¿Estás insatisfecho con la apariencia de tus dientes grandes y buscas una solución efectiva? Una sonrisa atractiva y armoniosa es un aspecto importante para muchas personas, ya que puede influir en la autoestima y la confianza en uno mismo. Afortunadamente, existen diversas opciones para corregir o disimular dientes grandes y lograr la sonrisa que siempre has deseado.

¿Qué es la Macrodoncia?
La macrodoncia, o dientes grandes, es una condición dental en la que los dientes son significativamente más grandes que el promedio en proporción al resto de la cara y los dientes vecinos. Comprender las causas de esta condición es crucial para elegir el tratamiento adecuado.
Causas de la Macrodoncia
- Factores genéticos: La genética juega un papel importante en el tamaño y la forma de los dientes. Algunas personas heredan simplemente dientes más grandes que otras.
- Problemas de desarrollo: La macrodoncia también puede ser el resultado de un crecimiento excesivo de los dientes durante el desarrollo.
- Hábitos adquiridos: En algunos casos, los hábitos adquiridos, como la respiración crónica por la boca, la succión prolongada del pulgar o el uso de chupetes más allá de la edad adecuada, pueden contribuir al desarrollo de dientes grandes.

Son muchas las razones por las que unos dientes son asimétricos, entre ellas:
- Genética
- Hábitos parafuncionales
- Pérdida prematura de dientes
- Traumatismos
- Desarrollo incorrecto
Opciones de Tratamiento para Dientes Grandes
Existen varias opciones de tratamiento disponibles para aquellos que buscan disimular o corregir dientes grandes. Cada opción tiene sus propios beneficios y consideraciones.
1. Ortodoncia
La ortodoncia es a menudo la primera línea de tratamiento recomendada para aquellos con dientes grandes. Los aparatos de ortodoncia, como los brackets tradicionales o los alineadores transparentes, trabajan para mover gradualmente los dientes a sus posiciones correctas. La ortodoncia también puede mejorar la oclusión dental, es decir, la forma en que los dientes superiores e inferiores encajan entre sí.

Los expertos lo confirman: lucir una sonrisa alineada y perfecta sin haber llevado ortodoncia alguna vez, es casi imposible. "Es infrecuente que una persona que no haya utilizado ortodoncia en el pasado tenga los dientes correctamente colocados. El desarrollo dental tiene lugar durante años y en él intervienen una gran cantidad de factores. Por ello es muy habitual tener que recurrir a algún tipo de aparatología", dice la doctora Obradors.
ALINEADORES DENTALES INVISIBLES BARATOS y ORTODONCIA por INTERNET - ❌¡CUIDADO!❌
Ahora vemos una gran cantidad de padres que llevan ortodoncia a la vez que sus hijos. Animados por los buenos resultados que ven en los niños, cada vez se decantan más por la ortodoncia invisible. Esta es una técnica indolora, que prácticamente no se ve y que está basada en unos alineadores muy cómodos de quita y pon
La ortodoncia es un tratamiento que utiliza brackets y/o alineadores invisibles para mover los dientes.
2. Contorneado Dental
El contorneado dental, también conocido como ajuste oclusal, es un procedimiento conservador que puede ayudar a reducir ligeramente el tamaño de los dientes grandes y mejorar su forma. Es un procedimiento relativamente simple que puede realizarse en una sola cita dental y proporciona resultados inmediatos.

El contorneado dental se realiza comúnmente en combinación con el blanqueamiento dental para mejorar aún más la estética de la sonrisa.
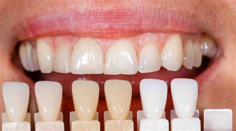
3. Carillas Dentales
Las carillas dentales son una opción popular y efectiva para aquellos que buscan una transformación más dramática en su sonrisa. Para aquellos con dientes grandes, las carillas pueden utilizarse para reducir la apariencia del tamaño dental al recubrir el diente con una cubierta más delgada y de tamaño más adecuado.

Las carillas son finas láminas de porcelana o composite que se adhieren a la superficie frontal de los dientes para mejorar su forma, color y tamaño.
Las carillas, según explica la doctora Patricia Palma Maldonado, fundadora de P&P Clinic, "son láminas pequeñas y finas que se colocan encima de los dientes para modificar tamaño, color, forma, cerrar espacios y cubrir cualquier fractura, mancha o imperfección".
Las carillas sirven para resolver alteraciones dentales como el diastema, el color amarillento del esmalte o el oscurecimiento dental, desgastes o irregularidades en los dientes.
Tipos de Carillas
Las carillas son de dos tipos de materiales: porcelana, más resistentes y composite, menos duraderas pero con un resultado estético muy aceptable.
- Carillas de composite: Las carillas de composite están hechas de resina compuesta (de ahí el nombre). Este tipo de carillas requieren menos mantenimiento y son más económicas que las carillas de porcelana.
- Carillas de porcelana: Las carillas de porcelana son más resistentes, duraderas y un poco más caras que las carillas de color del diente.
4. Coronas dentales
Las coronas son prótesis que recubren completamente el diente.
Otros consejos para disimular dientes grandes
- Maquillaje: Si eres mujer y deseas disimular tus dientes grandes, una buena opción es maquillar tus ojos dramáticamente para que las miradas se centren en ellos y no en tu boca. Además, es recomendable que descartes para siempre los labiales en colores vivos como rojo, fucsia o coral.
- Vestimenta: Vestirse de colores llamativos es una buena manera de disimular los dientes grandes. Cuando vestimos prendas en tonos como el amarillo o el azul eléctrico las personas suelen sentirse atraídas por el color porque es lo que les llama la atención.
Consideraciones Importantes Antes de Elegir un Tratamiento
- Consulta con un profesional calificado: Busca la opinión de un dentista experimentado y calificado que tenga una comprensión profunda de la macrodoncia y las opciones de tratamiento disponibles.
- Comprende tus opciones: Infórmate bien sobre las diferentes opciones de tratamiento disponibles, incluidos los beneficios, riesgos y resultados que puedes esperar de cada una.
- Considera una combinación de tratamientos: En algunos casos, una combinación de tratamientos puede proporcionar los mejores resultados.
- Mantén expectativas realistas: Recuerda que cada caso es único y los resultados pueden variar.
- Considera el impacto en tu estilo de vida: Algunos tratamientos, como la ortodoncia, pueden requerir ajustes en tu estilo de vida y dieta durante un período de tiempo.
Tratamiento para corregir los dientes asimétricos
El tratamiento para corregir los dientes asimétricos dependerá de la causa subyacente y de la gravedad del problema.
La importancia de una sonrisa simétrica
Recuerda, tanto reducir el tamaño de los dientes grandes como agrandar el tamaño de dientes pequeños no solo puede mejorar tu apariencia física, sino que también puede tener un impacto positivo en tu confianza y autoestima. Una sonrisa asimétrica, en la que los dientes no están alineados o presentan desproporciones en tamaño o forma, puede afectar tanto a su estética como a su autoestima.
¿Qué hacer si tienes diastema?
Si tienes diastema, tranquila, porque puede corregirse. La solución mas habitual es un tratamiento de ortodoncia en el que no hacen falta brackets porque puede corregirse con alineadores transparentes invisibles, para hacer el tratamiento más discreto.
Tabla comparativa de tratamientos
| Tratamiento | Descripción | Ventajas | Desventajas |
|---|---|---|---|
| Ortodoncia | Uso de brackets o alineadores para mover los dientes | Corrige la posición de los dientes y la oclusión | Puede ser largo y requerir ajustes en el estilo de vida |
| Contorneado Dental | Ajuste de la forma y tamaño de los dientes | Procedimiento rápido y conservador | Solo adecuado para pequeñas correcciones |
| Carillas Dentales | Cubiertas delgadas que se adhieren a los dientes | Transformación dramática de la sonrisa | Puede requerir cierto desgaste del diente |
| Coronas dentales | Prótesis que recubren completamente el diente | Mejora la forma, color y tamaño del diente | Puede ser más invasivo que otras opciones |