Si estás leyendo esto, es probable que seas una persona que se preocupa por su salud bucal más allá de lo común. El uso correcto de un buen cepillo dental, complementado con la cinta dental, de forma rutinaria, durante toda la vida, puede mantenerte lejos del dentista, mantener tu boca sana y hacerte ahorrar mucho dinero.
El cepillo de dientes, manual o eléctrico, sirve para "barrer" y "refregar" las superficies dentales, comenzando por el cuello dental, incursionando en los surcos gingivales y llegando a todos los intersticios, espacios, ángulos y recovecos posibles. El fin último del cepillado no es quitarse los trozos de comida de entre los dientes, sino eliminar la placa bacteriana.
Sin embargo, los cepillos de dientes no son capaces de limpiar las superficies interdentales. De las cinco superficies que tiene una muela, dos de ellas quedan sin limpiar, y ahí reside el problema.

¿Por qué es importante usar la cinta dental?
La cinta dental es muy útil para prevenir problemas dentales. Aquí te damos varias razones:
- El 50% de las caries que destruyen la dentadura aparecen entre las muelas.
- Las caries que se desarrollan entre las muelas son las más destructivas.
- La enfermedad periodontal o piorrea avanza mucho más entre las muelas, justo donde no llega el cepillo de dientes.
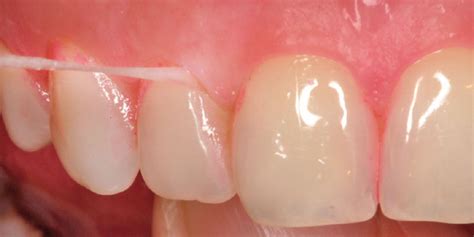
La cinta dental barre la placa bacteriana que se acumula en las superficies dentales, entre las muelas y dientes, y hasta debajo del surco de la encía. Fue inventada por necesidad, no como un producto de consumo.
Usar cinta dental te brinda tranquilidad, salud y ahorro de dinero. La cinta dental se usa para no perder las muelas.
¡Usa fácilmente el Hilo dental con mango! PASO A PASO
¿Cinta, hilo o seda dental?
Puedes probar los tres tipos y elegir el que te resulte más eficaz. La cinta es acintada y está hecha de muchos filamentos que se abren cuando se desliza sobre las superficies dentarias, arrastrando la placa bacteriana. El hilo es demasiado delgado para barrer la placa bacteriana con eficacia. La seda se deshilacha mucho y se rompe más fácil que la cinta.
Tabla comparativa de los tipos de cinta dental
| Tipo de Cinta Dental | Ventajas | Desventajas |
|---|---|---|
| Cinta Dental | Ancha, filamentos que arrastran la placa bacteriana | Ninguna significativa |
| Hilo Dental | Puede pasar más fácil en muelas muy apretadas | Demasiado delgado para barrer la placa bacteriana con eficacia, puede lastimar la encía |
| Seda Dental | Suave | Se deshilacha y se rompe fácilmente |

¿Con cera o sin cera?
La cinta viene encerada para que pase mejor entre los puntos de contacto apretados, entre muela y muela. Es preferible con cera, aunque algunos dicen que sin cera limpia mejor. Con flúor y menta es opcional.
¿Qué es la placa bacteriana?
La placa bacteriana es una película orgánica formada por bacterias propias de la boca, invisible al ojo humano. Es un sustrato adherente, pegajoso e incoloro. No está formada por "suciedad" o "comida", sino por sustancias orgánicas y seres vivos que crecen, se adhieren, se organizan, se alimentan, se reproducen y mueren constantemente. Habitan en tu boca y viven a tus espaldas.
La placa bacteriana se adhiere y crece en los poros, defectos, surcos, fosas, fisuras y grietas del esmalte, o en zonas "no autolimpiantes", provocando caries. También se desarrolla en el margen de la encía, en los cuellos dentarios, dentro del surco gingival, provocando gingivitis y periodontitis.

Importancia de la placa bacteriana
La placa bacteriana es la que da de comer a los dentistas. Toda la industria de la odontología existe porque la placa bacteriana causa estragos en las bocas. Usar cinta dental a diario te eleva a un nivel superior.
Después de haber sido eliminada por completo por el cepillo de dientes y la cinta dental, la placa bacteriana tarda en volver a formarse, organizarse y "madurar" alrededor de 24 horas. Por esta razón, se recomienda cepillarse dos veces al día: una vez por la noche, antes de acostarse, y otra vez por la mañana, después del desayuno.
Cómo usar la cinta dental correctamente
Es suficiente pasar la cinta dental una vez al día, después de uno de los dos cepillados diarios, o en cualquier momento del día. Un paciente entrenado y motivado es capaz de pasarse la cinta dental mientras ve la televisión o viaja en tren.
El objetivo no es limpiarse la boca y sentir el sabor a menta de la pasta de dientes, sino arrastrar y desorganizar la película de bacterias que se forma cada 24 horas: la placa bacteriana.

Excusas para no usar la cinta dental
Aquí hay algunas excusas comunes y sus soluciones:
- "No puedo alcanzar las muelas de atrás": Practica.
- "La cinta me separa los dientes": La cinta no separa los dientes, sino que elimina el cálculo dental.
- "Me sangra y me lastima la encía": La encía sangra porque está congestionada. Consulta a tu dentista para eliminar el cálculo dental y usa la cinta correctamente.
- "Me duele muchísimo": Consulta a tu dentista, preferiblemente un periodoncista.
- "La cinta empuja la encía y la despega del diente": La cinta se pasa entre las muelas para prevenir caries y se lleva más allá, por debajo de la encía, hasta sentir una leve resistencia. Consulta a tu dentista para que valore la situación.
- "La cinta se me rompe": Usa una cinta nueva para quitar el trozo atascado. No te pongas nervioso y practica.
- "No tengo tiempo": Prioriza tu salud bucal.
- "Me cepillo muy bien con un cepillo eléctrico y uso un irrigador": El cepillo eléctrico y el irrigador no reemplazan la cinta dental para limpiar entre las muelas.
Recuerda que la clave para una buena salud bucal es la constancia y la técnica correcta. ¡No dudes en consultar a tu dentista para obtener más consejos personalizados!