Imagina tener un diente "escondido", uno que, por alguna razón, nunca ha logrado abrirse paso a través de la encía. Suena extraño, ¿verdad? Pues bien, esto es más común de lo que crees. Los dientes impactados son aquellos que, por diversas razones, quedan atrapados debajo de las encías o dentro del hueso.
En odontopediatría, un diente impactado se define como una pieza dental que no erupciona completamente, quedando atrapado en el hueso y encía. ¿Quieres descubrir por qué sucede esto y qué consecuencias puede tener para tu salud bucal?

Un diente impactado es un diente que, por diversas razones, no ha logrado erupcionar correctamente a través de la encía en su posición normal dentro de la boca. Estrictamente, el término ‘diente impactado’ o incluido hace referencia a aquella pieza dentaria que no ha emergido completamente en la arcada dentaria.
Es un problema que se da con bastante frecuencia, sobre todo en la población mayor de 15 años. Es por ello que pueden sufrir infecciones recurrentes.
¿Por qué es importante entender y tratar los dientes impactados?
En primer lugar, un diente impactado puede volverse una fuente constante de molestias, con infecciones recurrentes y dolor, que afecta a la calidad de vida del paciente. Los dientes impactados en niños suponen una pesadilla aún mayor, ya que pueden interferir con el desarrollo normal de la dentadura y la alineación de los dientes permanentes.
Tipos de Inclusión Dental
Los tipos y la manera de tratar los dientes impactados va a depender del tipo de inclusión de la pieza en el hueso:
- Inclusión Parcial: El diente no ha llegado a su completo desarrollo o se encuentra bloqueado dentro de la encía o el maxilar, siendo detenido por diversos obstáculos que no le permiten erupcionar y tomar su posición en la boca. El diente no ha llegado a desarrollarse del todo o se encuentra con obstáculos cuando va a erupcionar y tomar posición en la cavidad bucal.
- Inclusión Total: La pieza dental permanece enterrada en el hueso. La pieza dental permanece enterrada en el hueso sin llegar a salir. No llega a penetrar la mucosa oral ni a haber indicios de su erupción.

Causas de los Dientes Impactados
Existen diversas razones por las cuales un diente queda impactado. Una de las más habituales es la falta de espacio en la mandíbula para que el diente pueda erupcionar correctamente. La falta de espacio o su inclinación durante la erupción es el motivo principal por el que un diente queda impactado.
Lo más habitual es que la afección del “diente impactado” se dé en las muelas del juicio o cordales y en los caninos superiores. Esto se debe a que son las últimas piezas dentales en desarrollarse en las personas y se pueden encontrar con que las condiciones no son óptimas, debido a la falta de espacio al no desarrollarse adecuadamente los maxilares, infecciones bucodentales, una mala alimentación o por una predisposición genética.
También puede ocurrir que un diente permanezca incluido en el hueso como consecuencia de un traumatismo, por ejemplo, si un niño se golpea un diente de leche y el impacto ha dañado la raíz del diente definitivo que aguarda debajo. Por este motivo es importante consultar con el dentista cuanto antes si sufrimos una fuerte impacto en la boca, aunque no haya fracturas de las piezas dentales.
Otros factores incluyen:- Factores genéticos y hereditarios: la herencia genética puede influir en el tamaño de la mandíbula y la alineación dental.
- Problemas de espacio: cuando falta espacio en la mandíbula o maxilar para que el diente erupcione como debería.
- Condiciones médicas: como la displasia cleidocraneal, pueden causar los dientes retenidos.
- Pérdida temprana o retención prolongada de dientes temporales: es decir, si se pierde un diente de leche antes de tiempo, los permanentes pueden moverse y bloquear el espacio de otro diente.
Síntomas de un Diente Impactado
Un diente impactado no siempre presenta síntomas evidentes, especialmente en sus primeras etapas. Como mencionamos antes, algunos pacientes que presentan dientes impactados no presentan ningún tipo de dolor u otros malestares, aunque se ven a simple vista, especialmente cuando ocurre en los dientes caninos.
Uno de los primeros signos de un diente impactado es el dolor en la zona afectada. Conforme el diente intenta erupcionar, pero no lo logra, las encías alrededor del área afectada se inflaman y se enrojecen. Esta inflamación es una respuesta natural del cuerpo al diente que está luchando por salir.
Un diente impactado crea una especie de «bolsillo» en las encías donde se acumulan restos de comida y bacterias. Las muelas del juicio impactadas son susceptibles a la infección conocida como pericoronitis.
Otros síntomas pueden incluir:- Espacio visible donde no ha salido el diente.
- Mal aliento.
- Dolores de cabeza y/o mandíbula.
- Enrojecimiento, inflamación y molestias en las encías.
- Infecciones a causa de la acumulación de bacterias.
- Mayor sensibilidad en las encías o en la mandíbula.
- Dolor de cabeza o dolor de la mandíbula que se prolonga.
- Inflamación de los ganglios linfáticos del cuello.
- Sabor desagradable al morder cerca del área.
En los niños, los síntomas de un diente impactado suelen ser más difíciles de detectar, ya que los pequeños no siempre son capaces de expresar claramente lo que sienten.
Además, puedes sentir un dolor constante o intermitente en el área donde está el diente retenido. Asimismo, se puede presentar inflamación, enrojecimiento y sensibilidad en las encías alrededor del diente retenido. También puede haber hinchazón en la zona afectada o alrededor de la mandíbula. Si hay infección puedes sentir mal aliento o sabor desagradable en la boca. En casos más complicados podrías tener dificultad para abrir la boca completamente, dolor de cabeza o mandíbula.
La presión del diente retenido también puede causar apiñamiento, reabsorción de la raíz de los dientes cercanos y aumentar el riesgo de infección.
Diagnóstico
Lo primero que hará el odontólogo es examinar el tejido inflamado sobre el área donde no ha salido la pieza dental o, en su defecto, ha salido parcialmente. En estos casos, cabe la posibilidad de que el diente impactado esté ejerciendo mucha fuerza en los dientes adyacentes, por lo que las encías de alrededor del área pueden tener signos de infección, como es el caso de enrojecimiento, sensibilidad y secreción.
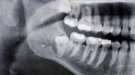
Después, para confirmar dicho diagnóstico, se recurre a las radiografías ya que permiten al dentista ver la posición exacta del diente dentro del hueso y determinar si está impactado.
El diagnóstico de los dientes retenidos se inicia con un examen clínico, en tu visita al dentista este evaluará tus síntomas y mirará la posición de tus dientes. El diagnóstico precoz es clave para determinar la causa y planificar un tratamiento adecuado.
Tratamientos para Dientes Impactados
El tratamiento idóneo para un diente impactado depende de cada caso. De todos modos, principalmente existen tres opciones:
- Vigilar la evolución del diente. Si el dentista observa que el diente impactado no produce daños graves en la salud del paciente se limitará a realizar un seguimiento para controlar su evolución. Si se trata de un diente que no causa daños ni problemas, es posible que la alternativa a elegir sea darle seguimiento a su evolución. Únicamente actuaremos de esta manera cuando no haya riesgo de que se produzca ninguna patología. No obstante, si las muelas del juicio crecen correctamente y no comprometen la estructura del resto de dientes, se pueden mantener.
- Extraer el diente. En muchos casos, la mejor opción es extraer el diente impactado, especialmente si está causando dolor, infecciones o si existe el riesgo de dañar otros dientes. La extracción es la solución más común cuando se trata de muelas del juicio retenidas, ya que así evitamos que se produzcan complicaciones posteriores. A menos que exista un problema grave, este debe ser la última opción en el caso de que se trate de un canino incluido. Sin embargo, es bastante frecuente cuando la patología afecta a la extracción de la muela del juicio. Se realiza con anestesia local. Durante la cirugía de extracción dental no sentirás dolor porque se emplea anestesia local. Después, cuando pasa el efecto de la anestesia, podrás sentir molestias, para las que te recetarán medicamentos.
- Recolocar el diente. Cuando la pieza dental que está afectada es importante desde el punto de vista funcional y/o estética, como pasa con los caninos, el dentista deberá optar por recolocarlo en el lugar donde debería haber salido. Para los caninos impactados que están atrapados dentro del hueso, se puede realizar un procedimiento quirúrgico conocido como exposición y tracción. Durante esta cirugía, el dentista o cirujano oral expone el diente impactado a través de una pequeña incisión en la encía. Luego, se coloca un dispositivo ortodóntico que se utiliza para guiar el diente hacia su posición correcta en la boca. En algunos casos, dientes como los caninos quedan atrapados en su proceso de erupción haciendo necesario un tratamiento de recolocación para ayudarlos dada su importancia para la boca. Es posible que sea necesario comenzar un tratamiento de ortodoncia para colocar cada diente en su lugar, incluyendo aquella pieza impactada. Esta intervención la realiza un especialista en ortodoncia en colaboración con el cirujano maxilofacial y el dentista general.

Siempre que sea posible es preferible conservar las piezas dentales naturales. Un odontólogo profesional siempre buscará conservar las piezas dentales naturales del paciente cuando sea posible.
También se pueden emplear mantenedores de espacio en caso de niños que pierdan un diente de leche prematuramente.
En casos donde un diente impactado ha causado una infección o daño a los dientes adyacentes, es posible que se necesiten realizar tratamientos adicionales.
Prevención
Mientras que no siempre es posible prevenir un diente impactado, las revisiones dentales regulares permiten una detección temprana. No siempre es posible prevenir un diente retenido.
Es importante tener presente que contar con una pieza dental impactada no tiene por qué generar dolor. Sin embargo, en ciertas ocasiones, la erupción puede ser incompleta, de modo que el tejido blando tiene la posibilidad de llegar a infectarse generando inflamación e irritación. Estos dientes se conocen como semi-incluidos o semi-impactados, ya que han logrado erupcionar parcialmente en la boca.
Los analgésicos se pueden tomar si el diente impactado está causando molestias o inflamaciones leves.
En Clínica Dental Galindo, en Barcelona, nos esforzamos por ofrecer soluciones avanzadas y personalizadas para cada paciente.
En Rubal Dental, nos comprometemos a ofrecer un diagnóstico preciso y un tratamiento efectivo para todos nuestros pacientes.