Si estás leyendo esto, es probable que tú (o alguien cercano) tenga un diente partido por la mitad y estés preocupado. Como odontólogo con años de experiencia, sé lo alarmante que puede ser este momento. He visto muchos casos de dientes rotos, y la buena noticia es que casi siempre hay solución.
Tener un diente partido por la mitad es, básicamente, sufrir una fractura dental severa. Puede ocurrir en cualquier pieza (un incisivo frontal, un colmillo o una muela) y suele implicar que una parte notable del diente se ha quebrado o desprendido. A veces es una fisura visible que divide el diente en dos secciones; otras veces, el diente puede seguir en su sitio pero con una grieta que lo atraviesa verticalmente.
Un diente roto es una urgencia dental común, a menudo causada por un traumatismo. Un diente roto no atendido puede llegar a provocar problemas de salud bucal que se pueden evitar si se trata la fractura a tiempo.
¿Qué hacer si se parte un Diente?😬 | Diente Roto | Fractura dental
Tipos de fracturas dentales
Existen diferentes grados de fracturas dentales y es necesario valorar en persona la gravedad del problema. En resumen, un diente fracturado puede ir desde una pequeña grieta hasta partirse en dos mitades. Cuanto más profunda y extensa la fractura, más grave es la situación. Pero incluso un diente partido en dos muchas veces se puede arreglar si actuamos a tiempo.
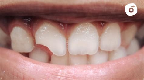
- Diente astillado o fisurado: Es la forma más leve. Solo una pequeña porción del esmalte se ha rajado o saltado. Podrías notar el borde del diente áspero o cortante, pero no ves un trozo grande separado. Si un diente astillado no se trata correctamente, terminará por romperse.
- Fractura parcial de la corona: Aquí sí se ha caído un trozo del diente. Por ejemplo, se desprende una esquina o una parte de la cara visible. Notarás que “falta un pedazo” y podrías encontrar el fragmento. Sueles sentir sensibilidad al frío o calor porque la fractura puede exponer la dentina (la capa interna bajo el esmalte). Una rotura parcial del diente tiene lugar cuando se desprende un trozo de este.
- Diente partido por la mitad (fractura grave): Es cuando al menos la mitad del diente se ha fracturado. Puede abarcar la corona entera e incluso extenderse hacia la raíz. A veces, el diente queda dividido en dos partes claramente separadas. Los síntomas típicos de un diente roto de esta magnitud incluyen dolor agudo (especialmente al morder), sensibilidad extrema si la fractura llega cerca del nervio, sangrado de encía alrededor del diente y a veces movilidad de la parte fracturada. Una rotura total tiene lugar cuando se rompe, al menos, la mitad del diente.
- Fractura radicular o “diente partido por dentro”: Aquí la grieta nace en la raíz debajo de la encía y sube hacia la corona. Es engañosa porque quizá no veas gran cosa externamente. Podrías tener dolor intermitente al masticar o sensibilidad, pero cuesta identificar cuál diente duele. Si la fractura de raíz alcanza la corona, en algún momento el diente puede partirse completamente.
- Avulsión (diente fuera de su sitio): Lo menciono por claridad. No es exactamente “partido por la mitad”, sino que el diente entero salió de su alveolo por el golpe. En estos casos, el diente ya no está en la boca. Hablamos de avulsión cuando el diente se sale por completo de su alveolo tras un impacto traumático.

Causas comunes de un diente partido
Un diente es fuerte (el esmalte es el tejido más duro del cuerpo humano), pero no indestructible. A su vez, los dientes con caries suelen ser mas debiles por lo que son mas propensos a romperse. En mi experiencia, la combinación de factores es común. Por ejemplo: una muela con un gran empaste y además el paciente aprieta los dientes - ese combo tarde o temprano puede acabar en fractura.
Estas son algunas de las causas más comunes:
- Traumatismos o golpes: La razón número uno. Un accidente de coche, una caída, un balonazo jugando fútbol o básquet, o incluso una pelea, pueden causar un impacto directo en la boca. Los traumatismos deportivos son especialmente comunes; de hecho, el Consejo General de Dentistas de España advierte que muchos traumatismos dentales ocurren practicando deporte de contacto, y recomienda usar protector bucal. Un golpe fuerte puede fracturar el diente o incluso sacarlo completo. Ya sea por una caída de bicicleta, una lesión deportiva o un accidente laboral, siempre que una fuerza externa sea responsable de la rotura de un diente, se habla de traumatismo dental.
- Morder objetos duros: ¿Te suena eso de partir nueces con los dientes? ¿O masticar hielo, huesos, caramelos muy duros o abrir cosas con la boca? Son hábitos muy arriesgados. Una presión excesiva al morder algo duro puede ocasionar desde un diente astillado hasta partirlo en dos. Morder una corteza dura o un centro inesperado en una tarta de cerezas también puede provocar la rotura repentina de un diente.
- Caries profundas no tratadas: Una caries grande debilita la estructura del diente desde adentro. Cuando la caries destruye mucha dentina, el esmalte queda como una cáscara frágil. Un diente con una gran caries o infección podría fracturarse incluso con una mordida normal de algo blando, simplemente porque ya estaba muy débil. Por eso insisto tanto en prevenir y tratar las caries a tiempo (¡las caries no solo causan dolor de muela, también parten dientes si avanzan demasiado!). La caries destruye los dientes. Todos los niños lo saben. Pero, ¿qué hay exactamente detrás? ¿Y cómo se trata la caries?
- Bruxismo (rechinar o apretar los dientes): El hábito de rechinar los dientes por la noche o apretar la mandíbula constantemente desgasta y fisura las piezas dentales. Con el tiempo, el bruxismo genera pequeñas grietas en el esmalte y microfracturas. Si no se usa una férula de descarga y el hábito continúa, esas fisuras pueden propagarse. Rechinar los dientes por la noche ejerce una enorme presión sobre los dientes, mucho más que masticar. Esta fuerza daña el esmalte con el tiempo.
- Empastes antiguos o endodoncias sin protector: Irónicamente, dientes que ya tuvieron tratamientos también pueden romperse más fácil. Si tienes una restauración muy grande (un empaste amplio) en una muela, esa pieza es más propensa a fracturarse por el tamaño de la cavidad. Lo mismo va para dientes endodonciados (con el nervio tratado): después de una endodoncia el diente queda más frágil y casi siempre recomendamos cubrirlo con una corona.
- Mordida desalineada (maloclusión): Cuando la mordida no encaja bien, ciertos dientes reciben más carga de la debida. Esa distribución desigual de fuerzas al masticar puede ir fisurando piezas puntualmente. No es la causa más común, pero influye.
- Desgaste y edad: Con los años, nuestros dientes pasan por mucho. El esmalte puede tener pequeñas grietas por cambios térmicos (tomar cosas muy calientes y luego muy frías) o por el simple desgaste diario. Los dientes astillados son más frecuentes a medida que aumenta la edad. Esto es especialmente cierto para las personas que ya han alcanzado una edad avanzada.
La buena noticia es que con buenos hábitos (protector bucal, evitar morder hielo, tratar caries) se pueden prevenir muchas fracturas.

Primeros auxilios ante un diente roto
Lo primero que te voy a pedir es calma. Sé que ver un diente roto asusta (¡y duele!), pero mantener la cabeza fría te ayudará a salvar esa pieza. Pero, mientras acudes al odontólogo, te damos unas recomendaciones de primeros auxilios.
La actuación inmediata ante un diente roto marca la diferencia. Mantén la calma, rescata el fragmento, limpia y protege la zona. Los síntomas que aparecen tras la rotura de un diente dependen de la gravedad y la extensión de la misma.
- Conserva cualquier fragmento del diente: Si se te ha caído un trozo, búscalo y recupéralo. Ese pedazo podría ser pegado de nuevo por el odontólogo si se maneja adecuadamente. ¿Cómo guardarlo? Lo ideal es mantenerlo húmedo para que las células no se sequen. Lo mejor es sumergir el fragmento en un vasito de leche fría (la leche entera preserva bien las células del diente). Si no tienes leche a mano, puedes mantenerlo en tu propia saliva: por ejemplo, coloca el fragmento dentro de tu boca, entre la mejilla y las encías (¡cuidado de no tragarlo!). Otra opción es usar suero fisiológico si tienes un botiquín cerca. Evita el agua del grifo como medio, úsala solo de último recurso - el cloro y otras sustancias del agua corriente pueden dañar el tejido dental. Si se rompe un trozo de diente, es importante recuperarlo, limpiarlo con agua y conservarlo en leche, saliva, suero fisiológico o, como último recurso, agua. Si se te ha roto un trozo de diente, trata de rescatarlo. Posteriormente, límpialo cuidadosamente con un poco de agua y guárdalo. Es importante no usar jabón y otros productos químicos, ya que se podría dañar el esmalte o la dentina.
- Enjuaga tu boca cuidadosamente: Enjuágate con agua tibia para limpiar la zona. Esto elimina restos de sangre, fragmentos sueltos o suciedad del accidente. Si puedes, haz un enjuague suave con agua salada (una cucharadita de sal en un vaso de agua tibia) para ayudar a desinfectar. No uses enjuagues fuertes con alcohol en este momento, podría irritar más.
- Controla el sangrado (si lo hay): Es común que un diente roto sangre por la encía cercana. Toma una gasa estéril o un pañuelo limpio, colócalo sobre la zona que sangra y haz presión suave pero firme durante unos minutos. Eso suele detener el sangrado de encías menores. La zona de la boca tiene un riego sanguíneo muy fuerte. Por eso, los afectados suelen sangrar incluso con heridas dentales. Si hay mucha hemorragia, la persona afectada debe morder con cuidado una gasa (material de vendaje de algodón o lino tejido sin apretar) o un paño limpio para detener la hemorragia y aliviar el dolor.
- Aplica frío en la cara: Pon una compresa fría o bolsa de hielo envuelta en paño sobre la mejilla, justo afuera de la zona afectada. El frío reduce la inflamación y adormece un poco el área para disminuir el dolor. Enfríe la zona afectada con una compresa fría o una franela fría.
- Evita masticar o tocar el diente: Trata ese diente con mucha delicadeza. No lo toquetees con la lengua o los dedos, eso puede moverlo más si está inestable o causar más dolor. Por supuesto, no trates de “pegar” el trozo por tu cuenta con pegamentos caseros (he visto pacientes intentar pegar un diente con superglue - ¡por favor no hagas eso!). Si sólo se ha roto una pequeña parte del diente, la persona afectada no suele sentir dolor. Si el diente no está completamente roto, sino sólo aflojado o agrietado, no lo mueva, sino cierre la boca con cuidado. Esto también es válido si sólo se ha roto una pequeña esquina del diente.
- Si el nervio quedó expuesto, protégelo: A veces al partirse el diente, ves un puntito rojo en el centro de la cavidad: es la pulpa (el nervio) expuesto. Esto duele mucho y es una puerta abierta a infección. Si sospechas que la fractura dejó al nervio al aire (por el dolor intenso o porque lo ves), cúbrelo temporalmente hasta que te atienda el dentista. Puedes usar un material de obturación temporal que venden en farmacias (son unos cementos dentales provisionales) siguiendo las instrucciones. Si no consigues, coloca un poco de cera dental (por ejemplo, cera de ortodoncia) encima de la zona rota a modo de parche protector. Incluso mascar un chicle sin azúcar y pegar el chicle sobre el diente roto sirve de emergencia para tapar el agujero y proteger la pulpa unas horas.
- Toma un analgésico si el dolor es muy fuerte: Medicamentos de venta libre como ibuprofeno o paracetamol pueden ayudar a controlar el dolor y la inflamación ligera. Siempre que no tengas alergias y siguiendo las dosis recomendadas en el prospecto, un analgésico te dará alivio camino al dentista.
Acude al dentista lo antes posible. Estos primeros auxilios ayudarán a que el posterior tratamiento sea más sencillo y exitoso.

Tratamientos dentales para un diente partido
Cuando llegues al consultorio dental, lo primero que haré (o hará cualquier odontólogo) es evaluar la gravedad de la fractura con examen clínico y, normalmente, una radiografía. Esto nos permite ver si la raíz está afectada y hasta dónde llega la rotura. La reparación de un diente roto depende del tipo y la extensión de la fractura. Gracias a la odontologia moderna, hay diferentes soluciones para reparar un diente roto, es necesario saber el grado de fractura que ha sufrido. De esta manera el dentista podra tratar mejor el problema al dar una solucion mas efectiva.
La meta principal será siempre salvar tu diente natural si existe posibilidad. En caso de que sea una fractura superficial, hasta que tu hijo tenga cita con el dentista, evita que mastique alimentos duros o pegajosos, ya que podrían empeorar la situación. Dicho esto, te recomendamos que, bajo ningún concepto, intentes reparar tú el diente ni pegarlo con pegamento. Recuerda que la fractura de un diente de leche no debe subestimarse, ya que los dientes de leche guían el camino para los dientes permanentes, por lo que su cuidado es esencial.
Fracturas leves
Si solo se ha astillado una parte del esmalte o se desprendió un fragmento pequeño, la solución suele ser sencilla y mínimamente invasiva. En estos casos no hace falta anestesia muchas veces.
- Adhesión del fragmento: Si todavía tienes el trozo de diente y está en buen estado, a veces podemos pegarlo de nuevo. Se limpia el fragmento y el diente, y con un material adhesivo especial (resinas compuestas) se adhiere el pedazo en su sitio original. Esto solo se logra si la fractura encaja perfectamente y el fragmento no está contaminado ni han pasado muchas horas; por eso insistimos en conservarlo en leche o saliva. Cuando el diente se ha roto parcialmente, la primera opción será tratar de colocar el trozo de diente que se ha desprendido, en el caso de que el paciente lo haya recogido. Ante una rotura total, el dentista también tratará, en primer lugar, de colocar el trozo de diente recogido por el paciente.
- Reconstrucción con composite: Si no se puede reinsertar el pedazo (porque se perdió, se astilló en micro pedazos, o simplemente la unión no “pega”), entonces reconstruimos la parte faltante con un material de resina composite. El composite es una especie de “empaste blanco” del color del diente que moldeo para reponer la forma original de la zona rota. Primero preparo la superficie, aplico un adhesivo, y luego voy colocando capas de resina hasta darle la anatomía correcta. Finalmente se pule para que quede liso. Si ambas partes del diente no se pueden unir, el odontólogo realizará una reconstrucción del diente con composite. En este caso si la rotura es en un diente frontal, las carillas son una excelente opcion para restaurar la apariencia de un diente roto.
- Limado y pulido: En algunos casos de fisuras muy finas en el esmalte sin pérdida de estructura, basta con un limado y pulido de la zona. Pasar una fresa para alisar el borde quebrado y quitar la grieta superficial. Esto elimina filos cortantes y previene que la fisura se profundice. Si el diente se ha astillado, el dentista lo limará y pulirá con la ayuda de fresas.
Este tipo de tratamiento es rápido. En una sola cita saldrás con tu diente reparado. No duele (o las molestias son mínimas) y la pieza recupera su estética y función casi al 100%.
Fracturas moderadas
Aquí hablamos de un diente que perdió una porción considerable, pero el nervio dental no quedó al descubierto. Puede doler por la cercanía a la pulpa y por la fractura en dentina, pero el pronóstico de salvar el diente es bueno.
- Adhesión del fragmento: Al igual que en las fracturas leves, si el paciente trae el pedazo de diente y encaja bien, la primera opción es intentar recolocar el fragmento con técnicas adhesivas. He logrado reponer mitades de dientes frontales con resultados sorprendentes, prácticamente como si no hubiera pasado nada, siempre que la unión esté limpia.
- Reconstrucción con composite: Si no hay fragmento disponible o no es viable pegarlo, entonces hacemos una reconstrucción directa. Con resina composite se restaura la zona faltante. En dientes anteriores, esto es similar a poner un empaste estético. Empaste u obturacion dental: son uno de los procedimientos dentales mas seguros que utilizan los dentistas para reparar dientes rotos.
- Incrustación (inlay/onlay): Las incrustaciones son restauraciones a medida (de porcelana o composite hecho en laboratorio) que encajan en la parte faltante del diente. Piensa en ello como un “puzzle”: tomamos un molde o escaneo del diente roto y en laboratorio fabrican la pieza que falta. Luego la cementamos en tu diente. Es una solución intermedia entre un empaste y una corona. Se utiliza cuando la fractura es amplia pero queda suficiente diente sano alrededor. Las incrustaciones de porcelana/disilicato son muy resistentes y precisas, excelentes para muelas fracturadas donde no quieres cubrir todo el diente con una corona.
- Corona parcial o completa: Si la fractura abarca más de 1/2 de la corona, probablemente se necesite una corona dental. Una corona es una cubierta en forma de diente (puede ser de porcelana, cerámica, zirconio, metal-porcelana, etc.) que se coloca cubriendo lo que queda de tu diente natural, fortaleciéndolo. Para eso, primero reconstruimos cualquier base faltante y tallamos el diente, luego tomamos molde y en la siguiente cita cementamos la corona definitiva. Las coronas protegen contra futuras fracturas y devuelven la anatomía al 100%. Suelo indicarlas cuando la estructura remanente está débil o cuando un empaste grande no sería suficiente. Corona dental: pueden ser utiles para cubrir gran parte de un diente afectado, siendo una de las soluciones mas convenientes para los dientes rotos en la zona posterior de la boca.
Un diente con fractura moderada sí tiene solución en prácticamente todos los casos mediante estos métodos. El diente queda funcional y estético. Es posible que necesites 1 o 2 visitas dependiendo si hacemos algo directo (una sola cita) o una corona/incrustación (dos citas normalmente). Lo importante: el nervio sigue vivo, así que si logramos sellar bien el diente y protegerlo, debería seguir sano.
Fracturas que alcanzan la pulpa dental
Si la línea de fractura alcanza la pulpa dental (es decir, el nervio del diente), el escenario cambia un poco. Sueles saber que este es el caso cuando el dolor es intenso y constante después del golpe, o si ves directamente el tejido rojizo del nervio en la fractura.
- Endodoncia: Consiste en remover la pulpa dañada del interior del diente. Es decir, limpiamos el espacio interno (los conductos radiculares) para eliminar el nervio que se expuso o se lesionó con la fractura. Se hace bajo anestesia local, así que no sentirás dolor durante el procedimiento. Con pequeñas limas y soluciones, se desinfectan bien los conductos y luego se sellan con un material de relleno. Mediante la endodoncia, se extraerá el nervio del diente y se rellenará la cavidad en la que estaba dicho nervio con un material de obturación. Si sólo la raíz sigue dentro de , el dentista puede extraer los restos del diente restante y cerrar la brecha con un implante, un puente o una prótesis, o colocar una corona sobre las raíces restantes.
También puede aparecer una pequeña llaga supurante en la encía que rodea el diente (fístula vestibular) o que éste muestre sensibilidad a la presión o los cambios de temperatura. En caso de extraer un diente de leche, es necesario colocar un mantenedor de espacio para no comprometer correcta erupción de los dientes permanentes.
Tabla resumen de tratamientos
| Tipo de Fractura | Tratamiento |
|---|---|
| Astilladura leve | Limado y pulido, adhesión del fragmento |
| Fractura parcial de corona | Reconstrucción con composite, incrustación |
| Fractura con exposición de la pulpa | Endodoncia, corona dental |

¿Cómo prevenir fracturas dentales?
Aunque algunos accidentes son inevitables, existen medidas que puedes tomar para reducir significativamente el riesgo de sufrir una fractura dental.
- Uno de los principales motivos de dientes rotos es el hábito de morder cosas que no son alimentos, como bolígrafos, hielo, tapas de botellas o uñas.
- Si practicas deportes como boxeo, rugby, baloncesto o incluso ciclismo, un protector bucal puede ser tu mejor aliado. Para que un diente se vuelva quebradizo debido a la caries, las bacterias de la caries ya deben haber penetrado profundamente en el diente. Para evitar que esto ocurra, debe someterse a revisiones dentales periódicas. Si el dentista descubre caries, las zonas afectadas pueden tratarse directamente.
- Si aprietas o rechinas los dientes (de día o de noche), el desgaste progresivo puede debilitarlos, haciéndolos más susceptibles a romperse.
- Las caries avanzadas o los empastes grandes pueden debilitar la estructura del diente, facilitando que se fracture al morder.
- Abrir paquetes, cortar hilos o destapar botellas con los dientes es un riesgo innecesario.
- Los dientes fuertes son menos propensos a fracturarse. Una dieta equilibrada que fortalezca el esmalte dental también protege los dientes. Los productos lácteos que contienen mucho calcio y las legumbres son una buena elección. Sólo debes comer dulces con moderación y volver a cepillarte los dientes después de media hora. Por cierto, es especialmente perjudicial comer o beber algo ácido primero y algo dulce después. El flúor de la pasta de dientes también refuerza el esmalte y protege los dientes.
Es fundamental que los dientes de leche permanezcan en su sitio antes de que los definitivos, íntimamente unidos a las raíces de los primeros, les empujen y les hagan caer para ocupar su sitio.