La colocación de carillas dentales es un tratamiento estético cada vez más popular, ideal para mejorar la sonrisa de forma rápida, segura y efectiva. Permiten modificar el color, brillo y forma de los dientes para corregir una variedad de problemas estéticos en la superficie de los dientes. En este artículo, te explicaremos paso a paso cómo se colocan las carillas dentales, desde la primera visita hasta la sonrisa final.

Evaluación Inicial y Diseño de la Sonrisa
El primer paso antes de iniciar cualquier tratamiento con carillas dentales, es una evaluación personalizada y detallada de tu sonrisa. Se inicia con una evaluación inicial. El dentista realiza un examen dental completo y discute los objetivos del paciente. En esta primera consulta, el especialista analiza la salud bucodental, la alineación, el color y la forma de los dientes, así como tus expectativas estéticas.
Utilizamos tecnología de vanguardia para tomar registros fotográficos, escaneos digitales, impresiones dentales e incluso radiografías si es necesario, lo que nos permite diseñar una sonrisa ideal adaptada a tus necesidades y preferencias personales. Y gracias al Diseño Digital de la Sonrisa (DSD) podemos planificar previamente el tamaño y forma de las futuras carillas. El Diseño Digital de la Sonrisa ayuda a planificar el tratamiento y ver cómo sería el resultado final antes incluso de comenzarlo.
Por ello, realizamos un proceso de escucha activa con todos nuestros pacientes para poder ajustarnos a sus necesidades y expectativas. Para nosotros es fundamental que nuestros pacientes se sientan a gusto con el resultado de su sonrisa. Así que en esta fase, se hace un gran trabajo para encontrar la estética que mejor encaja con el paciente.
El primer paso es realizar una prueba en boca con la férula de posicionamiento, acompañada de una evaluación digital avanzada. En esta fase inicial, tomamos fotografías detalladas de tu boca y realizamos un escáner intraoral con tecnología 3D. Esta etapa es clave para comprender tus necesidades y garantizar que los resultados se ajusten a lo que esperas. Revisamos tu salud bucal general.
En este momento, podemos ajustar y modificar ese diseño de sonrisa. Durante el proceso, utilizamos carillas provisionales o maquetas (mock-ups) que te permiten ver cómo lucirán antes de finalizar el tratamiento. Si después de colocarlas definitivas sientes que algo no está como deseas, puedes hablar con nosotros.
Requisitos para Optar a las Carillas Dentales
Para poder optar a este procedimiento, se deben de cumplir una serie de requisitos:
- Salud dental óptima: Antes de considerar las carillas dentales, es crucial que tus dientes y encías estén en buen estado de salud. Las encías sanas no solo aseguran una mejor adaptación de las carillas, sino que también contribuyen a que el resultado sea más duradero y estético.
- Ausencia de bruxismo: Si padeces bruxismo o cualquier otro trastorno que afecta la forma en que cierras la boca, las carillas pueden no ser la mejor opción. El material de las carillas, aunque de alta calidad, no es tan resistente como los dientes naturales y puede dañarse fácilmente.
- Problemas de forma y color dental: Las carillas son especialmente útiles para pacientes que tienen dientes con formas irregulares o problemas de coloración.
- Dientes ligeramente desalineados: Si tus dientes tienen desviaciones menores, las carillas pueden corregir este problema estético. Las carillas pueden ayudar a disimular pequeñas irregularidades en los dientes, pero no son una solución para corregir dientes torcidos. En estos casos, siempre se recomienda un tratamiento de ortodoncia cuando hay problemas de alineación, apiñamiento o maloclusión.
- Esmalte dental intacto: Las carillas de porcelana se adhieren al esmalte dental existente.
Tipos de Carillas Dentales
Existen carillas dentales de composite y carillas dentales de porcelana/cerámica. No obstante, dependiendo del caso será necesario utilizar uno u otro material (resina, cerámica,…).
Carillas de Composite
Las carillas de composite son una alternativa más rápida y conservadora. Una vez realizada la evaluación inicial y el diseño de las carillas, cuando el material elegido es el composite, estas se colocan en una sola visita. A las pocas semanas se cita de nuevo al paciente para una última revisión y pulido. En este caso, las carillas de composite se hacen a mano directamente sobre el diente del paciente y en la propia clínica (técnica directa). Aplicamos el composite directamente sobre el diente en capas finas.
Sin embargo, por experiencia sabemos que los resultados no son equiparables a los de las carillas de porcelana. Y tampoco, para resultados estéticos a largo plazo, ya que el color puede variar y requieren un mantenimiento para conservar un brillo y una superficie pulida óptima. Estas carillas requieren revisiones periódicas y un buen cuidado, ya que el composite puede pigmentar con el tiempo.

Carillas de Porcelana
Las carillas dentales de porcelana son una excelente opción para transformar la sonrisa con resultados duraderos y altamente estéticos. Las de porcelana se fabrican en laboratorio previamente a la colocación. A diferencia de otros tratamientos, este sistema se realiza a partir de un proceso completamente digital y guiado que permite drásticamente tu experiencia y confort durante el tratamiento, al eliminar varias citas de tratamiento.
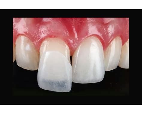
En la segunda cita se debe preparar el diente para la colocación de las carillas. Es necesario preparar el diente para conseguir una adhesión eficiente de la carilla sobre la parte frontal del mismo. Sin embargo, las técnicas actuales son mínimamente invasivas y requieren un tallado practicamente imperceptible e incluso existen carillas sin tallado. De esta manera, la carilla podrá ajustarse correctamente a su superficie y tener un aspecto natural. Una vez realizado el tallado, el dentista tomará una impresión o molde de los dientes.
Debido a que, en este punto, la colocación de las carillas de porcelana puede demorarse dos o tres semanas, resulta necesario poner unas carillas provisionales al paciente. A la hora de colocar carillas, ocurre lo mismo que cuando colocamos coronas, se realizan unos provisionales que el paciente llevará puestos hasta el día de colocación de los definitivos. Pero los provisionales caen mucho más, debido a que solo es una lámina en la parte frontal y que va con adhesivos suaves para que sean fáciles de sacar en las siguientes sesiones.
Con esta nueva técnica, no existen los provisionales, el mismo día de la preparación ya se colocan las carillas. Sorprendente. Una vez que hemos diseñado digitalmente tu sonrisa ideal, escaneando tu boca con tecnología de precisión, elaboramos una maqueta o mock-up con carillas provisionales que se colocan sobre tus dientes. Dependiendo del diseño, en algunos casos, es necesario realizar un ligero tallado de la superficie externa de los dientes para permitir que la carilla se adhiera correctamente y no quede sobre el volumen natural del diente.
Cuando las carillas están listas, se prueban sobre los dientes para confirmar forma, color y ajuste. El dentista ejecuta las modificaciones necesarias de las carillas para garantizar un ajuste perfecto. En tu segunda visita, procedemos a colocar tus carillas definitivas mediante unas guías inteligentes. Gracias al diseño con guías 3D, el procedimiento es mínimamente invasivo, lo que reduce cualquier posible molestia y asegura un acabado natural . El diseño 100 % digital no solo aporta precisión, sino que también minimiza errores. El protocolo de trabajo que hemos desarrollado nos permite diseñar casos de manera digital y ejecutarlos con total precisión.
A través de unas guías inteligentes que nos permiten una preparación muy conservadora y aplicar técnicas mínimamente invasivas sin errores. El proceso de colocación y cementación es realmente sencillo y gracias a la guía inteligente, anteriormente mencionado, podemos llegar a colocar hasta 10 carillas en un solo paso. Las guías se fabrican utilizando lo último en tecnología de impresión 3D y materiales resistentes y biocompatibles. Si todo es correcto, se cementan con adhesivos dentales de alta resistencia.
Antes de poner las carillas definitivas, el odontólogo retirará las provisionales. Tras esto, aplica un cemento especial en la carilla y la coloca sobre el diente. Luego utiliza una lámpara de polimerización para endurecer los materiales de adhesión y garantizar la fijación de la carilla. A los pocos días, se agenda una revisión para confirmar que todo está en perfecto estado.

Tabla Comparativa de Carillas de Composite y Porcelana
| Característica | Carillas de Composite | Carillas de Porcelana |
|---|---|---|
| Duración | Menor | Mayor |
| Estética | Buena, pero puede variar el color | Excelente y duradera |
| Mantenimiento | Requiere pulido y revisiones periódicas | Menos mantenimiento |
| Número de visitas | Una sola visita | Varias visitas |
| Invasividad | Mínimamente invasiva | Puede requerir tallado dental |
Cuidados Posteriores y Mantenimiento
El tratamiento con carillas requiere un cuidado adecuado para asegurar que duren y se mantengan en perfecto estado. Es fundamental mantener una buena higiene bucal, cepillarse correctamente, usar hilo dental y visitar al dentista regularmente para evitar problemas de caries o enfermedades en las encías. Mantén una buena higiene bucal: Cepíllate los dientes al menos dos veces al día con un cepillo suave y pasta dental no abrasiva.
Después de un tratamiento con carillas, es importante ser cauteloso con lo que comes para garantizar que las carillas se mantengan intactas y que tus dientes se adapten correctamente. En Ferrus&Bratos cumplimos con el RGPD de la UE por lo que tus datos están seguros.
Preguntas Frecuentes
- ¿Las carillas dentales son permanentes? No, las carillas dentales no son permanentes y generalmente requieren reemplazo después de varios años, dependiendo del material, los hábitos del paciente y el cuidado dental. Aunque es verdad que las carillas de porcelanas duran más tiempo que las de composite.
- ¿Pueden aparecer caries en los dientes con carillas? Sí, pueden aparecer caries en los dientes con carillas si no se cuidan adecuadamente, ya que las carillas cubren solo la parte frontal del diente.
- ¿Las carillas cambian de color con el tiempo? No, los blanqueadores dentales no tienen efecto sobre las carillas, ya que están hechas de materiales como porcelana o composite que no cambian de color con estos tratamientos. Sin embargo, los dientes naturales que rodean las carillas sí pueden oscurecerse si no se cuidan adecuadamente.
- ¿Necesito anestesia para colocarme las carillas? En la mayoría de los casos, el tratamiento con carillas no requiere anestesia, ya que el proceso es generalmente rápido y no invasivo.
- ¿Las carillas afectan mi forma de morder? Las carillas dentales no deberían afectar tu forma de morder si se colocan correctamente.
Carillas de Resina y Porcelana: Pros, Contras y Mi Experiencia.
tags: #dientes #provisionales #antes #de #carillas