Le creció un DIENTE en la NARIZ 👃🏼 - ¿Cómo es posible? - DIENTE ECTÓPICO
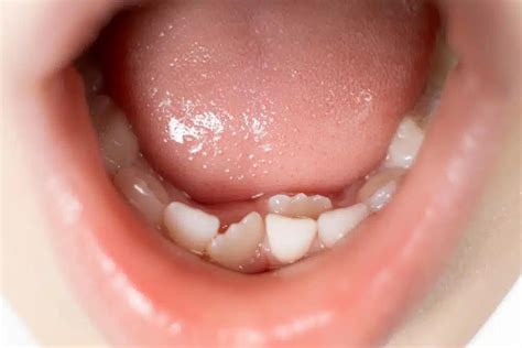
¿Alguna vez has escuchado hablar de un diente ectópico? Aunque suene como algo poco común, en realidad es una condición más frecuente de lo que parece y puede afectar tanto la estética como la funcionalidad de tu sonrisa. Un diente ectópico es aquel que sale fuera del sitio donde debe erupcionar, pero está cerca, o aquel que, por diversas razones, erupciona fuera de su posición normal en la boca.

¿Qué es la Erupción Ectópica?
La erupción ectópica es la desviación de la trayectoria de erupción normal de un diente, lo que resulta en una posición anómala dentro del arco dentario. La erupción ectópica dental, un fenómeno que afecta a un número considerable de personas, se caracteriza por la emergencia de los dientes en ubicaciones distintas a las que les corresponden anatómicamente.
¿Cómo se Manifiesta un Diente Ectópico?
Los dientes ectópicos pueden manifestarse de diversas formas:
- Paladar
- Encía
- Incluso un diente encima de otro.
Esta condición puede causar que los dientes se vean apiñados.
Causas de la Erupción Ectópica
Hay varios factores que pueden hacer que un diente «se desvíe» de su camino natural. Las causas que subyacen a este trastorno son multifactoriales y abarcan desde predisposiciones genéticas hasta factores ambientales.

Factores Genéticos
En primer lugar, la herencia juega un papel crucial, ya que se ha observado una mayor incidencia de erupción ectópica en familias con antecedentes de esta condición.
Crecimiento y Desarrollo Óseo
Asimismo, el crecimiento y desarrollo óseo también desempeñan un papel fundamental. Un maxilar superior de dimensiones reducidas o con un desarrollo insuficiente puede generar un espacio limitado para la erupción dental, obligando a los dientes a buscar vías alternativas y emerger en posiciones ectópicas.
Longitud y Forma de la Arcada Dental
Otro factor a considerar es la longitud y forma de la arcada dental. Una arcada dental estrecha o con una forma irregular puede dificultar la erupción adecuada de los dientes, especialmente aquellos de mayor tamaño, como los molares.
Otros Factores Contribuyentes
Además de los factores mencionados, existen otros elementos que pueden contribuir a la erupción ectópica dental. La presencia de dientes supernumerarios, es decir, dientes adicionales a los que corresponden normalmente, puede alterar el patrón de erupción y provocar la emergencia de los dientes en lugares inusuales.
También, el orden y el momento en el que se caen los dientes temporales (de leche) también afecta mucho. Este efecto puede deberse a causas hereditarias o físicas, como falta de crecimiento óseo maxilar, falta de espacio, poca longitud de la arcada, mayor tamaño de los dientes permanentes en comparación a los primarios, extracciones prematuras, dientes supernumerarios, persistencia de dientes temporales, etc.
Es importante destacar que, en muchos casos, la erupción ectópica no se debe a una única causa, sino a la interacción de múltiples factores. La combinación de predisposiciones genéticas, alteraciones en el desarrollo óseo y factores ambientales puede crear un entorno propicio para la aparición de esta condición.
Dientes Comúnmente Afectados
La erupción ectópica es más común en los caninos superiores, seguida por los molares, especialmente los segundos molares inferiores. También puede ocurrir, aunque con menor frecuencia, en los incisivos.
Diagnóstico de la Erupción Ectópica
El diagnóstico de la erupción ectópica dental es crucial para planificar el tratamiento adecuado y abordar posibles complicaciones. El diagnóstico de erupción ectópica en niños se basa en una combinación de examen clínico y pruebas de imagen. Las radiografías son fundamentales para confirmar el diagnóstico y evaluar la severidad del caso.
Tratamiento del Diente Ectópico
Una vez que sabemos dónde está el diente ectópico y cómo está afectando a tu salud bucodental, valoramos la mejor manera de tratarlo. Los tratamientos para la erupción ectópica pueden ser de distintos tipos, dependiendo de la severidad del caso y la edad del paciente.

Opciones de Tratamiento
- Ortodoncia: En muchos casos, especialmente cuando el diente aún no ha salido del todo, se puede corregir su trayectoria con ortodoncia. El más común suele ser un tratamiento de ortodoncia.
- Extracción: En los casos más problemáticos será necesario extraer el diente anquilosado.
Prevención y Detección Temprana
La detección precoz permite aplicar tratamientos interceptivos, minimizando la necesidad de intervenciones más invasivas. Como siempre la recomendación general para evitar cualquier problema de salud bucodental es insistir en la prevención, las visitas periódicas al dentista para hacer un diagnóstico temprano y poder planificar extracciones, tratamientos de ortodoncia, etc.
Si notas que tú o tu hijo tenéis un diente fuera de lugar, o simplemente queréis salir de dudas, lo más importante es concertar revisiones periódicas con el dentista, porque la anquilosis es una anomalía que nunca se nos va a pasar por alto. Un diagnóstico a tiempo puede ahorrarte molestias y tratamientos más largos en el futuro.