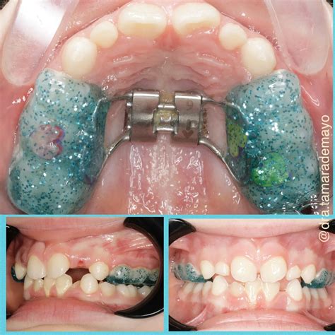
Aunque es un concepto poco conocido, el disyuntor dental es un dispositivo utilizado en la ortodoncia para corregir problemas del paladar. Un disyuntor dental o expansor palatino es un dispositivo de ortodoncia que tiene la función de corregir problemas tanto del maxilar inferior como superior. Este aparato está conformado por una pieza metálica que se expande poco a poco, y que el dentista coloca en la parte interna de la boca, para crear mayor espacio en el arco dental superior.

Tipos de Disyuntores Dentales
Existen tres tipos principales de disyuntores: disyuntor de Hass, de Hyrax y de McNamara. La elección dependerá de las necesidades del paciente y de la recomendación del dentista.
Disyuntor de Hass
El disyuntor de Hass está conformado por dos bandas de metal, que se fijan a los molares y un tornillo central sujeto a una superficie acrílica que se mantiene en contacto con el paladar. Se usa para la acción de ensanchar. Es muy común su uso en niños pequeños.
Disyuntor de Hyrax
El disyuntor de Hyrax es similar al de Hass, pero en lugar de la superficie de acrílico tiene una metálica. Puede ser usado en niños y adultos.
Disyuntor de McNamara
El disyuntor de McNamara es distinto en cuanto a la forma como se sujeta de los molares, ya que lo hace a través de unas especies de férulas acrílicas. El disyuntor McNamara se usa en los niños más pequeños que aún no han finalizado su recambio dental. Es decir, en aquellos que no han cambiado sus dientes de leche por los definitivos.
En el siguiente artículo, hablaremos de uno de los expansores de maxilar más usados durante la infancia, el disyuntor McNamara. El disyuntor McNamara es un aparato fijo que consta de dos placas de acrílico que se sujetan sobre los molares superiores íntimamente adaptado de tal manera que queda hermética. Este expansor debe su nombre al Dr.
MARPE EXPANSOR de PALADAR - Así funciona el disyuntor de ortodoncia en adultos ©
¿Cuándo es Necesario el Uso de un Disyuntor Dental?
Los disyuntores dentales se utilizan, por lo general, en niños de edades comprendidas entre los 7 y 12 años. Esto se debe a que en esta etapa el paladar es más maleable, lo que hace que el proceso de expansión sea más fácil. Un especialista en odontopediatría o un ortodoncista son los profesionales capacitados para determinar cuándo es necesario un disyuntor dental.
En adultos, un disyuntor dental puede ser necesario en pacientes que no tienen suficiente espacio para la colocación de implantes dentales. También se utilizan para corregir asimetrías del rostro producidas por un paladar estrecho.
Condiciones Específicas que Trata
Con un disyuntor dental se pueden tratar problemas como:
- Atresia maxilar (paladar superior estrecho o contraído).
- Mordidas cruzadas. La mordida cruzada es una de las principales consecuencias del paladar ojival.
- Mandíbula superior muy pronunciada.
- Mandíbula inferior es demasiado grande.

¿Cómo se Instala y se Usa un Disyuntor Dental?
Evaluación Inicial y Planificación
En la primera etapa del proceso, entre las funciones del ortodoncista están hacer un chequeo físico de la boca, además de tomar imágenes intraorales y extraorales que luego analizará para saber cuál de los tipos de disyuntores dentales es el más adecuado para la condición particular del paciente. Estudio de ortodoncia: comienza con un análisis del paciente. Este análisis incluye una evaluación bucodental, junto con la captura de fotografías y radiografías. Además, se toman mediciones precisas para obtener una representación detallada de la estructura bucal del paciente. En primer lugar, es necesario realizar un estudio de ortodoncia al niño, basado en una exploración bucodental y una serie de radiografías (panorámica y cefalometría) y fotografías (intraorales y extraorales).
Proceso de Instalación
Una vez que se tenga listo el dispositivo, el dentista procede a insertarlo y fijarlo en los molares. Colocación del disyuntor: además de ajustar y asegurar la correcta instalación del aparato, el doctor aprovechará para proporcionar a los padres del menor las instrucciones pertinentes tras su colocación. Una vez confeccionado el disyuntor, el niño acude a la clínica dental para que el ortodoncista le coloque el aparato.
Ajustes y Activación del Disyuntor
Los ajustes y la activación del disyuntor se realiza girando el tornillo que se encuentra en el centro del aparato. Para adaptarlo bien, se debe ir ejerciendo presión para ir ensanchando la arcada dental. Dependiendo de la edad del paciente, el médico dará a este o a sus cuidadores las instrucciones para activar y ajustar el dispositivo. Esto, por lo general, se realiza una vez al día, aunque puede variar según lo indicado por el médico. Mediante una llave especial proporcionada por el ortodoncista, los padres deberán girar el tornillo central con el que cuenta el disyuntor de paladar. El funcionamiento del disyuntor palatino se basa en la aplicación de presión sobre el paladar, de manera gradual y controlada. Estos ajustes deben ser realizados por los padres del niño en casa.
Resultados y Beneficios del Uso de un Disyuntor Dental
Expansión del Paladar
Después de colocar el expansor palatino, el paciente sentirá presión en el paladar y en los dientes que lo rodean, lo cual es normal mientras comienza el proceso de expansión del paladar. Una vez que se ha logrado la expansión deseada, se deja de aplicar presión sobre el paladar.
Mejora de la Alineación Dental
Un disyuntor dental es efectivo para mejorar la alineación dental, ya que funciona corrigiendo la mordida cruzada y también reduciendo el apiñamiento dental. Puesto que su función es expandir el paladar y crear mayor espacio en el arco dental. Apiñamiento dental: en un paladar estrecho no hay suficiente espacio para que todos los dientes definitivos erupcionen correctamente.
Impacto en la Respiración y la Fonética
Un paladar estrecho puede restringir el flujo de aire. Al ensanchar el maxilar superior, también la parte inferior de las fosas nasales se ensanchan, y en consecuencia se mejora la respiración, e incluso reduce los ronquidos. Uno de los efectos de un paladar estrecho es la disminución del flujo de aire, lo cual afecta la respiración del paciente. En estos casos, el disyuntor ayuda a ensanchar el maxilar superior, lo que produce que también se ensanche la parte inferior de la fosas nasales. Dificultades respiratorias, apnea y ronquidos: otra de las consecuencias de tener un paladar estrecho son las molestias nasales y respiratorias. Esto dificulta el paso del aire a través de las fosas nasales, causando, así, problemas para respirar, ya que las vías respiratorias se colapsan parcial o completamente e interrumpen la respiración.
Cuidados y Mantenimiento del Disyuntor Dental
Higiene Oral con el Disyuntor
Una adecuada rutina de higiene dental es esencial para evitar enfermedades bucales, como las caries infantiles o problemas en las encías, como la gingivitis o periodontitis. Para ello es importante el cepillado tres veces al día, y el uso de enjuague bucal una vez al día. Una adecuada rutina de higiene bucal cuando se utiliza un disyuntor dental, debe incluir una buena técnica de cepillado.
Alimentación Adecuada
Es recomendable evitar el consumo de alimentos pegajosos, como chicles, que se puedan adherir al dispositivo; así como, tampoco se debe comer alimentos duros como los caramelos o morder hielo, que puedan dañar el aparato o hacer que se afloje. Para los pacientes con disyuntores dentales, lo más recomendable es evitar los alimentos pegajosos como chicles o gominolas que puedan adherirse al aparato.
Revisión y Seguimiento
Las visitas periódicas al ortodoncista son esenciales para garantizar el éxito de este procedimiento. Estas revisiones serán las que permitirán al especialista controlar el progreso del tratamiento, así como de realizar los ajustes que sean necesarios, hasta el momento en que se deba retirar el dispositivo de la boca del paciente. También el dentista puede hacer una limpieza profesional bucal para complementar la higiene bucal. Visitar al ortodoncista de forma regular es la forma de asegurarse de que el tratamiento tenga éxito.

Duración y Precios del Tratamiento con Disyuntor Dental
La duración del tratamiento puede variar dependiendo de la condición del paciente. Por lo general, la primera etapa del tratamiento en la que los pacientes o sus cuidadores deben ajustar a diario el dispositivo dura entre 20 y 30 días. Luego de esto, el médico hará revisiones los siguientes seis meses, hasta un año. Por lo general, los niños tienen que llevar el disyuntor en la boca entre cuatro y seis meses. Sin embargo, el aparato se mantiene en la boca durante varios meses más para que los huesos y tejidos se estabilicen. En total, el niño tiene que llevar el disyuntor de paladar entre cuatro y seis meses, aproximadamente. La duración del tratamiento con el disyuntor McNamara depende de las necesidades de cada paciente. El periodo siguiente de tratamiento suele tener una duración entre 6 meses y un año, dependiendo de la situación del paciente.
En España puede variar entre los 600 euros y los 1400 euros, pero ella dependerá del tipo de disyuntor, de la complejidad del caso particular del paciente; así como de la experiencia del ortodoncista.
| Aspecto | Descripción |
|---|---|
| Tipos de Disyuntores | Hass, Hyrax, McNamara |
| Duración del Tratamiento | Aproximadamente 6 meses a 1 año |
| Rango de Precios (España) | 600€ - 1400€ |
| Edades Comunes de Uso | Niños de 7 a 12 años, también en adultos |
tags: #disyuntor #ortodoncia #adultos