Puede que en más de una ocasión, al mirarnos al espejo, nos hayamos preguntado: ¿Esa mancha negra en mi diente qué es? ¿Será algo temporal? ¿Es que no me he lavado bien los dientes? ¿Tengo una caries? A continuación, exploraremos las razones por las cuales un diente con endodoncia puede caerse, cómo prevenir estos problemas y qué hacer si ya has perdido el diente.

¿Qué es una Endodoncia?
La endodoncia es la técnica que trata y cura las enfermedades de la pulpa o nervio de los dientes. Es uno de los tratamientos más frecuentes en la clínica dental, ya que permite salvar dientes evitando su extracción y el uso de implantes. Para solucionarlos, el odontólogo accede al conducto o conductos radiculares del diente para quitar el tejido pulpar cuando es inviable conservar su vitalidad. Este está compuesto por el tejido blando que alberga los nervios y los vasos sanguíneos.
Posteriormente lo rellena con un material específico y los sella. La extirpación del tejido pulpar y el relleno de conductos radiculares permite eliminar el dolor y la infección. Por tanto, alargará la vida del diente y mantendrá la salud dental.
Pasos a seguir en una endodoncia:
- Radiografía diagnóstica: Permite ver cómo son los conductos, su forma, longitud, calcificaciones, etc.
- Anestesia local.
- Aislamiento del diente: Utilización de un dique de goma.
- Apertura de la cámara pulpar: Para llegar a los conductos. A veces se utiliza como tratamiento de urgencia, ya que disminuye el dolor.
- Instrumentación y limpieza de los conductos radiculares con conductometría: Consiste en la medición y comprobación radiológica de la longitud de los mismos.
- Obturación y sellado hermético de los conductos radiculares.
- Radiografía final.
Tipos de endodoncia:
Según el número de raíces que tenga el diente a tratar, podemos hablar de:
- Endodoncia monoradicular: Se corresponde con los dientes incisivos centrales, laterales, caninos y premolares inferiores.
- Endodoncia biradicular: Se corresponde con los premolares superiores.
- Endodoncia poliradicular: Formada por tres o más conductos. Se corresponde con los molares.
¿Cuándo es necesario hacer una endodoncia?
La endodoncia, también es conocida popularmente como “matar el nervio”, se realiza en los siguientes supuestos:
- El diente afectado presenta caries profunda. Las bacterias traspasan la dentina y llega a parte o la totalidad de la pulpa.
- Traumatismo dental: La rotura de un diente por un golpe puede exponer directamente el tejido pulpar y hacer necesaria su extirpación. El traumatismo puede interrumpir la vascularización del diente y llevar a la necrosis de la pulpa o pérdida de vitalidad del mismo.
- Erosión dental: El desgaste de la superficie del diente por causas mecánicas (bruximo) o químicas (bulimia, consumo de ácidos, etc.) puede llegar en ocasiones a ser tan intenso que afecte a los tejidos interiores del diente.
- Excepcionalmente puede ser necesaria por motivos periodontales (lesiones endoperiodontales) o prostodóncicos.
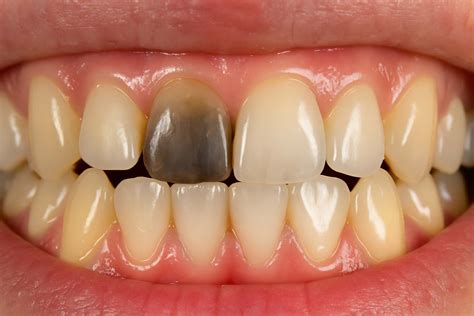
Causas del Oscurecimiento Dental
Los dientes deberían tener un tono blanco, más o menos apagado, dependiendo de la persona. El cambio de color de un diente es motivo más que suficiente para que el paciente consulte con un especialista para tratar de resolver su problema estético.

Existen varias razones y hay varias causas que pueden provocar el oscurecimiento de un diente:
- Mala higiene dental
- Algunos alimentos y hábitos
- Diente desvitalizado
- Principio de caries
- El mal diseño de la apertura cameral, que impide llegar hasta los cuernos pulpares, por lo que quedan restos de tejido pulpar necrótico intracameral causantes del cambio de color.
- Las pastas y cementos endodóncicos pueden ser causa de coloración dental todo ello favorecido por una incorrecta técnica de uso.
- La propia caries puede ocasionar cambio de color dental, debido a los productos de degradación del metabolismo bacteriano.
- Los pins y los postes metálicos producen cambios de coloración del diente, dando lugar a un color grisáceo.
- Necrosis pulpar. Si ha sufrido la muerte del nervio interior de un diente, es muy probable que esa pieza dental se oscurezca y se vuelva negra.
- Traumatismo. Una de las principales razones del oscurecimiento de un diente ya que el nervio del mismo se suele ver afectado en caso de golpe. Cuando el interior del diente se ve afectado, se produce una hemorragia pulpar que oscurecerá el diente. Al principio, se puede observar una tonalidad rojiza o rosada, pero con el tiempo, la sangre se degrada y aparecen tonalidades marrones, anaranjadas, azuladas o negras. También puede producirse una calcificación total o parcial en la zona pulpar después de un traumatismo, lo que se refleja en una tonalidad amarilla en el diente. Además, la muerte del tejido pulpar o necrosis puede ocurrir tras un traumatismo.
- Caries. Una caries complicada que no ha sido tratada a tiempo también puede provocar este fenómeno. Como hemos visto anteriormente puede desvitalizar un diente y en casos más graves acabar en una necrosis pulpar.
- Empastes metálicos. Los empastes de amalgama metálica pueden comenzar con plata, pero pueden empañarse u oxidarse, volviéndose negros. Cuando esto sucede, puede que se oscurezca todo el diente, incluso si el empaste inicial no es visible.
- Una endodoncia mal realizada. La endodoncia consiste en el tratamiento de los conductos radiculares de un diente o una muela cuando la pulpa dentaria se encuentra dañada como consecuencia de una caries profunda o de un traumatismo.
- Higiene oral inadecuada. Una higiene bucal deficiente puede llevar a la acumulación de placa y sarro, lo que eventualmente puede oscurecer los dientes.
- Fluorosis dental. El exceso de flúor durante la formación de los dientes puede causar fluorosis dental, una condición que se presenta como manchas blancas, amarillas o marrones en la superficie de los dientes.
- Defectos del esmalte. Algunos defectos en la formación del esmalte dental como la amelogénesis imperfecta o la hipoplasia del esmalte, pueden causar decoloración.
- Factores genéticos Algunas personas tienen dientes naturalmente más oscuros debido a la variación en la densidad y grosor del esmalte.
Soluciones para el Oscurecimiento Dental
Las soluciones para poder tratar los cambios de colores es actuar en la etiología de la descoloración dental.
- Higiene profesional: ideal para manchas superficiales, acumulación de placa, sarro… Dura entre media hora o hora y media, dependiendo del caso y elimina la mayoría de manchas superficiales.
- Blanqueamiento dental: Indicado para las coloraciones más persistentes. En las clínicas dentales lo hacemos con un procedimiento que no daña la dentina así que tus dientes no sufrirán daños.
- Carillas dentales: perfecto para dientes dañados por manchas blancas, por tetraciclinas o para dientes desnaturalizados. Las carillas dentales también son una opción para poder mejorar el color de los dientes.
- Endodoncia: Es la mejor forma de eliminar el problema de raíz si existe una necrosis pulpar.
- Extraer el diente: En caso de que no haya mejor solución porque ha afectado a una gran parte de la pieza y no es posible su restauración. Una vez extraído se puede colocar un implante dental para sustituir la pieza dañada.
- En casos de decoloración dental asociada a la afectación del nervio, lo más indicado es realizar un tratamiento de endodoncia. Una vez tratado el problema en su origen, ofrecemos soluciones personalizadas de estética dental para devolver el aspecto natural y luminoso a tu sonrisa.
¿El diente endodonciado se vuelve frágil?
Los dientes que han sufrido una endodoncia son más frágiles mientras no son restaurados, por lo que se deberán reconstruir lo más rápido posible. A su vez, con el paso del tiempo, al ser dientes desvitalizados que no reciben riego sanguíneo, la probabilidad de que sufran algún tipo de fractura aumenta.
Es por ello que principalmente en los casos de dientes posteriores (premolares y molares), se recomienda proteger la corona del diente (la parte visible, que sobresale de la encía) mediante reconstrucciones adecuadas que protejan las cúspides, para una mayor durabilidad del tratamiento. Esto se lleva a cabo colocando incrustaciones o coronas de circonio o porcelana.
Causas comunes de la caída de un diente con endodoncia
Un diente sin nervio puede llegar a perderse por factores indirectos como fracturas, caries avanzadas o problemas de encías. Si un diente tratado se cae, usualmente es porque ya estaba muy dañado antes del tratamiento o porque no se protegió bien después.
Un diente desvitalizado NO se afloja ni se cae simplemente por haber perdido el nervio. Sí puede ocurrir la pérdida del diente, pero por otras causas asociadas (estructura debilitada, infecciones no resueltas, enfermedad periodontal, etc.). Por eso es tan importante tratar correctamente el diente y cuidarlo después.
Fragilidad dental
Tras una endodoncia, el diente se considera «más frágil». Esto se debe a que la caries o el trauma que llevó a la endodoncia ya destruyeron parte del diente; por otro lado, durante la endodoncia se elimina tejido interno (la pulpa) y se realiza un acceso a través de la corona del diente. Además, al no tener pulpa viva, el diente tiende a deshidratarse ligeramente con los años, volviéndose un poco más quebradizo.
Todo esto hace que, si no se refuerza apropiadamente, haya riesgo de que el diente se fracture al morder algo duro o por presión excesiva. Algunas fracturas (como una fisura vertical de la raíz) son catastróficas y obligan a la extracción de la pieza.
Caries
Que le hayan quitado el nervio a un diente no significa que el diente esté inmune a las caries en el futuro. Ese diente puede seguir desarrollando caries en su estructura remanente (por ejemplo, en los bordes alrededor del empaste provisional o definitivo). Si una nueva caries ataca un diente endodonciado y no se detecta a tiempo, puede progresar muy rápido (ya que la pieza no duele, uno no se entera) hasta comprometerlo seriamente.
Reinfección
Aunque la mayoría de las endodoncias bien hechas tienen mucho éxito, existe un porcentaje de casos en que la infección no se elimina del todo o retorna. Esto puede ocurrir si quedaron conductos accesorios sin tratar, si la obturación no sella perfectamente o si, con el tiempo, se filtran bacterias al interior (por una fractura o caries, por ejemplo). Si un diente endodonciado se vuelve a infectar (lo notaríamos porque duele al morder, aparece flemón en la encía, etc.), se puede intentar retratar (repetir la endodoncia) o hacer una pequeña cirugía apical. Pero si pese a todo la infección persiste o el diente ya está muy dañado, al final habrá que extraerlo para sanar la zona.
Enfermedad periodontal
Un diente desvitalizado por sí mismo no se afloja, pero si el hueso que lo rodea se pierde, cualquier diente (vivo o no) terminará aflojándose. La periodontitis (enfermedad de las encías) provoca destrucción del hueso alrededor de los dientes y es una de las causas más frecuentes de pérdida dental en adultos. Un diente sin nervio no tiene más riesgo periodontal que uno con nervio, pero si el paciente descuida su salud gingival, ningún diente está a salvo.
Bruxismo
En personas con bruxismo (que aprietan o rechinan dientes) o con una mordida desbalanceada, un diente desvitalizado sin la protección adecuada puede sufrir fisuras o sobrecarga. Este factor está ligado a la fragilidad: el diente sin nervio a veces “avisa” menos (no duele con estímulos, solo cuando ya el daño es grande) y podría irse fisurando por la presión nocturna.
¿Qué es una endodoncia dental? Fácil y rápido
¿Cómo evitar la caída de un diente con endodoncia?
Después de realizar una endodoncia exitosa, el trabajo no termina ahí. Hay varias medidas que tomamos (y que tú como paciente debes continuar) para asegurar que ese diente se mantenga sano, funcional y en su sitio por muchos años.
Reconstrucción adecuada
Este es, probablemente, el paso más importante tras “matar el nervio”. Rehabilitar el diente con una restauración resistente devuelve la fortaleza que la pieza ha perdido. En la mayoría de casos de molares o premolares desvitalizados, se indica colocar una corona dental de porcelana o circonio que cubra el diente por completo. ¿Por qué? Porque así evitamos fracturas: la corona actúa como un “casco” protegiendo la estructura remanente.
En dientes anteriores (incisivos o caninos) a veces basta con una reconstrucción estética de composite o una corona dependiendo de cuánto tejido se perdió. Tu dentista evaluará la mejor opción, pero no dejes el diente solo con el empaste provisional. En algunos casos, para colocar la corona, primero necesitamos poner un perno o poste dentro del conducto para anclar la reconstrucción si el diente está muy destruido. Esto es normal y forma parte del refuerzo. En todo caso, seguir las indicaciones del odontólogo restaurador tras la endodoncia es clave.
Higiene oral rigurosa
Un diente sin nervio puede sufrir caries igual que cualquier otro (especialmente en la unión entre el diente y la corona, o alrededor de los bordes de la obturación). Por eso, debes continuar con una excelente higiene bucodental. Cepíllate los dientes al menos dos veces al día con técnica adecuada, usa hilo dental o cepillos interdentales para limpiar bien los espacios entre dientes y debajo del borde de la corona. Si el diente endodonciado tiene corona, asegúrate de limpiar el margen entre la encía y la corona, porque ahí podría empezar una caries oculta si se acumula placa.
También es recomendable usar un enjuague bucal con flúor regularmente para reforzar el esmalte de todos tus dientes. Y, muy importante, no descuides las limpiezas profesionales y revisiones con tu dentista cada 6-12 meses.
Proteger el diente de fuerzas excesivas
Si sabes que aprietas los dientes por la noche (bruxismo), comenta esto con tu dentista. Un diente endodonciado puede sufrir más ante las fuerzas de rechinar. Es posible que te fabriquemos una férula de descarga nocturna a medida, para que uses al dormir; esto protegerá no solo a ese diente sino a toda tu dentadura del desgaste y fisuras. Igualmente, evita hábitos como morder hielo, destapar botellas con los dientes o masticar objetos duros (bolígrafos, por ejemplo). Aunque esto aplica para cualquier diente, hay que tener especial cuidado con ese diente que ya está reconstruido.
Cuidar tus encías y salud general
Mantén tus encías sanas mediante la higiene y visitas al periodoncista si tienes antecedentes de gingivitis severa o periodontitis. Controla enfermedades sistémicas como la diabetes, que pueden agravar los problemas de encías y la cicatrización de infecciones. Siguiendo estos cuidados, las probabilidades de que tu diente endodonciado se “caiga” son realmente mínimas.
¿Qué hago si se me cae un diente con endodoncia?
Si lamentablemente ya perdiste el diente, lo primero que te digo es que no te desanimes, tiene solución.
Acudir al dentista lo antes posible
Si el diente se te cayó espontáneamente, es señal de que había una infección muy avanzada o una destrucción extensa del soporte. Debes visitar al odontólogo para evaluar el estado de la encía y el hueso en esa zona. Es probable que necesites un curetaje o algún tratamiento de encías si hubo infección. Si, por el contrario, te extrajeron el diente en clínica por fractura u otro motivo, seguramente tu dentista ya habrá hecho un legrado de la zona y habrá iniciado los cuidados correspondientes.
No dejar el espacio vacío permanentemente
La ausencia de un diente tiene consecuencias a mediano y largo plazo: los dientes adyacentes tienden a moverse o inclinarse hacia el espacio, el diente opuesto (en la arcada contraria) puede extruirse al no tener contacto, y además se va reabsorbiendo el hueso donde falta la pieza. Por eso, lo recomendable es reemplazar el diente perdido.
Implante dental
Hoy en día, el estándar de oro para reemplazar un diente unitario perdido es el implante dental. Si el hueso está en buenas condiciones, en muchos casos se puede incluso colocar el implante inmediatamente tras la extracción del diente (implante post-extracción) o, si el diente se cayó solo, una vez curada la encía. Tras colocar el implante, se espera un período de osteointegración (que el hueso se adapte y sujete firmemente al implante) de unas semanas a meses, y luego se coloca una corona sobre implante. El resultado final es muy estético y funcional, y te olvidarás de que ese diente no era el original. Un implante bien cuidado puede durar décadas.
Aprender de la experiencia
Si perdiste un diente que había pasado por una endodoncia, es importante analizar la causa para evitar que suceda con otros dientes. ¿Fue por caries descuidada? ¿Por no poner corona? ¿Por enfermedad de encías no tratada? Identificar esto te ayudará a reforzar tus cuidados en el futuro.
Cuidados después de una endodoncia
Después de someterse a una endodoncia es recomendable seguir una serie de pautas:
- Esperar a que termine el efecto de la anestesia para empezar a masticar. Así evitaremos mordernos.
- No masticar alimentos duros durante el tiempo que transcurra entre la endodoncia y la reconstrucción final del diente. De este modo protegemos el diente de posibles fracturas indeseadas. Una vez que la reconstrucción final esté hecha, se puede volver a masticar con normalidad.
- Cuidado con el hilo dental. La higiene dental después de una endodoncia debe ser igual de rigurosa que la habitual. En cuanto al hilo dental, deberemos pasarlo con especial atención entre la reconstrucción provisional (si la hubiese) y el diente adyacente.
- Los días inmediatamente posteriores a la endodoncia se puede notar una cierta sensibilidad en la zona. Incluso se pueden sentir molestias de diversa intensidad dependiendo de donde se produzca la reacción de inflamación. La zona periapical (tejido que rodea el final de la raíz) es una de ellas. Para aliviar los síntomas después de la endodoncia se debe tomar la medicación analgésica-antiinflamatoria prescrita por el odontólogo.
- Tratamientos como el blanqueamiento interno, reconstrucciones estéticas, carillas o coronas pueden resultar necesarios con el paso del tiempo (meses o años). Permitirán solucionar problemas estéticos.
¿Cuánto tiempo puede durar un diente con endodoncia?
Un diente endodonciado puede durar tanto como los demás dientes si lo cuidas bien. Estos, incluso, pueden ser más fuertes que el resto del esmalte dental y más resistentes a la caries. Se calcula que el índice de éxito de los dientes tratados con endodoncia es superior al 95 %. Sin embargo, el éxito del tratamiento d... No es frecuente que una muela con endodoncia duela después de años. En cualquier caso, si sufres dolor en la muela años después de la endodoncia es importante que consultes con tu dentista.
Tabla resumen de causas, problemas y soluciones
| Causa | Problema | Solución |
|---|---|---|
| Caries Profunda | Dolor, infección, oscurecimiento | Endodoncia, reconstrucción |
| Traumatismo | Necrosis pulpar, cambio de color | Endodoncia, blanqueamiento interno |
| Mala Higiene | Acumulación de placa y sarro | Higiene profesional, mejora de la higiene oral |
| Bruxismo | Fisuras, fracturas | Férula de descarga, corona dental |
| Reinfección | Dolor, flemón | Reendodoncia, cirugía apical, extracción |
tags: #diente #desvitalizado #problemas