Lucir una sonrisa perfecta es el deseo de muchas personas, y afortunadamente, existen diversos tratamientos dentales disponibles para transformar por completo la apariencia dental. A través de tratamientos dentales como carillas, blanqueamientos, ortodoncia invisible e implantes dentales, han logrado transformaciones asombrosas en su aspecto dental. A lo largo de este artículo, exploraremos los distintos tratamientos utilizados por los famosos españoles para mejorar su estética dental.

Ortodoncia invisible: Una alternativa estética
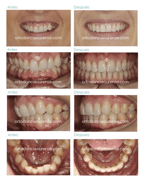
Muchas personas se preguntan cómo es la ortodoncia invisible antes y después del tratamiento. El tratamiento de ortodoncia invisible consiste en la colocación de férulas transparentes, fabricadas a medida, en los dientes del paciente para que, de manera progresiva, se vaya corrigiendo el posicionamiento de los dientes que no están bien alineados.
Ventajas de la ortodoncia invisible
- Estética: Una de las principales ventajas de la ortodoncia invisible Invisalign es la estética que proporcionan sus férulas transparentes en contraposición a los brackets metálicos tradicionales.
- Removibles: Otra ventaja importante es que las férulas son removibles, por tanto, se pueden quitar para comer y beber a diario y también para la higiene bucodental.
- Menos consultas: La ortodoncia invisible Invisalign también permite un menor número de consultas durante el tratamiento, ya que no presenta roces en las mucosas ni en la lengua. El paciente solo tiene que ir a renovar las férulas y a revisión un par de veces al mes.
- Alergias: Aparte de estas ventajas de la ortodoncia invisible, también puede ser la solución perfecta para personas que tienen alergia a los componentes de los brackets metálicos.
Cuidados durante el tratamiento
Es muy importante acudir a las revisiones establecidas por el ortodoncista y cumplir las pautas que indica el profesional, sobre todo el hecho de llevar las férulas puestas durante un mínimo de 22 horas diarias. Tan solo se deben quitar para comer y para la higiene bucodental después de las comidas. Cuando se retiren las férulas, se recomienda cepillar los dientes y enjuagarse antes de volver a ponerlas.
Otro aspecto relacionado con la higiene, tiene que ver con la limpieza de las propias férulas. Una vez al día, antes de colocarlas en la boca, se deben limpiar con un cepillo de cerdas suaves y jabón neutro.

Fase de retención
Cuando el tratamiento Invisalign ha concluido es importante llevar a cabo la llamada fase de retención. Es la mejor manera de evitar que los dientes intenten volver a su posición original y los resultados obtenidos por la ortodoncia se mantengan intactos. El paciente solo tiene que llevar los retenedores durante la noche y el tiempo estipulado por su ortodoncista.
Casos de éxito: Antes y después
En la clínica dental Ferrus & Bratos ponen a tu disposición las fotos de antes y después tras un tratamiento con carillas dentales para que puedas comprobar el cambio que ya disfrutan muchos de sus pacientes.
- María Isabel: Se le propuso un tratamiento combinado de ortodoncia y estética dental. Después de 23 meses de ortodoncia, le aconsejaron realizarse un blanqueamiento dental combinado.
- Agustín: Presentaba un oscurecimiento dental por tetraciclinas. Comenzó con un tratamiento de ortodoncia invisible durante 12 meses y antes de colocarse las carillas de porcelana le realizaron un blanqueamiento dental para garantizar el resultado más óptimo.
- Manuel: Vino con una maloclusión moderada y con el objetivo de corregir todos los aspectos de su sonrisa que no le gustaban. Trazaron un tratamiento completo que combinaba ortodoncia invisble, blanqueamiento y carillas dentales.
- Lucía: Su caso requería una planificación integral, así que planificaron su tratamiento entre varios especialistas. Combinaron ortodoncia, gingivectomía, blanqueamiento y colocación de microcarillas de porcelana.
Si quieres ver más fotos de pacientes antes y después de ponerse carillas dentales, te animamos a consultar su galería de pacientes que se han realizado este tratamiento para lograr una sonrisa altamente estética.
Como Funciona la Ortodoncia Invisible Invisalign
Ortodoncia y cambio facial
La ortodoncia siempre mejora la sonrisa, las proporciones y relaciones entre los dientes y los huesos. Además, los últimos avances en odontología, hacen que hoy en día llevar ortodoncia no sea un inconveniente para la apariencia. Con los tratamientos de ortodoncia realizamos importantes cambios en la belleza de la sonrisa, así como en la armonía facial.
Durante los tratamientos de ortodoncia, es frecuente que observen alguna leve modificación del labio. Los brackets suponen un volumen sobre la superficie externa de los dientes delanteros, hecho por el que el labio superior se puede mostrar algo más carnoso.
Famosos y la estética dental
En el mundo de la fama, los famosos españoles también buscan tener una sonrisa perfecta. Una sonrisa radiante transmite confianza y seguridad, y tiene el poder de cautivar a la audiencia. Además de su impacto visual, la salud dental también juega un papel fundamental en la vida de los famosos. Por todo ello, es comprensible que los famosos españoles se preocupen por tener una sonrisa perfecta.
Penélope Cruz, George Clooney, Paula Echevarría, J Balvin, Miley Cyrus, y otros famosos han optado por mejorar su estética dental, mostrando resultados sorprendentes. Además, el método revolucionario de ortodoncia invisible Invisalign ha sido utilizado por figuras como Mariló Montero, David Broncano, Nuria Roca, el rey Juan Carlos y la reina Máxima de Holanda.
Tipos de tratamientos dentales
Para lograr una sonrisa perfecta, existen una variedad de tratamientos dentales disponibles que pueden transformar por completo la apariencia dental.
- Carillas dentales: Son finas láminas de porcelana o composite que se adhieren a la superficie de los dientes para corregir defectos estéticos como el color, la forma o el tamaño.
- Blanqueamiento dental: Es un procedimiento no invasivo que ayuda a eliminar manchas y decoloraciones en los dientes, devolviéndoles su brillo natural.
- Ortodoncia invisible: Como el método revolucionario de Invisalign, es una alternativa discreta a los tradicionales brackets metálicos. A través de alineadores transparentes y removibles, este tratamiento permite corregir problemas de maloclusión dental, sin afectar la estética durante el proceso.
- Implantes dentales: Son una solución duradera para reemplazar dientes perdidos. Consisten en la colocación de una raíz artificial de titanio en el hueso maxilar, sobre la cual se coloca una corona dental personalizada.

Problemas dentales comunes en niños
Los problemas dentales en los niños pueden afectar no solo su salud bucal, sino también su bienestar general.
- Caries: La caries dental es una de las enfermedades más comunes en la infancia. Se produce cuando los ácidos bacterianos atacan y debilitan el esmalte dental, formando pequeñas cavidades.
- Maloclusión: Se refiere a la mala alineación de los dientes y las mandíbulas. Puede presentarse como una mordida abierta, cruzada o malposición dental. La maloclusión puede afectar la apariencia estética y la función masticatoria de los niños.
- Gingivitis: Es una inflamación de las encías que puede causar enrojecimiento, inflamación y sangrado. La acumulación de placa bacteriana es la principal causa de la gingivitis en los niños.
- Malos hábitos orales: Algunos niños pueden tener hábitos orales perjudiciales, como chuparse el dedo, chuparse el pulgar o empujar la lengua contra los dientes. Estos hábitos pueden provocar malformaciones en el desarrollo de la mandíbula y la posición de los dientes.
Para prevenir los problemas dentales en los niños, es esencial fomentar una buena higiene bucal desde una edad temprana. Esto implica enseñarles a cepillarse los dientes adecuadamente, supervisar sus hábitos de cepillado y enseñarles la importancia de una dieta equilibrada y baja en azúcares.
Consejos para el cuidado dental de famosos
Como famoso, es crucial cuidar de tu salud dental para mantener una sonrisa impecable y radiante.
- Realiza una buena higiene bucal en casa: Cepilla tus dientes al menos dos veces al día con una pasta dental de calidad, utilizando técnicas adecuadas de cepillado.
- Visita regularmente a tu dentista: Programa citas regulares con tu dentista para realizarte limpiezas profesionales y revisiones dentales completas.
- Evita malos hábitos que puedan dañar tus dientes: Evita morder objetos duros, como lápices o hielo, que puedan causar fisuras o fracturas en tus dientes.
- Adopta una alimentación saludable: Consumir una dieta equilibrada, rica en vitaminas y minerales esenciales para la salud dental, puede contribuir a mantener tus dientes y encías en buen estado.
Recuerda que una buena salud dental te ayudará a mantener una sonrisa deslumbrante a lo largo del tiempo.
Opciones de brackets y ortodoncia
Retrocediendo algunas décadas en el tiempo, los aparatos empleados en ortodoncia hacían ver al paciente incómodo, dolorido y con una estética prácticamente nula. Afortunadamente el uso de tecnologías y la constante evolución en la odontología, y especialmente en los aparatos de ortodoncia, permiten que el paciente tenga actualmente una gran variedad de opciones en lo que se refiere a precio, comodidad, estilo.
En estos días, usar brackets no solo es un tema que abarque principalmente al público infantil; si creciste sin haber arreglado tus dientes y ahora dudas en someterte a un tratamiento de ortodoncia, especialmente por la imagen que te dará mientras los portas, ¡no te preocupes!

Tipos de brackets
- Brackets linguales: Van ocultos en la parte interna de los dientes.
- Invisalign: Consiste en colocar alineadores que se pueden poner y quitar y que están hechos a tu medida. Son totalmente invisibles.
- Brackets metálicos: Te permiten llevar ligas de colores y son los más recomendados en las maloclusiones más complicadas.
- Brackets Damon: Son más sobrios y evitan las ligas pues son autoajustables.
- Brackets estéticos: Requieren cuidados en su limpieza y preservación para evitar que manchen o se rompan.
Recuerda que la salud de tus dientes es primordial y debes prestarle toda la atención debida.
Factores que influyen en el costo de la ortodoncia
Muchos pacientes están ansiosos por saber cuánto cuesta el tratamiento de ortodoncia y qué factores influyen en el precio final.
- Tipo de aparatología: Los distintos tipos de aparatos utilizados en el tratamiento ortodóntico pueden tener un impacto significativo en el costo total.
- Duración del tratamiento: La complejidad de la maloclusión, es decir, el grado de desalineación dental, puede influir en el tiempo necesario para corregirlo.
- Experiencia y formación del profesional: La capacitación y experiencia del ortodoncista también pueden afectar el presupuesto final.
- Estudio inicial: Antes de iniciar cualquier tratamiento, se realiza un estudio inicial en el que se toman radiografías y se realizan mediciones del paciente. Estas pruebas iniciales son necesarias para evaluar la condición dental y diseñar un plan de tratamiento adecuado.
- Retenedores: Después de finalizado el tratamiento ortodóntico, es necesario utilizar retenedores para mantener los resultados obtenidos.
El precio aproximado de la ortodoncia invisible incluye generalmente un juego inicial de 20 alineadores y la posibilidad de realizar hasta diez refinamientos adicionales. En España, el costo de la ortodoncia invisible generalmente comienza alrededor de los 2.400 euros.
Ortodoncia infantil
El tratamiento de ortodoncia para niños ofrece una amplia gama de opciones en forma de aparatos interceptivos, que están diseñados para corregir diversas anomalías en los huesos de la mandíbula superior e inferior. Es fundamental aclarar que el tratamiento de ortodoncia infantil, conocido como ortodoncia y ortopedia interceptiva, está dirigido a pacientes entre seis y trece años. En esta etapa, los huesos faciales se encuentran en una fase crucial de crecimiento, lo que permite influir en su desarrollo y prevenir grandes desalineaciones en la edad adulta.
Brackets linguales: Ventajas y desventajas
Los brackets linguales, también conocidos como brackets invisibles, son un tipo único de aparato de ortodoncia que los diferencia de los demás. Una de las principales ventajas de los brackets linguales es su atractivo estético. Debido a que están ocultos detrás de los dientes, ofrecen una opción de tratamiento de ortodoncia discreta para personas que pueden estar preocupadas por la apariencia de los frenillos.
Sin embargo, es importante tener en cuenta que los brackets linguales tienen algunas desventajas. En primer lugar, suelen ser más caros en comparación con otros tratamientos de ortodoncia. Además, debido a su ubicación única, los brackets linguales pueden resultar más incómodos en comparación con otros tipos de brackets. La lengua puede entrar en contacto con los brackets, lo que puede provocar dolor o irritación de la lengua. Otro inconveniente de los brackets linguales es que el proceso de tratamiento puede requerir visitas más largas y frecuentes al ortodoncista para realizar ajustes.
Tipos de aparatos de ortodoncia
El coste del tratamiento de ortodoncia depende principalmente del tipo de aparato elegido.
- Brackets tradicionales: Consisten en brackets de metal o cerámica adheridos a los dientes, conectados por alambre que mueve gradualmente los dientes hacia la alineación adecuada.
- Alineadores transparentes: Estas bandejas transparentes y removibles están hechas a medida para caber sobre los dientes y moverlos gradualmente a la posición deseada. Los alineadores transparentes ofrecen una opción más discreta en comparación con los brackets tradicionales.
- Brackets linguales: Son similares a los tradicionales, pero se colocan en la parte posterior de los dientes, lo que los hace prácticamente invisibles desde el frente.
- Aparatos de autoligado: Utilizan un mecanismo deslizante en lugar de bandas elásticas para mantener el alambre en su lugar. Esto permite un movimiento dental más cómodo y eficiente.
- Brackets de cerámica: Tienen brackets transparentes o del color de los dientes que combinan con el color natural de los dientes.
Es importante señalar que el costo total del tratamiento de ortodoncia incluye consultas iniciales, radiografías, ajustes periódicos, retenedores y seguimientos posteriores al tratamiento. Para determinar el coste exacto y la opción de tratamiento más adecuada para tu caso concreto, es imprescindible consultar con un ortodoncista que pueda evaluar tus necesidades y darte un presupuesto preciso.
La importancia de los retenedores
Asistir a revisiones de ortodoncia incluso después de haber retirado los brackets es crucial para mantener los resultados del tratamiento de ortodoncia. Es importante seguir las indicaciones del ortodoncista y utilizar retenedores durante el tiempo recomendado. No hacerlo puede provocar movimientos dentales innecesarios que potencialmente podrían socavar el éxito del tratamiento. Desafortunadamente, muchas personas que han recibido tratamiento de ortodoncia anteriormente pero que no usaron retenedores adecuadamente terminan con dientes que se han desplazado, lo que requiere tratamiento de ortodoncia adicional.
Para garantizar la eficacia y la longevidad de sus retenedores removibles, es importante reemplazarlos rápidamente cuando se note un desgaste significativo. Un indicador de que puede ser el momento de adquirir nuevos retenedores es la presencia de pequeños orificios en la zona de los molares.
Retenedores removibles: ¿Se puede comer con ellos?
Sí, puedes comer con retenedores removibles, pero generalmente no es recomendable. Comer con retenedores removibles puede resultar antihigiénico e incómodo. También puede aumentar la probabilidad de que los retenedores se rompan o pierdan su transparencia. Lo único que se puede consumir con retenedores removibles es agua.
Limpieza de retenedores
Si tienes retenedores fijos, recuerda que no se pueden extraer para limpiarlos. Para mantenerlos limpios, es importante cepillar tus dientes de manera adecuada, prestando especial atención a la zona donde está colocado el alambre. Esto ayudará a remover la placa bacteriana y el sarro que tienden a acumularse alrededor de la barra del retenedor. También es importante asistir a las citas de higiene bucodental en la clínica dental.
En cuanto a los retenedores removibles, su limpieza es bastante sencilla. Después de usarlos durante la noche, lávalos con agua tibia y jabón neutro todas las mañanas. Para una limpieza más profunda, se recomienda sumergir los retenedores en un vaso con agua y una pastilla efervescente específica para limpiar prótesis dentales una vez a la semana.
¿Causan dolor los retenedores?
Los retenedores dentales no suelen causar dolor ni molestias significativas. Tanto los retenedores fijos como los removibles están diseñados de manera que no interfieran ni causen molestias en las actividades diarias del paciente, como hablar o comer. Los retenedores fijos consisten en un alambre delgado que generalmente se coloca en la parte posterior de los dientes, y debido a su diseño, no deberían causar dolor cuando están correctamente ajustados.
En cuanto a los retenedores removibles, como los retenedores Essix o la placa Hawley, no aplican fuerza en los dientes, sino que simplemente cumplen con la función de contener la posición dental alcanzada mediante un tratamiento de ortodoncia.
¿Con qué frecuencia se deben cambiar los retenedores?
Para determinar la frecuencia con la que se deben cambiar los retenedores, es fundamental tener en cuenta que estos deben ser revisados periódicamente, generalmente entre una y dos veces al año. En el caso de los retenedores removibles, es importante considerar que, al ser usados todas las noches, están sujetos a cierto desgaste. Este desgaste puede ser más evidente en personas que suf...