Los dientes provisionales juegan un papel crucial en muchos tratamientos dentales, ayudando a mantener la funcionalidad y estética de tu sonrisa mientras esperas la colocación de una solución definitiva. Una vez que se extrae la pieza, ya sea por un golpe o por intervención de un especialista, se debe colocar un puente dental provisional mientras se espera a que esté lista la pieza permanente que sustituirá al diente. En este artículo, te contamos todo lo que debes saber sobre los dientes provisionales y los implantes en un día.

¿Qué son los Dientes Provisionales?
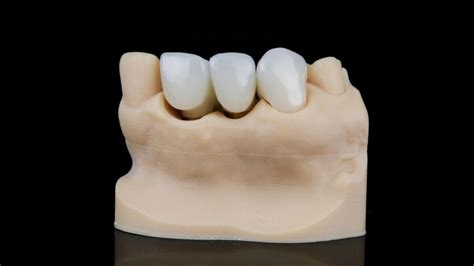
Un diente provisional, también conocido como corona temporal o prótesis temporal, es una solución dental temporal que se utiliza para proteger un diente dañado o un espacio vacío mientras se fabrica la restauración definitiva, como una corona, puente o implante. Estos dientes temporales están diseñados para devolverte la función de masticar y la estética de tu sonrisa mientras esperas la prótesis definitiva.
El propósito principal de las prótesis provisionales sobre implantes es restaurar la función masticatoria y la estética dental mientras los implantes se integran en el hueso de manera segura y firme. Los dientes provisionales permiten a los pacientes adaptarse a la sensación y funcionalidad de la futura restauración dental.
Tipos de Materiales para Dientes Provisionales
Los dientes provisionales suelen estar hechos de materiales temporales, como resina acrílica o composite, y están diseñados para ser colocados de manera segura y cómoda en la boca del paciente.
- Resina acrílica: Este material es comúnmente utilizado para dientes provisionales debido a su facilidad de manipulación y ajuste.
- Policarbonato: Este material es más duradero que la resina acrílica y proporciona una mejor estética.
¿Cuánto tiempo dura una RESINA DENTAL? 🤔 🦷 ¿Me toca cambio de resina dental? 🦷 ¿Qué Cuidados tener?
Beneficios de los Dientes Provisionales
Los dientes provisionales ofrecen una serie de beneficios clave:
- Protección: Protegen los tejidos blandos y la estructura subyacente del diente mientras se espera la colocación de una restauración permanente.
- Estética: Mejoran significativamente la apariencia de la sonrisa, especialmente en áreas visibles.
- Funcionalidad: Mantienen la capacidad de masticar y hablar normalmente mientras se espera la colocación de la restauración definitiva.
- Guía: En algunos casos, se utilizan como guía para la fabricación de restauraciones permanentes, como coronas dentales o puentes.

¿Se Puede Comer con Dientes Provisionales?
Sí, se puede comer con dientes provisionales, pero es importante hacerlo con precaución y siguiendo las indicaciones de tu dentista. De hecho, comer con ellos te ayuda a mantener una dieta equilibrada y evitar desnutrición durante el tratamiento. Sin embargo, debes recordar que no son tan resistentes como los dientes permanentes, pues suelen estar hechos de resina o acrílico y van cementados de forma provisional.
Consejos para Comer con Dientes Provisionales
- Espera a que pase la anestesia: Se recomienda esperar a que pase el efecto de la anestesia (unas 4 a 6 horas) antes de ingerir alimentos, para evitar morderte sin querer y porque durante ese período la zona está insensible.
- Dieta blanda y templada: Durante los primeros días posteriores a la cirugía, sigue una dieta blanda y templada (nada muy caliente ni muy frío).
- Mastica con cuidado: Da bocados pequeños, mastica despacio y evita aplicar fuerza excesiva sobre el diente provisional.
Alimentos Recomendados y Alimentos a Evitar
Alimentos Recomendados
Al usar dientes provisionales, tu mejor aliado es la dieta blanda y fácil de masticar, al menos durante las primeras semanas. Esto no significa que debas limitarte a purés eternamente; puedes llevar una alimentación variada, nutritiva y sabrosa eligiendo texturas suaves.
- Líquidos y purés: Sopas, caldos tibios, cremas de verduras y purés.
- Lácteos suaves: Yogures, batidos, quesos blandos, natillas, flanes.
- Huevos y proteínas tiernas: Huevos revueltos, en tortilla francesa o pasados por agua, pollo desmenuzado, pavo al horno bien cocido, carne picada guisada suave, o albóndigas tiernas.
- Verduras cocidas: Zanahorias muy tiernas, calabacín, brócoli al vapor, patata cocida, espinacas rehogadas.
- Frutas maduras o en puré: Plátano maduro, aguacate, melón, sandía sin semillas, papaya, mango maduro, compotas o puré de manzana, pera cocida, melocotón en almíbar.
- Cereales y panes suaves: Galletas blandas, pan de molde sin tostar, tortillas de maíz o trigo suaves, avena cocida o cereales remojados en leche.
- Arroz y pasta: Arroz blanco bien cocido, pasta muy bien cocida.
Alimentos a Evitar
Así como hay comidas amigables con tus dientes provisionales, también hay alimentos que conviene evitar o tener mucho cuidado al consumir. Por lo general, son aquellos que pueden poner en aprietos a tu prótesis temporal por su dureza, textura pegajosa o temperatura extrema.
- Alimentos duros o muy crujientes: Evita morder directamente frutos secos, palomitas de maíz, caramelos duros, cubitos de hielo, panes de corteza dura o tostadas secas, y vegetales crudos duros como zanahorias, manzanas enteras, apio crudo.
- Alimentos pegajosos o gomosos: Chicles, caramelos blandos tipo toffee, turrones pegajosos, gominolas, goma de dulce de leche.
- Carnes fibrosas y alimentos muy masticables: Filetes de carne roja muy fibrosa, cecina o carne seca, embutidos duros, pulpo a la gallega, bagels o panes macizos, incluso pizzas de borde crujiente.
- Alimentos muy calientes o muy fríos: Ten precaución con sopas hirviendo, café o té muy calientes, alimentos recién fritos que quemen, así como con cubitos de hielo o helados extremadamente fríos en contacto directo con dientes sensibles.
- Alimentos muy ácidos o picantes: Salsas muy picantes o cítricos en exceso (limón puro, vinagres fuertes).

Cómo Masticar Correctamente con Dientes Provisionales
Además de elegir bien tus alimentos, es fundamental aprender cómo masticar correctamente con tu prótesis provisional. La forma en que comes puede marcar la diferencia entre una experiencia tranquila o un accidente con el diente temporal.
- Muerde lento y suave: Al llevar un provisional, olvídate de morder con prisas o con fuerza. Toma bocados pequeños y mastica despacio, concentrándote en controlar la presión.
- Usa más los otros dientes (si es posible): Si tu diente provisional está en un lado específico de la boca, intenta masticar principalmente con el lado opuesto durante los primeros días.
- Corta los alimentos en trozos más pequeños: Haz de tu cuchillo y tenedor tus aliados. Trozos más pequeños requieren menos fuerza para partirlos y reduces el riesgo de que algo “se atasque” en la prótesis.
- Evita arrancar o morder con los dientes frontales provisionales: Si tus provisionales están en la parte delantera (incisivos o caninos), ten mucho cuidado con acciones como morder una mazorca, una hamburguesa grande o arrancar un trozo de pan duro con ellos.
- Ayúdate de líquidos para tragar: Acompaña tus bocados con un sorbo de agua, caldo o bebida (no gaseosa) para facilitar la deglución.
- Atención al calor y al frío: Prueba la temperatura con cuidado antes de dar un bocado grande de sopa o té caliente.
- Escucha a tu cuerpo: Mastica con atención. Si algún alimento en particular te causa molestia o sientes que tienes que hacer mucha fuerza, detente.
- Usa adhesivo dental si lo necesitas: Si tu prótesis provisional es removible y sientes que se mueve demasiado al comer, puedes considerar usar un adhesivo para dentaduras.
- Ten paciencia y ve aumentando la consistencia gradualmente: Los primeros días, quédate en la “zona segura” de alimentos blandos. Cuando ya te sientas cómodo/a, ve probando incorporar algo un poco más consistente.
Higiene Oral y Mantenimiento
Un buen aseo asegura que no se acumulen bacterias que puedan causar infecciones o caries en los dientes pilares, y mantiene tu prótesis en buen estado hasta el día del recambio.
- Lava tus dientes con suavidad pero a conciencia: Tras cada comida, intenta limpiar tanto el provisional como el resto de tus dientes.
- Usa hilo dental o cepillos interdentales cuidadosamente: Si el diseño de tu provisional lo permite, pasa hilo dental entre los dientes adyacentes todos los días.
- Irrigador bucal (Waterpik) para una limpieza extra: Personalmente, recomiendo mucho los irrigadores de agua a pacientes con prótesis.
- Enjuagues bucales antisépticos (sin alcohol): Durante la cicatrización post-cirugía, a menudo se indican colutorios con clorhexidina u otros antisépticos suaves.
- Si la prótesis es removible, límpiala fuera de la boca: En caso de que tengas un diente provisional de quita y pon, la higiene es doble: limpia tu boca y la prótesis por separado.
Cuándo Contactar al Dentista
Dolor que no se controla con los medicamentos indicados por el dentista, excesiva sensibilidad o sentir que el empaste tiene un borde afilado o irregular, son señales que pueden indicar problemas con el empaste o afectación del nervio del diente.
Importancia de las Revisiones Periódicas
Luego de un empaste es esencial acudir a las visitas regulares con el dentista, porque de esta forma el profesional de la salud bucal podrá hacer seguimiento al proceso de curación y garantizar la correcta evolución del tratamiento.
Siguiendo estos consejos, estarás dándole un uso adecuado a tu diente provisional y disfrutarás de tus comidas con tranquilidad. Al principio quizás tengas que recordarte conscientemente estos hábitos en cada comida, pero poco a poco los harás de forma automática.
| Aspecto | Recomendaciones |
|---|---|
| Alimentación | Dieta blanda, evitar alimentos duros y pegajosos |
| Masticación | Masticar lento y suave, usar el lado opuesto si es posible |
| Higiene Oral | Cepillado suave, uso de hilo dental y enjuague bucal |
| Revisiones | Acudir a citas regulares con el dentista |
tags: #dientes #provisionales #de #resina