En Linares, Jaén, existen diversas clínicas dentales que ofrecen servicios de implantes dentales y carillas. A continuación, se presenta información sobre algunas de estas clínicas, sus servicios y las opiniones de los pacientes.

Clínicas Dentales en Linares y Jaén
Varias clínicas en Linares y sus alrededores ofrecen servicios especializados en implantes dentales y carillas. Estas clínicas cuentan con profesionales cualificados y tecnología avanzada para garantizar resultados óptimos.
- CLÍNICA MÉDICO DENTAL LEPORACE: Ofrece especialistas en cirugía estética dental y servicios de reparación de prótesis dentales en Linares.
- Clínica Dental Simarro: Realiza todo tipo de cirugía estética dental y utiliza mascarillas dentales para mejorar la salud bucal.
- CLEARDENT: Gestiona todo tipo de cirugía estética maxilofacial y cuenta con médicos especializados en la cirugía guiada en implantología oral.
- Clínica Dental de Torres y Polaina: Proporciona diferentes tipos de carillas dentales y facilita la obtención de implantes dentales inmediatos en Linares.
- Clínica Dental Mª Dolores Solís: Ofrece servicios profesionales de carillas dentales en Linares y reemplazo de carillas.
- Clínica Dental Doctor Carlos Fernández: Realiza la modificación dental con carillas y cirugía de implantes dentales con expertos en Linares.
Servicios Ofrecidos
Las clínicas dentales en Linares ofrecen una amplia gama de servicios relacionados con implantes dentales y carillas:
- Implantes Dentales: Colocación de implantes dentales de titanio para prótesis fijas de muelas y dientes, implantes dentales inmediatos, implantes dentales sin hueso, implantes dentales sin tornillos.
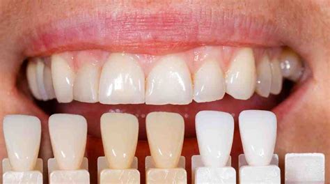
- Carillas Dentales: Colocación de carillas dentales de composite, carillas dentales de porcelana, carillas dentales lumineers, carillas dentales sin tallado.
- Prótesis Dentales: Reemplazo y reparación de prótesis dentales, prótesis dentales flexibles, prótesis dentales de silicona.
- Cirugía Estética Dental: Cirugía estética maxilofacial, cirugía de implantes dentales, cirugía de deformidades.
Opiniones de Pacientes
La satisfacción del paciente es un factor importante a considerar al elegir una clínica dental. A continuación, se presentan algunas opiniones de pacientes que han recibido tratamiento en clínicas dentales en Linares:
- "Excelente trato y buenas instalaciones, mi clínica de confianza!"
- "Muy satisfecho por el trato y por como me va el tratamiento dental."
- "Fui a la clínica recomendado por mi pareja porque tenía un diente que se me había separado levemente y menos de 2 meses me lo han solucionado. Muy contento con el resultado y un equipo médico muy agradable."
- "Excelente trato el que recibí."
- "Estoy súper contenta con el tratamiento realizado y con el personal de clínica."
- "Grandes profesionales. He venido por un implante y el trato y profesionalidad espectacular tanto del Dr."
- "Excelente experiencia en esta clínica dental. Fui atendido por Begoña, quien fue muy profesional y amable durante todo el tratamiento."
📌𝗜𝗡𝗙𝗢𝗥𝗠𝗔𝗖𝗜𝗢𝗡 𝗖𝗟𝗔𝗩𝗘 sobre la 𝗖𝗢𝗟𝗢𝗖𝗔𝗖𝗜𝗢𝗡 𝗜𝗠𝗣𝗟𝗔𝗡𝗧𝗘𝗦 dentales paso a paso explicada (TE INTERESA 👌)
Profesionales Destacados
En la región de Jaén, varios profesionales destacan por su experiencia y conocimientos en el campo de la odontología estética y la implantología:
- Alvaro Gomez Rodriguez: Cirujano estético dental especializado en la modificación dental con carillas.
- JUAN CARLOS LOPEZ GARZON: Especialista en cirugía de estética dental y colocación de implantes dentales.
- Esteban Sánchez Bellón: Ofrece conocimientos en carillas dentales de composite en Jaén.
- Clínica Periodoncia Dra. Cristina Jerez: Especialista en cirugía estética dental, incluyendo carillas dentales sin tallado y carillas dentales de composite.
- ROSA ANA BELLIDO MARTÍNEZ: Dentista especialista en carillas dentales de porcelana y colocación de implantes dentales de titanio y porcelana.
Tratamientos Innovadores y Tecnología de Última Generación
Las clínicas dentales en Linares se mantienen a la vanguardia en tratamientos y tecnología para ofrecer a sus pacientes las mejores soluciones:
- Ortodoncia Invisible: Tratamientos personalizados con ortodoncia invisible para conseguir excelentes resultados estéticos.
- Implantes Dentales de Precisión: Implantes dentales que imitan la forma, el color y la función de un diente natural, gracias a la tecnología de precisión.
- Diseño 3D de Sonrisas: Utilización de sistemas de diseño 3D para crear sonrisas perfectas.
- Radiografías Digitales de Alta Resolución: Uso de radiografías digitales de alta resolución para diagnósticos precisos.

Precios y Accesibilidad
Ofrecer opciones accesibles es una prioridad para muchas clínicas dentales en Linares. Se recomienda contactar directamente con las clínicas para obtener información detallada sobre los precios de los tratamientos y las opciones de financiamiento disponibles.
La clínica de carillas dentales CLEARDENT dispone de una sede en la localidad de Andújar. En donde lleva a cabo completos servicios de implantes dentales y carillas con múltiples opciones de materiales y precios.
Tabla de Precios Estimados
| Tratamiento | Precio Estimado |
|---|---|
| Implante Dental (unitario) | €900 - €2500 |
| Carilla Dental de Composite (por diente) | €250 - €500 |
| Carilla Dental de Porcelana (por diente) | €500 - €1200 |
| Prótesis Dental Removible | €600 - €1500 |
| Ortodoncia Invisible | €2500 - €6000 |
*Estos precios son aproximados y pueden variar según la clínica y la complejidad del caso.