La rehabilitación de dientes anteriores busca la armonía entre tejidos blandos y duros. Las carillas laminadas de cerámica son una opción de restauración estética duradera para dientes anteriores.

Este procedimiento permite al odontólogo preservar la sustancia dental dura mediante una preparación conservadora.
Éxito Clínico y Planificación
El éxito clínico depende de la planificación adecuada y del conocimiento sobre biología y materiales dentales.
15.3 Cementado de Carillas Cerámicas
Las carillas laminadas de cerámica están indicadas en casos de dientes decolorados, erosionados, malformados y fracturados.
Ventajas de las Carillas de Cerámica
- Extraordinarias ventajas estéticas.
- Biocompatibilidad aceptable.
- Resistencia a la abrasión.
- Translucidez.
- Estabilidad cromática y mecánica.
- Menor acumulación de placa en comparación con dientes naturales.
Uno de los principales argumentos a favor de las carillas cerámicas es su capacidad de ser adheridas al diente.
Adhesión y Preparación Dental
Tras el grabado ácido, el cemento de resina puede penetrar en las cavidades creadas por el grabado con ácido fluorhídrico, desarrollando la fuerza adhesiva necesaria.

La presencia de esmalte dental no es imprescindible para el éxito clínico, pero su conservación incrementa la resistencia de la unión y garantiza una larga supervivencia clínica.
La protección de la masa de esmalte reduce la sensibilidad post-cementado, mejora la estabilidad de la cerámica y reduce problemas endodónticos.
La porción labial eliminada de la capa de esmalte debe prepararse para restablecer el volumen original. La determinación del tamaño dental a restaurar es la base para el grosor correspondiente de la restauración terminada.
Preparación Conservadora vs. Convencional
La preparación conservadora del esmalte presenta una ventaja considerable sobre las formas de preparación convencionales.
El volumen de sustancia dental natural que tallar para una corona metalocerámica es 4.3 veces mayor que para una preparación de carilla cerámica y 2.4 veces mayor que para una preparación de carilla cerámica completa.
Para una preparación de carilla extremadamente respetuosa, es imprescindible un análisis meticuloso de los dientes. La restauración terminada debe presentar un grosor uniforme para garantizar una función libre de estrés.
Materiales Cerámicos: Vítrea de Baja Fusión e Inyección
Las carillas laminadas de cerámica vítrea de baja fusión constituyen una técnica de restauración de eficacia reconocida. Otra variante popularizada es la cerámica de inyección.
La cerámica de inyección requiere la inyección de toda la forma del cuerpo de la restauración, que luego se caracteriza exteriormente con colores para cerámica. Los métodos modernos permiten técnicas de cutback, posibilitando una verdadera estratificación de la restauración.
Las cerámicas convencionales basadas en silicatos han sido reforzadas mediante la adición de disilicato de litio, incrementando significativamente la resistencia. Las carillas laminadas inyectadas con un grosor de entre 0.3 y 0.5 mm constituyen una interesante posibilidad clínica para resultados duraderos con estética natural.
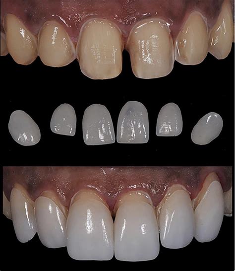
Descripción del Caso Clínico
Un paciente de 23 años buscaba mejorar su sonrisa, modificar la forma y el color de sus dientes.
Método de Evaluación Clínica
- Análisis de las relaciones de oclusión.
- Sondeo del periodonto.
- Documentación fotográfica.
El examen clínico reveló una línea de sonrisa muy elevada con mucha encía visible.

A partir de los datos y fotografías, se elaboró digitalmente una simulación virtual de la restauración terminada (Photoshop CS4, Adobe Systems GmbH, Múnich, Alemania).
Se trazaron dos líneas blancas: una recta a través de la línea media facial y una línea parabólica que delimita la línea labial inferior.
Se trazaron cinco líneas horizontales para obtener puntos de referencia horizontales:
- Línea bipupilar (principal referencia horizontal).
- Línea a través de las cejas.
- Línea a través de los puntos de intersección de la línea de sonrisa del labio inferior con el labio superior.
- Línea basada en el punto más elevado de la encía.
- Línea correspondiente al borde incisal actual de los dientes anteriores del maxilar superior.
La posición ideal de los dientes se decidió sobre la base de las áreas de intersección de todas las líneas, con énfasis en las líneas horizontales.
Planificación del Tratamiento
Tras un análisis minucioso de la estética, en combinación con las tomas de detalle y los modelos de situación preoperatorios, se elaboró un plan de tratamiento y se discutió con el paciente.
En rehabilitaciones más complejas, por ejemplo en un paciente que presente discrepancias anatómicas, será necesaria una planificación más detallada.
Muchos pacientes solicitan una visualización previa digital de la rehabilitación deseada antes de aprobar el tratamiento. Sin embargo, la imagen digital tan sólo permite una visión bidimensional del tratamiento. En caso de dudas sobre la estética, la fonética o la aceptación por el paciente, es preciso confeccionar un mock-up.
El paciente se decidió por una rehabilitación estética que abarcaba:
- Gingivoplastia (para establecer un nuevo recorrido del tejido gingival).
- Restauración con carillas cerámicas de los cuatro dientes anteriores superiores.
- Dos carillas parciales en los caninos.
Se propuso un método de preparación extremadamente respetuoso debido a la preocupación del paciente por la pérdida de material dental.
Alargamiento Estético de las Coronas
Se alargaron quirúrgicamente las coronas de los seis dientes anteriores superiores. A partir de un sondeo del surco se determinó la longitud definitiva de las coronas mientras el paciente estaba anestesiado.
Se establecieron dos puntos: el límite amelocementario (collum dentis) y la altura de la cresta ósea. El biotipo periodontal fue clasificado como grueso y plano. Tras la operación, el nuevo recorrido del límite gingival debía situarse 3 mm por encima del borde óseo del hueso alveolar.
Tras la retirada del tejido blando se abrió un único colgajo y se remodeló la estructura ósea a fin de obtener una nueva anchura biológica.
Encerado Aditivo
Tras una fase de cicatrización de 90 días, se examinó de nuevo el tejido periodontal y se propuso un blanqueamiento que el paciente debía realizar en casa.
Se blanquearon los dientes durante dos semanas con gel de peróxido de hidrógeno al 9.5% (Poladay, SDI, Melbourne, Australia). A fin de obtener un efecto cromático estable, en los 20 días posteriores al blanqueamiento no se llevó a cabo ninguna intervención quirúrgica. Además se tomó una nueva serie de fotografías, las cuales posibilitaron una evaluación de los resultados por parte tanto del paciente como del equipo dental.
Con ayuda de un material de impresión de polivinilsiloxano se tomó la impresión de ambos maxilares, a fin de poder confeccionar sendos modelos de planificación. El material polivinilsiloxano fue seleccionado por su estabilidad y por la posibilidad de confeccionar varios modelos con la misma impresión y con idéntica precisión.
El encerado de estudio aditivo (modelado en cera) requiere un análisis exhaustivo que tenga en cuenta las características dentales, la sonrisa y la edad del paciente, el maxilar opuesto y la estructura gingival.
El encerado de estudio aditivo es confeccionado por el protésico dental. No se llevó a cabo preparación alguna del modelo. Además no se proyectó ningún alargamiento incisal y se utilizó poca acera.
Se llevó a cabo un encerado meticuloso, prestando especial atención al cierre del diastema y al restablecimiento de la superficie morfológica natural en relación con el análisis facial y la función.
Se mostró el encerado al paciente. Una vez que el paciente hubo dado su aprobación, se transfirió el encerado a la boca, a fin de poder evaluarlo clínicamente en cuanto a su forma, tamaño y longitud.
Para la comprobación tridimensional se aplicó la resina de composite directamente sobre los dientes, sin someter éstos a grabado ácido previo. Por si acaso todavía fueran necesarias modificaciones de este mock-up, se documentaron todos los datos con fotografías digitales, y asimismo se confeccionaron y se enviaron al laboratorio nuevos modelos.
No fueron necesarias modificaciones y el paciente estaba de acuerdo con el plan de tratamiento, consistente en la confección de carillas cerámicas de disilicato de litio.
A fin de facilitar la preparación, se confeccionaron tres llaves de silicona: facial, lingual e incisal. La llave incisal, cuyo tercio central fue recortado, se coloca sobre el modelo de cera y se comprueba su ajuste preciso.