Cada vez se hacen más populares las carillas dentales, pero… ¿realmente conoces en qué consisten? La intención de una carilla dental es mejorar la estructura e imagen externa de los dientes, transformando la apariencia hasta obtener una sonrisa perfecta. Una carilla es un recubrimiento estético que tiene su propia textura, firmeza y color. Se fabrica tomando de referencia la tonalidad del resto de piezas dentales, por lo que se integra perfectamente en la sonrisa.

La colocación de carillas dentales representa una excelente solución para disimular pequeñas imperfecciones en los dientes. No obstante, es un tratamiento que sigue generando diferentes dudas entre los pacientes. Con este post queremos ayudarte a resolverlas, así que, si estás interesado en este tema, ¡sigue leyendo!
Tipos de Carillas Dentales
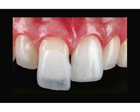
Como ya te hemos contado en otras ocasiones, las carillas dentales son unas finas láminas que se colocan en la parte visible del diente con la finalidad de disimular pequeños defectos estéticos relativos al tamaño, forma, color y posición de los dientes. En función del material del que estén hechas, se pueden distinguir dos tipos:
- Carillas de composite: se trata de una resina sintética que el especialista va colocando y moldeando sobre el diente hasta conseguir el resultado deseado. Sirve para solventar imperfecciones estéticas leves.
- Carillas de porcelana: la porcelana es un material más resistente que el composite y por ello este tipo de tratamiento está indicado para corregir problemas estéticos más graves. También, a diferencia de las carillas de composite, las de porcelana se elaboran en el laboratorio.
¿Qué problemas resuelven las carillas dentales?
Algunos de los problemas que resuelven las carillas dentales son:
- Dientes demasiado pequeños.
- Manchas dentales.
- Roturas, fisuras o traumatismos dentales.
- Problemas de oscurecimiento o amarillamiento dental.
- Desgastes dentales.
- Diastemas.
Gracias a las carillas, se consigue una sonrisa uniforme y homogénea, así como una mejoraría de la confianza en sí mismo del paciente, quien puede sonreír sin tener que preocuparse por nada.

¿Qué tipo de carillas dentales es mejor para ti: porcelana o composite? - Clínica Ruiz de Gopegui
¿Cuáles son sus inconvenientes?
Sin embargo, ¿cuáles son los inconvenientes que presentan las carillas dentales? Esta es una de las preguntas que más nos hacen los pacientes. Nosotros siempre les explicamos que todo depende del tipo de tratamiento llevado a cabo.
Por ejemplo, en el caso de las carillas de composite una desventaja es que su durabilidad es menor que las de porcelana, por lo que requieren antes una renovación. Igualmente, tienden a oscurecerse o a perder el brillo más rápido.
En cuanto a los inconvenientes de las de porcelana, por un lado, el tratamiento es irreversible, es decir, generalmente es necesario hacer un tallado del diente para poder adherirlas. Por otro, el precio de las carillas de porcelana es ligeramente más elevado que el de las de composite, un tema que puede ser un problema para algunas personas.
¿Se pueden quitar las carillas sin dañar el diente?
Por lo tanto, para saber si se pueden quitar las carillas sin dañar el diente, debes saber que depende de cada caso, así como del material empleado. Generalmente, para la colocación de carillas de composite no es necesario tallar el diente, pero para las de porcelana, sí. De todas formas, cualquier tallado se repara con la colocación de la carilla.
Las carillas dentales no producen ningún dolor, solo puede experimentarse una presión por el movimiento de las herramientas o alguna molestia en las encías, pero desaparece en segundos y no ocasiona verdadero malestar. No es una sustancia o tónico que tiña los dientes, por lo que no afecta a su color.
La duración de las carillas dentales dependerá directamente del material que elijas. Si apuestas por las carillas dentales de composite pueden mantenerse toda tu vida. Si tienes hábitos de apretar los dientes también debes eliminarlo, porque pudiesen romperse.
Aunque existen otros tratamientos estéticos, las carillas dentales permiten a aquellos pacientes con manchas, fracturas o dientes separados disfrutar de una sonrisa armónica y natural a través de un procedimiento sencillo.
Casos de éxito
Para ilustrar mejor los resultados que se pueden obtener con carillas dentales, veamos algunos casos:
- María Isabel: Se sometió a un tratamiento combinado de ortodoncia y estética dental. Tras 23 meses de ortodoncia invisible, se realizó un blanqueamiento dental combinado antes de colocar las carillas de porcelana.
- Agustín: Presentaba un oscurecimiento dental por tetraciclinas. Se le realizó un tratamiento de ortodoncia invisible durante 12 meses y un blanqueamiento dental antes de colocar las carillas de porcelana.
- Manuel: Se realizó un tratamiento completo que combinaba ortodoncia invisible, blanqueamiento y carillas dentales para corregir una maloclusión moderada y otros aspectos de su sonrisa.
- Lucía: Requirió una planificación integral que combinó ortodoncia, gingivectomía, blanqueamiento y colocación de microcarillas de porcelana.
Estos casos demuestran que, en muchas ocasiones, es necesario un enfoque multidisciplinario para lograr los mejores resultados estéticos y funcionales.