El crecimiento de los maxilares tiene una gran influencia en el desarrollo armonioso del cráneo y las fosas nasales, así como en la correcta erupción y alineación de los dientes. Un problema común es la deficiencia transversal maxilar, conocida como "paladar estrecho". Esta condición se manifiesta en edades tempranas y, si no se trata, persiste, causando problemas en el desarrollo facial y craneal. Por lo que la opción terapéutica de elección para la corrección de discrepancias transversales depende principalmente de la madurez esqueletal del paciente y de la magnitud de la discrepancia transversal.
Cuando el paciente es niño o adolescente, los huesos maxilares están en crecimiento y sus suturas son blandas, facilitando la expansión. En adultos, el hueso maxilar está completamente formado y sus suturas son más duras, complicando la expansión del paladar.

Tratamientos Tradicionales y Nuevas Técnicas
El tratamiento dental tradicional para resolver este problema es la cirugía ortognática, que ofrece una expansión rápida a través de una cirugía maxilar. Sin embargo, en los últimos años, ha surgido una técnica innovadora llamada MARPE (Microimplant Assisted Rapid Palatal Expansion), basada en el anclaje de un expansor a través de microtornillos en el paladar. Esta técnica permite aplicar las fuerzas necesarias para expandir el maxilar sin ejercer presión sobre los dientes del paciente.
En los casos en que el hueso es muy duro (hombres mayores de 30 años y mujeres mayores de 40 años), puede ser necesario realizar una cirugía complementaria para ayudar al aparato a realizar la expansión.
El Proceso MARPE: Paso a Paso
- Análisis Inicial: El tratamiento con MARPE comienza con un análisis del grosor y el tipo de hueso maxilar a través de una radiografía ósea en 3D.
- Registros Digitales: Si el análisis es favorable, se toman registros en 3 dimensiones del paladar con un escáner intraoral.
- Fabricación y Fijación del Expansor: Una vez fabricado el aparato, se fija el expansor en el paladar mediante microtornillos guiados según la planificación digital.
- Activación del Expansor: Después de la colocación, el paciente activa el expansor diariamente durante un periodo de tres a cuatro semanas, siguiendo las recomendaciones del ortodoncista.
- Aparición de Espacio Interdental: A medida que se expande el paladar, aparece un pequeño hueco entre los incisivos centrales superiores.
- Ortodoncia Post-Expansión: Tras el tratamiento activo (aproximadamente 3 meses), se inicia la ortodoncia con alineadores transparentes o brackets para alinear correctamente todos los dientes y cerrar el espacio entre los incisivos.
- Mantenimiento del Expansor: El expansor se mantiene en el paladar durante 9 meses adicionales para permitir la generación de nuevo hueso en el espacio creado.

Proceso 𝗠𝗘𝗦 𝗮 𝗠𝗘𝗦 | HYRAX + BRACKETS | Tratamiento ORTODONCIA
Complicaciones y Cuidados del MARPE
Las complicaciones asociadas con la técnica MARPE son mínimas e incluyen la inflamación de la encía y la generación de mucosa alrededor de los microtornillos. Estas pueden prevenirse siguiendo las instrucciones de higiene dental proporcionadas por el ortodoncista.
El Rol del Ortodoncista
El ortodoncista es una pieza clave en un tratamiento de expansión con MARPE. Esta técnica es relativamente nueva y debe ser realizada por un ortodoncista con experiencia.
Expansión Rápida del Paladar Asistida Quirúrgicamente (SARPE)
La edad del paciente es un factor esencial en la elección entre expansión ortopédica y SARPE. La mayoría de los autores coinciden en que la edad límite para realizar disyunción ortopédica sin necesidad de intervención quirúrgica son los 15 años de edad. Dentro del concepto SARPE, existen varias técnicas quirúrgicas aplicables individualmente según el caso.
Algunas de las técnicas de SARPE incluyen:
- Osteotomía Transpalatina de 2 Segmentos: Se extiende desde la espina nasal anterior, pasando entre los ápices de los incisivos centrales superiores y el rafe palatino.
- Osteotomía de 3 Segmentos (Segmentaria): Se extiende desde la apertura piriforme bilateralmente, pasando entre los ápices de los incisivos laterales superiores-caninos y el paladar.
- Osteotomía Asimétrica: Una variante de la osteotomía de 3 segmentos, extendiéndose desde la apertura piriforme unilateralmente.
- Disyunción de la Sutura Pterigo-Maxilar: Realizada entre la tuberosidad maxilar, las láminas pterigoideas y el proceso piramidal del hueso palatino.
Las osteotomías palatinas de 2 y 3 segmentos pueden combinarse con la disyunción de la sutura pterigo-maxilar, aportando beneficios adicionales según la literatura científica.

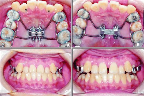
Disyuntores de Anclaje Óseo vs. Dentario
La elección del disyuntor depende del estado periodontal del paciente. Los principales tipos son:
- Disyuntor Transpalatino de Anclaje Óseo: Indicado en pacientes con un número reducido de piezas dentarias y/o soporte periodontal comprometido. Se ancla entre el segundo premolar y primer molar en el hueso palatino intraoperatoriamente.
- Disyuntor de Anclaje Dentario (Hyrax): Indicado en pacientes con buen estado periodontal y dentario, paladares extremadamente estrechos y suficiente número de piezas dentarias.
No hay consenso sobre cuál tipo de disyuntor ofrece mejores resultados dentoesqueléticos y mayor estabilidad posquirúrgica. Algunos estudios no encuentran diferencias significativas entre ambos tipos, mientras que otros sugieren que los disyuntores de anclaje óseo producen mayor expansión dentaria y ósea.
Activación y Período de Latencia
La mayoría de los autores recomiendan la activación intraoperatoria para asegurar la estabilidad del aparato y reducir las fuerzas de resistencia. Tras la intervención quirúrgica y la activación intraoperatoria del disyuntor, se requiere un período de latencia o descanso para permitir la formación de un callo óseo que proporciona estabilidad en la disyunción. La duración de este período varía entre 5 a 7 días, aunque algunos autores sugieren períodos más cortos o largos.
SARPE de 2 vs. 3 Segmentos
Estudios han demostrado que ambas técnicas de SARPE (2 y 3 segmentos) con disyunción de la sutura pterigo-maxilar obtienen mayor expansión ósea que dentaria. Sin embargo, la SARPE de 3 segmentos ha demostrado mayor estabilidad de los resultados a largo plazo.
En la siguiente tabla se resumen las principales diferencias entre las técnicas de SARPE de 2 y 3 segmentos:
| Característica | SARPE de 2 Segmentos | SARPE de 3 Segmentos |
|---|---|---|
| Osteotomía | Transpalatina | Segmentaria |
| Estabilidad | Menor estabilidad a largo plazo | Mayor estabilidad a largo plazo |
| Indicación | Casos con menor necesidad de expansión | Casos con mayor necesidad de expansión y suficiente espacio interradicular |
Factores Clave en la Elección de la Técnica SARPE
La elección de la técnica SARPE y la necesidad de disyunción pterigo-maxilar dependen de factores como:
- Edad del paciente: La disyunción pterigo-maxilar se recomienda en pacientes mayores de 20 años debido a la mayor osificación de las suturas faciales.
- Estado periodontal: La disyunción pterigo-maxilar es necesaria en pacientes con periodonto comprometido para reducir las fuerzas de estrés sobre el soporte periodontal.
- Cantidad de expansión requerida: La disyunción pterigo-maxilar se recomienda cuando se requiere una expansión mayor o igual a 6 mm para reducir las fuerzas de resistencia suturales.
La modalidad de SARPE con osteotomía de 3 segmentos estaría indicada siempre que haya suficiente espacio entre las raíces de los incisivos laterales y caninos para evitar daño radicular.
tags: #disyuncion #maxilar #en #adultos