¿A quién no le gusta tener una sonrisa sana y visualmente atractiva? Y es que, para muchos, por diversas circunstancias es posible que estos adquieran un color grisáceo poco o nada deseable.

¿Por qué se ponen los dientes grises? Principales causas
La primera pregunta que responderemos es por qué se ponen grises los dientes. Y lo cierto es que no hay una única respuesta para ello, pues son varias las causas que están detrás de ese síntoma. Por ello, para tener claridad sobre qué es lo que está provocando la aparición de manchas grises en los dientes, te recomendamos acudir a un especialista en estética dental.
El color gris de los dientes es una preocupación común que puede afectar la confianza y la salud bucodental de muchas personas. En este artículo, exploraremos las causas principales de esta decoloración dental, sus consecuencias, y las soluciones disponibles para recuperar una sonrisa brillante y saludable.
Diente gris por golpe o traumatismos
Una de las razones por las que vemos dientes de color gris, es debido a un golpe o traumatismo dental. En este sentido, cuando un diente sufre un impacto, puede producirse un corte en el suministro sanguíneo, lo que eventualmente lleva a que el diente se oscurezca. Por otro lado, este cambio de color puede no ser inmediato y desarrollarse a lo largo de meses o incluso años tras el incidente.
Una fractura o un golpe fuerte en el diente puede provocar cambios en la coloración de la pieza afectada. Estas pueden adquirir una tonalidad rosada, amarillenta, marrón grisáceo o incluso negra. La causa de este cambio de coloración se debe, generalmente, a una hemorragia en el interior del diente o, en los casos más graves, una necrosis pulpar, la muerte total o parcial del nervio. No hay que esperar a observar un cambio en la coloración de los dientes para acudir al odontopediatra. Ante un traumatismo o golpe fuerte en la boca, hay que valorar la gravedad de la lesión. El objetivo es la preservación del diente de leche, siempre que sea posible, y prevenir procesos infecciosos.
Diente gris por endodoncia
Los tratamientos de endodoncia, aunque son procedimientos que salvan el diente, pueden ser otra causa de los dientes grises. Y es que los medicamentos y materiales utilizados en estos tratamientos pueden alterar el color natural del diente, dejándolo con una tonalidad grisácea o incluso marrón.
Envejecimiento
El proceso natural de envejecimiento también puede afectar el color de nuestros dientes. Con el paso del tiempo, el esmalte dental se desgasta, exponiendo la dentina, que es naturalmente más amarilla o marrón. Esto, finalmente, puede ocasionar la aparición de manchas grises en el diente.
Restauraciones dentales
Las restauraciones con ciertos materiales, como amalgamas de plata o coronas de metal, pueden ser otra de las causas de dientes grises. Normalmente, estos procedimientos, pueden provocar un cambio de color en los dientes circundantes, o en el mismo diente restaurado, debido a la filtración de estos materiales hacia el interior del diente.
Caries dental
Si seguimos analizando por qué se ponen los dientes grises, debemos hablar de las caries, que son una de las principales razones por las que el diente cambia de color. Es más, a medida que la caries avanza, puede afectar profundamente el diente y alterar su color, llevando a manchas grises en el diente afectado.
Las caries pueden ser un síntoma de caries infantil incipiente. Por este motivo, hay que acudir al odontopediatra en el momento en que se observe cualquier mancha o molestia en el niño. Estas caries suelen manifestarse como ligeras coloraciones, y localizadas en el área del diente más próxima a la zona de la encía. Sin embargo, si no se tratan y se dejan evolucionar, la caries puede progresar y las manchas se oscurecen y pueden adquirir un color marrón o negro.
Dientes grises por tetraciclina
Por último, es importante mencionar la tetraciclina. Se trata de un antibiótico que puede ocasionar la aparición de dientes con manchas grises. Lo que ocurre es que cuando es administrado durante la infancia o el embarazo, puede incorporarse en el desarrollo dental y causar una decoloración permanente de los dientes.
Al hablar de medicamentos, el principal fármaco que suele provocar este efecto adverso es la tetraciclina. Las manchas suelen aparecer cuando la madre toma este antibiótico durante el embarazo o el periodo de lactancia. En ese sentido, los dientes pueden teñirse desde los seis meses de gestación hasta los doce años, por lo que puede afectar tanto a los dientes de leche como a los permanentes. Generalmente se trata de manchas amarillas, marrones o grises que pueden ir acompañadas de bandas o líneas.
Otras causas
- Hipoplasia: En ocasiones, existe un déficit de mineralización del esmalte Como consecuencia, pueden aparecer machas blancas o marrones en los dientes, grietas o grandes desgastes.
- Hiperbilirrubinemia: Cuando la madre y el bebé tienen diferentes tipos sanguíneos, la bilirrubina se deposita en los dientes primarios en desarrollo, los cuales adquieren una tonalidad verde o marrón café.
- Enfermedades: Patologías como la atresia biliar pueden provocar manchas verdes o amarillas en los dientes de leche, mientras que la hepatitis neonatal puede ocasionar una coloración amarillenta o marrón.
CÓMO BLANQUEAR LOS DIENTES EN CASA en 2023 🔥 ¡LA GUÍA DEFINITIVA del BLANQUEAMIENTO DENTAL! ❤️
Dientes grises: Solución y tratamiento
Afortunadamente, existen varias opciones para tratar y mejorar la apariencia de los dientes grises, dependiendo de la causa subyacente de la coloración. De ahí, la importancia de estar bien asesorado y acudir a los mejores especialistas en la materia.
Para determinar la causa del color gris de los dientes, es esencial realizar una evaluación completa en una clínica dental.
Veamos cuál es la mejor solución para los dientes grises.
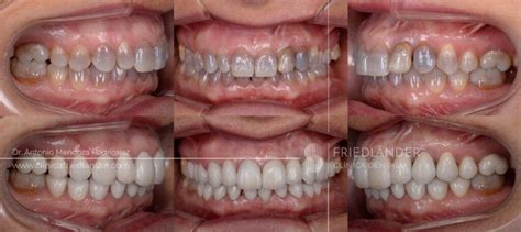
Carillas dentales
Las carillas dentales son una excelente opción para corregir la decoloración severa. Consisten en finas láminas de porcelana o resina que se adhieren a la parte frontal del diente, ofreciendo un color similar al de tus dientes en estado natural. No obstante, en ciertos casos como los que mencionaremos a continuación, puede que el color gris del diente no se logre disimular del todo.
Coronas dentales
En casos donde la estructura del diente está comprometida, ya sea por manchas por tetraciclinas, caries extensas, tratamientos de endodoncia o traumatismos severos, las coronas dentales (coloquialmente llamadas fundas) pueden ser una solución alternativa, protegiendo el diente y mejorando su apariencia.
Blanqueamiento para los dientes grises
Los diferentes tipos de blanqueamiento dental son uno de los tratamientos más comunes y efectivos para mejorar el color de los dientes. Sin embargo, los resultados pueden variar dependiendo de la causa y tipo de decoloración. En este sentido, el blanqueamiento llevado a cabo por un higienista no puede hacer mucho por sí solo para eliminar el color gris de los dientes.
En el caso de un diente gris debido a un golpe o endodoncia, se debe realizar un blanqueamiento dental interno, este se realiza con un producto de alta concentración y debe ser realizado por un odontólogo especializado.
Tipos de manchas y posibles causas:
| Color de la mancha | Posibles causas |
|---|---|
| Blanco | Caries incipiente, fluorosis, hipoplasia |
| Amarillo/Marrón | Mala higiene, placa bacteriana, sarro, caries avanzada, hiperbilirrubinemia |
| Gris/Negro | Traumatismos, necrosis pulpar, tetraciclina, caries muy avanzada |
| Verde | Hiperbilirrubinemia, patologías biliares |

Medidas preventivas
La prevención es clave para mantener una sonrisa saludable y evitar la aparición de dientes grises.
- Mantener una higiene bucal adecuada, cepillando los dientes al menos dos veces al día con pasta dental fluorada.
- Evitar el consumo excesivo de alimentos y bebidas que manchen los dientes, como café, té y refrescos oscuros.
- Visitar regularmente al dentista para revisiones y limpiezas profesionales.
- En el caso de los niños, controlar la ingesta de flúor para prevenir la fluorosis.
Si su pequeño tiene dientes amarillos o grises, entonces puede ser el momento de visitar al dentista infantil, el odontopediatra. No mucha gente sabe que la decoloración de los dientes también es un problema dental importante entre los niños pequeños.
Los dientes amarillentos o descoloridos pueden arruinar la sonrisa del niño y también puede afectar su nivel de confianza mientras crece. Puede notar que aparecen manchas amarillas, marrones o grises en la superficie de los dientes. También puede haber algunos signos de erosión del esmalte.
Es importante en nuestra clínica ofrecer la mayor tranquilidad y seguridad con nuestros tratamientos. En ARC Dental ofrecemos a los pacientes más pequeños de la familia un servicio personalizado de la mano de un equipo especialista en casos bucodentales de niños y adolescentes.