Si tienes que ir al dentista para reconstruirte o reemplazar un diente dañado, seguramente tu dentista te aconsejará la colocación de una corona dental. Entre los diferentes tipos de coronas que hay en este artículo te recomendamos las coronas dentales sin metal, compuestas de materiales cerámicos que dan la apariencia de un diente natural. Como todas las coronas, son un tipo de prótesis dental que se usa para reemplazar una pieza dental faltante o bien para restaurar un diente roto o con cierto desgaste.
Las coronas sin metal son coronas que no llevan ninguna estructura metálica en sus materiales, así se logra un efecto de color y translucidez muy similar al diente natural. Este tipo de coronas libres de metal tienen muchas ventajas como resultados más naturales que en ocasiones se las confunde con dientes naturales.

A la hora de elegir el tipo de corona dental más adecuado para cada paciente, hay varios factores a tener en cuenta. Cada tipo de corona tiene características específicas que pueden hacerla más o menos adecuada dependiendo de las necesidades individuales del paciente.
Factores a considerar al elegir una corona dental
Al elegir una corona dental, es crucial considerar varios factores para asegurar que la opción seleccionada se adapte perfectamente a tus necesidades y expectativas. Estos factores incluyen:
- Ubicación del diente afectado: La ubicación del diente afectado es uno de los factores más importantes a considerar al elegir el tipo de corona. Los dientes posteriores, como los molares y premolares, requieren coronas que sean fuertes y resistentes debido a la gran cantidad de presión que se ejerce al masticar. Por otro lado, los dientes visibles, como los incisivos y caninos, requieren coronas que sean estéticamente agradables, ya que estarán a la vista al hablar o sonreír.
- Durabilidad: La durabilidad es otro factor clave a considerar. Si el diente afectado es uno que experimenta mucha presión masticatoria, como un molar, necesitarás una corona que sea capaz de resistir el desgaste a largo plazo.
- Estética: Para muchos pacientes, la estética es un factor crucial en la elección de una corona dental. Si estás buscando una restauración que se vea completamente natural, las coronas de porcelana pura o las coronas de zirconio son las mejores opciones. En cambio, si la estética no es tan importante y la restauración será colocada en un diente posterior que no será visible, las coronas de metal o metal-porcelana pueden ser una opción más práctica y económica.
- Costo: El costo es otro factor determinante al elegir el tipo de corona. Las coronas de porcelana pura y zirconio suelen ser las opciones más caras debido a la tecnología avanzada utilizada para su fabricación y sus excelentes propiedades estéticas y funcionales.
- Tiempo de colocación: El tiempo que tarda en colocarse una corona también es un factor a tener en cuenta. Algunas coronas, como las de porcelana pura o zirconio, requieren más tiempo para ser fabricadas y personalizadas, ya que deben ajustarse perfectamente a la anatomía de tu diente.
- Biocompatibilidad: La biocompatibilidad es otro factor importante a considerar, especialmente si tienes una sensibilidad conocida a ciertos materiales. Las coronas de metal-porcelana también son biocompatibles, pero algunas personas pueden experimentar reacciones alérgicas a los metales, especialmente si contienen níquel o cobalto.
🤔¿TAPADURA DENTAL, INCRUSTACIÓN o CORONA?❓❓ - Cuando y CÓMO elegir la correcta
Tipos de Coronas Dentales Libres de Metal
Hay varios tipos de coronas dentales libres de metal que actualmente son las más empleadas en los tratamientos de prótesis fijas en las clínicas dentales.
Coronas de Zirconio-Cerámica
Son coronas realizadas con estos dos materiales. La parte interna está hecha de material zirconio, sin embargo, la parte externa está realizada en cerámica. La combinación de estos materiales ofrece una gran resistencia y durabilidad y un impecable resultado estético.
Coronas de Zirconio Monolítico
Estas coronas están elaboradas íntegramente en una sola pieza con zirconio pulido. El zirconio, también denominado circonio o zirconia, es un metal que aparece en la naturaleza en su forma cristalina en el mineral Zircón y que pertenece al grupo de los metales transitorios. En odontología se le considera un material cerámico.
Coronas de Disilicato de Litio (e.max)
Estas coronas están elaboradas de un material cerámico de alta resistencia, producido a partir de un proceso de cristalización del vidrio a través de calor.

Ventajas de las Coronas Dentales sin Metal
- Biocompatibilidad: Estas coronas sin metal no provocan alergias o hipersensibilidades por lo que tienen una alta compatibilidad con los tejidos de la boca.
- Menos invasivas: Las coronas sin metal requieren menos preparación dental y son mínimamente invasivos.
- Higiene: Las coronas de porcelana para dientes, al tener una mejor adaptación a los tejidos de la encía y el diente, tienen una mayor facilidad para mantener la higiene y el buen estado de la corona a largo plazo, algo muy importante al tratarse de prótesis fijas.
Proceso de Implantación de Coronas Dentales
Hay diferentes formas de implantes de coronas, algunos de ellos incluyen cirugía y otros casos no. En primer lugar, el especialista debe realizar una evaluación del estado del diente afectado del paciente para poder dar un diagnóstico. En caso de que el paciente requiera de la colocación de coronas dentales se realiza un escáner maxilar para analizar su estado más en detalle.
A partir de estos datos obtenidos del escáner dental, se realiza una planificación virtual de cómo proceder con la implantación de las coronas dentales.
Porcelana vs. Zirconio: ¿Cuál elegir?
Lo cierto es que cada corona de porcelana o zirconio se utilizan en función del diente que van a reconstruir. Esto es debido a que las coronas de porcelana con menos resistentes, por lo que no se suelen utilizar para los dientes molares más encargados de la masticación, en cambio se aplican estas coronas de cerámica para dientes anteriores o frontales con un fin meramente estético.
¿Corona o Funda Dental?
Es frecuente confundir fundas y coronas dentales, en realidad es exactamente lo mismo.

Duración y Cuidados de las Coronas Dentales sin Metal
Las coronas dentales sin metal son muy resistentes y poseen una larga vida útil, alrededor de 10 años, pero su duración dependerá siempre de que se les dé un cuidado apropiado. Es aconsejable tener hábitos de higiene regulares, como realizar un buen cepillado dental tras cada comida, complementado con el uso de hilo dental y un buen enjuague bucal. Además, es aconsejable evitar morder alimentos muy duros que puedan poner en riesgo las prótesis.
¿Cuándo se necesita una corona dental?
- La pérdida total de un diente: si a una persona se le cae un diente -debido a una caries muy agresiva o a una periodontitis avanzada-, lo más aconsejable es reponerlo con un implante y una corona.
- El debilitamiento de una pieza dental: si una persona sufre un daño en uno de sus dientes debido a una caries o una rotura, entre otros, puede requerir la colocación de una corona. Esto se debe a que el daño sufrido por la pieza dental puede conllevar un debilitamiento paulatino y, con ello, la pérdida del diente.
Corona dental vs. Implante dental
Esta es una duda común que escucho de mis pacientes, así que permíteme aclararla brevemente. Una corona dental (ya sea de zirconio u otro material) es una cobertura que colocamos sobre un diente natural que aún tienes, cuando ese diente lo requiere por las razones antes mencionadas. En cambio, un implante dental es un sustituto artificial de la raíz cuando ya no hay diente (porque se perdió o fue extraído). Sobre ese implante, para completar el trabajo, se coloca igualmente una corona. Es decir, a veces trabajan en conjunto: primero va el implante (en el hueso) y luego encima va una corona (que suele ser de porcelana o zirconio) para restaurar la parte visible.
Ventajas y Desventajas de las Coronas de Zirconio
Como odontólogo, he trabajado con distintos tipos de materiales para coronas a lo largo de los años.
Ventajas
- Estética muy natural: El zirconio es un material blanco y translúcido que imita muy bien al esmalte dental. La corona de zirconio refleja la luz de forma similar a un diente real, logrando que pase desapercibida. En personas exigentes con la estética, esta es una gran ventaja.
- Alta resistencia y durabilidad: Una corona de zirconio es extremadamente resistente a la fractura y al desgaste. Puede soportar la fuerza de la masticación diaria incluso en las muelas (dientes posteriores) que reciben más presión. Por eso, combinan lo mejor de dos mundos: son tan fuertes como las coronas metálicas tradicionales pero tan estéticas como las de porcelana.
- Biocompatibilidad: El zirconio es un material biocompatible, lo que significa que es bien tolerado por el organismo. No es metal en el sentido tradicional (es una cerámica especial), por lo que no provoca alergias ni reacciones adversas en personas sensibles a metales.
- Versatilidad de uso: Podemos utilizar coronas de zirconio en casi cualquier situación: desde restaurar un premolar o molar muy destruido, hasta reemplazar un incisivo central en la zona estética, o sobre un implante dental. En todos estos casos, el zirconio cumple con la función y la apariencia requerida.
Desventajas
- Precio más elevado: El principal “pero” de las coronas de zirconio suele ser su costo, que es mayor en comparación con otros materiales más convencionales. El zirconio en sí mismo y el proceso de fabricación (mecanizado por CAD/CAM, etc.) encarecen el producto final. Por eso, algunos pacientes dudan debido al precio.
- Requiere equipamiento y técnica especializada: Desde el punto de vista profesional, trabajar con zirconio implica contar con laboratorios o sistemas de fresado modernos y técnicos protésicos especializados. Para ti como paciente esto no es un “contra” directo, pero sí significa que debes buscar una clínica de confianza que tenga experiencia colocando coronas de zirconio.
- Ligeramente menos translúcida que la porcelana pura: Aunque las coronas de zirconio actuales tienen muy buena estética, te seré sincero: las coronas 100% de porcelana (por ejemplo, de disilicato de litio tipo e.max) pueden ofrecer un nivel de translucidez incluso más natural en ciertos casos, especialmente en dientes delanteros muy exigentes. La diferencia es sutil, un ojo no entrenado ni lo nota, pero yo como dentista lo menciono. Sin embargo, esas coronas de porcelana pura son más frágiles; por eso muchas veces preferimos el zirconio, sacrificando un poquito de translucidez a cambio de mucha más resistencia.
En general, las ventajas del zirconio superan con creces sus desventajas cuando se indica apropiadamente. Por eso suelo recomendarlo mucho.
Precio de las Coronas de Zirconio en España
En España, una corona de zirconio suele costar aproximadamente entre 300 y 600 euros por diente. En mi experiencia, la mayoría de pacientes entran dentro de este rango por corona de zirconio en clínicas privadas. Este rango depende de muchos factores (materiales, técnicas, ciudad, etc., que ahora detallaremos).
Este precio suele incluir todo el proceso de la corona: prepararla, tomar medidas, la fabricación en laboratorio y la cementación final, incluso la corona provisional de resina que se coloca mientras se hace la definitiva.
Factores que influyen en el precio:
- Complejidad del caso y tratamientos previos: Antes de colocar la corona, a veces el diente requiere otros procedimientos. Si el diente está muy destruido, puede que necesite una reconstrucción con perno o un refuerzo interno; si el nervio está dañado, habrá que hacer una endodoncia previa; si directamente no hay diente y vamos a colocar un implante, eso es un procedimiento aparte. Cada paso adicional (cirugías, endodoncia, postes, etc.) tiene su coste independiente de la corona en sí.
- Material exacto y tecnología utilizada: Dentro de las coronas de zirconio, existen variaciones. Puede ser zirconio monolítico (tallado de un bloque sólido, muy resistente) o zirconio con recubrimiento de porcelana encima (para dar un extra de estética en frontales). También hay distintas marcas y calidades de zirconio dental. Esto puede hacer variar un poco el precio de laboratorio. Asimismo, si la clínica cuenta con tecnología CAD/CAM para diseñar y fresar la corona en el día, puede repercutir en el coste (aunque a veces se compensa porque ahorras visitas).
- Ubicación geográfica y prestigio de la clínica: El precio de los tratamientos odontológicos puede cambiar según la ciudad o región. En grandes ciudades como Madrid o Barcelona, los honorarios suelen ser un poco más altos que en localidades pequeñas, debido a costes operativos mayores. También influye el prestigio y experiencia del profesional o la clínica: un especialista muy reconocido o una clínica de mucha trayectoria a veces tienen tarifas algo más elevadas (aunque a cambio ofrecen gran calidad, tecnología puntera y garantías).
- Seguros dentales o convenios: ¿Tienes un seguro dental privado? Esto puede marcar la diferencia en el precio final que pagues. Algunos seguros dentales en España cubren parcialmente el coste de las coronas o tienen tarifas especiales concertadas con clínicas asociadas.
- Número de piezas a tratar y promociones: A veces, las clínicas ofrecen algún descuento si necesitas varias coronas de golpe, o paquetes cerrados si formas parte de algún plan dental. No es que el precio por unidad baje drásticamente, pero es posible obtener facilidades de pago.
Comparativa con otros tipos de coronas
En el mercado existen diferentes tipos de coronas según su material de fabricación. Cada una tiene sus indicaciones, ventajas y rangos de precio.
| Tipo de Corona | Ventajas | Desventajas | Precio Aproximado (€) |
|---|---|---|---|
| Metal-Porcelana | Muy resistentes, económicas | Estética comprometida, borde gris posible | 250 - 450 |
| Porcelana Pura | Mejor estética posible | Más frágiles | 350 - 650 |
| Metálica | Muy duraderas | Estética nula | 100 - 1000+ (dependiendo del metal) |
| Resina o Acrílica | Muy económicas, rápidas de fabricar | Poca resistencia, se desgastan fácilmente | 30 - 50 |
| Zirconio | Alta resistencia, buena estética, biocompatibles | Precio más elevado | 300 - 600 |
Otros tipos de coronas
- Corona de metal-porcelana (porcelana fundida sobre metal): Es la corona tradicional de toda la vida. Tiene un casco interno metálico (aleación de metales, puede ser cromo-níquel, paladio, etc.) y va recubierto externamente de porcelana del color del diente. Han sido las más utilizadas durante décadas. Ventaja: son muy resistentes y algo más económicas que las de zirconio. Desventaja: la presencia del metal puede comprometer la estética en la zona frontal (por opacidad o por el borde gris que mencionamos si la encía se retrae). Su precio suele rondar entre 250 y 450 € por diente en España.
- Corona de porcelana pura (cerámica tradicional o disilicato de litio): Aquí no hay metal; toda la corona está hecha de porcelana dental de alta estética. Por ejemplo, un tipo es el disilicato de litio (E.max), muy famoso por su aspecto natural. Ventaja: ofrece la mejor estética posible, con una translucidez que imita perfectamente al esmalte. Es ideal para dientes anteriores (incisivos, colmillos) cuando queremos máxima belleza. Desventaja: son más frágiles comparadas con zirconio o metal-porcelana, por eso no se suelen poner en muelas donde la fuerza es alta (riesgo de fractura).
- Corona metálica (totalmente de metal): Son coronas hechas completamente de metal. Pueden ser de metales no preciosos (por ejemplo, acero, cromo-cobalto) o de metal precioso (oro o aleación alta en oro). Antiguamente, las de oro se consideraban el “estándar” para muelas por su magnífica durabilidad. Ventaja: la corona metálica (especialmente la de oro) es sumamente duradera, aguanta décadas y desgasta menos el diente opuesto al morder. Desventaja: estética nula, obviamente se ve dorada o plateada, por lo que hoy casi ningún paciente la quiere a la vista. Actualmente se usan muy poco; a veces en segundas muelas muy posteriores o en casos especiales. El precio varía: si es un metal básico no noble, es la opción más barata (puede costar entre 100 y 150 €), pero si es de oro, irónicamente es la más cara de todas (por el coste del oro, fácilmente 700-1000 € o más según la cantidad de oro).
- Corona de resina o acrílica (provisional): Técnicamente no es una corona para uso prolongado, sino temporal. Se confecciona con resina compuesta o acrílico. Ventaja: su coste es muy bajo (unos 30-50 €, a veces ya incluido en el tratamiento) y se puede fabricar rápidamente, incluso en la clínica en una sola sesión. Desventaja: la resina es un material poco resistente y se desgasta o fractura en pocos meses, además de pigmentar con el tiempo. Por eso no se usan como coronas definitivas salvo en situaciones muy puntuales. Su papel principal es servir de corona provisional mientras se fabrica la corona definitiva de mejor material (zirconio, porcelana, etc.).
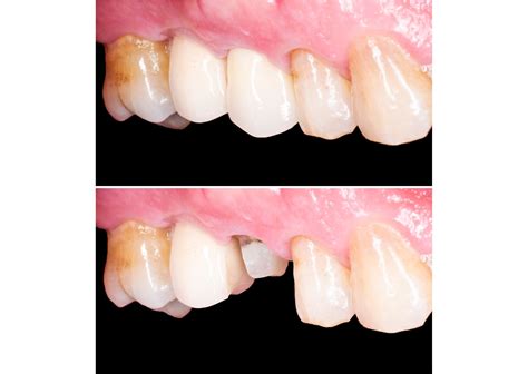
¿Cómo se coloca una corona de zirconio?
Colocar una corona suele requerir dos visitas principales a la clínica (a veces tres, dependiendo de ajustes, o una sola si la clínica dispone de sistemas de coronas en el día).
- Primera visita - Preparación del diente: Lo primero es asegurarnos de que el diente esté limpio de caries o infecciones. Si necesitaba una endodoncia, se hace antes o durante esta fase. Después, te aplico anestesia local en la zona (¡tranquilo, no sentirás dolor durante el procedimiento!) y procedo a tallar el diente. Tallar significa reducir un poco su tamaño y darle forma cilíndrica, eliminando la parte dañada, para hacer espacio a la corona. Tomo mucha precisión en este paso: el objetivo es dejar un “muñón” de diente de cierta forma, sobre el cual encajará la futura corona de zirconio como un guante. Si el diente estuviera muy destruido.