sobre dientes | Puente sobre implantes |
|---|---|---|
| Asisa | 1.119€ | 2.854€ |
| Axa | 1.110€ | 2.925€ |
| Sanitas | 1.137,90€ | 3.074€ |
| Servibucal | 1.230€ | Desde 3.377€ |
Recuerda que estos precios son aproximados y pueden variar según la clínica dental y las necesidades específicas de cada paciente.