Descubrir un cambio de coloración en uno de tus dientes puede ser motivo de preocupación y confusión. Los dientes oscuros son uno de los problemas más comunes en la estética dental. Hay que tener en cuenta que, hoy en día, lucir una sonrisa blanca y radiante es una de las claves de la buena imagen personal. Entender la causa de un diente oscuro es el primer paso para recuperar tu sonrisa.

¿Qué son los dientes oscuros y por qué ocurren?
Los dientes oscuros, como su nombre lo indica, son aquellos cuyo color no es blanco o amarillento como son los dientes en su estado normal y natural. Las razones por las que se produce esta condición pueden dividirse en causas intrínsecas y extrínsecas.
- Las causas de los dientes oscuros intrínsecas son aquellas en que los pigmentos o manchas llegan hasta el interior del esmalte, incluso hasta la dentina.
- Mientras que las extrínsecas ocurren de manera más superficial.
Causas de los dientes oscuros
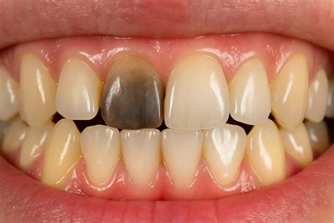
Tener un diente oscuro siempre es motivo de preocupación, aunque es una situación bastante frecuente. Puede ocurrir en niños y adultos y es una señal de que la pulpa y el nervio están sin vida. El motivo por el que un diente se oscurece es que se queda sin flujo de sangre. Por lo que su tonalidad va cambiando hasta ponerse todo negro.
Ahora, ¿qué pasa cuando un diente se pone negro? No solo se oscurece, sino que se debilita más que los demás. El cambio en la coloración no se produce de una sola vez, es paulatino y puede tomar meses o años. Esa coloración oscura es señal de que el diente está muerto; sin embargo, no siempre es posible hacer este diagnóstico a simple vista. El dolor en la pieza dental es otro indicio al que hay que estar atento. Pero las visitas al odontólogo con frecuencia son la mejor forma de detectar este problema. El especialista se encargará de hacer el diagnóstico y recomendar el tratamiento más adecuado para cada caso.
Podemos resumir las causas de los dientes oscuros de la siguiente forma:
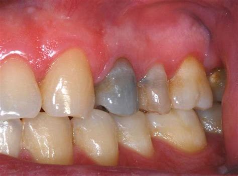
- Traumatismos: Afectan al tejido pulpar (es decir, el nervio y los tejidos sanguíneos) del diente, causando el diente oscuro. Un golpe fuerte es una de las causas de los dientes oscuros, pero hay otras razones por las que cambian de tonalidad, hasta ponerse negros.
Ocurre cuando la persona sufre un golpe en la dentadura. Esta situación puede provocar una fractura o fisura radicular. Si es así, la pieza dental no es se puede restaurar y debe ser extraída. Además, del diente negro y dolor, también puede provocar abscesos, fístulas, entre otros síntomas.
Los traumatismos pueden causar una hemorragia interna que, al principio, puede mostrar una coloración roja. Pero con el tiempo tomará otros tonos como el naranja, negro o marrón. Un golpe fuerte puede provocar la calcificación de la cámara pulpar, provocando así que el diente tome un color amarillento. Pero si la tonalidad es más oscura, entonces es señal de necrosis pulpar.
- Necrosis pulpar: Como acabamos de mencionar, la necrosis pulpar es una de las razones por las que el diente cambia de un tono blanco al negro. Significa que la pulpa, la parte blanda del diente, ha muerto y existe una infección en estos tejidos. Esto puede ocurrir a causa de un traumatismo severo ante el cual el diente no tiene capacidad de respuesta.
Dolor: puede ser agudo o persistente al masticar o aplicar presión. La pulpa contiene nervios y vasos sanguíneos, y su muerte es el resultado de una lesión o infección.
- Caries profundas: La tercera causa más común son las caries profundas. Si estas no se controlan y se tratan a tiempo, la cavidad puede llegar hasta la raíz. Cuando se compromete esta parte se produce el oscurecimiento. Con las visitas rutinarias al odontólogo es posible detectar la caries a tiempo y tratarla para que no perjudique más el diente.
- Endodoncia previa: Se produce cuando se ha realizado una endodoncia en el diente o dientes. El diente oscuro por tratamiento de conducto puede ocurrir por varios motivos. Por ejemplo, debido a una necrosis pulpar o presencia de sangre. Hay materiales, por otro lado, que se utilizan durante las reconstrucciones que pueden provocar la aparición de manchas.
- Fluorosis: La fluorosis dental es una anomalía que se produce por la acumulación excesiva de flúor durante el desarrollo y es otra de las causas de los dientes oscuros. Es decir, cuando los dientes están en proceso de formación. Se presenta en tres grados: leve, moderado y severo. Pero cuando la tinción de los dientes es oscura, estamos ante un caso severo. Estos, además de una coloración intensa, provoca desgaste en los dientes y la tendencia a fracturarse.
- Tetraciclina: La tetraciclina es un antibiótico que provoca la tinción de los dientes en desarrollo. Cuando se administra este medicamento a una embarazada o madre lactante, la tetraciclina llega al bebé a través de la placenta o la leche materna. Lo anterior provoca que los dientes del niño sean oscuros.
- Manchas en el composite: Es posible que aparezcan manchas en los empastes de composite que se utilizan para tratamientos dentales. Ocurre, por ejemplo, por la reacción del material con los alimentos que consumimos. Aunque las coloraciones no sean en los dientes, siguen siendo antiestéticas. Por lo que es recomendable cambiar el empaste. Por el uso de composite, el material utilizado para los empastes dentales: no es el diente el que se oscurece en estos casos, sino el empaste o los márgenes de conexión entre empaste y diente.
- Las manchas extrínsecas: pueden ser provocadas por diversos factores, como el consumo de alimentos y bebidas de color oscuro, tales como el té, el café o refrescos. Fumar o exponerse demasiado al flúor también están relacionados con la pigmentación en la superficie de la dentadura.

Diferencia entre coloración y tinción
El lugar en el que aparecen las pigmentaciones nos ayuda a determinar si se trata de una coloración o una tinción. Cuando las manchas son externas se le denomina coloración y las internas son tinciones. Los alimentos que ingerimos, la acumulación de bacterias y la placa dental son algunos de los factores que provocan las coloraciones. Mientras que las tinciones tienen otras causas como las hemorragias, endodoncias previas, así como algunas enfermedades y medicamentos.
Otra diferencia es el tipo de tratamiento que se aplica en cada caso para corregir los dientes negros en adultos. Para las coloraciones se aplican procedimientos mecánicos, como la higiene profunda. Si el paciente tiene manchas intrínsecas, sin embargo, los tratamientos pueden incluir colocación de carillas y blanqueamientos dentales.
El dentista evaluará el origen de las manchas para determinar cuál es el tratamiento más adecuado en cada situación.
Factores de riesgo para la decoloración dental
Si bien es cierto que cualquier persona, con el paso del tiempo, puede sufrir de decoloración dental, no es menos cierto que hay ciertas circunstancias o hábitos que pueden aumentar las probabilidades de sufrir esta condición dental. Entre ellas:
- La genética: nuestros genes guardan información sobre el color natural de nuestros dientes, por lo que puede ser un factor de riesgo para la decoloración dental.
- Los hábitos alimenticios: consumir en exceso bebidas y alimentos de color oscuro puede llegar a manchar la superficie dental.
- Fumar: el tabaquismo tiene efectos negativos sobre nuestra salud en general, y en el caso específico de los dientes puede producir manchas tanto internas como externas.
- Enfermedades dentales: ser propenso a sufrir de enfermedades en los dientes o encías, aumenta las probabilidades de tener problemas con el color de nuestros dientes.
Diente oscuro en niños
En los niños es muy frecuente la aparición de dientes oscuros. Ante esta situación no hay que alarmarse, pero sí es necesario llevar a los pequeños al odontólogo lo antes posible. La razón más frecuente por la que ocurre son los golpes que reciben en la dentadura. Estos son comunes durante los juegos y, a veces, ni siquiera los niños le dan mayor importancia. No obstante, si son muy fuertes pueden hacer que se oscurezcan los dientes de leche. Y no solo se pueden poner negros, sino que se interrumpe el proceso natural de caída.
Lo que quiere decir que estos no se mueven como los dientes sanos, lo que retrasa la mudanza. Por eso es necesario que el odontólogo haga un seguimiento del caso. Este dirá si se requiere remover el diente para dejarle espacio al permanente. De lo contrario, puede salir encima del diente afectado o en el paladar.
Prevención de la decoloración dental
No siempre es posible prevenir la aparición de manchas.
Alimentos y hábitos que evitan los dientes oscuros
Como hemos mencionado, los alimentos y bebidas de colores oscuros contribuyen a que los dientes se oscurezcan. Por el contrario, una dieta saludable mejora la salud bucal. El consumo de frutas y verduras ayuda a cuidar el esmalte dental, gracias a su contenido de vitaminas y minerales. También la leche y sus derivados aportan calcio que fortalece los dientes y evita que se manchen. Y no podemos olvidar beber mucha agua, ya que además de mantenernos hidratados, ayuda a que se produzca saliva, evitando así que se acumule la placa.
Técnicas de cepillado y uso de hilo dental efectivas
Cepillarse al menos dos veces al día, durante dos minutos; utilizando pasta dental con flúor es la combinación adecuada para mantener la salud de tu boca. Adicionalmente, recomendamos utilizar hilo dental una vez al día; de esta forma se eliminan residuos acumulados que pueden provocar caries, placa o manchas en los dientes.
Rutina de higiene oral para una sonrisa más blanca
Como complemento para una buena higiene oral debes programar una visita al odontólogo cada seis meses. Para realizarte un chequeo físico y también limpiezas profesionales que eliminan manchas y sarro, dejando tu sonrisa limpia y más blanca.
Tratamientos para los dientes negros
Te preguntarás cómo blanquear un diente negro. Ya sabes que si tienes este problema, solo un profesional puede aplicar el tratamiento adecuado. La solución dependerá de las causas de los dientes oscuros y la gravedad del problema.
En primer lugar, hay que determinar si la coloración se debe a una caries y si la raíz está comprometida. Si es así, significa que no es posible salvar el diente. Cuando el origen es una caries y esta no ha afectado la raíz, se puede hacer una endodoncia para eliminar infección. Después de limpiar y sellar se pasa a la restauración estética, que puede hacerse mediante una carilla o corona.
Los traumatismos en los que no se haya producido fractura radicular también se pueden solucionar con una endodoncia, que se completa con una rehabilitación dental. Luego se hace un blanqueamiento interno para devolver la tonalidad blanca. En cambio, si el golpe dañó la raíz, entonces la solución es extraer la pieza y reemplazarla con una prótesis dental.
Si la causas de los dientes negros son extrínsicas, es decir, debido al consumo de algunas bebidas o comidas, o por hábitos, un blanqueamiento dental puede ser una solución. Aunque tras este sería importante mejorar los hábitos, para evitar que se manchen de nuevo.
Las carillas también pueden ser una solución para mejorar tu sonrisa. Tampoco debemos obsecionarnos con una sonrisa demasiado blanca, porque caeríamos en otro problema que es la blancorexia.
Ya conoces las causas de los dientes oscuros y cuáles son sus posibles soluciones. Si quieres saber más sobre estos tratamientos, contáctanos y consulta con nuestros expertos.

Opciones de tratamiento
Hay varias soluciones para acabar con el problema de los dientes oscuros. No obstante, existen distintos tratamientos según la causa del diente oscuro.
- Si el oscurecimiento es por un traumatismo, es esencial conocer el origen del golpe. Se puede solucionar con una endodoncia, combinada con carillas dentales y, además, se deberá realizar un blanqueamiento dental interno.
- Si es por una endodoncia previa, el blanqueamiento interno es la mejor solución.
- En casos de decoloración dental asociada a la afectación del nervio, lo más indicado es realizar un tratamiento de endodoncia.
Una vez tratado el problema en su origen, ofrecemos soluciones personalizadas de estética dental para devolver el aspecto natural y luminoso a tu sonrisa. Finalmente, para devolver el aspecto natural al diente tratado, aplicamos un blanqueamiento interno cuidadosamente diseñado.
El tratamiento varía según el grado de afectación del diente y la salud general del paciente. Consiste en eliminar la pulpa muerta del interior del diente, limpiar el conducto y sellarlo para prevenir futuras infecciones.
Para corregirlo se pueden aplicar varios tratamientos, dependiendo del origen. Se pueden reducir las manchas mediante un blanqueamiento interno o sustituir el empaste si es el caso.
Combinación de tratamientos dentales
La endodoncia se suele combinar con otros tratamientos dentales para restaurar completamente la funcionalidad y estética del diente afectado.
- Después de una endodoncia, el diente puede debilitarse debido a la pérdida de estructura dental interna. Por ello, es muy común colocar una funda dental sobre el diente tratado para protegerlo, restaurar su función y mejorar su apariencia.
- Si el diente no ha perdido demasiada estructura, se puede realizar una reconstrucción o empaste dental después de la endodoncia para cerrar y sellar el acceso al conducto radicular.
- En casos donde el diente ha perdido mucha estructura y no es lo suficientemente fuerte como para sostener una corona por sí solo, se puede colocar un poste de fibra de vidrio o metálico dentro del conducto tratado.
- Para dientes que han oscurecido después de un traumatismo o una endodoncia no bien realizada, es común realizar un blanqueamiento dental interno.
- Aunque no se combina directamente, en algunos casos donde la endodoncia no puede salvar el diente o el diente está demasiado dañado, se puede recomendar un implante dental.
- En algunos casos, la endodoncia puede combinarse con tratamientos periodontales para mejorar la salud de las encías alrededor del diente afectado.
Dientes oscuros en pacientes pediátricos
En pacientes pediátricos, el oscurecimiento dental puede tener diversas causas, como caries avanzadas o traumatismos dentales. En nuestra clínica, contamos con los mejores especialistas en odontopediatría, quienes utilizan tecnología de vanguardia para diagnosticar y tratar estos casos de manera precisa y eficaz.
Por ello, recomendamos instaurar desde edades tempranas hábitos de higiene oral efectivos, controlar el consumo de alimentos azucarados y realizar revisiones periódicas con nuestros expertos en odontología pediátrica.
En nuestra clínica, este tipo de casos se trata con la máxima precisión gracias a la endodoncia asistida con microscopio, realizada por el Dr.
¿Tienes un DIENTE NEGRO 🌚 por ENDODONCIA? ¿POR QUE PASA Y COMO BLANQUEARLO 🦷?
