El dolor de dientes y encías es una de las principales razones por las que los pacientes visitan a su dentista. Conocer a qué se debe el dolor de dientes y encías es fundamental para poder proporcionar el mejor tratamiento dental.
¿Cómo saber si tus encías están inflamadas?
Es importante identificar los síntomas de la inflamación de las encías para buscar tratamiento a tiempo. Aquí te presentamos algunos signos:
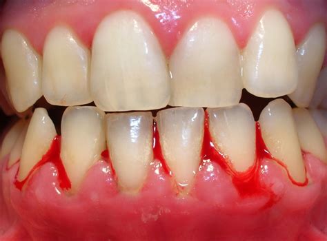
- Encías rojas: Uno de los síntomas más notorios cuando tus encías están inflamadas es su color rojo brillante o morado, cuando lo saludable es que sea de un tono rosa pálido, es de un tono rojizo parecido a un frambuesa madura.
- Sangrado de las encías: El síntoma más notorio es el sangrado, ya sea al morder alimentos duros que pasen rozando las encías, como puede ser darle un mordisco a una manzana o el más común al usar el hilo dental o cepillar los dientes.
- Encías sensibles: Las encías deben de ser firmes, pero cuando están inflamadas se vuelven sensibles e incluso dolorosas al tacto.
- Mal aliento o halitosis: Este es otro de los síntomas más habituales que van de la mano con las encías inflamadas.
- Recesión de las encías: Cuando las encías han estado inflamadas durante mucho tiempo sin ser tratadas es probable que poco a poco vayan retrocediendo dejando ver la raíz del diente, esto entre otras molestias, puede provocar sensibilidad dental.
Si presentas uno o varios de los síntomas descritos, se recomienda acudir a consulta con un especialista en encías u odontología general.

Lo más usual es pensar: me sangran las encías al cepillarme los dientes, puede que lo haya hecho muy fuerte, por cepillarme sangran y me duelen, tal vez es mejor que me deje de cepillar para que no me sangren más… Pero esta acción solo empeora la situación, te lleva a entrar en un ciclo vicioso porque al dejar de cepillar tus dientes, más bacterias se acumulan y la enfermedad empeora.
¿Qué es la Pericoronaritis?
La pericoronaritis es una afección bucodental que suele aparecer durante la adolescencia o juventud, coincidiendo con la etapa de erupción de las muelas del juicio o cordales. Se trata de un proceso inflamatorio que afecta a la encía que cubre parcialmente la superficie de una pieza dental que está saliendo, generando un entorno propenso a infecciones. A pesar de su frecuencia, muchas personas desconocen qué es exactamente la pericoronaritis, por qué ocurre, cuáles son sus síntomas más representativos y qué opciones de tratamiento existen.
La pericoronaritis es una inflamación localizada en el tejido blando que cubre parcialmente una muela en proceso de erupción, especialmente frecuente en las muelas del juicio. Esta inflamación suele acompañarse de infección cuando el colgajo de encía, conocido como opérculo, acumula bacterias y restos alimentarios. Aunque puede afectar a cualquier molar en erupción, la mayoría de los casos de pericoronaritis se localizan en las muelas del juicio inferiores, dado que estas suelen tener más dificultades para emerger de manera completa y alineada.
Las muelas del juicio suelen erupcionar entre los 17 y 25 años y, en muchos casos, no tienen suficiente espacio para salir correctamente. La pericoronaritis (también conocida como pericoronitis) es una infección que se da cuando un diente erupciona y queda parcialmente cubierto por la encía. Suele darse en pacientes de entre los 18 y los 29 años, durante el crecimiento de las muelas del juicio.
La pericoronaritis suele afectar a la encía que rodea los últimos molares inferiores, sobre todo en los casos en los que la erupción del diente no se puede dar correctamente por falta de espacio en las encías. Además de controlar el crecimiento de las muelas del juicio, deberemos poner especial atención a las personas con facilidad para la acumulación de placa, ya que desarrollarán pericoronaritis con más facilidad.
🚩Encía 𝐈𝐍𝐅𝐋𝐀𝐌𝐀𝐃𝐀 Muela del Juicio -💊Tratamiento de 𝙋𝙀𝙍𝙄𝘾𝙊𝙍𝙊𝙉𝘼𝙍𝙄𝙏𝙄𝙎 del tercer molar (𝗦𝗨𝗣𝗘𝗥𝗖𝗹𝗮𝗿𝗼 👌)
Causas de la Pericoronaritis
La causa más común de pericoronaritis es la erupción incompleta de una muela del juicio. Cuando la pieza no termina de salir completamente, parte de la corona queda cubierta por encía. El colgajo de encía que cubre la muela forma un espacio cerrado donde no llegan ni el cepillo de dientes ni el enjuague bucal. Esta zona se convierte en un reservorio de bacterias y placa, sobre todo si no se realizan limpiezas profesionales periódicas.

Síntomas de la Pericoronaritis
- Inflamación de la encía: Uno de los signos más evidentes de pericoronaritis es la inflamación de la encía en la parte posterior de la boca, justo donde se encuentra la muela del juicio en erupción. El tejido se muestra enrojecido, abultado y puede presentar dolor al contacto. La inflamación puede extenderse hacia la mejilla o el cuello, especialmente si la infección progresa.
- Dolor: El dolor provocado por la pericoronaritis puede ser leve o severo, y en ocasiones se irradia hacia el oído, la mandíbula o incluso el cuello. Al masticar, hablar o tragar, las molestias pueden intensificarse, lo que dificulta llevar una vida normal.
- Mal aliento: Otro síntoma habitual es el mal aliento, causado por la acumulación de bacterias y restos en el colgajo de encía.
- Inflamación de los ganglios linfáticos: En fases más avanzadas, el organismo activa su sistema inmunológico para combatir la infección. Esto puede provocar la inflamación de los ganglios linfáticos cercanos, sobre todo en la zona submandibular y cervical.
Diagnóstico de la Pericoronaritis
En caso de que los síntomas ya hayan aparecido, el primer paso será hacer una visita al odontólogo para revisar y valorar la situación. En esta visita, es muy probable que se realice una limpieza de boca profesional, así como un drenaje de la zona afectada.
Tratamiento de la Pericoronaritis
El tratamiento depende del grado de infección. En casos leves, puede bastar con una limpieza profesional en la zona, uso de enjuagues antisépticos y analgésicos. Si la pericoronaritis se repite o la muela del juicio no tiene espacio para salir correctamente, puede ser necesario extraer la pieza dental.
Primero se realizará una limpieza dental profesional y un drenaje quirúrgico de la zona afectada. Cuando haya remitido la infección, valoraremos la necesidad de eliminar el tejido de la encía que cubre la muela en erupción.
El tratamiento puede incluir:
- Limpieza profesional para eliminar bacterias y placa.
- Enjuagues bucales con soluciones antisépticas.
- Antibióticos en caso de infección.
- Extracción de la muela del juicio si es necesario.
Prevención de la Pericoronaritis
Las revisiones con el dentista son clave para detectar si las muelas del juicio están erupcionando correctamente. Como hemos indicado anteriormente, una buena prevención siempre será la mejor cura. Es fundamental cepillarse lo dientes correctamente después de cada comida y, dentro de lo posible, después de cada bebida ingerida que no sea agua. En los casos en los que esta rutina no sea viable, lo recomendable será cepillarse al menos dos veces al día.
Otras Causas del Dolor de Encías
El dolor de encías puede deberse a múltiples causas, además de la pericoronaritis. Dados los muchos diagnósticos posibles, recomendamos que, si se tiene alguna molestia en la zona periodontal, se acuda al dentista en busca de soluciones.
Las 6 principales causas del dolor de encías:
- Enfermedades periodontales: La gingivitis y la periodontitis son las principales causas del dolor de encías. Provocadas por la acumulación de placa bacteriana, hacen que éstas se inflamen y puedan sangrar. Y cuando no se tratan a tiempo, no solo las encías sufren. Se puede llegar a perder alguna pieza dental y tener que recurrir posteriormente a un tratamiento de implantes dentales.
- Mala higiene bucodental: Si los hábitos de higiene no son los adecuados, es normal que ser más propenso a sufrir gingivitis. Cepillarse los dientes al menos 2 veces al día y hacerlo cuidadosamente te ayudará a mantener la salud periodontal.
- Cambios hormonales: Las variaciones en nuestras hormonas también son un aspecto que debemos tener en cuenta. Si el dolor no es demasiado intenso es algo que entra dentro de la normalidad y no se le debe dar importancia.
- La acción de otros tratamientos dentales: Si te has sometido a ciertas intervenciones quirúrgicas como: colocación de implantes, prótesis dentales, extracción de algún diente o una endodoncia, es normal que, en los días posteriores a la cirugía, puedas sentir molestias como dolor de encías, aunque deberían desaparecer en unos pocos días.
- Deficiencias nutricionales: Como ya sabrás, una buena alimentación es clave para tu salud, incluso para evitar el dolor de encías. Por ejemplo, la falta de vitamina C, puede llevar a problemas como el escorbuto, que causa dolor e inflamación.
- Diente que sale por la encía: En niños y adolescentes, lo más habitual es que un diente permanente esté saliendo en reemplazo de uno de leche. A veces el diente definitivo empieza a brotar en la encía antes de que el diente de leche haya caído, creando la apariencia de “doble fila” de dientes.
¿Qué sucede cuando vas al dentista por un dolor de dientes?
Durante tu primera visita, tu odontólogo creará tu historia clínica realizando un examen completo de tu salud. Le examinará la boca un odontólogo, junto a los dientes, las encías, mandíbula, lengua, garganta, senos nasales, los oídos, la nariz y el cuello. Como la mayoría de los dolores dentales es el resultado de la caries dental, hay que seguir unas buenas prácticas de higiene oral.
Consisten en cepillarse regularmente preferiblemente después de las comidas y meriendas con una pasta de dientes que contenga flúor, usar hilo dental una vez al día, visitar al dentista 1 vez al año para una limpieza profesional.
| Causa del Dolor | Tratamiento Común | Prevención |
|---|---|---|
| Pericoronaritis | Limpieza, antibióticos, extracción | Higiene, revisiones |
| Gingivitis | Limpieza, enjuagues | Higiene diaria |
| Caries | Empastes, endodoncia | Higiene, dieta baja en azúcar |