Experimentar dolor de encías al masticar puede convertir algo tan básico como comer en una experiencia incómoda y preocupante. Este síntoma no debe ignorarse, ya que generalmente indica un problema subyacente que requiere atención. Las encías sanas deben ser firmes, rosadas y no causar molestias durante la masticación. Cuando aparece dolor al masticar, puede deberse desde una simple irritación temporal hasta condiciones más serias como enfermedad periodontal.

Causas Comunes del Dolor de Encías
El dolor de encías al masticar puede originarse por múltiples factores que afectan tanto los tejidos blandos como las estructuras de soporte de los dientes.
Enfermedad Periodontal (Gingivitis y Periodontitis)
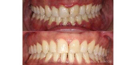
La causa más común es la gingivitis, una inflamación inicial de las encías provocada por la acumulación de placa bacteriana. La periodontitis, una forma más avanzada de enfermedad de las encías, también puede causar dolor significativo al masticar. En esta condición, la infección se extiende más profundamente, afectando los ligamentos periodontales y el hueso que soporta los dientes. Las causas más comunes del dolor de encía suelen ser las enfermedades periodontales, que como procesos infecciosos causados por las bacterias que se alojan en nuestra boca, provocan la inflamación e irritación de las encías y por tanto, molestias en las mismas.
Existen dos estadios de enfermedad periodontal que provocan dolor de las encías:
- Gingivitis: Es la enfermedad periodontal provocada por la acumulación de placa bacteriana y que ocasiona inflamación en la encía, enrojecimiento y sangrado de la zona gingival.
- Periodontitis Crónica: Se trata del estadio avanzado de la gingivitis, donde las bacterias han afectado no sólo a los tejidos blandos, sino también al hueso maxilar, poniendo en riesgo el sustento de los dientes.
Lesiones Traumáticas
Las lesiones traumáticas representan otra causa frecuente. Un cepillado demasiado agresivo, el uso inadecuado del hilo dental, o accidentes que golpean la zona pueden crear heridas en las encías que se inflaman y duelen especialmente al presionar con los alimentos.
Factores Sistémicos
Factores sistémicos como cambios hormonales durante el embarazo, diabetes mal controlada, o deficiencias nutricionales pueden hacer que las encías estén más sensibles y propensas al dolor. Cambios hormonales: aunque la gingivitis gestacional es de conocimiento general, el dolor de encías no va asociado únicamente al embarazo, sino a todos los cambios hormonales que sufren las mujeres.
Diabetes: son muchos los estudios que demuestran la relación directa que existe entre esta patología y las enfermedades periodontales. Y ello se explica debido a que las personas que padecen diabetes mellitus de tipo 2 sufren unas alteraciones en sus vasos sanguíneos que pueden impedir la adecuada circulación de la sangre en las encías.
Otras Causas
- Tras la extracción de un diente: es completamente normal sentir dolor en las encías que se encuentran alrededor del diente extraído.
- Encías retraídas: hay ocasiones en la que la retracción de encías se debe a un cepillado fuerte, en lugar de a una enfermedad periodontal.
- Dientes mal alineados: cuando existen malposiciones en los dientes es más común que se acumule el sarro alrededor de las piezas dentales.
- La dentición en bebés: se trata de una de las causas más comunes del dolor de encías en bebés. A partir de los 6 u 8 meses de edad los niños empiezan a sentir las encías inflamadas y sensibles.
Síntomas Asociados al Dolor de Encías
- Inflamación y enrojecimiento.
- Sangrado de encías.
- Sensibilidad dental.
- Mal aliento.
- Encías retraídas.
- Ardor en las encías.
- Dificultad para comer y masticar.
Cómo Aliviar el Dolor de Encías
Cuando experimentes dolor de encías al masticar, existen múltiples estrategias que pueden proporcionarte alivio tanto inmediato como a largo plazo.
Remedios Caseros
- Mejora inmediata de la higiene bucal: Intensifica tu rutina de limpieza usando una técnica de cepillado suave con un cepillo de cerdas blandas. Realiza movimientos circulares gentiles, prestando especial atención a la línea de las encías donde se acumula más placa bacteriana.
- Enjuagues terapéuticos caseros: Prepara una solución de agua tibia con sal (una cucharadita en un vaso) y realiza enjuagues suaves durante 30 segundos, tres veces al día.
- Aplicación de frío controlado: Usa compresas frías en la parte externa de la mejilla durante 15-20 minutos para reducir la inflamación y adormecer el dolor. Aplicar frío es una solución rápida, aunque temporal, para aliviar el dolor de encías. Resulta especialmente útil si estamos ante un caso de enfermedad periodontal y la inflamación es tal que duele incluso sin lavarnos los dientes o comer. Para reducir la molestia, recurre a un poco de hielo envuelto en tela y pásalo suavemente por la zona hinchada.
- Modificación temporal de la dieta: Opta por alimentos blandos y tibios que requieran menos fuerza masticatoria. Evita alimentos muy calientes, fríos, ácidos o crujientes que puedan irritar más las encías sensibles.
- Enjuagues con agua oxigenada diluida: Mezcla partes iguales de peróxido de hidrógeno al 3% con agua tibia.
- Uso de enjuagues bucales con sal. En una taza de agua caliente, colocar 1 cucharadita de sal y enjuagar la boca con esta preparación, y escupir. La sal tiene propiedades antibacterianas.
- Uso de geles orales con anestesia. Aplicar algún gel anestésico oral de venta libre ayuda a adormecer las encías, y con ello alivia el malestar y el dolor.
- Consumo de alimentos ricos en vitaminas. Incluir en la dieta diaria alimentos que aporten calcio, vitamina C y ácido fólico. Una dieta rica en vitaminas y minerales ayuda a mejorar la salud bucal, así como a evitar que ocurra hinchazón y dolor en las encías.
Tratamientos Profesionales
- Limpiezas dentales: Si la razón del dolor de encías es la acumulación de sarro y placa dental, una limpieza dental profesional servirá para eliminarla y con ello mejorará la condición. De cualquiera de las maneras, el tratamiento para frenar la gingivitis y que no derive en una periodontitis es una limpieza profesional.
- Tratamientos con antibióticos y antiinflamatorios: El dentista puede indicar antiinflamatorios, o incluso antibióticos si la causa de la inflamación y el dolor en las encías es producto de una infección . Siempre bajo prescripción médica, puedes tomar antiinflamatorios o incluso antibióticos para reducir la infección.
- Cirugía periodontal en casos avanzados: En casos de pacientes con alguna condición grave, puede ser necesaria una cirugía para eliminar bultos en las encías, reparar tejido o remodelar el hueso alveolar. En los casos en los que el dolor persista, será el momento de visitar un periodoncista profesional para que verifique si la causa puede ser una enfermedad periodontal y tratarla en consecuencia. Ten en cuenta que la piorrea no se puede tratar con remedios caseros, por lo que la única opción es ponerte en manos de un especialista.
Al menor síntoma de hinchazón o dolor gingival, esmérate en tener unas rutinas de higiene en casa aún más exhaustivas. Al contrario de la creencia popular, cuando la encía comienza a sangrar no debemos detener el cepillado, sino continuarlo. No te limites al uso del cepillo: utiliza un enjuague bucal antibacteriano.
Lo que SIEMPRE deberías hacer antes de lavar tus dientes, y el 99% no lo hace.
Cuándo Consultar al Dentista
Aunque muchos casos de dolor de encías al masticar pueden manejarse inicialmente en casa, existen señales que indican la necesidad de atención profesional inmediata.
- Persistencia de síntomas: Si observas que los síntomas no mejoran, o que al contrario empiezan a empeorar o aparecen otros síntomas, es importante buscar atención médica, para atacar el problema a tiempo y evitar que la condición se torne más grave.
- Signos de infección grave: Cuando el dolor es muy intenso y no mejora con los analgésicos, la inflamación se extiende u observas la aparición de pus; son señales de una condición grave que requiere de la atención de especialista en periodoncia de inmediato. Igualmente, sucede si hay mayor sangrado, fiebre y dificultad para masticar.
- Otros síntomas preocupantes incluyen el sangrado excesivo de las encías, la presencia de pus, el sabor metálico persistente en la boca, o la sensación de que los dientes se están aflojando.
- La movilidad dental asociada con dolor de encías es particularmente preocupante, ya que puede indicar pérdida de soporte óseo por enfermedad periodontal avanzada.
- No ignores el dolor de encías que interfiere significativamente con tu capacidad de comer o que te despierta por las noches.
Prevención del Dolor de Encías
Una vez que hemos recuperado el color rosado de nuestras encías -y con ello su salud-, la clave se encuentra en la prevención futura.
- Buenas prácticas de higiene bucal: Los hábitos de higiene bucal son esenciales para proteger tus encías. Esto incluye cepillarse al menos dos veces al día, utilizar hilo dental y enjuague bucal una vez al día. Así como utilizar un cepillo de cerdas suaves, y reemplazarlo cada tres meses.
- Dieta equilibrada: Una alimentación saludable que incluya frutas, vegetales y alimentos ricos en vitaminas y minerales es esencial para mantener tu salud general en buen estado, y también tus encías. Recuerda que debes evitar el consumo de alimentos ultraprocesados y demasiado azucarados.
- Evitar el tabaco y el alcohol: Fumar e ingerir bebidas alcohólicas aumenta el riesgo de padecer enfermedades periodontales. Además, estos hábitos afectan la recuperación de las encías en casos de tratamientos bucales. Evita el tabaco y el alcohol.
- Acude al higienista para realizarte limpiezas profesionales al menos una vez al año.

Recuerda que la atención oportuna es la mejor manera de encontrar un tratamiento adecuado y efectivo. Tu salud y estética dental son nuestra prioridad.