El dolor de muelas casi siempre indica que algo anda mal en tu boca, como la falta de revisiones a tu dentista habitual. Muchas personas recurren a la toma de antibióticos con la creencia de que calmarán el dolor, pero actualmente sabemos que esto puede ser peligroso si no se usan adecuadamente. Los últimos estudios de la Asociación Dental Americana (ADA) indican que los antibióticos no actúan directamente sobre el dolor de muelas. Como especialistas, recetamos estos medicamentos solo cuando está presente una infección bacteriana, por lo que te recomendamos no automedicarte.
Años atrás, ante la sospecha de una infección, la atención ambulatoria solía recetar antibióticos para preparar la intervención del dentista sin que supusiese un peligro para el paciente. Sin embargo, su uso indebido crea resistencia en el organismo, lo que significa que una infección puede agravarse a pesar de estar medicándonos correctamente y poner en riesgo nuestra vida.

Alternativas a los Antibióticos para el Dolor de Muelas
Como alternativa a los antibióticos para el dolor de muelas, podemos recurrir a otros tratamientos que, según la ADA, sirven para las afecciones periapicales y pulpares. Los medicamentos anteriormente señalados son analgésicos que actúan sobre el dolor y la inflamación reduciendo sus efectos. Existen, además, otros métodos más seguros que cada paciente puede probar en su casa. Si se sospecha que el dolor es producido por una presión sinusal, un baño con vapor favorecerá el malestar. El aceite de clavo es un calmante natural.
Cuando acudes regularmente a tu dentista, tienes menos motivos para preocuparte por tu salud bucodental. No esperes a que el malestar aparezca y solicita una consulta de revisión. Tu salud bucodental es lo primero.
Medicamentos que Pueden Afectar la Salud Dental
Hay ciertos medicamentos que destruyen los dientes y los dañan de manera irreversible si no se adoptan las medidas adecuadas. Asimismo, existen algunos fármacos y remedios naturales que protegen estas piezas dentales y las mantienen saludables. En ciertas ocasiones, los tratamientos farmacológicos afectan la salud dental y, si bien pueden ser recomendables para algunas patologías, también entrañan una serie de riesgos o efectos secundarios. Por lo tanto, vamos a tratar el impacto negativo que tienen sobre nuestra dentadura.
Tipos de Medicamentos Conocidos por Dañar los Dientes
Desafortunadamente, existen tratamientos que hacen daño a los dientes y encías, en general, a la salud bucal. Por este motivo, es necesaria la supervisión de un odontólogo para mitigar los efectos secundarios. Desde la coloración hasta posibles daños, como la pérdida del tejido óseo, pueden llegar a producirse.
- Opioides: Si el paciente toma opioides durante un largo período de tiempo, se podrían ocasionar daños ácidos en las caries e inflamación en las encías, por lo que hay que dirigirse a una consulta especializada en periodoncia.
- Ansiolíticos: Estos fármacos para combatir la ansiedad también llegan a producir caries dental. En función de su composición, las probabilidades pueden ser más altas.
- Antibióticos: El uso de los antibióticos también se asocia a la pérdida progresiva de piezas dentales. Aunque se suelen emplear para tratar infecciones bacterianas, bloquean la producción de proteínas.
- Antihistamínicos: La toma de estos medicamentos en casos de alergias puede llegar a ocasionar la candidiasis bucal. Una buena higiene bucal es la mejor cura.

Efectos Dentales Comunes Causados por Medicamentos
Los antibióticos que contienen amoxicilina o ácido clavulánico pueden ocasionar coloración en los dientes cuando el consumo es prolongado. Las piezas dentales adquieren un tono amarillento o gris amarronado, incluso, pueden aparecer manchas negras, si se administran sales de hierro oral. Por otro lado, el consumo de medicamentos después de una intervención, como una endodoncia dental, puede afectar al tejido óseo, crear dolor gingival, riesgo de sangrado en las encías e, incluso, producir hongos en la boca. Tampoco, se descarta la aparición de caries y úlceras molestas en la cavidad bucal.
Medidas para Reducir el Impacto Negativo en los Dientes
Para evitar el riesgo y este impacto negativo, se pueden adoptar medidas preventivas para mitigar estos posibles daños:
- Contar con un buen asesoramiento, por dicha razón, no dudes en consultar a tu dentista de confianza sobre la utilización de los fármacos.
- Si el paciente nota sensibilidad durante su toma, igualmente, debe ponerse en manos de un profesional para una revisión.
- Una buena higiene dental con un cepillado frecuente y una correcta hidratación serán muy favorables para reducir los riesgos.
- Evitar la automedicación y el uso de productos dañinos.
Manteniendo la Salud Dental Mientras se Toman Medicamentos
Sin duda alguna, se puede cuidar la salud dental durante la ingesta de estos medicamentos si se adoptan ciertos hábitos. En un principio, hay que prestar mayor atención a las pautas de higiene diaria, desde el consumo de ciertos alimentos, el cuidado dental y el consumo de algunos fármacos. Por otra parte, la visita regular al dentista debe estar contemplada en nuestra agenda. Si se tienen que llevar a cabo ciertos tratamientos farmacológicos prolongados, lo mejor es consultar al especialista. Por último, en el caso de tomar la medicación, lo más conveniente es hacerlo durante las comidas para proteger los dientes y las encías. Algunos de los químicos son muy dañinos y los alimentos funcionan como protectores.
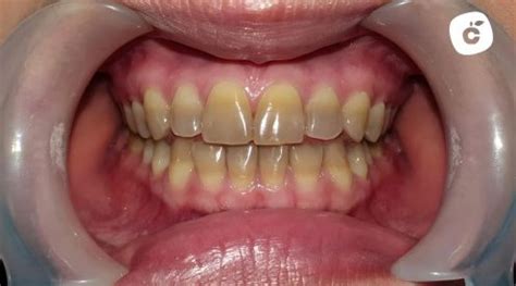
La Tetraciclina y sus Efectos en los Dientes
La tetraciclina es un antibiótico de amplio espectro que se ha utilizado durante mucho tiempo para tratar diversas infecciones bacterianas. Este antibiótico actúa como un obstáculo en el proceso de fabricación de proteínas de las bacterias, uniéndose a una parte específica de los ribosomas. El efecto secundario más notable de la tetraciclina en los dientes es la decoloración, que puede manifestarse como manchas amarillas, grises o marrones en los dientes, variando en intensidad desde leves a severas. Esta decoloración se debe a la capacidad de la tetraciclina para penetrar y acumularse en los dientes en desarrollo, especialmente en los dientes de leche y en los dientes permanentes que aún no han erupcionado en la boca.
Además de la decoloración, la tetraciclina puede aumentar la sensibilidad dental al calor, al frío y a los dulces.
Todavía sigue siendo muy común ver a personas nacidas en los años 60 y 70 con los dientes con cierto tono grisáceo. De hecho, si conoces a alguien es muy probable que te haya contado que de pequeño le suministraron un medicamento con tetraciclina que le manchó la sonrisa para siempre.
Tratamientos para la Decoloración Dental por Tetraciclina
Si bien la decoloración de los dientes causada por la tetraciclina puede ser una preocupación estética para muchas personas, existen opciones de tratamiento disponibles. Es importante destacar que algunos de estos tratamientos pueden ser costosos y no están cubiertos por todos los seguros dentales.
- Blanqueamiento dental: El blanqueamiento dental profesional puede ayudar a reducir la apariencia de las manchas ligeras a moderadas.
- Carillas dentales: Las carillas dentales son fundas delgadas de porcelana o composite que se adhieren a la superficie frontal de los dientes y pueden ser una excelente opción para aquellos con manchas severas o para quienes buscan una solución más permanente.
- Coronas dentales: En casos de decoloración severa o cuando los dientes están mal formados, las coronas dentales pueden ser una opción.

Antibióticos en Odontología: Cuándo y Cómo Usarlos
Hoy día, se cree que siempre que tenemos dolor de origen dental u oral, debemos de tomar antibiótico y no es así. Mucha gente viene de urgencia y si no le das antibiótico es como que no has hecho nada para ayudarlo y te preguntan: ¿Pero no me dá antibiótico?
Los antibióticos están diseñados para detener o retrasar el crecimiento de infecciones bacterianas, no necesariamente ayudan a los pacientes que experimentan dolor de muelas. Además, pueden causar efectos secundarios graves, ya que, el uso excesivo da como resultado en cepas resistentes a antibióticos.
Las guías recomiendan no usar antibióticos para la mayoría de las afecciones pulpares o periapicales y, en cambio, solo recomienda analgésicos si son necesarios y el tratamiento de elección para tratar esa afección. Los dentistas debemos priorizar los tratamientos dentales como pulpotomía, pulpectomía, endodoncia o incluso un drenaje en casos de abcesos entre otros, es decir, cuando hay infección (acumulación de pus).
Damos también antibióticos justo antes y después de cirugías o después de una extracción por ejemplo porque reducen el riesgo de infección, dolor y alveolitis (infección del alvéolo donde se alberga la pieza dental). Si el paciente presenta fiebre o malestar, es decir, vemos que la condición del paciente progresa a un compromiso sistémico, o el paciente es inmunodeprimido (sida, enfermedades autoinmunes…) ahí si daremos antibiótico.
¿Por qué se Infecta una Muela?
Existen diferentes motivos, los más habituales son:
- Caries, que no se trata y avanza y llega al nervio, en ese caso ya no llega con hacer un empaste, sino, que tenemos que hacer un tratamiento de conductos o endodoncia.
- Gingivitis, no se trata, y avanza a periodontitis donde ya destruye hueso. Esto provoca la pérdida de dientes y bolsas periodontales. Estas son depósitos que se forman en las encías y se hacen cada vez más grandes para acumular mayor cantidad de bacterias.
- Traumatismo, cuando un diente se rompe o s astilla por un golpe, también se vuelve vulnerable a las bacterias porque se crea un orificio o grieta que permite la entrada a estas bacterias.
- Lesión con objeto punzante, en ocasiones tenemos la mala costumbre de utilizar palillos por ejemplo o mordisquear bolígrafos .
Poner en tratamiento farmacológico a un paciente no es una decisión que el médico tome a la ligera. Ya te habrás dado cuenta de que los prospectos de los medicamentos cada vez son más específicos en cuanto a los efectos secundarios asociados a su administración, pero muy rara vez se habla de la relación entre medicamentos y dientes. La salud bucodental y la medicación son dos aspectos que no deberías pasar por alto si te sometes a un tratamiento farmacológico prolongado.
Las empresas farmacéuticas tienen la obligación de informar de todos los efectos colaterales que pueden generar los productos que comercializan, de manera que se ciñen a lo que les exige la ley. Para una mayor tranquilidad, puedes consultar las comunicaciones de riesgos a medicamentos notificados por la Agencia Española de Medicamentos y Productos Sanitarios. En la búsqueda de una solución a un determinado problema de salud es habitual que el empleo de medicamentos desencadene una reacción no deseada en otra parte del organismo. En el caso concreto de los trastornos dentales inducidos por medicamentos, estos se pueden dividir en dos grupos: aquellos que intrínseca o extrínsecamente son los responsables de coloraciones anómalas en el esmalte de la dentadura.
Los antibióticos que contienen tetraciclina reaccionan a la luz y provocan manchas amarillentas o marrones. Los medicamentos bloqueadores del calcio se emplean con frecuencia en el tratamiento de migrañas e hipertensión. Las personas más sensibles a sus componentes experimentan un crecimiento anormal en las encías. Algunas personas son más propensas a sufrir infecciones por hongos que se manifiestan en forma de puntos blancos en la lengua y la garganta. Las caries son la lesión dental más común cuando se está en tratamiento farmacológico. Ello es debido a que medicamentos tradicionales como los jarabes y caramelos para la tos, los complejos vitamínicos, las tabletas antiácidas y un alto porcentaje de fármacos líquidos a menudo contienen un aporte de azúcar considerable.
Recomendaciones para el Uso de Medicamentos y la Salud Bucodental
Existen diversas maneras de abordar el uso regular de medicamentos para que tu salud bucodental no se vea afectada por ellos:
- Presta mayor atención tus pautas de higiene diaria. Al contrario de lo que ocurre con la ingesta de los alimentos, el problema de los medicamentos no radica tan solo en el momento de la ingesta sino que aparece después, con el aumento de la acidez en la boca, la sequedad o el debilitamiento de algunas defensas.
- Salvo que el médico te indique lo contrario, toma la medicación durante las comidas.
- Visita regularmente a tu dentista. Si antes ya era importante, con los tratamientos farmacológicos prolongados tienes un motivo más por el que incrementar la frecuencia con la que visitas al dentista.
- Está comprobado que muchos de los fármacos que se recetan habitualmente en las consultas de medicina familia provocan un impacto negativo en los dientes. Es muy recomendable que mantengas informado a tu dentista acerca de la medicación que tomas, sobre todo si en tu historial clínico han quedado reflejados problemas de caries, gingivitis o enfermedad periodontal.
¡No falla! Cuando vamos al dentista, una de las preguntas que siempre nos hacen es: “¿Tomas algún medicamento?”. ¿Por qué? Os preguntaréis muchos. ¿Qué relación puede haber entre el jarabe que tomo para la tos y la caries? Pues ¡la hay! La boca está comunicada con el resto del cuerpo y, por tanto, el consumo frecuente de determinados fármacos puede afectar a nuestra salud bucodental.
Entre los efectos de la fenitoína que contiene estos fármacos cabe destacar la hiperplasia gingival o, lo que es lo mismo, el crecimiento descontrolado de la encía, especialmente de la interdental. En los últimos años se ha relacionado estos medicamentos con la osteonecrosis mandibular (deterioro del hueso de la mandíbula causado por la falta de flujo de sangre) después de una extracción dental o de la colocación de un implante. Las hormonas sintéticas que componen los anticonceptivos se relacionan con un aumento de la inflamación de las encías similar al que ocurre durante el embarazo. Un gesto tan común entre las personas con problemas respiratorios como es el inhalar su medicación puede provocar una infección por hongos llamada candidiasis oral. Además, estos fármacos hacen que produzcamos menos saliva y con un pH más bajo, con el consecuente aumento de la incidencia de caries.
Según la Sociedad Española de Periodoncia y Osteintegración (SEPA), más de 500 medicamentos de este tipo provocan xerostomía o sequedad bucal. De hecho, son la primera causa de esta patología.
Ahora que ya tienes claro cómo afectan los medicamentos a la salud de la boca, debes saber que estos efectos tendrán mayor o menor intensidad dependiendo de la edad del paciente, la dosis del fármaco y la prolongación en el tiempo de la toma del mismo.

Tratamiento tinciones por tetraciclina | Dr Cosimo Galletti
tags: #el #antibiotico #dana #los #dientes