El desgaste dental es un problema prevalente en la sociedad actual, afectando a personas de todas las edades. El desgaste dental es un problema que afecta a un gran número de personas y que, aunque en sus fases iniciales pueda parecer solo un problema estético, puede derivar en complicaciones funcionales que impactan directamente en la calidad de vida del paciente. Aunque podría parecer un fenómeno benigno, sus ramificaciones van más allá de lo estético y pueden afectar nuestra calidad de vida de manera significativa. El desgaste dental es un problema que se desliza silenciosamente en nuestras vidas, dejando una serie de complicaciones a su paso.
En este artículo, exploraremos en profundidad las principales causas del desgaste dental, sus consecuencias más importantes y los tratamientos disponibles para evitar complicaciones a largo plazo. Conocer cuán extendido está este problema y qué lo causa es el primer paso para combatirlo eficazmente. Este artículo proporciona información clave sobre los dientes desgastados, ayudando a comprender sus causas, síntomas y soluciones.
La salud dental es un pilar fundamental para nuestro bienestar general, y el desgaste de los dientes representa uno de los problemas más comunes que presentan muchos de nuestros pacientes. Los dientes desgastados no solo pueden representar una preocupación estética; su impacto va más allá de la superficie visible.

Prevalencia del Desgaste Dental
El desgaste dental es un problema que afecta a una amplia gama de personas, y su prevalencia varía en función de distintos factores. Por Edad: Es innegable que el desgaste dental es más común en las poblaciones adultas y mayores. En ciertos estudios, se ha observado que casi todos los adultos mayores tienen algún grado de desgaste dental, aunque la severidad puede variar significativamente. Los estudios sugieren que los hombres podrían ser más susceptibles al desgaste dental que las mujeres. Por Género: Los estudios sugieren que los hombres podrían ser más susceptibles al desgaste dental que las mujeres. Por Hábitos Alimenticios y Estilo de Vida: Las personas que consumen un alto volumen de bebidas ácidas, como refrescos y jugos de frutas, o que tienen una dieta rica en azúcares y carbohidratos, son especialmente propensas al desgaste dental. Por Factores Geográficos y Socioeconómicos: La prevalencia del desgaste dental puede variar notablemente de una región a otra y está influenciada por el acceso a la atención dental.
Causas del Desgaste Dental
El desgaste dental puede deberse a múltiples factores, algunos naturales y otros asociados a hábitos perjudiciales. El desgaste dental puede ser el resultado de diversos factores que afectan la estructura y la integridad de los dientes. El desgaste dental es la pérdida de estructura dental causada por el envejecimiento dental, el contacto incorrecto entre los dientes, el apretamiento inconsciente (bruxismo), por patologías o por malos hábitos.
Existen diferentes tipos de desgaste, cada uno con sus causas específicas:
- Atrición: La atrición es el desgaste del esmalte provocado por el contacto entre los dientes superiores e inferiores.
- Abrasión: Este tipo de desgaste es causado por fuerzas excesivas en la mordida que generan microfracturas en el esmalte, especialmente cerca de la línea de las encías. El uso de un cepillo de dientes muy duro o una técnica de cepillado inadecuada puede contribuir al desgaste del esmalte, especialmente en la zona del cuello de los dientes. Cada persona se cepilla los dientes con una intensidad diferente. Si la fuerza es excesiva o el cepillo demasiado duro vamos a lesionarnos.
- Erosión: La erosión dental se debe a la exposición frecuente a ácidos provenientes de la alimentación o problemas de salud como el reflujo gástrico o la bulimia. Erosión: es la pérdida de estructura debido a agentes químicos como bebidas carbonatadas, jugos ácidos o el vinagre. El consumo excesivo de alimentos y bebidas ácidas (cítricos, refrescos carbonatados, vinagre, etc.) puede desgastar el esmalte dental de manera progresiva. La anorexia y la bulimia llevan al paciente a vomitar de forma recurrente causando erosiones dentales en las caras posteriores de los dientes.
- Bruxismo: El hábito involuntario de apretar o rechinar los dientes, conocido como bruxismo, es una de las principales causas de desgaste severo. El bruxismo, o hábito de apretar y rechinar los dientes, es una de las principales causas de desgaste dental. El bruxismo produce un desgaste excesivo de las superficies dentarias, lo que provoca pérdida de esmalte y exposición de la dentina, aumentando el riesgo de fracturas y sensibilidad dental. El bruxismo o apretamiento dental es un habito perjudicial para el sistema masticatorio. Crea grandes desgastes cuando además se mueve la mandíbula de forma inconsciente. Las personas que aprietan o rechinan los dientes de manera involuntaria, especialmente durante la noche, pueden experimentar un desgaste significativo en la superficie dental.
- Maloclusión: Cuando los dientes no encajan correctamente, algunas piezas soportan una carga mayor que otras, lo que provoca un desgaste desigual. Una mordida mal alineada o una maloclusión pueden ejercer presión desigual sobre los dientes, provocando desgaste en áreas específicas. Los dientes que contactan de manera prematura pueden desgastarse más rápidamente y, con el tiempo, perder su estructura. Si hay una maloclusión que haya acelerado el desgaste, recomendaremos realizar un tratamiento de ortodoncia previo al de restauración dental.
- Envejecimiento dental: Envejecimiento dental. Con el tiempo, el esmalte dental tiende a adelgazar, volviéndose más susceptible al desgaste.
- Patologías y reflujo: Ciertas condiciones médicas, como el reflujo ácido crónico o trastornos alimentarios, pueden contribuir al desgaste dental. Algunos medicamentos pueden tener efectos secundarios que afectan la salud dental, como la sequedad bucal.

Bruxismo: consecuencias y tratamiento
Consecuencias del Desgaste Dental
Si no se aborda adecuadamente, el desgaste dental puede derivar en problemas graves. Sus efectos van más allá de las preocupaciones estéticas, y pueden tener graves consecuencias para la salud dental y el bienestar general. El desgaste dental es un problema que puede tener graves consecuencias si no se trata a tiempo.
Algunas de las consecuencias más importantes son:
- Sensibilidad dental: La sensibilidad dental es uno de los primeros signos de desgaste dental. El desgaste del esmalte hace que los dientes se vuelvan más sensibles a cambios de temperatura y a distintos tipos de alimentos. Cuando los dientes están desgastados, el esmalte se adelgaza, exponiendo las capas más internas del diente a bacterias y ácidos. El desgaste dental puede provocar sensibilidad dental, ya que las capas más sensibles del diente quedan expuestas. Los dientes pueden volverse más sensibles a temperaturas extremas, como alimentos fríos o calientes. Y es que en casos más severos la dentina puede quedar expuesta, generando molestias derivadas de sensibilidad dental.
- Fracturas dentales: A medida que los dientes pierden estructura, se vuelven más frágiles y propensos a fracturarse. En casos más severos, pueden producirse fracturas o pérdida de estructura dentaria. Los dientes desgastados son más propensos a fracturas, especialmente durante la masticación de alimentos duros.
- Problemas en la ATM: Uno de los efectos más preocupantes del desgaste dental es la alteración de la articulación temporomandibular (ATM). El apretamiento continuado puede llevar a dolor y malestar en la articulación temporomandibular (ATM), que es la que conecta la mandíbula con el cráneo. La reducción de la dimensión vertical de los dientes (es decir de la distancia entre el hueso maxilar y mandibular como consecuencia de tener dientes más cortos), puede modificar la posición de la mandíbula, generando una sobrecarga en la articulación. El desgaste dental puede influir en la mordida y la alineación de los dientes, lo que a su vez puede contribuir a problemas en la articulación temporomandibular (ATM).
- Alteración de la Mordida: En casos avanzados, el desgaste dental puede provocar una reducción significativa de la dimensión vertical de la boca, lo que altera la mordida y la estética facial. Además del levantamiento de la dimensión vertical, muchas veces se recomienda el uso de una férula de descarga. Este dispositivo se lleva durante la noche y ayuda a reducir el apretamiento y rechinar de dientes, protegiendo así el trabajo restaurativo y aliviando los síntomas relacionados con la ATM.
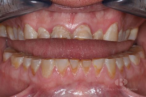
- Problemas estéticos: El desgaste dental a menudo se manifiesta visualmente a través de cambios en la forma de los dientes. Además de los problemas funcionales, el desgaste dental puede afectar la estética de la sonrisa. Los cambios en la forma, el color y la longitud de los dientes pueden influir en la confianza y la autoestima de una persona. Tienden a ver reducida la longitud de sus piezas dentales. Los bordes pueden volverse irregulares, y los dientes pueden parecer más cortos o desgastados en comparación con su apariencia original. El desgaste dental también puede manifestarse como grietas o líneas en la superficie de los dientes. Estas marcas pueden indicar áreas debilitadas que requieren atención dental. El desgaste dental puede afectar la apariencia del esmalte, haciendo que los dientes parezcan más amarillos o translúcidos. Se trata de una paciente que acude a la consulta buscando mejorara su situación estética. No le gusta la posición de sus dientes, especialmente el canino del lado izquierdo que se sale notablemente del arco dental y el desgaste que presenta en todos los dientes de la arcada superior.
- Dificultad al masticar: Con el tiempo, el desgaste dental puede afectar la función masticatoria, haciendo que sea más difícil morder y masticar los alimentos correctamente. El desgaste dental puede dar lugar a molestias y dolor al masticar alimentos.
- Problemas de pronunciación: En casos avanzados de desgaste dental, la forma alterada de los dientes puede afectar la pronunciación y la calidad del habla.
Tratamientos para el Desgaste Dental
Siempre evaluamos las causas del desgaste para llevar a cabo el tratamiento más idóneo. Identificar sus causas y aplicar el tratamiento adecuado es esencial para evitar complicaciones mayores. El tratamiento para el desgaste dental depende de la causa y el nivel de daño.
Algunos de los tratamientos más comunes son:
- Férulas de descarga: Las férulas de descarga son un tratamiento fundamental para los pacientes con bruxismo. Además del levantamiento de la dimensión vertical, muchas veces se recomienda el uso de una férula de descarga. Este dispositivo se lleva durante la noche y ayuda a reducir el apretamiento y rechinar de dientes, protegiendo así el trabajo restaurativo y aliviando los síntomas relacionados con la ATM. En la mayoría de casos se realiza una férula de descarga al finalizar el tratamiento para conservar los resultados. Para pacientes que sufren de bruxismo, ofrecemos férulas nocturnas personalizadas.
- Fisioterapia maxilofacial: En casos donde el desgaste dental está asociado a problemas en la ATM, la fisioterapia maxilofacial puede ser una solución efectiva.
- Rehabilitación completa: En casos de desgaste avanzado, es necesaria una rehabilitación completa que puede incluir la colocación de coronas, carillas o reconstrucciones en composite.
- Levantamiento de la dimensión vertical: Una de las estrategias de tratamiento más efectivas para el apretamiento excesivo de los dientes y sus secuelas es el levantamiento de la dimensión vertical. Este enfoque terapéutico busca recuperar el espacio perdido entre las arcadas dentales superiores e inferiores, que suele disminuir debido al desgaste dental crónico. Al recuperar esta distancia, se logra restaurar la anatomía dental perdida y aliviar la presión sobre la articulación temporomandibular (ATM), que a menudo está comprimida debido al apretamiento constante.
- Ortodoncia: En ciertos casos, especialmente cuando hay problemas de alineación y oclusión dental, es posible que se necesite un tratamiento ortodóncico adicional. El plan de tratamiento, llevado a cabo por el Dr. Santamaria, consistía en realizar un tratamiento ortodóncico en primer lugar y posteriormente devolver la dimensión perdida a los dientes del maxilar. En este caso, la paciente se decantó por la ortodoncia clásica, aunque perfectamente se hubiera podido realizar el tratamiento con alineadores transparentes. Si hay una maloclusión que haya acelerado el desgaste, recomendaremos realizar un tratamiento de ortodoncia previo al de restauración dental.
- Incrustaciones: Para casos de desgaste moderado, se pueden utilizar incrustaciones, que son piezas de porcelana o resina que se ajustan a la anatomía del diente. Incrustaciones de cerámica: Son fragmentos o bloques que se diseñan para cubrir la parte del diente perdido y devolverle así su función.
- Coronas dentales: En casos de desgaste severo o de dientes fracturados, la opción más viable es la colocación de coronas dentales. Las coronas dentales son fundas que se colocan sobre los dientes desgastados para restaurar su forma y fuerza. Circonio: Se utiliza para dientes que tienen muy poca estructura remanente, ya que es el material más resistente.
- Carillas dentales: Las carillas dentales son láminas delgadas de porcelana o resina compuesta que se adhieren a la parte frontal de los dientes.
- Empastes dentales: Los empastes dentales, ya sean de amalgama o composite, se utilizan para reparar dientes con caries o desgaste leve a moderado. Composite: Disponemos del material en la clínica y está indicado para desgastes pequeños.
| Tratamiento | Descripción |
|---|---|
| Férulas de descarga | Dispositivos que se usan durante la noche para reducir el bruxismo. |
| Incrustaciones | Piezas de porcelana o resina que se ajustan a la anatomía del diente. |
| Coronas dentales | Fundas que se colocan sobre los dientes desgastados. |
| Carillas dentales | Láminas que se adhieren a la parte frontal de los dientes. |
| Empastes dentales | Materiales para reparar dientes con caries o desgaste leve. |
En casos más severos y generalizados que precisen de una rehabilitación completa, realizaremos un diseño digital previo y lo imprimimos en una maqueta de cera para probarlo antes de fabricar la cerámica y/o circonio.

Prevenir el desgaste dental es posible adoptando hábitos saludables y realizando visitas periódicas al dentista. No esperes a que el desgaste esté muy avanzado. La salud dental es un pilar fundamental para nuestro bienestar general, y el desgaste de los dientes representa uno de los problemas más comunes que presentan muchos de nuestros pacientes. Identificar sus causas y aplicar el tratamiento adecuado es esencial para evitar complicaciones mayores.
Si tiene más preguntas o preocupaciones acerca del desgaste dental, estamos aquí para ayudarte. En Clínica Dental Echeverría, ofrecemos una consulta exhaustiva para abordar todas sus inquietudes y proporcionar un plan de tratamiento personalizado que mejor se adapte a sus necesidades.
¡Hola! Soy Ana Echeverría, experta en Periodoncia e implantes dentales. Licenciada en Odontología por la Universidad de Barcelona, y con Máster en Periodoncia e Implantes por la Universidad Complutense de Madrid. 1ª Visita gratuita y presupuesto sin compromiso.
Nuestros contenidos son redactados por el equipo de profesionales que formamos parte de la clínica. Aquí en nuestro blog encontrarás artículos relacionados con salud y estética buco-dental. ¿Te gustaría consultarnos algo?
tags: #desgaste #dental #tratamiento