¿Quieres una sonrisa perfecta? Descubre tus opciones en carillas aquí. Esta guía te proporcionará toda la información necesaria sobre los tipos de carillas dentales y precios, para que tomes decisiones informadas y ajustadas a tu presupuesto y expectativas estéticas. En Clínica Ferrus & Bratos, entendemos que elegir un procedimiento de estética dental es una elección relevante. Por ello, hemos preparado esta guía detallada sobre los tipos de carillas dentales y sus precios, con el fin de ayudarte a decidir según tus necesidades estéticas y capacidad presupuestaria.

Tipos de Carillas Dentales
Cuando se trata de transformar una sonrisa, es fundamental identificar qué clase de carillas dentales están disponibles:
- Carillas de composite: recomendadas para quienes buscan una alternativa rápida, económica y con buenos resultados visuales.
- Carillas de porcelana: ideales para quienes desean un acabado más natural y de larga duración.
Ambas opciones se utilizan en función de las condiciones clínicas de cada paciente, siempre tras la evaluación individualizada de nuestros expertos.
Carillas dentales: todo lo que debes saber antes de ponértelas

Materiales de las Carillas Dentales
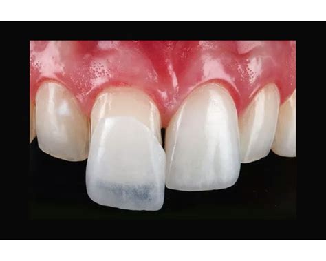
Las carillas dentales son finas láminas de porcelana o composite que se colocan sobre la parte frontal de los dientes para mejorar su aspecto. Las carillas dentales constituyen unas finas capas que se colocan en la parte frontal de los dientes con el objetivo de mejorar su apariencia estética. Estas láminas son comúnmente elaboradas a partir de dos materiales predominantes: la porcelana y el composite. Este tratamiento no busca resolver problemas de salud bucal, sino que se centra en embellecer la sonrisa.
- Carillas de Composite: Se modelan directamente sobre el diente, siendo una opción rápida y más económica. Sin embargo, son adecuadas para corregir pequeños problemas en piezas únicas y pueden teñirse con el tiempo.
- Carillas de Porcelana: Ofrecen un resultado altamente estético, ideales para corregir manchas e irregularidades severas que no se eliminan con blanqueamiento.
- Carillas Lumineers: También ofrecen un resultado estético, respetando el aspecto natural del diente. El precio de las carillas Lumineers en Madrid ronda, aproximadamente, los 700 euros.
- Carillas de Zirconio: Es el material que más de moda se ha puesto en los últimos años y se utilizan sobre todo en casos de fracturas y manchas. Tienen un grosor de entre 0,3 y 1 milímetro y son resistentes y muy naturales ya que son translúcidas como el propio diente natural del paciente.
Ventajas y Desventajas de Cada Material
Dado que las carillas dentales más utilizadas -y las que colocamos con mayor frecuencia en nuestra clínica dental de Madrid- son las de porcelana (e.max y Lumineers) y las de composite, vamos a detallar los beneficios e inconvenientes que presentan cada una de ellas.
- Duración:
- Las carillas dentales de porcelana tienen una duración mayor que las de composite, pudiendo resistir en perfectas condiciones hasta 15 años, y además no pierden su color ni se tiñen. Esta duración depende en gran medida de que el paciente siga las instrucciones de su odontólogo relativas a mantenimiento y cuidados.
- En contraposición, la duración de las carillas dentales de composite es de un máximo de cinco años aproximadamente. Para llegar a este plazo, es necesario acudir a revisiones de mantenimiento y que el dentista realice el pulido de las carillas dentales. Además, será más fácil que las carillas dentales duren cinco años en buen estado si el paciente sigue unos buenos hábitos en cuanto a higiene y dieta.
Precios de las Carillas Dentales en Madrid
El coste de las carillas dentales en Madrid puede variar significativamente dependiendo del material, la cantidad de piezas y la técnica empleada. En nuestra clínica, ofrecemos una relación calidad-precio clara que asegura resultados sobresalientes. En Ferrus & Bratos, cada tratamiento se personaliza para adaptarse a tu sonrisa y expectativas. El presupuesto total dependerá del número de carillas requeridas (normalmente entre 8 y 10 por arcada) y del material elegido. El precio de las carillas depende del material, siendo más baratas las carillas de composite, y teniendo un precio más elevado las de porcelana.
Oscila entre 250 € y 1200 € por unidad.
El Proceso de Colocación de Carillas Dentales
La colocación de carillas dentales implica un proceso meticuloso que sigue varias etapas. La primera visita al dentista es fundamental para evaluar la salud bucodental del paciente. Durante esta consulta, el especialista revisará los dientes y encías, y determinará la opción más adecuada de carillas. Una vez que se decide proceder con el tratamiento, el siguiente paso consiste en preparar los dientes que recibirán las carillas. Para las carillas de porcelana, esto implica tallar ligeramente la superficie del diente. Tras la preparación, se toman impresiones de la boca del paciente. Estas impresiones son esenciales para crear carillas personalizadas que se adapten perfectamente a la anatomía dental del paciente.
Mientras se fabrican las carillas definitivas, es habitual que el dentista coloque carillas provisionales. Estas carillas temporales protegen los dientes preparados y permiten al paciente acostumbrarse a la nueva apariencia estética. Una vez que el laboratorio ha completado las carillas definitivas, el paciente regresa al consultorio dental. Durante esta visita, el dentista retirará las carillas provisionales y colocará las definitivas. El último paso consiste en realizar un ajuste final de las carillas. El dentista verificará que las carillas se integren adecuadamente en la mordida del paciente y hará los ajustes necesarios para asegurar una colocación óptima.
Beneficios de las Carillas Dentales
El tratamiento de carillas dentales ofrece una serie de beneficios que hemos ido desgranando en este artículo. A grandes rasgos, podemos decir que lo mejor de las carillas es que ofrecen una mejora estética de la sonrisa a corto plazo. La transformación que pueden ofrecer las carillas dentales va más allá de la estética. La posibilidad de tener una sonrisa más atractiva y saludable puede tener un impacto significativo en la autoestima de una persona.
- Estética Natural: Las carillas, especialmente las de porcelana, están diseñadas para emular la apariencia del esmalte dental natural.
- Mínimamente Invasivo: El procedimiento para colocar carillas, especialmente las de composite, es menos agresivo en comparación con otros tratamientos dentales.
- Durabilidad: Las carillas de porcelana son conocidas por su resistencia y longevidad.
Inconvenientes de las Carillas Dentales
Las carillas dentales, aunque ofrecen numerosas ventajas, también presentan ciertos inconvenientes que es importante considerar antes de optar por este tratamiento estético.
- Sensibilidad Dental: Después de la colocación de carillas, algunos pacientes pueden experimentar un aumento en la sensibilidad dental.
- Tallado del Diente: Para la colocación de carillas de porcelana, es necesario tallar ligeramente la superficie del diente. Este procedimiento implica una modificación del esmalte dental, lo que no es reversible.
- Costo: El tratamiento con carillas dentales puede ser elevado, especialmente las carillas de porcelana.
- Posible Desgaste o Fractura: Aunque las carillas son generalmente resistentes, no son indestructibles. Con el tiempo, pueden desgastarse o incluso fracturarse si se someten a un uso excesivo, como el hábito de morder objetos duros.
¿Las Carillas Dentales Dañan los Dientes?
Hoy en día, podemos decir que, gracias a los avances y a las últimas tecnologías en Odontología Estética, las carillas dentales no dañan los dientes. Tradicionalmente, las carillas dentales de composite siempre han exigido tallar menos el diente que las de porcelana. Dicho esto, la necesidad de realizar el tallado depende de dos factores: la posición y el color. Si ambos aspectos son adecuados, no será necesario hacerlo.
En cambio, si el diente se encuentra excesivamente adelantado o tiene un color muy amarillo sí que es necesario “tocar” la pieza dental. En estos casos, se llevará a cabo un tallado dental bajo anestesia local.
Cuidados Posteriores y Mantenimiento
No contar con una adecuada higiene bucodental no solamente es perjudicial para la salud dental, sino también para usar carillas dentales. La acumulación de sarro conlleva la aparición de inflamaciones en las encías o filtraciones. La forma más sencilla de saber si este es el tratamiento indicado para ti es conociendo la opinión de nuestros pacientes con carillas dentales.
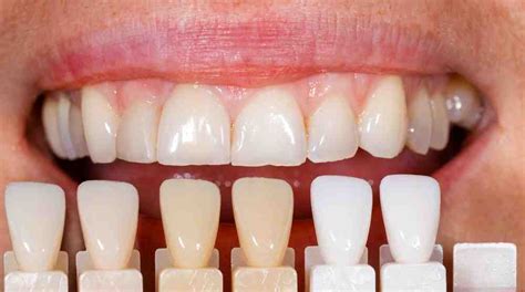
Además, no se recomienda blanquear las carillas, ya que no responderán a los tratamientos de blanqueo. No, las carillas dentales no se pueden blanquear. Por ello, antes de colocarse una carilla es necesario asegurarse de que el color es el adecuado. Esto se consigue mediante las pruebas que realiza el odontólogo al paciente, en las que se determina cuáles son el color, la forma, el tamaño o la posición más adecuados.
Famosos con Carillas Dentales
En el mundo del entretenimiento y la moda, la apariencia lo es todo. Los famosos son conocidos por tener sonrisas perfectas que capturan la atención de millones. Pero, ¿alguna vez te has preguntado cómo logran tener esos dientes tan blancos y alineados? La respuesta, en muchos casos, son las carillas dentales. En nuestro artículo, «Famosos con Carillas Dentales: Descubre los secretos de una sonrisa perfecta» podrás ver cómo este tratamiento estético ha sido clave para que muchas estrellas luzcan una sonrisa deslumbrante.

¿Qué tipo de carillas dentales son las más recomendadas?
Esta es otra consulta frecuente entre nuestros pacientes. En realidad, no hay una única “mejor” alternativa, sino la que mejor se adapte a tu situación particular. En Ferrus & Bratos te orientamos con claridad y profesionalismo para que elijas con seguridad. Depende de tus necesidades.
Contraindicaciones de las carillas dentales
Hay personas que están interesados en llevar carillas dentales para mejorar su sonrisa pero tienen malposiciones muy severas. Esto hace que los profesionales recomienden al paciente la posibilidad de llevar ortodoncia. Cuando el paciente no tiene una buena mordida (clase II, clase III, mordida cruzada…) las carillas dentales también pueden estar contraindicadas porque hay riesgo de rotura. Aunque en muchas ocasiones el hecho de padecer bruxismo se presente como una contraindicación, lo cierto es que en Ferrus&Bratos tratamos a pacientes que tienen este hábito y llevan carillas estéticas.
Si aun crees que las carillas están contraindicadas o pueden resultar un problema para ti, lo más adecuado es que acudas a un dentista especializado en Estética Dental avanzada. De esta manera, podrás saber con certeza cuál es el tratamiento que más se adapta a tus necesidades.