¿Has notado que tienes una muela negra o algún diente se está oscureciendo de manera progresiva? Es normal que las personas acudan a su odontólogo para eliminar o disimular este defecto, ya que un diente negro afecta a la estética de nuestra sonrisa. En este artículo, te explicaremos las posibles causas que producen los dientes negros, así como las opciones de tratamiento que existen y lo que podemos hacer para poder prevenirlos.

¿Por qué se oscurecen los dientes?
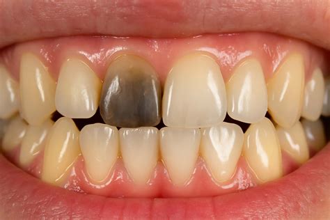
El color natural de los dientes suele ser entre blanquecino y amarillento. Es frecuente que con el paso de los años este se vaya oscureciendo de manera progresiva. Tener un diente negro significa que la parte más interna de la pieza dental está sin vida. La pulpa dentaria es un tejido blando que incluye el nervio y que aporta los nutrientes a todo el diente. Existen diversas razones por las que un diente puede oscurecerse hasta verse negro.
En general, las causas se dividen en:
- Extrínsecas: Manchas superficiales externas en el esmalte.
- Intrínsecas: Problemas internos del diente que cambian su color desde dentro.
Causas Comunes del Oscurecimiento Dental
Para saber cómo abordar el tratamiento de un diente negro, el odontólogo ha de llevar a cabo una evaluación para determinar su origen. A continuación, se detallan algunas de las causas más comunes:
- Traumatismos: Un traumatismo dental (por ejemplo, al caer o recibir un impacto practicando deporte) puede dañar seriamente la pieza afectada. Incluso si el diente no se rompe, el golpe puede lesionar los vasos sanguíneos de la pulpa o el ligamento periodontal. Cuando un diente se pone negro por un golpe, suele ser indicio de necrosis pulpar interna. A veces, tras el golpe el diente puede lucir rosado o marrón inicialmente (por sangrado dentro de la cámara pulpar) y con los meses volverse negro. Además del cambio de color, un traumatismo fuerte puede generar dolor al morder, y si hay fractura interna puede aparecer movilidad en el diente. En niños es bastante frecuente que, después de un golpe en un diente de leche, este se oscurezca al cabo de un tiempo. Un golpe o masticar un alimento demasiado duro puede ocasionar una fractura en la pieza dental que afecte al nervio y, como resultado, terminar con un diente o una muela rota negra por dentro.
- Caries: Una causa habitual del ennegrecimiento de un diente es una caries. Una caries dental (cavidad) es una infección causada por bacterias que destruyen el esmalte y la dentina del diente. Cuando la caries está en etapas iniciales, puede verse como una mancha blanquecina o marrón; pero si progresa lo suficiente, la zona afectada adquiere un color marrón oscuro o negro. Es común observar un agujero negro en el diente cuando la caries es muy profunda. Básicamente, al destruir el esmalte (que normalmente es blanco) se expone la dentina, que es más oscura. Además, la descomposición del tejido dental crea pigmentos y zonas necrosadas de color negro. Un diente con caries avanzada puede presentar dolor al comer, sensibilidad dental e incluso un absceso si la infección alcanza el nervio. Es vital tratar las caries temprano para que no lleguen a este estado. En este caso, si se detecta y trata en las primeras fases (junto con una limpieza del sarro), es posible recuperar el color natural de la pieza.
- Necrosis Pulpar: La necrosis pulpar ocurre cuando el tejido pulpar (el “nervio” del diente, que contiene nervios y vasos sanguíneos) muere. Al perder vitalidad, la pulpa deja de aportar sangre al diente y este comienza a cambiar de color, volviéndose primero grisáceo y luego, con el tiempo, un diente muerto puede volverse negro. Varias situaciones pueden llevar a una necrosis pulpar: una caries muy profunda que infecta el nervio, un trauma severo, o incluso una fractura dental que expone la pulpa. Cuando el nervio muere, a veces el paciente nota que el dolor intenso que tenía (por ejemplo, debido a pulpitis) desaparece súbitamente - lo cual puede parecer un alivio, pero en realidad es mala señal, porque significa que el diente ha perdido sensibilidad por completo. Un diente con necrosis pulpar no siempre duele, pero puede desarrollar infección en el ápice (extremo de la raíz), formando un granuloma o quiste, e incluso un flemón en la encía. La necrosis pulpar no tiene solución en casa: si notas que un diente se ha oscurecido tras un golpe o una caries extensa, es probable que necesite tratamiento profesional.
- Sarro: El sarro dental es placa bacteriana calcificada que se adhiere fuertemente a los dientes. Inicialmente, el sarro suele ser de color amarillo claro o beige; sin embargo, cuando el sarro se acumula debajo de las encías (sarro subgingival) puede tomar un color marrón oscuro, verde oscuro o negro. Este sarro negro se forma porque debajo de la encía el sarro entra en contacto con sangre y otros componentes (como el líquido crevicular de las encías), que le aportan pigmentos oscuros. La presencia de sarro negro indica que ha habido higiene oral deficiente por un tiempo prolongado, permitiendo que la placa se endurezca. Suele asociarse con problemas de encías: es común en personas con gingivitis o periodontitis (infecciones de las encías) que sangran; la sangre se incorpora al cálculo dental y lo ennegrece. A diferencia de las manchas por caries o necrosis (que afectan la estructura del diente), el sarro negro es un depósito externo: el diente en sí no está muerto, pero está “cubierto” por esta capa oscura. Es importante señalar que el sarro, una vez formado, no se puede eliminar con el cepillado normal. Ni el mejor cepillo ni enjuague removerán el cálculo duro; se requiere una limpieza dental profesional (profilaxis) para quitarlo. Si notas manchas negras en la base de tus dientes que no se desprenden con la higiene habitual, probablemente se trate de sarro y debes acudir a una limpieza con tu dentista o higienista dental.
- Manchas Extrínsecas: No siempre un diente negro significa que esté enfermo por caries o necrosis; a veces se debe simplemente a manchas externas en el esmalte causadas por lo que comemos, bebemos o nuestros hábitos. Ciertos alimentos y bebidas con pigmentos intensos pueden teñir gradualmente los dientes si se consumen con frecuencia. Por ejemplo, el café, el té negro, el vino tinto, los refrescos de cola, los arándanos, salsa de soja, curry y otros condimentos pueden dejar manchas oscuras en los dientes con el tiempo. El tabaco es otro gran villano de la coloración dental. Fumar cigarrillos o usar tabaco de mascar expone los dientes a la nicotina y al alquitrán, sustancias que producen manchas amarillo-marrones muy tenaces. En fumadores de muchos años, los dientes pueden volverse de un color marrón oscuro tirando a negro. Otros factores externos que pueden causar manchas negras incluyen algunos enjuagues bucales medicados (por ejemplo, los colutorios de clorhexidina usados por tiempo prolongado pueden oscurecer el esmalte) y los suplementos de hierro líquidos (a menudo administrados a niños o embarazadas), los cuales pueden dejar manchas negro-verdosas en la superficie dental. Las manchas extrínsecas son depósitos de pigmento en el esmalte. Por sí solas no debilitan el diente ni provocan dolor, pero afean la sonrisa.
- Tratamientos Dentales Previos: Otra causa de que un diente luzca negro puede no ser una enfermedad actual, sino el resultado de tratamientos dentales previos. Por ejemplo, los empastes de amalgama (aquellos empastes metálicos de color plata que se usaban mucho antiguamente) pueden con el tiempo pigmentar la estructura dental circundante de gris oscuro o negro. La amalgama contiene plata y otros metales que, tras años, generan sulfuro de plata, oscureciendo la dentina del diente obturado. Asimismo, un empaste en mal estado o filtrado puede causar decoloración. Si una restauración (ya sea amalgama o resina compuesta) tiene filtraciones, puede acumular tinciones en sus bordes. En algunos casos, las manchas negras que ves podrían estar en el material del empaste viejo y no en el diente en sí. La solución para estos casos suele ser renovar la restauración: reemplazar el empaste deteriorado por uno nuevo de resina del color del diente, o cambiar esa corona metálica antigua por una corona libre de metal.
- Fluorosis Dental: La fluorosis dental es una alteración en el esmalte causada por una ingesta excesiva de flúor durante la formación de los dientes (es decir, en la infancia, cuando se están formando los dientes permanentes dentro del hueso). Un poco de flúor es beneficioso para prevenir caries, pero demasiado puede alterar el desarrollo del esmalte. Las personas con fluorosis severa tendrán varios dientes con esas manchas oscuras desde que erupcionan. No es que el diente se haya “muerto”, sino que nació ya con ese esmalte manchado y débil. Esta condición suele darse en zonas donde el agua tiene concentraciones muy altas de flúor natural, o en niños que ingirieron suplementos de flúor sin necesitarlos o grandes cantidades de pasta dental con flúor mientras sus dientes se formaban. La fluorosis es otra posible explicación a dientes de color oscuro casi negro, sobre todo si se presenta de forma simétrica en varios dientes. Su manejo es principalmente estético.
- Medicamentos: Algunos medicamentos pueden causar coloraciones intrínsecas en los dientes en formación. El caso clásico es el de los antibióticos tetraciclinas: si una mujer embarazada o un niño pequeño (con dientes aún desarrollándose) toma tetraciclina, este fármaco se incorpora al diente en desarrollo y luego, al erupcionar, esos dientes presentan una coloración gris oscura o marrón que puede ser muy intensa. Los dientes manchados por tetraciclina pueden verse prácticamente negros en casos severos. Otros medicamentos como la minociclina (un antibiótico derivado de la tetraciclina) pueden pigmentar los dientes ya erupcionados en adultos con tratamientos prolongados (por ejemplo, para el acné resistente). Además, determinadas enfermedades metabólicas muy raras o trastornos genéticos del esmalte/dentina (como la amelogénesis imperfecta o dentinogénesis imperfecta en ciertas formas) pueden hacer que los dientes salgan con colores anómalos, incluyendo tonos marrones oscuros.
Diente Negro en Niños 🤷 ¿Por qué pasa? ¿Qué hacer?
¿Cómo saber si un diente negro o manchado indica un problema serio?
El principal signo, por supuesto, es el cambio de color visible. Un diente que pasa de su color blanco natural a un tono marrón grisáceo o negro es motivo de atención.
Signos de alerta:
- Manchas negras puntuales: Pequeños puntos negros o líneas negras en la superficie del diente (a menudo cerca de la encía o en fisuras de muelas). Pueden ser sarro cromógeno o caries incipientes.
- Mancha o área marrón oscura que progresa a negro: Suele indicar una caries en expansión. Al inicio la mancha puede ser café y con el tiempo volverse más negra y eventualmente cavitar (formar un agujero).
- Oscurecimiento general de un diente entero: Cuando todo el diente toma un color opaco grisáceo o negro respecto a los demás, es típico de necrosis pulpar o de un traumatismo antiguo. A veces comienza por el borde del diente y luego abarca toda la corona dental.
- Agujero negro visible en el diente: Indica que la estructura se destruyó (caries avanzada).
- Cambios en la textura o integridad: Un área negra que además se siente hueca o blanda al sondaje es señal de caries.
- Dolor o sensibilidad: Un diente oscuro que además duele con alimentos fríos, calientes o dulces sugiere caries cerca del nervio. Si duele al morder o de forma espontánea intensa, puede haber pulpitis (inflamación del nervio) antes de necrosarse.
- Encía inflamada o fístula: La presencia de una bolita de pus en la encía cerca de ese diente, o inflamación gingival localizada, indica infección (posible absceso dental).
En cualquier caso, un cambio de color notable en un diente es ya un síntoma suficiente para buscar ayuda profesional, haya o no dolor. Muchas personas se confían si no sienten dolor, pero la ausencia de dolor no significa que todo esté bien - por ejemplo, un diente necrótico puede no doler pero estar infectado.
Opciones de Tratamiento para Dientes Oscurecidos
Existen distintas opciones de tratamiento según la causa del diente oscuro. Es esencial consultar con un dentista especializado, quien evaluará el grado de oscurecimiento de los dientes y recomendará el tratamiento más adecuado para tu caso específico.
| Causa | Tratamiento |
|---|---|
| Caries | Eliminación de la caries y restauración del diente. |
| Necrosis Pulpar | Endodoncia. |
| Manchas Extrínsecas | Limpieza dental profesional y blanqueamiento dental. |
| Traumatismo | Endodoncia, carillas dentales, blanqueamiento dental interno. |
| Empastes de Amalgama | Renovación de la restauración. |
| Fluorosis | Carillas. |
| Medicamentos | Blanqueamiento dental profesional, carillas dentales, cementado estético, coronas dentales. |
Tratamientos Comunes
A continuación, se describen algunos de los tratamientos más comunes para dientes oscurecidos:
- Endodoncia: La solución más frecuente es la endodoncia. En casos de decoloración dental asociada a la afectación del nervio, lo más indicado es realizar un tratamiento de endodoncia. Mediante un procedimiento con anestesia local, se retira el nervio de la pulpa y de los conductos radiculares. Recuerda que este diente requerirá más cuidados que una pieza normal para evitar que se fracture. En nuestra clínica, este tipo de casos se trata con la máxima precisión gracias a la endodoncia asistida con microscopio, realizada por el Dr. Finalmente, para devolver el aspecto natural al diente tratado, aplicamos un blanqueamiento interno cuidadosamente diseñado.
- Blanqueamiento Dental: Para casos de decoloración menos severa y donde la integridad del diente no está comprometida, el blanqueamiento dental puede ser una opción viable. El blanqueamiento dental es uno de los tratamientos más populares para dientes oscurecidos. Los dentistas ofrecen procedimientos de blanqueamiento más efectivos que los productos comerciales, ya que utilizan agentes blanqueadores más fuertes y controlados. Si es por una endodoncia previa, el blanqueamiento interno es la mejor solución.
- Carillas Dentales: Las carillas dentales son una excelente opción para dientes severamente oscurecidos. Se trata de finas láminas de porcelana o composite que se colocan sobre la superficie del diente para mejorar su apariencia. Las carillas son muy personalizables y pueden cubrir tanto la decoloración severa como otras imperfecciones, como astilladuras o dientes desalineados. En situaciones donde la decoloración es severa o cuando el diente ha sufrido daños estructurales significativos, podemos optar por instalar carillas.
- Coronas Dentales: En casos más extremos de decoloración y daño dental, el uso de coronas puede ser la mejor opción. Las coronas cubren todo el diente y están hechas de materiales como porcelana o metal recubierto de porcelana. En situaciones donde la decoloración es severa o cuando el diente ha sufrido daños estructurales significativos, podemos optar por instalar coronas.
- Cementado Estético: El cemento dental estético es otra alternativa que los dentistas pueden utilizar para restaurar dientes que se han oscurecido por medicamentos. Este tratamiento consiste en aplicar un material compuesto en el diente que se moldea y se adhiere de manera permanente, dándole al diente un aspecto más blanco y natural.
- Restauraciones Estéticas: Cuando los dientes negros presentan daños estructurales o decoloración intrínseca persistente, las restauraciones estéticas pueden ser una opción adecuada. Las restauraciones pueden incluir carillas dentales, coronas o reconstrucciones dentales que mejoran tanto la apariencia como la función dental.
Combinación de Tratamientos
La endodoncia se suele combinar con otros tratamientos dentales para restaurar completamente la funcionalidad y estética del diente afectado.
- Después de una endodoncia, el diente puede debilitarse debido a la pérdida de estructura dental interna. Por ello, es muy común colocar una funda dental sobre el diente tratado para protegerlo, restaurar su función y mejorar su apariencia.
- Si el diente no ha perdido demasiada estructura, se puede realizar una reconstrucción o empaste dental después de la endodoncia para cerrar y sellar el acceso al conducto radicular.
- En casos donde el diente ha perdido mucha estructura y no es lo suficientemente fuerte como para sostener una corona por sí solo, se puede colocar un poste de fibra de vidrio o metálico dentro del conducto tratado.
- Para dientes que han oscurecido después de un traumatismo o una endodoncia no bien realizada, es común realizar un blanqueamiento dental interno.
- Aunque no se combina directamente, en algunos casos donde la endodoncia no puede salvar el diente o el diente está demasiado dañado, se puede recomendar un implante dental.
- En algunos casos, la endodoncia puede combinarse con tratamientos periodontales para mejorar la salud de las encías alrededor del diente afectado.
Prevención del Oscurecimiento Dental
La buena noticia es que muchas de las causas de dientes negros son prevenibles con hábitos adecuados de higiene oral y cuidado dental.

Consejos para la prevención:
- Higiene bucal rigurosa: Cepíllate los dientes al menos dos veces al día (por la mañana y antes de dormir) usando una pasta de dientes con flúor. El flúor fortalece el esmalte y previene las caries, reduciendo la posibilidad de manchas oscuras por cavidades. Dedica unos 2 minutos a cepillar todas las superficies de los dientes con técnica adecuada. Complementa el cepillado con hilo dental o cepillos interdentales una vez al día para limpiar entre los dientes donde el cepillo no llega (así evitarás placa escondida que forme sarro o caries entre dientes). Si tu dentista te lo recomienda, puedes usar un enjuague bucal antibacterial por las noches para reducir bacterias.
- Alimentación equilibrada y baja en azúcares: La dieta juega un papel fundamental en la salud dental. Limita el consumo frecuente de alimentos y bebidas azucaradas o muy ácidas (golosinas, refrescos, jugos industriales), ya que el azúcar alimenta a las bacterias causantes de caries. Intenta reservar los dulces solo para las comidas principales en vez de picar a cada rato, y cepíllate después de tomarlos. Por otro lado, incorpora a tu dieta abundantes frutas y verduras frescas - su alto contenido en fibra y en vitaminas ayuda a limpiar los dientes y fortalecer las encías. Al masticar alimentos fibrosos (como una manzana, zanahoria, apio) favoreces la autolimpieza mecánica de los dientes. También asegúrate de obtener suficiente calcio mediante lácteos o alternativas fortificadas, ya que fortalece dientes y huesos.
- Evitar el tabaco: Si fumas o masticas tabaco, considera seriamente dejar este hábito. Además de los riesgos enormes para tu salud general (cáncer, problemas pulmonares, cardiovasculares, etc.), el tabaco arruina la salud bucal: no solo mancha los dientes de negro, sino que aumenta el riesgo de enfermedad periodontal (de las encías) y cáncer oral.
- Modera alimentos y bebidas cromógenas: No es necesario evitar por completo tu café o té diario, ni dejar de tomar vino tinto o curry ocasionalmente, pero sé consciente de su efecto en los dientes. Moderar su consumo y tener ciertos cuidados ayuda: por ejemplo, después de tomar café, enjuágate la boca con agua; si bebes refrescos de cola, utiliza una pajita (popote) para minimizar el contacto con los dientes; espera 20-30 minutos y luego cepíllate para remover pigmentos (esperar es importante para no cepillar cuando el esmalte está reblandecido por ácidos).
- Visitas periódicas al dentista: Acude a revisiones dentales regularmente, idealmente cada 6 meses o al menos una vez al año, aunque no sientas molestias. En estas visitas, el dentista puede detectar caries incipientes antes de que se vuelvan manchas negras visibles o causen dolor, y tratarlas a tiempo con un pequeño empaste. También es importante realizar limpiezas dentales profesionales con la frecuencia que tu dentista aconseje (generalmente una o dos veces al año). En la limpieza, eliminarán el sarro y las manchas superficiales, manteniendo tus dientes brillantes y previniendo que el sarro amarillo se convierta en sarro negro subgingival.
- Protección ante traumatismos: Si practicas deportes de contacto o actividades de riesgo de golpes (como boxeo, hockey, artes marciales, patinaje, ciclismo de montaña…), utiliza un protector bucal deportivo. Un golpe fuerte puede matar el diente y oscurecerlo, así que más vale prevenir la lesión usando férulas depor...
- Correcta higiene oral: Es fundamental enseñar a los niños desde temprana edad la importancia de cepillarse los dientes al menos dos veces al día con pasta dental fluorada.
- Limitar el consumo de alimentos azucarados: El consumo excesivo de alimentos y bebidas azucaradas aumenta el riesgo de caries dental, lo que puede conducir a la aparición de dientes negros.
- Visitas regulares al dentista: Las visitas periódicas al dentista son esenciales para detectar y tratar problemas dentales en etapas tempranas. Igualmente es importante educar también a los padres sobre la importancia de la salud bucal infantil y promover buenos hábitos desde temprana edad.
Aunque no te moleste ni sientas dolor, es importante que visites a tu odontólogo para realizar una evaluación. Recuerda que una sonrisa radiante no solo refleja tu bienestar físico, sino también tu confianza y felicidad.
tags: #diente #oscurecido #por #ortodoncia