¿Sientes que tu mordida está cambiando debido a la posición de tu lengua? ¿Observas que tus dientes están desalineados? Si quieres saber cómo corregir y evitar empujar los dientes con la lengua, ¡sigue leyendo!

¿Qué es la Protrusión Lingual?
En este artículo abordaremos un tema menos conocido pero importante en el campo de la salud dental: la protrusión lingual. La protrusión lingual implica el empuje constante de la lengua contra los dientes anteriores, particularmente los incisivos. La protrusión lingual implica un movimiento anómalo de la lengua, ya sea al hablar, al tragar o incluso estando en reposo.
La protrusión lingual en adultos es un problema que merece atención especializada debido a que puede resultar más desafiante de tratar en comparación con los casos en niños.
Causas de la Protrusión Lingual
Al hablar del origen de la protrusión lingual debemos diferenciar dos aspectos: fisiológicos y no fisiológicos. El factor genético hace que una persona sea más o menos propensa a padecer ciertas enfermedades o a tener un desarrollo inadecuado. En este sentido, existe una enorme incidencia de protrusión lingual en niños con síndrome de Down, dado que una de las consecuencias es tener una lengua mayor de lo habitual. Esta característica, conocida como macroglosia, contribuye al empuje de la lengua contra los dientes. Aun así, la protrusión lingual se explica también por otra serie de factores físicos y del propio desarrollo del niño.
- Hábitos Orales: Algunos niños desarrollan el hábito de empujar la lengua contra los dientes como parte de actividades rutinarias como hablar, tragar o incluso en reposo.
- Deglución Atípica: La deglución atípica es la manera infantil de tragar que persiste hasta la edad adulta.
Estudios que han observado la prevalencia de este trastorno en niños han concluido que son los hábitos no fisiológicos aquellos que son responsables de la mayoría de maloclusiones bucodentales. De ahí la importancia de una detección temprana para enseñar al niño a dejar dichas prácticas.
Consecuencias de Empujar los Dientes con la Lengua
Empujar los dientes con la lengua es un problema que va más allá de la estética dental y la mordida abierta. Las consecuencias de este trastorno afectan directamente al desarrollo del sistema orofacial. Por tanto, las anomalías que perjudican a dicho sistema son también responsables del mal desarrollo bucodental, con los problemas que implican para el día a día: complicaciones para hablar, no poder tragar correctamente y aparición de maloclusiones.
Esta mala práctica, que suele originarse en la infancia, conlleva una serie de complicaciones adicionales, tales como:
- Maloclusión: Cuando la lengua empuja constantemente los dientes, puede llevar a una mordida desalineada.
- Apiñamiento Dental: La presión constante ejercida por la lengua puede causar un apiñamiento de los dientes, lo que complica la higiene bucal y puede requerir tratamiento de ortodoncia.
- Dificultades Fonéticas: Una posición incorrecta de la lengua puede interferir en la pronunciación de ciertos fonemas, lo que podría requerir terapia del habla.
- Problemas Alimenticios: En particular en niños, empujar los dientes con la lengua puede dificultar la ingesta de alimentos sólidos, lo que puede llevar a deficiencias nutricionales.
- Hipotonía Buccofacial: La debilidad en los músculos de la lengua, labios y mejillas puede resultar de la mala posición de la lengua.
- Respiración Bucal: La posición incorrecta de la lengua puede contribuir a la respiración bucal, lo que a su vez puede llevar a problemas respiratorios y de sueño.
- Alteraciones Posturales: La posición de la lengua también puede influir en la postura general, lo que puede llevar a dolores de espalda y cuello.
- Desarrollo Facial Inadecuado: En casos extremos, la presión constante de la lengua puede afectar el desarrollo facial, especialmente en niños en crecimiento.
- Problemas Psicológicos: La estética dental afectada puede llevar a problemas de autoestima y confianza, especialmente en adolescentes.
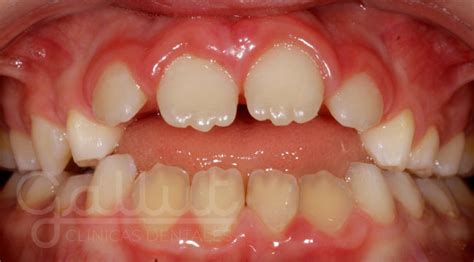
La mordida abierta es la consecuencia más habitual si hablamos de maloclusiones. Si, además, la protrusión lingual viene acompañada de la succión del pulgar, el niño también tendrá problemas de paladar ojival o estrecho.
Signos de Alarma de una Deglución Atípica o Interposición Lingual
- El niño siempre está con la boca abierta y le cuesta sellar los labios.
- La respiración siempre suele ser por la boca.
- Los incisivos centrales suelen estar inclinados hacia delante.
- El paladar no es está desarrollando correctamente en anchura, pudiendo presentar un paladar en forma de cueva (paladar ojival).
- La mordida puede estar alterada, puede presentar una mordida cruzada unilateral o bilateral.
- Puede presentar fascies adenoidea (cara alargada, ojeras, boca entreabierta…).
- Dificultad para pronunciar algunos fonemas como la D, la S o la T.
Por todo ello, es importante detectar este mal hábito a tiempo para poder reeducar la lengua y que permanezca en la posición correcta.
¿Cuál es la Posición Correcta de la Lengua?
La lengua, más que un simple órgano muscular, juega un papel importantísimo en funciones vitales como la respiración, la digestión y el habla. Pero además, su posición incorrecta puede comprometer la estética de tu sonrisa, provocando desalineaciones dentales. Este problema surge cuando la lengua no se posiciona adecuadamente contra el paladar, sino que se apoya en los dientes inferiores, generando presión sobre ellos.
Debemos tener en cuenta que, durante el día, podemos tragar saliva hasta mil veces, además de los movimientos que realizamos al masticar y tragar alimentos. Si en todos estos procesos la punta de la lengua se sitúa detrás de los dientes frontales, se crea una presión constante que puede empujar los dientes con la lengua, alterando la alineación dental. Este hábito puede llevar a que, gradualmente, tanto los dientes como el hueso alveolar cedan ante la presión, resultando en una mordida abierta. Este es uno de los problemas más comunes al empujar los dientes con la lengua.
Cuando la colocación de la lengua es inadecuada en el momento de tragar el alimento, decimos que se trata de un problema de deglución atípica. También se conoce a este hábito de interposición lingual como hábito de lengua.
La lengua en estado de reposo debe colocarse apoyando la punta en la parte dura del paladar, justo detrás de los incisivos centrales sin tocarlos o tocándolos ligeramente. Un truco muy sencillo es decir la varias veces: » ne-ne-ne-ne…» , ese es el lugar donde debe posicionarse la lengua.

4️⃣EJERCICIOS para la LENGUA que PREVIENEN problemas de MANDÍBULA 😛
Cómo Evitar Empujar los Dientes con la Lengua
Empujar los dientes con la lengua puede llevar a una serie de problemas dentales y orofaciales. La protrusión lingual es un trastorno que requiere atención debido a su potencial para alterar de manera significativa la estética dental y la funcionalidad de la mordida.
A menudo, este comportamiento resulta en el desplazamiento de los dientes hacia adelante, lo que puede requerir tratamientos de ortodoncia especializados. Estos pueden incluir dispositivos como rejillas linguales o trampas linguales, diseñados no solo para corregir la posición de los dientes sino también para reeducar la lengua.
Si el hábito se observa especialmente en niños, es probable que estemos frente a un caso de deglución atípica, mala posición de la lengua en reposo o incluso uso prolongado del chupete más allá de la edad recomendada.
En estos escenarios, un enfoque de tratamiento solo ortodóncico no es suficiente. Se debe abordar la raíz del problema para evitar que resurja, incluso después de una corrección ortodóncica exitosa. Por lo tanto, una combinación de logopedia y ortodoncia es a menudo la mejor estrategia para una rehabilitación completa. La ortodoncia se centra en corregir el trastorno de la mordida abierta, mientras que la logopedia se enfoca en corregir el patrón inadecuado de deglución.
Llegados a este punto nos preguntamos, ¿cómo se soluciona la protrusión de la lengua? Este trastorno requiere de la acción conjunta de un dentista y de un logopeda. Ahora que ya sabes cómo identificar la protrusión dental, te animamos a que consultes con tu dentista y logopeda de confianza cuáles son los ejercicios que necesita tu hijo.
Tratamientos para la Interposición Lingual
Para evitar todos los problemas mencionados anteriormente, lo más importante es la realización de un correcto diagnostico precoz para poder evitar que se instaure el hábito y que desarrolle futuros problemas que requieran un tratamiento más complejo.
En la mayoría de los casos es necesario la acción conjunta de un ortodoncista y un logopeda.
El papel que desempeña el Ortodoncista es el de detectar si se está produciendo algún problema esquelético para poder interceptarlo y ver si el paciente tiene necesidad de tratamiento o no. Lo primero que tendrá que diagnosticar es:
- Si el problema se ha instaurado en el hueso generando una compresión maxilar o estrechez de paladar.
- Si el problema se ha instaurado en los dientes, produciendo una inclinación de estos hacia fuera.
- Si el problema se ha instaurado en el hueso y en los dientes produciendo una mayor deformidad.
Dependiendo del caso se usará un tratamiento distinto. Existen distintos aparatos interceptivos para abordar el problema:
- Disyuntor maxilar: se usa en casos de estrechez de paladar para poder ensancharlo. Es muy frecuente encontrar un paladar ojival (estrecho y en forma de cueva) en casos de interposición lingual.
- Rejilla lingual: este elemento es una especie de «cárcel» para evitar que la lengua se posicione entre los dientes. Los resultados son espectaculares, y la mordida se puede cerrar sobre todo en pacientes de corta edad. Es muy importante rehabilitar el hábito de interposición ya que de lo contrario podría recidivar. Esta rejilla se puede incorporar en un aparato fijo ( Quad Helix) o en un aparato removible (placa de expansión , placa de hawley).
Por otro lado, como hemos mencionado anteriormente, es necesario la ayuda de un logopeda para rehabilitar el hábito de interposición lingual. Para ello, el logopeda empleará una terapia miofuncional orientada a corregir la malposición de la lengua. Esta terapia abarca distintos ejercicios linguales que el paciente deberá realizar , primero bajo la supervisión de un logopeda y mas adelante realizarlo en casa.
Es muy importante diagnosticar precozmente el hábito para poder evitar la aparición de problemas esqueléticos y dentarios en un futuro. Para ello deberás visitar a tu Ortodoncista desde la erupción de sus primero dientes y siempre antes de los dos años de edad, ya que antes de los dos años los problemas derivados de este tipo de hábito suelen ser reversibles.
Terapia Miofuncional: La Clave para Corregir la Protrusión Lingual
Aquí es donde entra en juego la Terapia Miofuncional, un conjunto de técnicas y procedimientos destinados a corregir el desequilibrio muscular orofacial. La protrusión lingual es un trastorno que requiere atención debido a su potencial para alterar de manera significativa la estética dental y la funcionalidad de la mordida.
Consiste en una serie de ejercicios específicos que se centran en mejorar la función y coordinación de los músculos orofaciales. Los ejercicios son diseñados para enseñar al paciente a posicionar correctamente la lengua en reposo y durante actividades como hablar y tragar. Esta terapia ayuda a establecer nuevos patrones musculares para la deglución y la articulación del habla, además de eliminar hábitos nocivos y mejorar la estética facial del paciente.
Para reforzar el tratamiento, los logopedas también podemos proporcionar una serie de ejercicios específicos que el paciente puede practicar en casa. Estos ejercicios complementan el tratamiento en la clínica y son fundamentales para asegurar una recuperación exitosa y duradera.
Para trabajar y mejorar la articulación se debe enseñar al niño el fonema “nuevo” en lugar de corregir el fonema mal articulado. Organizar los ejercicios en bloques o secuencias de corta duración (de 2 a 3 minutos) y con pausas intermedias. Practicar varias series de repeticiones para cada ejercicio. Esto permitirá que se den las asociaciones necesarias entre el sonido exacto de un fonema y los movimientos precisos de articulación correspondientes. Practicar diariamente, al menos 15 minutos. Lo ideal es que este tiempo sea el sumatorio, al final del día, de pequeños lapsos de tiempo en los que “jugamos” con la boca, los labios, la lengua, etc. Podemos inventar juegos en los que el objetivo sea practicar las praxias. Pero en el ámbito del aula también puede ser un recurso a tener en cuenta a la hora de estimular y llevar a cabo tareas de prevención con alumnos disfémicos.
Ejercicios para Corregir la Protrusión Lingual
Aquí hay algunos ejercicios que puedes practicar para corregir la protrusión lingual:
- Observar la acción de la lengua cuando pronuncia la /t/. Repetir 5 veces.
- Observar la acción de la lengua al pronunciar la /t/ y la /k/.
- Practicar un sonido similar al del estornudo.
- Realizarlos murmurando, haciendo un sonido explosivo cuando la lengua baja.
- Decir /cha/, /cha/, /cha/ y tragar.
- Poner las manos por delante de los oídos para sentir los músculos de la masticación.
- Morder fuertemente con los molares. Deberá sentir los movimientos.
- Colocar un pedazo de barquillo o miga de pan (tamaño “lenteja”) sobre la punta de la lengua, llevarlo hacia arriba (posición /n/) y mantenerlo en el mismo sitio mientras abre y cierra la boca.
- Tomar un pequeño sorbo de agua.
- Colocar un trozo de barquillo, o miga de pan… llevarlo a “su sitio”. En el momento de tragar, tirar suavemente hacia abajo del labio inferior.
- Colocar una pastilla “Juanola” o similar (en cuanto a tamaño), llevarla a “su sitio” y hacer presión. Tragar mientras la pastilla permanece en el mismo sitio.
- Mientras estudia, lee o ve la TV., colocar una pastilla tamaño “Juanola” en la boca.
- Bebe líquidos y alimentos pastosos: yogures, purés. Recuerda colocar la paja en el centro y hacia atrás en el paladar.
- Con un trozo de oblea colocado en la punta de la lengua, llévalo a los alvéolos. Los labios estarán separados y los bordes de la lengua apoyados en los molares superiores.
- Parecido al anterior, cambiar por una miga de pan, del tamaño de una lenteja. La posición de la lengua y la miga es la misma, (como para decir el fonema /n/). Mantenerlo en el mismo sitio mientras abres y cierras la boca.
- Mastica un trozo de galleta (tipo María) con la lengua pegada a los alvéolos y mordiendo ahora con la boca cerrada y abierta.
- Mientras estudias, lees o ves la tele, coloca una caramelo en la boca, masticable mejor para dejarlo pegado en posición de /n/, tragar mientras el caramelo sigue en el mismo sitio.
- Hacer el chasquido con la parte de atrás de la lengua. Observar lo que hace al pronunciar /k/, la lengua no debe tocar los incisivos superiores.
- Pon las manos por delante de los oídos para sentir los músculos de la masticación. Muerde fuertemente con los molares.
- MASTICAR: Con los molares.
- COLOCAR LA LENGUA EN POSICIÓN CORRECTA: punta de la lengua al igual que cuando articulamos /n/.
- Presiona con la lengua en el paladar haciendo fuerza hasta cubrir todo el paladar y haz 6 repeticiones.
- Se apoya la lengua contra las arrugar palatinas.
- Cortar un trocito de gelatina en láminas de la que venden para hacer repostería, mojar labios con saliva y colocar la gelatina sobre el labio inferior y juntar los labios.
Recomendaciones Adicionales
- Es recomendable hacer un cuaderno en el que aparezcan los días de la semana y los ejercicios que hay que hacer para que ellos apunten cada día si los realizan o no y se puntúen del 1 al 3 dependiendo de si les sale mejor o peor para luego darles una pequeña recompensa si van teniendo mejoría en función de los puntos que acumulen.
Etapas del Tratamiento Logopédico para la Deglución Atípica
La base del trabajo del logopeda es el sistema bucomaxilofacial, que se encarga de funciones esenciales como la respiración, succión, deglución, masticación, el habla, bostezar, llorar, vomitar, etc.
Para corregir el hábito de empujar los dientes con la lengua, el logopeda puede actuar antes, durante y después de la ortodoncia:
- Intervención antes de la ortodoncia: Es muy habitual que los logopedas trabajemos antes del tratamiento ortodóncico, sobre todo en el caso de los niños de corta edad que aún no están preparados para iniciar la corrección de su mordida. En esta fase podemos trabajar trastornos como: deglución atípica, respiración bucal, malos hábitos orales (ejemplo: succión del pulgar), etc.
- Revisiones y seguimiento durante el tratamiento ortodóncico: En este momento, el logopeda trata de verificar que el proceso va bien y se han generalizado los patrones aprendidos anteriormente para así evitar que surjan recaídas.
- El tratamiento postortodóncico del logopeda: También puede realizarse en aquellos pacientes con la mordida corregida y que aún mantienen el hábito de empujar los dientes con la lengua. Esto sucede porque el paciente no ha efectuado una terapia miofuncional previa o conjunta, lo cual puede desestabilizar la oclusión.
El Trabajo Conjunto del Logopeda y Dentista
Para tratar la protrusión lingual eficazmente requiere un enfoque integral y personalizado que abarque tanto las intervenciones físicas como las conductuales. Con el tratamiento adecuado y el compromiso del paciente, es posible corregir este hábito y prevenir futuras complicaciones dentales y ortodónticas. Ante una maloclusión, el tratamiento adecuado es de ortodoncia y ortopedia. Este consiste en la colocación de unos brackets o aparatos que van corrigiendo progresivamente la posición de los dientes. De esta manera, el ortodoncista pretende cerrar la mordida y expandir las arcadas, para que así la lengua tenga las condiciones funcionales idóneas.
Pero si no corregimos a la vez el patrón deglutorio, las consecuencias de la maloclusión van a continuar y será necesario volver a colocar los dientes al cabo de un tiempo. Por tanto, si quieres evitar que el problema vuelva a darse, es necesario corregir el origen, que son los malos patrones de la lengua y los labios. Es aquí donde el trabajo del logopeda es esencial para corregir la deglución atípica.
La intervención del logopeda debe darse antes, durante y después del tratamiento ortodóncico y siempre aplicando un tratamiento personalizado.
En CIO Salud conocemos los grandes beneficios del trabajo conjunto del logopeda y dentista, por eso ofrecemos una Unidad de Deglución Atípica en Bilbao que tiene como objetivo, el diagnóstico y el tratamiento de esta patología. El trabajo conjunto de nuestro equipo multidisciplinar nos permite el intercambio de información y la coordinación interprofesional, acortando los tiempos del tratamiento y garantizando resultados mucho más precisos a corto, medio y largo plazo.
Odontología Biológica: Un Enfoque Integral
Una parte esencial de la odontología biológica es asegurarse de que todo en la boca esté en armonía, incluida la posición correcta de la lengua. La boca y la nariz son las puertas de la salud. La odontología biológica es una aproximación que busca cuidar la salud bucal teniendo en cuenta el impacto que puede tener en el bienestar general del paciente. Un aspecto clave de la odontología biológica es el uso de materiales biocompatibles y seguros en los tratamientos dentales.
En la odontología biológica, se presta una atención especial a la posición de la lengua en la boca. Esto se debe a que la posición de la lengua puede afectar la alineación de los dientes y la forma en que se desarrolla la mandíbula y el maxilar superior. Cuando la lengua está en esta posición, ayuda a mantener el equilibrio en la boca y a prevenir problemas de alineación dental. Existen tratamientos disponibles en la odontología biológica para corregirlo como es la REHABILITACIÓN MASTICATORIA Y RESPIRATORIA (RMR). La terapia de postura lingual es un enfoque que busca entrenar a los músculos de la lengua y la boca para que se ubiquen en la posición adecuada. A lo largo del tiempo, y sin sustituir a un tratamiento de ortodoncia puede ayudar a mejorar la alineación adecuada de los dientes y mejorar la función oral.
Si resides en Madrid y estás interesado en explorar la odontología biológica, te recomendamos visitarnos en la Clínica CEODENT. Ofrecemos una amplia gama de servicios de odontología biológica en Madrid. En Clínica CEODENT, compartimos la filosofía de la odontología biológica y nos esforzamos por utilizar materiales seguros y métodos que respeten la salud general del paciente.

Como todo hábito, el empujar los dientes con la lengua, la deglución atípica y una mala posición lingual se pueden corregir. Puede suponer un poco de trabajo porque este hábito es algo que hacemos de forma inconsciente, pero cuentas con toda nuestra ayuda y experiencia para conseguirlo y evitar así todos los problemas que una lengua rebelde te puede ocasionar.