La sonrisa es una de nuestras mejores cartas de presentación. Sin embargo, hay un enemigo silencioso que puede empañarla: la erosión dental. Los dientes desgastados son uno de los principales síntomas de bruxismo, entre otras cosas. Y es mucho más que un problema estético.
El desgaste dental es la pérdida de estructura dental causada por el envejecimiento dental, el contacto incorrecto entre los dientes, el apretamiento inconsciente (bruxismo), por patologías o por malos hábitos. Es un proceso destructivo que, si no se frena, puede traer consecuencias serias.

¿Por Qué se Desgastan tus Dientes?
El esmalte dental es el tejido más duro del cuerpo, pero no es invencible. Hay tres culpables principales que lo van destruyendo de forma lenta pero constante.
- Bruxismo: ¿Te levantas con dolor de mandíbula o de cabeza? Podrías tener bruxismo. Consiste en apretar la mandíbula de forma involuntaria haciendo que los dientes rechinen. Este gesto somete a tus dientes a una presión brutal para la que no están hechos, deshaciendo el esmalte poco a poco. Pero el bruxismo no solo daña los dientes.
- Abrasión: Este tipo de desgaste lo provoca algo externo que roza una y otra vez contra los dientes. La causa número uno es un cepillado demasiado agresivo. Con el tiempo, esto no solo se come el esmalte, sino que puede hacer que las encías se retraigan, creando esas muescas tan típicas junto a la encía.
- Erosión: La erosión es cuando los ácidos, que no vienen de las bacterias de la caries, literalmente se comen el esmalte. De dentro: Por problemas de salud como el reflujo, la hernia de hiato o trastornos alimentarios como la bulimia.
Consecuencias de Ignorar el Desgaste Dental
Pasar del desgaste dental es un error que puede salirte muy caro, no solo en dinero, sino en salud y confianza. Las consecuencias van mucho más allá de una simple molestia:
- Sensibilidad dental aguda: El esmalte es tu escudo protector. A medida que desaparece, la dentina queda al descubierto. Esto provoca esos calambrazos con el frío, el calor o los dulces.
- Problemas de mordida y función: Al acortarse los dientes, la forma en que encajan al morder se altera por completo. Esto crea tensiones en la mandíbula, dolores musculares y puede dañar las encías.
- Un gran impacto estético: Unos dientes desgastados, cortos y amarillos envejecen tu sonrisa y tu cara. Y no es vanidad; es la confianza para reírte a gusto en una foto o para hablar en una reunión sin sentirte cohibido.
- Más riesgo de fracturas: Un diente debilitado se rompe con mucha más facilidad, incluso masticando algo normal. En casos más severos, pueden producirse fracturas o pérdida de estructura dentaria.

Descalcificación Dental
Queremos explicarte qué es la descalcificación dental, sus causas y cómo puedes tratarla. Ya que es un tipo de deficiencia cada vez más común.
¿Qué es la Descalcificación de los Dientes?
La hipocalcemia o trastorno por deficiencia de calcio, también llamada popularmente descalcificación, es una condición médica que consiste en la disminución o falta de calcio en el organismo. Esta se caracteriza por generar el debilitamiento de los huesos y tejidos duros. Incluso puede afectar de forma negativa la actividad nerviosa y muscular.
La descalcificación de los dientes es la pérdida de calcio, lo que lleva a problemas de salud bucal. Usualmente se ven marcas blancas en la superficie de los dientes, en niños grandes y adultos esto puede ser resultado de la placa pegada al diente por mucho tiempo. El esmalte que protege tus dientes del desgaste diario está formado por varios minerales, entre ellos calcio y fósforo. La descalcificación debilita el esmalte, produciendo esas manchas blancas.
Síntomas de la Descalcificación Dental
Los síntomas más comunes de descalsificación dental son:
- Los bajos niveles de calcio en el organismo producen el ablandamiento progresivo de los dientes. Lo que a su vez aumenta la probabilidad del desarrollo de caries.
- En la primera etapa aparecen manchas blancas en los dientes. Estos se vuelven opacos.
- A largo plazo, las manchas blancas pueden cambiar de color a una tonalidad amarillenta o marrón. Son bastante notorias.
- En casos graves se produce un gran aumento de la movilidad de los dientes. Incluso pueden desprenderse algunas piezas dentales.
- En algunos casos puedes llegar a sentir dolores agudos debido a las caries. Estos son más frecuentes en los niños.
Causas de la Descalcificación Dental
La falta de calcio y otros minerales en los dientes puede producirse por diversos factores. Entre ellos:
- El consumo frecuente de bebidas azucaradas y ácidas: Las bebidas, como los zumos de frutas (en especial los envasados) poseen grandes cantidades de azucares y ácidos. Estos elementos afectan gravemente el esmalte de tus dientes y, si los consumes con frecuencia, irán disminuyendo la presencia de minerales como el calcio y el fósforo en la superficie dentaria.
- Higiene bucal deficiente: Tener una mala higiene bucal hace la placa bacteriana que se produce en tus dientes aumente. Esto genera una descalcificación y desmineralización en las piezas.
- Mala nutrición: Si no tienes una alimentación balanceada que te proporcione las cantidades de calcio y fósforo que requiere tu organismo puede presentar descalcificación.
- Reflujo gástrico: Si sufres de acidez estomacal y tienes reflujo toma en cuenta que el ácido estomacal desmineraliza progresivamente tus dientes.
- Bajos niveles de saliva: La saliva tiene funciones muy importantes dentro de la boca. Esta actúa como un limpiador natural.
- Durante la gestación: En los niños más pequeños la descalcificación generalmente se debe a problemas durante su desarrollo cuando estaban en gestación.
- Falta de intervención profesional: Saltarse las limpiezas regulares con tu dentista puede llevar a la acumulación de placa.
- Factores genéticos y condiciones médicas: La genética es un factor que influye en la formación del esmalte dental. También existen condiciones genéticas como la amelogénesis imperfecta.
- Uso prolongado de brackets u otros aparatos ortodónticos: Al momento de retirarlos puede haberse producido una descalcificación en la zona que ocupaban.

Tratamientos para la Descalcificación Dental
La descalcificación dental puede producirse a cualquier edad. Pero los niños, los ancianos y las embarazadas son los que tienen mayor probabilidad de presentar esta condición. A pesar de esto no existen tratamientos médicos específicos para curar esta condición. Pero afortunadamente hay algunas formas de prevenirla y tratarla para mejorarla progresivamente.
- Mejora tu higiene bucal: La mejor forma para prevenir y tratar las consecuencias de la falta de calcio en tus dientes es teniendo una buena rutina de higiene bucodental, incluyendo cepillado, uso de hilo dental y enjuague bucal.
- Usa productos de higiene dental específicos: Existen pastas dentales y enjuagues bucales que poseen fluoruro, calcio, fosfatos y otros componentes que te ayudan a proteger tu boca de la descalcificación dental por agentes externos como el ácido estomacal.
- Modera el consumo de alimentos azucarados y ácidos: Reduce el consumo de alimentos y bebidas con un gran contenido de azúcar, almidón o demasiado ácidos.
- Consume alimentos ricos en calcio y otros nutrientes: Todos los alimentos que contengan lactosa pueden proporcionarte buenos porcentajes de calcio y vitamina D.
- Consume suplementos: En caso de que no puedas consumir las cantidades necesarias de calcio y fosfatos por medio de alimentos, puedes hacerlo tomando suplementos que contengan esos minerales.
- Mantén una producción de saliva óptima: La saliva posee múltiples funciones dentro de tu boca. Una de ellas es que actúa como un agente limpiador que elimina las fuentes de acidez dentro de la cavidad oral.
- Otros tratamientos: En caso de que tu deficiencia de calcio y fosfatos sea a causa de una enfermedad o condición. Puedes optar por colocarte carillas dentales para que no se vean las manchas en los dientes y reforzarlos.
Soluciones y Tratamientos
Si estás leyendo esto, es porque sabes que la solución no es tapar el problema. Antes de proponer nada, nuestra prioridad es entender qué pasa. Nos sentamos contigo, te enseñamos las imágenes y te explicamos las cosas claras. Creemos en la transparencia y en la ética por encima de todo. En primer lugar, es necesario determinar la causa de los dientes desgastados para, si fuera necesario, poder recurrir al mejor tratamiento para cada caso. Siempre evaluamos las causas del desgaste para llevar a cabo el tratamiento más idóneo. Si hay una maloclusión que haya acelerado el desgaste, recomendaremos realizar un tratamiento de ortodoncia previo al de restauración dental.
Una vez erradicado el problema inicial, existen diferentes tipos de soluciones para restaurar las piezas desgastadas:
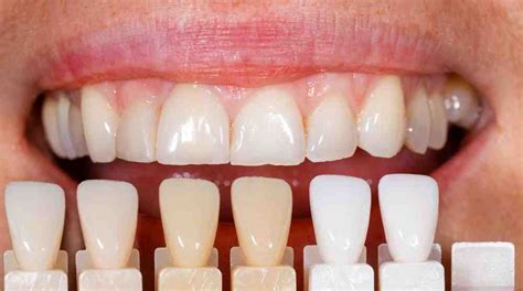
- Para desgastes leves: Reconstrucciones con composite. Cuando el daño es inicial, podemos rehacer la parte perdida con composites de última generación. Composite: Disponemos del material en la clínica y está indicado para desgastes pequeños.
- Para casos avanzados: Carillas o coronas de porcelana. Si el desgaste es grave y la sonrisa está muy afectada, las carillas o coronas de porcelana son la opción ideal. Con estos materiales no solo rediseñamos la sonrisa con un aspecto natural increíble, sino que su dureza y resistencia al desgaste son muy superiores.
En primer lugar las carillas dentales. Consisten en un revestimiento muy fino de porcelana o resina de composite, que se adhiere a la parte frontal del diente para mejorar, en este caso, recuperar tu sonrisa. Estas se hacen a medida para cada paciente y cuentan con una serie de ventajas.
Cerámica: Indicada para desgastes más severos, dada su alta resistencia. Incrustaciones de cerámica: Son fragmentos o bloques que se diseñan para cubrir la parte del diente perdido y devolverle así su función. Circonio: Se utiliza para dientes que tienen muy poca estructura remanente, ya que es el material más resistente. Para desgastes severos y generalizados que precisen de una rehabilitación completa, realizaremos un diseño digital previo y lo imprimimos en una maqueta de cera para probarlo antes de fabricar la cerámica y/o circonio. En la mayoría de casos se realiza una férula de descarga al finalizar el tratamiento para conservar los resultados.
Atacar la raíz del problema: Férulas y ortodoncia. De nada sirve reconstruir si no paramos lo que causa el daño. Si el problema es el bruxismo, hay que usar una férula de descarga por la noche.

Si el problema ha progresado hasta el punto de que gran parte del diente se ha desgastado, el tratamiento puede ser necesario, para evitar un mayor daño al diente, reducir la sensibilidad y evitar el daño al nervio dental. Existen muchas técnicas de restauración disponibles para estos casos dependiendo del grado de desgaste que abarcan desde una simple reconstrucción con material de relleno hasta la colocación de carillas o coronas.
Los materiales de relleno como la resina compuesta, el ionómero de vidrio, la cerámica o el circonio hacen que la reparación del diente tenga un aspecto natural, siendo un tratamiento imperceptible. Por otro lado, las carillas suelen colocarse en los dientes situados en la parte delantera. Fabricadas en porcelana, necesitan una estructura muy pequeña del diente para ser colocadas.
El odontólogo, según el grado de abrasión de los dientes, elige la terapia más recomendable en cada caso. Hay varias formas de solucionar este problema, como las fundas de metal-porcelana, o de materiales más estéticos y conservadores, como puede ser el disilicato de litio. También se puede optar por las carillas de cerámica, la carilla de composite, o reconstrucciones del borde incisal entre otros.
En los últimos años, está siendo más común el uso de bloqueantes, ya sea domiciliares o en consulta. Se ha notado un aumento del problema del borde incisal transparente debido precisamente a su uso. El agente bloqueante que se usa para blanquear los dientes que se utiliza en clínica no tiene un efecto nocivo sobre el esmalte, pero no se puede utilizar más veces de las que está aconsejado.
Los dientes transparentes pueden ser un problema pero, a día de hoy, existen maneras de solucionarlo y limitar la evolución del desgaste del esmalte. El dentista explicará cuáles son los alimentos y bebidas que es mejor evitar en caso de tener el esmalte demasiado fino o problemas de erosión dental. Los pacientes con reflujo gastroesofágico tendrán que controlar también esta patología para salvaguardar la salud de sus dientes. Así mismo, es muy importante intentar disminuir el nivel de estrés de los pacientes que sufran bruxismo.
Prevención de problemas dentales: ¿Cómo lograr una sonrisa saludable?
Tipos de Desgaste Dental
El desgaste dental se describe como la pérdida progresiva de la superficie de un diente debido a acciones diferentes a la caries y el trauma oclusal.
- La erosión: es la pérdida progresiva de superficie dental por la disolución química o ácida, no hay bacterias involucradas. La erosión del esmalte dental es principalmente el resultado de un uso demasiado frecuente o inapropiado de bebidas carbonatadas y zumos de frutas con altos niveles de acidez.
- La atrición: es la pérdida progresiva de la superficie dura de los dientes causadas por la masticación o el rechinamiento contra los dientes opuestos o antagonistas. El grado de desgaste dependerá del uso que cada persona haga de sus dientes.
- La abrasión: es la pérdida progresiva del esmalte de los dientes causada por acciones mecánicas distintas de la masticación o el contacto entre dientes. La abrasión se asocia comúnmente con una técnica incorrecta de cepillado de dientes, lo que da lugar a muescas en la unión de la corona y la raíz de los dientes.
Medidas de Prevención
Como principales medidas de prevención cabe destacar la reducción de la frecuencia de consumo de bebidas carbonatadas y zumos de frutas con altos niveles de acidez. El cepillado de dientes debe evitarse inmediatamente después de consumir bebidas y alimentos ácidos, ya que el ácido ablanda el esmalte y lo hace susceptible al daño por cepillado. A su vez, es aconsejable utilizar pastas de dientes poco abrasivas si somos propensos al desgaste dental.
En el caso de bruxismo, el tratamiento suele requerir el uso de una férula de descarga durante el sueño. La abrasión se puede reducir adoptando una técnica de cepillado correcta. Además, los dientes no deben usarse como una herramienta para agarrar o sostener objetos.
Finalmente, como medida preventiva es recomendable visitar al dentista para que nos realice una revisión cada seis meses. No esperes a que el desgaste esté muy avanzado. Tienden a ver reducida la longitud de sus piezas dentales. Y es que en casos más severos la dentina puede quedar expuesta, generando molestias derivadas de sensibilidad dental.