La pérdida de un diente puede afectar significativamente la estética de la sonrisa y la funcionalidad de la boca. Afortunadamente, existen diversas opciones para reemplazar estos dientes perdidos, y uno de los componentes clave en estas soluciones es el diente falso, conocido técnicamente como póntico.

¿Qué es un Póntico?
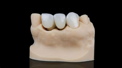
El póntico es el diente artificial que sustituye otra pieza dental y se sostiene apoyándose en los dientes o implantes contiguos llamados pilares. Los pónticos suelen considerarse la segunda opción tras haber valorado como primer tratamiento los implantes.
La ventaja de este tratamiento es el reemplazo de un diente recuperando así funcionalidad en la zona sin necesidad quirúrgica. Estas consecuencias no son aplicables a cuando los pilares son implantes. Los implantes nos permiten reemplazar un diente y solucionar una patología sin necesidad de afectar otros dientes.
Póntico Ovoide
El póntico ovoide es por excelencia la forma de póntico idónea para dientes anteriores debido a su forma arquitectónica que sella a nivel de su base herméticamente evitando la penetración de partículas de comida y proporcionando al mismo tiempo soporte tisular tanto vestibular como interproximal. Debido a su forma convexa el paciente puede limpiar el póntico ovoide con hilo dental sin ningún problema.
Materiales de Fabricación de Prótesis Parciales (Pónticos)
Estas prótesis parciales pueden estar fabricadas de diferentes materiales. En el caso de necesitar resistencia, sería conveniente un metal como titanio, cromo-cobalto o zirconio; si el primer requisito es la estética nos inclinaremos por la cerámica, pero también teniendo la opción de poder combinar metal y cerámica. Además, como un material más económico y de menor resistencia, se podrían hacer de resina.
Dientes Provisionales: Una Solución Temporal
Los dientes provisionales, también conocidos como temporales o provisionales, desempeñan un papel fundamental en la odontología restauradora. Estas piezas temporales están diseñadas para ocupar el espacio de los dientes ausentes durante procedimientos odontológicos o mientras se espera la fabricación de prótesis definitivas. La importancia de los dientes provisionales se debe a que desempeñan un papel crucial en tratamientos como la colocación de implantes, puentes o la espera de coronas definitivas.
En situaciones como la espera de coronas, la integración de implantes o durante tratamientos que requieren tiempo, los dientes provisionales proporcionan estabilidad y facilitan una transición suave hacia la sonrisa final restaurada.

Tipos de Dientes Provisionales
Existen diversos tipos de dientes provisionales, cada uno adaptado a necesidades específicas y contextos clínicos. Estos ofrecen flexibilidad y versatilidad durante el tratamiento odontológico.
- Dientes provisionales acrílicos: Están fabricados con resina acrílica, son ligeros y personalizables en términos de forma y color.
- Dientes provisionales de resina: Se fabrican con resinas sintéticas duraderas por lo que ofrecen resistencia y estabilidad.
- Dientes provisionales prefabricados: Este tipo suele estar disponible en tamaños y formas estándar por lo que están listos para su aplicación inmediata.
- Dientes provisionales removibles: Estas piezas están diseñadas para ser removidas fácilmente, permitiendo una limpieza sencilla y accesibilidad a la zona subyacente.
- Dientes provisionales fijos: Se fijan de manera segura a los dientes adyacentes o implantes, ofreciendo mayor estabilidad y función.
Usos Recomendados de Dientes Temporales
El uso de estos dientes temporales se recomienda en diversos casos clínicos para abordar situaciones de transición en el ámbito dental.
- Espera de prótesis definitivas.
- Procedimientos de implantes dentales.
- Extracciones dentales.
- Puentes provisionales.
- Tratamientos de ortodoncia.
- Proceso de reparación o reconstrucción dental.
Duración y Cuidados de los Dientes Provisionales
La vida útil de este tipo de piezas varía según varios factores, como el tipo de material utilizado, el cuidado proporcionado y la duración del tratamiento dental. En general, se espera que estos dientes no definitivos mantengan su funcionalidad y estética durante el periodo necesario para completar el tratamiento dental, que puede ser desde unas pocas semanas hasta varios meses.
El proceso de colocación es meticuloso y adaptado a las necesidades individuales del paciente. Comienza con una evaluación exhaustiva de la estructura dental para la aplicación específica del tratamiento. La toma de impresiones precisas sirve como base para la fabricación de los dientes temporales, que son luego ajustados y personalizados para garantizar un ajuste cómodo y estético. Su fijación se realiza con técnicas seguras, asegurando una sujeción firme durante el período necesario.
Recomendaciones para el Cuidado
Para asegurar la eficacia y durabilidad de los dientes provisionales, es esencial seguir ciertas pautas de cuidado.
- Es recomendable evitar alimentos pegajosos o duros porque ayuda a prevenir daños y desprendimientos.
- De igual forma, una higiene oral cuidadosa, que incluya cepillado suave y uso de enjuagues recomendados, contribuye a la salud bucal durante el uso de dientes temporales.
- Evitar el consumo de tabaco y limitar el consumo de bebidas y alimentos que puedan manchar ayuda a preservar la adecuada imagen de las piezas provisionales.
Opciones Adicionales para Reemplazar un Diente Perdido
Dentro de las opciones provisionales para sustituir un diente perdido encontramos la prótesis removible, también conocida como ‘cangrejo’ por su forma y color. Por un lado, encontramos la prótesis parcial fija, es decir, la colocación de una prótesis que se instala entre dos dientes que ejercen de soporte. Sin embargo, si no existe pieza dental, la solución más duradera y eficaz consiste en realizar un implante dental.
Coronas Dentales: Fundas para Dientes Dañados
Las coronas dentales son piezas que recubren el diente, lo protegen, mejoran su funcionalidad y estética. Se colocan cuando el daño de la pieza no se puede corregir con otro método menos invasivo. Las coronas permiten que el diente recupere su funcionalidad al masticar. Además, ayudan a prevenir los problemas que se pueden presentar ante la falta de una pieza dental.
Las fundas dentales se colocan sobre el diente y lo cubren en su totalidad. Antes de hacerlo, el odontólogo tiene que preparar el área, para ello hay que lijar y alisar el diente sobre el que se colocará. Esto creará una base adecuada para colocar la corona. También se pueden ponerlas sobre implantes si es el caso. Aunque es más común que se coloquen en los molares y premolares, también hay fundas para dientes delanteros. De esta manera el paciente recupera la estética de su sonrisa.
No hay que confundir entre fundas y carillas dentales. Hay algunas diferencias básicas que tienes que conocer sobre estos tratamientos. La función de las carillas de composite y otros materiales es más de estética dental y solo cubren una parte del diente. Además, son más finas que las coronas. Estas últimas, por su parte, son gruesas para poder cumplir con su función protectora y brindar mejor funcionalidad a la pieza dental, a la que cubren por completo.
Usos y Casos Clínicos de las Coronas Dentales
Antes de colocar una funda dental de cualquier tipo, el especialista tiene que evaluar si es posible aplicar otro tratamiento. De no ser posible, entonces puede recurrir a la corona dental.
Protección Tras Endodoncia o Desgaste Excesivo
Las coronas pueden colocarse sobre una pieza que haya sido sometida a un tratamiento de endodoncia radicular. Este tratamiento deja el diente más frágil y, por lo tanto, susceptible a fracturas. Con la corona, se garantiza que el diente tenga una estructura más sólida y cumpla su función de forma óptima. Otro motivo para colocar coronas de porcelana u otro material es el desgaste excesivo de las piezas. Esto suele ocurrir cuando el paciente tiene bruxismo o si ha ocurrido una abrasión severa.
También en casos de fisuras o fracturas dentales. En estas situaciones las fundas previenen que el daño dental siga avanzando. Por último, se colocan cuando se quiere mejorar la estética de los dientes. Es decir, cuando hay desgaste, o si el color, la forma y la posición de estos se ha visto afectado por el paso del tiempo y el estilo de vida de la persona.
Sustitución sobre Implante vs Diente Natural
También se colocan fundas para sustituir un diente que se ha perdido. Para ello hay que colocar primero un implante y cubrirlo luego con la funda. En este caso, el objetivo principal es cuidar la salud bucodental del paciente. La pérdida de una pieza dental puede provocar maloclusión y debilitamiento del hueso de la mandíbula. Si el paciente aún tiene el diente natural, pero hay un daño severo, se puede colocar una funda.
El dentista primero prepara el diente y toma las impresiones para preparar la funda a medida. Decidir entre colocar la funda sobre el diente natural o sobre un implante dependerá del estado del diente. Aunque los dentistas suelen preferir mantener la pieza natural, si esta está muy deteriorada puede ser mejor recurrir al implante.
Reemplazo vs Reparación de Fundas Dañadas
Por último, las fundas dentales, aunque son duraderas es posible que en algún momento se dañen. Algunos problemas comunes que se pueden presentar son desgastes, fracturas o filtraciones. Ante cualquiera de estos daños, el dentista determinará cuál es la mejor solución. Hay situaciones en las que es posible reparar las fundas utilizando resina. Sin embargo, cuando se trata de daños severos, la mejor solución es reemplazarlas por unas nuevas.
Comparativa con Otras Opciones de Restauración Dental
En relación con las carillas, las fundas dentales son más resistentes y más baratas. Por otro lado, las carillas no requieren eliminar demasiado esmalte dental y son menos invasivas que las fundas. Por su parte, los empastes dentales se utilizan para reparar dientes que han sido afectados por caries. Aunque son efectivos y menos costosos que las fundas de porcelana, no son tan resistentes. En cuanto a los empastes, también hay que tener en cuenta que a largo plazo es posible que requieran ser reemplazados.
Otra opción de restauración dental, son las coronas de resina; sin embargo, al pensar en ellas debe tenerse en cuenta que el material de fabricación afecta directamente la durabilidad. En este contexto, las de porcelana son más resistentes y mantienen su color natural por más tiempo.
Los implantes dentales, en cambio, se utilizan para sustituir dientes perdidos, pero se trata de un procedimiento más invasivo, debido a que se reemplaza el diente faltante con un tornillo se inserta en el hueso de la mandíbula. Y esto lo convierte en un tratamiento más costoso y más complicado.
Los puentes dentales son otra opción, en este caso para reponer uno o más dientes perdidos, llenando el espacio vacío. El diente falso tiene el nombre de póntico y los dientes de los lados son llamados dientes pilares. Estas prótesis se colocan de manera fija. Son muy duraderos y más económicos que los implantes. Los puentes pueden ser metálicos, metal-acrílicos, acrílicos, metal-cerámicos, cerámicos y de circonio.
Tipos de Coronas Dentales Según Materiales
Gracias a la tecnología existen muchos tipos de coronas dentales y precios. Hay diferentes materiales con los que se pueden fabricar las también llamadas fundas. El uso de estas depende de las necesidad de cada quien y lo que el dentista aconseje. Los diferentes tipos fundas para los dientes según los materiales de los que son elaborados son los siguientes:
| Tipo de Corona | Material | Ventajas | Desventajas | Uso Recomendado |
|---|---|---|---|---|
| Metálicas | Oro, níquel, platino | Resistentes al desgaste, duraderas | Poca estética, no se asemejan al diente natural | Molares, dientes poco visibles |
| Porcelana | Porcelana | Resultado natural y estético, biocompatible | Menos fuerte que el metal | Dientes delanteros |
| Metal Porcelana | Metal recubierto con porcelana | Combina resistencia y estética | Puede mostrar la parte metálica en encías retraídas | Cualquier tipo de diente |
| Zirconio | Metal blanco (zirconio) | Muy fuerte, resultado natural, biocompatible | Costo puede ser elevado | Dientes delanteros y traseros |
| Acero Inoxidable | Acero inoxidable | Protección temporal | Poca estética | Protección temporal del diente |
| Resina | Resina | Más económicas | Menos resistentes, propensas a mancharse | Provisionales |
Coronas Metálicas
Son fundas muy resistentes, pero que se usan poco debido a que su aporte estético es poco y no se asemejan al diente natural. Cuando se colocan, por lo general se usan para cubrir las muelas ya que son menos visibles. Estas no necesitan ser retiradas por desgaste, rara vez se rompen o cuartean; resisten la fuerza de masticar y morder. La única desventaja que presenta es su color. Por esta razón las colocan fuera de la vista en molares y premolares. Y es que el color metalizado de las mismas tiende a ser poco estético.
Fundas de Porcelana para los Dientes
Las fundas dentales de porcelana son prótesis fijas cementadas que se instalan encima de los dientes naturales para corregir su forma. Estas los envuelven por completo, proporcionándole protección a los dientes y ofreciendo una apariencia mucho más estética. Asimismo, estas fundas protegen a aquellos dientes que han tenido algún tipo de caries profunda o que han quedado debilitados luego de una endodoncia. Esta ayuda a que el paciente mantenga la pieza dental por mucho tiempo. Ofrecen un resultado muy natural y estético, se puede adaptar a la tonalidad del resto de las piezas. Es más recomendada para los dientes delanteros que para las muelas debido a que el material es menos fuerte que el metal.
Es muy estética, traslúcida y ligera. La transparencia imita el diente y permite alcanzar un resultado muy natural. Y es que la porcelana puede ser modificada en su color para que se vea más natural en la dentadura. Biocompatible con los tejidos de la boca. No provocan alergias si no tienen una parte de metal. No causan la coloración grisácea de las encías con el paso del tiempo, esto por la misma biocompatibilidad. Los dientes de porcelana se destaca por su fuerza y firmeza, algo que los hace rentables con el tiempo. Son más económicas que otras alternativas. Recuperación de la utilidad y funcionalidad de la boca rápidamente. Son fijos, a diferencia de las fundas removibles, garantizando así mayor durabilidad en nuestros dientes.
Aunque es un tema que depende de distintos factores, se puede decir que estas fundas tienen una duración promedio de 15 años. En general, pueden durar entre 5 y hasta 30 años. Si quieres alargar el tiempo de vida de tu funda consulta a tu odontólogo. El especialista te proporcionará el material más adecuado. También debes tener en cuenta que para mayor duración debes tener una revisión periódica y una buena higiene dental.
Coronas de Metal Porcelana
Consiste en un capuchón de metal que está recubierto con porcelana. De esta forma, reúne las ventajas de las fundas metálicas, con la estética de las de porcelana. Son muy duraderas, por lo que están entre las más recomendadas por los odontólogos. Gracias a sus características es capaz de mejorar la resistencia de los molares. Pero aunque pueden usarse para los dientes delanteros, no son muy recomendadas por la presencia de dos materiales. Puede ocurrir que en pacientes con encías retraídas la parte metálica quede a la vista.
Coronas de Circonio
El circonio es un tipo de metal blanco muy resistente. Su uso en odontología es reciente y ofrece muchas ventajas a los pacientes que optan por coronas de este material. Es muy fuerte y además da un resultado muy natural. Es traslúcido y menos grueso que otras alternativas como las de metal porcelana o porcelana. El paciente puede elegir el color que más se asemeje al resto de los dientes y tiene la garantía de que permanecerá en ese tono siempre. Gracias a estas características los odontólogos las recomiendan como fundas para dientes delanteros y traseros. No se notará la diferencia entre los dientes naturales y las coronas. Podrá ver la diferencia entre el uso de las fundas de zirconio antes y después. Otra de las ventajas de este material es que su desgaste es mínimo.
Fundas de Acero Inoxidable
Son utilizadas como una protección temporal del diente y los nervios. Son prefabricados, solo se colocan mientras se fabrica la funda nueva, no son muy estéticas y por eso son de poco uso.
Fundas de Resina
Este tipo de fundas no son muy resistentes y su acabado no es tan natural como el de las fundas de porcelana o el circonio. Por lo general, se utilizan las coronas de resina como provisionales, mientras se fabrican las definitivas. Las coronas de resina son más económicas que otras alternativas, como las de circonio, pero al mismo tiempo son menos duraderas. Aunque imitan al diente natural, su superficie es porosa y por ello son propensas a mancharse. Por estos motivos se prefiere su uso provisional. Mientras tengas las coronas de resina es importante darles el cuidado adecuado. Esto incluye no morder objetos duros porque pueden romper las fundas y mantener una rutina de higiene dental adecuada. Al tomar estas previsiones, las fundas se mantendrán en buen estado hasta que lleguen las definitivas.
Procedimiento de Colocación de Fundas de Dientes Paso a Paso
Las fundas dentales no son un procedimiento complicado, en muchos casos con tan solo dos visitas al dentista ya el paciente podrá tenerlas listas. Sin embargo, antes de comenzar es importante entender cómo será el proceso.
- El primer paso es la evaluación del paciente, en la que el dentista comprobará la salud general del paciente y también tomará imágenes dentales para asegurarse de que es un candidato para las fundas de porcelana.
- El segundo paso es preparar los dientes, y para ello el odontólogo eliminará el esmalte y tomará las impresiones de los dientes.
- Lo siguiente es elegir el color adecuado de las fundas, y quizás coloque algunas de forma temporal, a modo de prueba.
- Las coronas permanentes pueden tardar dos semanas en ser fabricadas. Luego de eso estarán listas para ser colocadas, en caso de ser necesario, se utilizará anestesia local.
- Se requiere que la superficie del diente esté un poco áspera para, con un pegamento especial, colocar cada funda y asegurarse que se fije la funda a cada diente. Para ello, se requiere aplicar un tipo de luz especial en cada pieza dental.
Cuidados y Mantenimiento de las Coronas Dentales
Para prolongar la duración de las fundas dentales es importante darles el cuidado adecuado. Es decir, debes tener una rutina de limpieza diaria para eliminar bacterias y prevenir la aparición de sarro. Además, debes acudir al dentista con regularidad y, en caso de que notes algún problema con la funda debes consultarlo con el especialista.
- Rutina diariaCon las fundas dentales debes tener los mismos cuidados que con los dientes naturales. Esto ayudará a prevenir problemas de salud dental, como caries o enfermedades de las encías, y a que duren más tiempo. La rutina de limpieza debe incluir:Cepillarse los dientes de manera correcta al menos tres veces al día con una pasta que posea flúor. Asegúrate de limpiar toda la superficie de las fundas.Utiliza siempre el enjuague bucal y la seda dental para remover residuos de alimentos.Como parte del cuidado diario, evita masticar alimentos duros, muy crujientes o pegajosos, como caramelos o goma de mascar. También se debe evitar morder objetos duros, como lápices, hielo o comerse las uñas.Las fundas de porcelana y de resina tienden a mancharse, por lo que es recomendable evitar alimentos y bebidas de color oscuro.
- Revisiones periódicas y limpiezas profesionales
Las revisiones periódicas son esenciales para mantener la salud de tus fundas dentales y prevenir problemas a largo plazo.