La doxiciclina es un antibiótico de amplio espectro derivado de las tetraciclinas, utilizado para tratar diversas infecciones bacterianas. Sin embargo, su uso puede estar asociado con efectos secundarios, especialmente en los dientes. Este artículo aborda en detalle los efectos de la doxiciclina en la coloración dental, las causas subyacentes, los tratamientos disponibles y las precauciones necesarias.

¿Qué es la Doxiciclina y para qué se utiliza?
La doxiciclina es un antibiótico bacteriostático que inhibe la síntesis proteica bacteriana al unirse a la subunidad ribosomal 30S. Se utiliza en el tratamiento de diversas infecciones, entre las que se incluyen:
- Brucelosis (con estreptomicina)
- Psitacosis
- Legionella
- Infecciones por Rickettsias
- Cólera
- Enfermedad de Lyme
- Fiebre recurrente
- Malaria (resistente a la cloroquina)
- Acné vulgar y rosácea
Además, se emplea en la profilaxis de la malaria y post-exposición a Bacillus anthracis, así como en el tratamiento alternativo de carbunco, tularemia, listeriosis, bartonelosis y actinomicosis.
Dosis y administración
Las dosis de doxiciclina varían según la edad y la condición a tratar:
- Niños mayores de 8 años: 2-4 mg/kg/día, divididos cada 12-24 horas (máximo 200 mg/día).
- Adolescentes y adultos: 100-200 mg/día, divididos en 1 o 2 dosis.
Es crucial seguir las indicaciones médicas respecto a la dosis y la duración del tratamiento.
Efectos Adversos de la Doxiciclina
Los efectos adversos más comunes incluyen:
- Dolor de cabeza
- Malestar general
- Fotosensibilidad (requiere uso de fotoprotector)
- Molestias digestivas (diarreas, irritación del esófago)
- Decoloración y manchas dentales en niños
Históricamente, las tetraciclinas se han reservado para niños mayores de 8 años debido a su afinidad por el calcio, lo que puede causar manchas dentales y retraso en el desarrollo óseo. No obstante, se ha observado que la doxiciclina presenta menos este efecto, especialmente en tratamientos cortos, lo que podría justificar su uso en niños pequeños bajo supervisión médica.
¿MANCHAS BLANCAS DESPUÉS DE UN BLANQUEAMIENTO DENTAL EN CASA O EN CONSULTORIO? ¡Aquí te explico!
Doxiciclina y Decoloración Dental
Uno de los efectos secundarios más notables de la doxiciclina, y de las tetraciclinas en general, es la decoloración de los dientes. Este problema se descubrió hace décadas y afecta principalmente a los niños cuyo esmalte dental aún está en desarrollo.
El grado de afección depende de:
- La cantidad de antibiótico administrado
- La duración del tratamiento
La tetraciclina es un antibiótico de amplio espectro que ha sido administrado por los médicos durante muchos años para tratar una larga serie de patologías.
Los casos de dientes negros por tetraciclinas son los más difíciles de tratar porque el diente ha perdido su brillo natural y se ha vuelto muy opaco, tizoso.
Grados de Decoloración
La decoloración dental se clasifica en varios grados:
- Primer grado: Decoloración leve amarillenta.
- Segundo grado: Decoloración amarilla más intensa.
- Tercer grado: Manchas grises o azuladas.
- Cuarto grado: Tinciones graves y oscuras que afectan todo el diente.
Pero hace décadas que se descubrió uno de sus más graves efectos secundarios: las manchas y coloración que provoca en los dientes. El grado de afección y, por lo tanto, de nivel y cantidad de manchas en los dientes depende de dos factores: de la cantidad de antibiótico suministrado y de la duración de ese tratamiento. En el tercer grado, las manchas toman un tono más oscuro de gris o tornan a un tono azulado. Cuarto grado: son las tinciones más graves, de color más fuerte y que afectan a todo el diente.
Tratamientos para la Decoloración Dental por Doxiciclina
Existen varias opciones para tratar la decoloración dental causada por la doxiciclina:
Blanqueamiento Dental
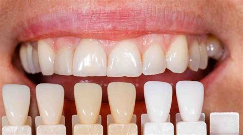
El blanqueamiento dental es un método común para aclarar el esmalte y reducir la tonalidad amarillenta o grisácea de los dientes. El tratamiento es cómodo e indoloro para el paciente. Los resultados se aprecian nada más comenzar con éste y no tiene efectos secundarios.
Para realizarlo, se producen unas férulas dentales a medida de la boca de cada paciente; en ellas se verterá una pequeña cantidad de gel blanqueador y se colocará en la boca, durante el tiempo que indiquemos en consulta.
Carillas Dentales
Las carillas dentales son láminas de cerámica o composite que se colocan sobre la superficie del diente para mejorar su apariencia en forma y color. Quedan cimentadas para que no se muevan y consiguen una estética dental óptima, en forma y color.
Implantes Dentales
Si la decoloración es severa y afecta la estructura del diente, los implantes dentales pueden ser una opción para reemplazar las piezas dañadas. Si necesitas recuperar una pieza dental no te lo pienses más y ponte implantes.

Otras Causas de Dientes Negros y sus Tratamientos
Además de la doxiciclina, existen otras causas de dientes negros que requieren diferentes enfoques de tratamiento:
Fluorosis
La fluorosis es una afectación dental que ocurre cuando hay una exposición excesiva al flúor durante la formación de los dientes definitivos. Este exceso de flúor puede deberse por la ingesta de agua potable con altas concentraciones de flúor (es algo que ocurre en algunos países extranjeros) o por un mal uso de los dentífricos con flúor o de los suplementos de flúor.
Si encontramos solo unas leves manchas blancas se pueden tratar mediante resinas sin necesidad de tocar el diente (tratamiento ICON), a veces unido a un blanqueamiento dental.
Taninos
Los taninos son unos compuestos químicos que se encuentran en una gran variedad de plantas. Pueden adherirse y precipitar proteínas lo que les confiere la propiedad astringente. Los taninos además tienen la pueden teñir, gracias a ellos el vino tinto tiene ese color tan peculiar, por ejemplo. Pero también pueden teñir los dientes si ingerimos grandes cantidades de alimentos con taninos.
Las tinciones por taninos, por tabaco o simplemente suciedad son las más sencillas de quitar. Basta con una buena limpieza a fondo por nuestra higienista para eliminar esos dientes negros.
Clorhexidina
El digluconato de clorhexidina es un antiséptico ampliamente utilizado en medicina y en odontología. Utilizado a baja dosis, como la que se utiliza en odontología, es un agente bacteriostático. Esto significa que evita que las bacterias puedan crecer y reproducirse.
Las tinciones por clorhexidina se eliminan fácilmente con una limpieza profesional.
Amalgama de Plata
La amalgama de plata es un material para hacer empastes ampliamente utilizado por sus grandes propiedades mecánicas. Sus propiedades mecánicas y su durabilidad son dignas de mención, sin embargo, tiene una parte mala y es que con el tiempo ponen los dientes negros.
Un diente teñido por amalgama de plata es difícil de blanquear, suelen necesitarse varias sesiones de blanqueamiento y normalmente solo se consigue rebajar un poco esa parte oscura.
Necrosis del Nervio
La necrosis del nervio significa la muerte del nervio. Como consecuencia de una caries dental, de un golpe o a veces por causa desconocida, el nervio del diente se necrosa, se muere.
Un diente negro por necrosis, la primera fase del tratamiento es la endodoncia, después según cómo sea de oscuro el diente, se hace el blanqueamiento intradentario, tantas sesiones como sea necesario hasta conseguir el tono óptimo.

Precauciones al Tomar Doxiciclina
Para minimizar los efectos adversos de la doxiciclina, es importante seguir estas recomendaciones:
- Tomar la doxiciclina con un vaso de agua para prevenir la irritación del esófago.
- Evitar tumbarse durante al menos una hora después de tomar el medicamento.
- Tomar la doxiciclina con las comidas para reducir las molestias gastrointestinales, pero evitar alimentos ricos en calcio.
- Evitar tomar suplementos ricos en hierro o zinc, o antiácidos, junto con la doxiciclina.
- Usar fotoprotector durante el tratamiento para evitar la fotosensibilidad.
Es importante tomar la doxiciclina según la pauta que indica el médico, pues dependiendo del problema de salud a tratar la posología de la doxiciclina cambia.
Interacciones Medicamentosas
La doxiciclina puede interactuar con varios medicamentos, alterando su eficacia o aumentando el riesgo de efectos secundarios. Algunas interacciones importantes incluyen:
- Antiácidos que contienen aluminio, calcio o magnesio: disminuyen la biodisponibilidad de la doxiciclina.
- Rifampicina, barbitúricos, fenitoína y carbamazepina: reducen la vida media de la doxiciclina.
- Warfarina: aumenta el efecto hipoprotrombinémico.
- Anticonceptivos orales: disminución del efecto.
- Penicilinas: la doxiciclina interfiere con la acción bactericida de las penicilinas.
Es fundamental informar al médico sobre todos los medicamentos que se están tomando antes de iniciar el tratamiento con doxiciclina.
Contraindicaciones
La doxiciclina está contraindicada en las siguientes situaciones:
- Alergia a las tetraciclinas.
- Embarazo (debido al riesgo para el desarrollo óseo y dental del feto).
- Niños menores de 8 años (excepto en casos de exposición a ántrax).
Las personas con problemas hepáticos o que toman anticoagulantes deben usar la doxiciclina con precaución y bajo supervisión médica.
tags: #doxiciclina #dientes #amarillos